Improving Surgical Outcomes in the Management of Diabetic Foot Disease
This article was created in partnership with the American Society of Podiatric Surgeons.
It is estimated that the global burden of diabetes mellitus is expected to rise from the current 336 million people to 552 million people by the year 2030.1 A foot ulcer precedes more than 85% of major amputations in this population of patients.2 A preponderance of evidence suggests the multidisciplinary approach is the most effective approach to reducing limb loss, but the efforts to achieve this have been slow.3 Although amputation rates have fallen in the elderly population, there is an increasing rate of amputation among patients with type 2 diabetes in some countries.4 Recent studies report that attempts to lower the amputation rates by half have failed,5 necessitating a revisit of the literature and review of best practice guidelines in the management of diabetic foot ulcers (DFU) in the presence of peripheral arterial disease (PAD).
Foot ulcers carry a high morbidity and mortality rate among patients with diabetes and are a common cause of hospitalizations in this population. The risk of foot ulcers is anywhere between 15% and 25%,6,7 with an annual incidence of 2%.8 Foot ulcers occur in 25 percent of patients with diabetes, ulcers precede 84 percent of nontraumatic amputations, and greater than 60 percent of the nontraumatic amputations occur in people with diabetes. For this reason, diabetes-related foot complications account for a large number of hospital admissions at an estimated cost in the millions of dollars.9
Chronic limb-threatening ischemia (CLTI) or PAD is a major predictor for ulceration and limb loss in diabetes. It is present in 50% of patients with diabetic foot ulcers, with no signs of impending decrease.10,11 Current evidence supports aggressive revascularization with ultimate goals of improved wound healing and improved surgical outcomes by identifying and improving perfusion.
A Closer Look at the Etiology and Pathology of DFUs
The etiology of DFU involves many factors including neuropathy, foot deformity, microvasculature, and PAD. The pathway generally begins with abnormal trauma or loading to the painless neuropathic foot, which may be poorly perfused. Sequelae of infection and ulceration in the foot lead to increased demands for oxygenation at the wound site, potentially enhancing the need for revascularization. In addition, local and systemic factors such as diabetes, immunity, and unregulated inflammatory responses may impede wound healing.12,13
Studies in amputated limbs show that it is not so much the presence of occlusive small vessel disease in patients with diabetes,14 that leads to this pathway, but abnormalities in the microvasculature, including increased in arteriovenous shunting and impaired vasoreactivity.15 The combination of capillary hypoperfusion and diminished vessel collateralization in patients with type 2 diabetes further impairs wound healing.16,17 We have found the presence of arterial occlusions in patients with diabetes results in more severe perfusion deficits than does the microvascular disease. The presentation generally is distal and diffuse with involvement of the crural vessels and long arterial occlusions. Medial calcification is also present.18–20
Making the Diagnosis of PAD
International Working Group on the Diabetic Foot (IWGDF) guidelines suggest in addition to a thorough history for signs and symptoms of PAD, all patients with a DFU should undergo Doppler evaluation of pedal pulses, measurements of ankle-brachial index (ABI) and in cases of uncertainty, measurement of the toe-brachial index (TBI) or transcutaneous pressure of oxygen (TcPO2).21 Although these screening tools are highly sensitive, may not be as efficacious in the presence of peripheral and autonomic neuropathy.22,23 Patients with signs and symptoms of PAD, including claudication, rest pain, absent foot pulses, monophasic Doppler signals, ABI < 0.9, or TBI < 0.7 should be referred to vascular/interventional radiology for imaging. However, any patient who has a DFU may benefit from a referral to vascular to assist in the management and diagnosis of PAD. The next step is to assess the perfusion deficit and its impact on ulcer healing. An ABI of 0.6 or lower corresponds to severe PAD.24
Angiography remains the gold standard imaging modality for evaluation of PAD distribution when there are plans for revascularization and/or endovascularization. There is a high risk of contrast-induced nephropathy in patients with diabetes and renal insufficiency. As a precaution, patients with renal insufficiency should receive periprocedural IV fluids and patients should stop using metformin prior to angiography to avoid lactic acidosis.25 This study poses some limitations for patients with severe PAD and pedal vessel involvement. In these instances, a handheld Doppler probe can be useful in unmasking pedal arteries not visible on angiography.
Contrast-enhanced magnetic resonance angiography (CE-MRA) is a modality that is not very invasive and avoids the need for nephrotoxic iodinated contrast. In a study of patients with diabetes, the sensitivity and specificity for imaging of the crural vessels was 79% and 90%, respectively.26 Disadvantages of CE-MRA include the occurrence of stent artifacts and contraindications for its use in patients with severe renal insufficiency, creatine clearance < 30 mL/min. Despite its drawbacks, CE-MRA has its usefulness in the detection of in-stent stenosis.27
Computed tomography angiography (CTA) offers the advantage of speed of examination. CTA is an alternative when MRA is contraindicated and offers a good spatial resolution.28 Although CTA is limited in the visualization of calcified arteries, making interpretation difficult, it offers similar accuracies across the modalities for detecting high-grade stenosis above the knee and below the knee.29
When Patients Need Revascularization
The decision to revascularize involves consideration of many factors. Patients with mild PAD (ABI equal to and greater than 0.6, TcPO2 > 50 mmHg) should have initial management for over 6 weeks with optimal wound care consisting of debridement, treatment of infection, and implementation of offloading principles. Clinical evidence suggests that with the best medical therapy there is a good response as long as there is adequate perfusion. However, in cases where there is a larger ulcer and extensive PAD and infection exist, this expected outcome is poor. In these cases, earlier intervention is required. If the patient is ambulatory, consider revascularization, except for the severely frail or functionally impaired and those with an unsalvageable foot. In cases of a major amputation wound, consider interventions to optimize the flow.30
Revascularization in these patients can be technically difficult owing to the distal distribution of disease, impaired collateral flow, and vessel calcification. Data of studies in patients with PAD and DFU show a median limb salvage rate of 85% at year one.31 Half of patients with DFU and PAD can expect to be alive at 5 years and mortality rises to 50% in the 2 years following a major amputation.32 Patients with coexisting morbidities such as chronic kidney disease have even poorer outcomes and mortality rates following vascular intervention.33
There are no randomized trial data to compare surgical bypass versus endovascular options in patients with diabetes. However, in patients with diabetes and ischemic foot ulcer, these techniques offer similar outcomes in successful revascularization cases.34,35 Endovascular techniques are lower risk and more cost-effective than bypass surgery. Endovascular approaches are associated with higher re-intervention rates, so this reduces any overall cost difference. Endovascular techniques are associated with short-term morbidity and as such are justifiable as an initial approach. Surgical bypass offers the benefit of increased durability when an autologous vein is used but overall, these patients have a shorter life expectancy and are unlikely to realize this benefit.36,37
Distal endovascular interventions and distal origin bypass arising from the superficial femoral artery, popliteal, or crural vessels show good outcomes in some patients.38 Identifying the optimal artery for angioplasty or run-off vessel for bypass requires careful scrutiny of factors and is further supported by the angiosome model of perfusion, where the target artery corresponds to the tissue loss.38 In a series of patients with DFU treated by angiosome-guided endovascular techniques, rates of limb salvage at healing at the 1-year mark were encouraging at 91% and 85% respectively.39 Furthermore, a meta-analysis of 31 studies reporting results of popliteal to distal bypasses has demonstrated greater limb salvage rates than corresponding patency data. Primary patency at 1 and 5 years was 82% and 63%, respectively, with corresponding foot salvage rates of 89% and 78%.34
As long as wound healing precedes graft failure, long-term patency is less relevant as long as wound healing occurs.34 There is some evidence to support the use of drug-eluting stents and balloons to reduce rates of restenosis following endovascular techniques. However, there is just not enough research to support its use in patients with DFU. A hybrid approach seems to be most efficacious.40
Classification and Outcome Measures
Classification system and outcome measures remain lacking for various reasons:
- In studies of outcomes following lower extremity revascularization for critical limb ischemia (CLI), patients with and without diabetes are lumped into one group. The problem with this is that the characteristic presentation of PAD in diabetes is quite different in those patients without diabetes. This makes it difficult to accurately extrapolate any clinical significance from the data.
- The diagnosis of CLI in patients with diabetes may be problematic. Symptomatic patients experience claudication and rest pain, which may be masked by coexisting distal symmetrical neuropathy.
- In patients with diabetes, ulcerations may develop with mild PAD. However, patients without diabetes are less likely to develop deep tissue loss in the absence of severe PAD. Patients with diabetes need to be evaluated in their own subgroup. The evaluation of these patients hemodynamically using the ABI, toe pressures or transcutaneous oxygen tension is more useful in this subgroup owing to the increased incidence of small vessel disease, in our experience.
- Although there are several angiographic classification systems, they are limited. The Trans-Atlantic Inter-Society Consensus (TASC) classifies femoral-popliteal disease but leaves out infrapopliteal lesions. Patency of the outflow is also important inrevascularization, particularly in patients with diabetes, who are less likely to have two-vessel runoff.41 The Bollinger score42,43 describes the infrapopliteal arterial segments in some detail and is advantageous when evaluating the infrapopliteal segments. However, there appear to be some mismatches in the correlation of Bollinger scores and TASC scores.42,43
- There are several reporting systems in use for the scoring of diabetic foot ulcers including the Wagner Classification System, the University of Texas Wound Classification, and the PEDIS score, to name a few.44 Ultimately a universal scoring system would enable consistent reporting among studies. Additional outcome measures that focus on clinical endpoints such as mortality, amputation-free survival, healing, and re-ulceration rates would also prove useful in allowing for better selection of patients for revascularization procedures in the management of diabetic foot disease.
Case Report: A Patient With Multiple Neuropathic DFUs
A 60-year-old male presented to Noyes Health/University of Rochester Medical Center with neuropathic ulcers at the tips of the second and third toes of the right foot for over 6 months’ duration. His condition is most likely secondary to the patient chronically walking on his tiptoes due to spinal issues. The wound had not been healing in the typical fashion. Treatment included offloading with a pressure relief walker, serial debridement, use of various dressings, and antibiotics.
The patient’s medical history was significant for diabetes (controlled), neuropathy, hypertension, spinal disease, and lower limb edema secondary to chronic venous insufficiency. The patient’s vital signs were within normal limits and a review of systems revealed bilateral hammertoe deformities in toes 2–5, bilateral diminished distal sensation of lower extremities, and bilateral lower limb edema of the lower extremity.
Physical examination revealed full-thickness ulcerations at the distal aspect of the second and third toes of the right foot. The ulcers were regular in shape, and their borders were surrounded by hyperkeratosis. Copious serous exudate was draining from the wounds of the second and third toe. The ulcers were not tender to palpation.
Diagnostic testing consisted of a complete blood count, blood chemistry profile, C-reactive protein (CRP), erythrocyte sedimentation rate (ESR), X-rays, MRI with and without contrast, ultrasound, and CTA. The abnormal findings were the following:
- an abnormally elevated ESR and CRP,
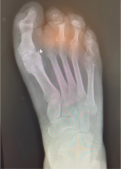
- X-rays indicating erosive changes of the distal phalanx of the third toe,
- MRI with and without contrast showing increased uptake on T-2 weighted images of the second toe of the right foot (see Figures 1 & 2),
- arterial Doppler studies indicating right lower extremity crural vessel disease (see Figure 3 & Figure 4), and
- right lower extremity angiogram demonstrated adequate inflow; however, distal outflow in the medial plantar artery was stenosed.
In the preoperative planning, we considered performing a more curative procedure to address the patient’s condition. At the initial onset of this patient’s course, right after noninvasive Doppler studies, we referred the patient to the interventional radiology department. Prior to podiatric surgical intervention, interventional radiology performed a bland balloon angioplasty of the medial plantar artery to increase perfusion to the forefoot. This was confirmed by a repeat CTA (see Figure 5). Three weeks post-procedure there was an improvement in sensation of the forefoot. We amputated the second toe as well as a hammertoe repair of the third toe (see Figure 6). We also obtained intraoperative cultures. The patient had an injection of an advanced biologics-connective tissue matrix implant to support healing.
The medical management of this patient consisted of a long-term course of oral antibiotics. Six months post-procedure ABI and TBIs were normal in both legs. The patient later received a referral to a vein clinic for management of the chronic lower limb edema secondary to venous insufficiency. The patient continued to follow up with his PCP, podiatry, and vascular clinic after healing. There was no evidence of recurrence in 12 months.
In Conclusion
This article explains the challenges in diagnosing PAD in patients with diabetes. This patient had other predisposing factors, including biomechanical alterations, structural abnormalities, neuropathy, and vascular disease. The patient’s spinal disease predisposed him to walk on his tiptoes. Hammertoe deformities and increased pressure along the tips of the toes resulted in callus formation. Arterial and venous insufficiency contributed to the wounds not healing. In the case reported here, diabetic neuropathy was also an underlying factor.
Once the ulcer failed to heal using “best medical therapy,” we considered performing a curative procedure, in the hopes of preventing further limb loss and all-cause mortality. In this case, reported here, the procedures chosen were all viable options. Prior to the selection of the procedures, we first directed our attention to aggressive revascularization after identifying the vascular disease.
Recognition of the role of other team members and resultant communication is paramount to the success of the team in caring for these patients. Evidence-based data supports the multidisciplinary approach. Appropriate referrals to specialists include podiatry, vascular surgery, interventional radiologist, orthopedic surgery, plastic surgery, internal medicine, endocrinology, infectious disease, nephrology, cardiology, and/or neurology. Beyond the physician involvement, the involvement of other members is also critical. This includes nutritionists, physical therapists, pedorthist, prosthetist, nursing, and diabetic educators.
Aggressive revascularization addressed diabetic vasculopathy and small vessel disease in this case. We had to carefully consider the intervention. The patient underwent bland balloon angioplasty of the medial plantar artery, as performed by interventional radiology. Initially, there was some vasospasm. Revascularization of a small vessel has historically been met with limited success. Eventually, angiography demonstrated improved perfusion to the forefoot.
Overall, the plan centers around increasing evidence-based strategies including risk stratification for developing DFU and best medical therapy in treating the patient with CLTI. Concerns center around amputation rates, wound healing, and all-cause mortality. Current evidence points toward timely referral to vascular specialists and interventional radiologists. The ultimate goal is to improve wound healing after revascularization and secondary benefits of improved surgical outcomes by identifying and improving anatomical levels of perfusion. In this case reported, once the best medical therapies were implemented, careful focus directed at improving blood flow to the most distal aspects of the foot optimized surgical outcomes.
Dr. Archer is affiliated with Noyes Health/University of Rochester Medical Center Geneseo Regional Orthopedics & Podiatry in Dansville, NY.
Dr. Virdee is affiliated with Noyes Health/ University of Rochester Medical Center in Danville, NY.
References
1. International Diabetes Federation. Facts and figures, did you Know? Available at http://www.idf.org/diabetesatlas; 2011
2. Pecoraro R, Reber G, Burgess E. Pathways to diabetic limb amputation: a basis for prevention. Diabetes Care. 1990; 13(5):513–21.
3. Krishnan S, Nash F, Baker N, Fowler D, Raymonn G. Reduction in diabetic amputations over 11 years in a defined UK population: benefits of multidisciplinary work and continuous prospective audit. Diabetes Care. 2008; 31(1):99–101.
4. Vamos EP, Bottle A, Edmunds ME, Valabhji J, Majeed A, Millett C. Changes in the incidence of lower extremity amputations in individuals with and without diabetes in England between 2004 and 2008. Diabetes Care. 2010; 33(12):2592–7.
5. Brownrigg JRW, Davey J, Holt PJ, et al. The association of ulceration of the foot with cardiovascular and all-cause mortality in patients with diabetes: a meta-analysis. Diabetologica. 2012; 55(11):2906–12.
6. Singh N, Armstrong DG, Lipsky BA. Preventing foot ulcers in patients with diabetes. J Am Med Assoc. 2005; 293(2):217–28.
7. Wild S, Roglic G, Green A, Sicree R, King H. Global prevalence of diabetes. Estimates for the year 2000 and projection for 2030. Diabetes Care. 2004; 27(5):1047–53.
8. Abbott CA, Carrington AL, Ashe H, et al. The north-west diabetes foot care study: incidence of, and risk factors for, new diabetic foot ulceration in a community-based cohort. Diabet Med. 2002; 19(5):377–84.
9. Levin MF, O’Neal LW , Bowker JH. Facts and Figures. The Diabetic Foot Book. Fifth edition. Mosby, 1993
10. Prompers L, Huijberts M, Apelqvist J, et al. High prevalence of ischemia, infection and serious comorbidity in patients with diabetic foot disease in Europe. Baseline results from Eurodiale study. Diabetologia. 2007; 50(1):18–25
11. Jeffcoate WJ, Chipchase SY, Ince P, Game FL. Assessing the outcome of the management of diabetic foot ulcers using ulcer-related and person-related measures. Diabetes Care. 2006; 29(8):1784–7
12. Martin JM, Zenilman JM, Lazarus GS. Molecular microbiology: new dimensions for cutaneous biology and wound healing. J Invest Dermatol. 2010; 130:38-48.
13. Blakytny R, Jude E. The molecular biology of chronic wounds and delayed healing in diabetes. Diabet Med. 2006; 23(1):594–608.
14. Logerfo FW, Coffman JD. Vascular and microvascular disease of the foot in diabetes. Implications for foot care. N Engl J Med. 1984; 311(25):1615–9.
15. Abularrage CJ, Sidawy AN, Aidinian G, Singh N Weiswasser JM, Arora S. Evaluation of the microcirculation in vascular disease. J Vasc Surg. 2005; 42(3):574–81.
16. Nabuurs-Franssen MH, Houben AJHM, Tooke JE, Schaper NC. The effect of polyneuropathy on foot circulation in type 2 diabetes. Diabetologica. 2002; 45(8):1164–71.
17. Abaci A, Oguzhan A, Kahraman S, Eryol NK, Unal S, Arinc H, et al. Effect of diabetes mellitus on the formation of coronary collateral vessels. Circulation. 1999;99(17):2239–42.
18. Logerfo FW, Conrad MC. Large and small artery occlusion in diabetics and nondiabetics with severe vascular disease. Circulation. 1967; 36(1):83–91.
19. Faglia E, Favales F, Quarantiello A, et al. Angiographic evaluation of peripheral arterial occlusive disease and its role as a prognostic determinant for major amputation in diabetic subjects with foot ulcers. Diabetes Care. 1998; 21(4):625–30.
20. Jude EB, Oyibo SO, Chalmers N, Boulton AJ. Peripheral arterial disease in diabetic and nondiabetic patients: a comparison of severity and outcome. Diabetes Care. 2001; 24(8):1433–7
21. Schaper NC, Andros G, Apelqvist J, et al. Specific guidelines for the diagnosis and treatment of peripheral arterial disease in a patient with diabetes and ulceration of the foot, 2011. Diabetes Metab Res Rev. 2012; 28(Suppl 1):236–7
22. Williams DT, Harding KG, Price P. An evaluation of the efficacy of methods used in screening for lower limb arterial disease in diabetes. Diabetes Care. 2005;28(9):2206–10.
23. Uccioli L, Monticone G, Durola L, et al. Autonomic neuropathy influences great toe blood pressure. Diabetes Care. 1994; 17(4):284–7.
24. Bakker K, Apelqvist J, Schaper NC. Practical guidelines on the management and prevention of the diabetic foot 2011. Diabetes Metab Res Rev. 2012; 28(Suppl 1):225–31
25. Heikkinen M, Salmenpera M, Lepantalo A, Lepantalo M. Diabetes care for patients with peripheral arterial disease. Eur J Vasc Endovasc Surg. 2007; 33(5):583–91.
26. Andreisk G, Pfammatter T, Goepfert K, et al. Peripheral arteries in diabetic patients: standard bolus-chase and time resolved MR angiography. Radiology. 2007; 242(2):610–20.
27. US Food and Drug Administration, Center for Drug Evaluation and Research, Public Health Advisory. Gadolinium-containing contrast agents for magnetic resonance imaging (MRI): http://www.fda.gov/cder/drug/advisory/gadolinium_agents.htm.
28. National Institute for Health and Clinical Excellence. Lower limb peripheral arterial disease: diagnosis and management. Clinical guideline 147, http://guidance.nice.org.uk/CG119; 2012.
29. Collins R, Burch J, Cranny G, et al. Duplex ultrasonography, magnetic resonance angiography, and computed tomography angiography for diagnosis and assessment of symptomatic, lower limb peripheral arterial disease: a systematic review. Br Med J. 2007; 334(7606):1257.
30. Sheenan P, Jones P, Caselli A, Giurini JM, Veves A. Percent change in wound area of diabetic foot ulcers over a 4-week period is a robust predictor of complete healing in a 12-week prospective trial. Diabetes Care. 2003; 26(6):1879–82.
31. Hinchliffe RJ, Andros G, Apelqvist J, et al. A systematic review of the effectiveness of revascularization of the ulcerated foot in patients with diabetes and peripheral arterial disease. Diabetes Metab Res Rev. 2012; 28(Suppl 1):179–217
32. Moulik PK, Mtonga R, Gill GV. Amputation and mortality in new-onset diabetic foot ulcers stratified by etiology. Diabetes Care. 2003; 26:491-4.
33. Owens CD, Ho KJ, Kim S, Schanzer A, Lin J, Matros E. Refinement of survival prediction in patients undergoing lower extremity bypass surgery: stratification by chronic kidney disease classification. J Vasc Surg. 2007; 45(5):944–52.
34. Albers M, Romiti M, Brochado-Neto FC, De Luccia N, Braganca Pereira CA. Meta-analysis of popliteal-to-distal vein bypass grafts for critical ischemia. J Vasc Surg. 2006;43(3):498–503.
35. Romiti M, Albers M, Brochado-Neto FC, Durazzo AES, Braganca Pereira CA, De Luccia N. Meta-analysis of infrapopliteal angioplasty for chronic critical limb ischemia. J Vasc Surg. 2008; 47(5):975–81.
36. Forbes JF, Adam DJ, Bell J, Fowkes FG, Gillespie I, Raab GM, et al. Bypass versus angioplasty in severe ischemia of the leg (BASIL) trial: a multicenter randomized controlled trial. J Vasc Surg. 2009;50:1462–73.
37. Adam DJ, Berad JD, Cleveland T, Bell J, Bradbury AW, Forbes JF, et al. Bypass or angioplasty in severe ischemia of the leg (BASIL) trial. Lancet. 2005; 366(9501):1925–34.
38. Neville AN. Revascularization of a specific angiosome for limb salvage: does the target artery matter? Ann Vasc Surg. 2009; 23(3):867–73.
39. Alexandrescu V, Hubermont G, Phillips Y, et al. Selective angioplasty following an angiosome model of reperfusion in the treatment of Wagner 1-4 diabetic foot lesions: practice in a multidisciplinary diabetic limb service. J Endovasc Ther. 2008; 15(5):580–93.
40. Schneider PA, Caps MT, Owaga DY, Hayman ES. Intraoperative superficial femoral artery balloon angioplasty and popliteal to distal bypass graft: an option for combined open and endovascular treatment of diabetic gangrene. J Vasc Surg. 2001; 33(5):955–62.
41. Norgren L, Hiatt WR, Dormandy JA, Nehler MR, Harris KA, Fowkes FGR. Inter-society consensus for the management of peripheral arterial disease (TASC ll). J Vasc Surg. 2007; 45(Suppl 1):55–67.
42. Bollinger A, Breddin K, Hess H, Heystraten FM, Kollath J, Konttila A, et al. Semi-quantitative assessment of lower limb atherosclerosis from routine angiographic images. Atherosclerosis. 1981; 38(3–4):339–46.
43. Bradbury AW, Adam DJ, Bell J, et al. Bypass versus angioplasty in severe ischemia of the leg (BASIL) trial: a description of the severity and extent of disease using the Bollinger angiogram scoring method and the Trans-Atlantic inter-society consensus 2 classification. J Vasc Surg. 2010; 51(5 Suppl):325–425
44. Armstrong DG, Lavery LA, Harkless LB. Validation of a diabetic wound classification system: contribution of depth infection, ischemia to risk of amputation. Diabetes Care. 1998; 21(5):855–859.


