Expert Insights on Pilon Fracture Management
Destot first described the mechanical action of the tibia on the talus as a pestle in 1911, attributing the term “pilon fracture” to this injury pattern.1 The tibia exerts a vertical force against the talus, creating the fractures. Pilon fractures account for 3–10% of all tibia fractures and less than 10% of all lower extremity injuries.2,3 Men are more likely to sustain a pilon fracture, particularly those aged 35–45 years old.2
A high-energy axial force is the predominant mechanism of injury, although studies have implicated lower energy rotational forces.3 Pilon fractures are notoriously complicated with a constellation of significant bony and soft tissue injury. Ruedi, Allgower, and their respective colleagues described a classification system and a 4-step surgical management algorithm, though multiple theories regarding surgical management have been explored and debated.4,5
Here, we aim to discuss current treatment management principles of pilon fractures and their associated outcomes.
A Guide to Pathophysiology
As previously mentioned, pilon fractures are often a result of a high-energy axial load, where the tibia drives into the talus.1,6 This often results from a fall from a height or from a motor vehicle accident, with up to 57% of patients experiencing polytrauma.1
Conversely, low-energy rotational trauma, like alpine skiing, is a less common mechanism. The fracture pattern depends on foot position as well as the amplitude and direction of the force, with the position of the foot being the driving factor that determines fracture pattern and amount of comminution.7 Articular impaction and comminution are typical of these fractures, and ligamentous attachments produce 3 typical fracture fragments including medial malleolar, posterolateral, and anterolateral.7,8 Seventy-five percent of pilon fractures have an associated fibular fracture, 30% present with an ipsilateral lower extremity injury, 20% are open fractures, and 5–10% are bilateral (Figure 1).9,10
Conservative Management of Pilon Fractures
Nonoperative management is an option for individuals with a stable fracture pattern without articular involvement or those with minimally displaced fractures. One can also consider nonambulatory or critically ill patients candidates for nonoperative management. Some special populations to consider for conservative care include individuals with uncontrolled diabetes, peripheral vascular disease, or peripheral neuropathy as they are at increased risk for wound healing complications and morbidity postoperatively.11,12 Monitoring soft tissues after injury poses a difficult situation for providers pursuing conservative care.
Some of the less favorable outcomes of nonoperative management include loss of reduction, nonunion, malunion, inadequate intra-articular reduction, and inferior patient-reported outcomes.3 Ultimately, surgical intervention is the standard of care for pilon fractures except for a select subset of patients.
What You Should Know About Surgical Management
A computed tomography (CT) scan is a requirement for one to thoroughly evaluate the fracture pattern and achieve adequate preoperative planning. In 1968, Ruedi and colleagues published, describing a stepwise approach for pilon fracture management.4 The first step includes restoration of the fibular length in order to re-establish the lateral column. The second step is pursuing anatomic restoration of the distal tibia articular surface, followed by bone grafting of the metaphyseal defect. Lastly, they recommend a buttress plate on the distal aspect of the tibia for final maintenance of reduction.4 Since then, there have been multiple surgical options available for addressing pilon fractures.
Staged intervention. The present soft tissue compromise poses the need for staged intervention, including the initial use of temporizing spanning external fixators to allow for evaluation of soft tissue healing while maintaining reduction and length. Definitive open reduction and internal fixation (ORIF) follows once the soft tissues allow. Studies have shown decreased wound healing complications and deep infections with the staged approach compared to primary ORIF.13
However, a recent study in 2022 found a deep infection rate as high as 9% in open pilon fractures, even with staged intervention.14 This remains significantly lower compared to earlier literature where early ORIF was standard.15 In a study with early ORIF in 60 patients, the deep infection rate was 37%, emphasizing the importance of appropriate soft tissue management.16 The appearance of fractures blisters indicates a higher rate of soft tissue compromise, again reinforcing a need to delay definitive treatment and consider alternative incisional approaches (Figure 2).17
ORIF. With the appropriate patient and circumstances, one can consider primary ORIF. Some studies advocate for primary ORIF in both open and closed pilon fractures as they show no increased risk of superficial or deep infection, malunion, nonunion, or nerve injury.18-20 The advantages of decreased operating room time and ease of reduction in the acute setting have proved beneficial.21,22 However, use early primary ORIF with caution, and reserve it for patients with few comorbidities, those with isolated, low-energy injuries without fracture blistering, and patients within a few hours of injury.
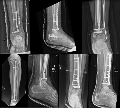
Staged ORIF following external fixation has been the standard protocol in treatment of pilon fractures. Surgeons may pursue definitive surgical management once skin wrinkles appear and fracture blisters resolve. Authors have described multiple incisional approaches, varying depending on the fracture pattern, overall goals of fixation, and location of soft tissue compromise. Although some literature shows no difference in complication rates for early ORIF, more substantial literature shows a decrease in soft tissue complications and better functional outcomes with a two-stage approach.13,23,24 Consider transsyndesmotic fixation in low-energy rotational injuries.25 Authors have described minimally invasive techniques, most often used along the medial column, which theoretically decrease wound healing complications. Lau and colleagues found a high surgical site infection rate after medial subcutaneously placed plates in distal tibia fractures, though they ultimately found no significant difference on overall outcome.26 The challenges of nonunion and angular rotation are present with minimally invasive techniques, necessitating further comparative studies for a more thorough evaluation of its utilization (Figures 3 and 4).
Fibula fixation. Up to 90% of pilon fractures have an associated fibula fracture, leading to continued debate regarding its management.27 Early literature found fibular fixation during the principal surgery assists tibial reduction and prevents valgus deformation.13 However, fibular fixation may increase nonunion, malunion/malrotation, and soft tissue complications in non-rotational pilon fractures.28-31
Newer techniques including intramedullary nailing (IMN) for fibular fractures may decrease soft tissue complications in pilon fracture management. Faber and colleagues in 2021 showed comparable complications after fibular IMN between ankle and pilon fractures, though comparative studies are needed to determine if surgeons could also use IMN for pilon fractures.32 A recent study in 2023 showed no significant difference in nonunion or malunion in those who had fibular fracture ORIF, though there was an increase in hardware removal in the ORIF group.33 Fibular fixation remains controversial, though recent studies show it is not absolutely necessary and may increase secondary procedures for hardware removal.33
External fixation for definitive treatment. Given the high complication rates with ORIF—whether performed in a staged or index procedure—and the significant soft tissue injuries seen with pilon fractures, surgeons have utilized other methods of definitive fixation such as external fixation. External fixation for definitive fixation is particularly an option when the risk of severe complications from a poor soft tissue envelope or the presence of significant comorbidities would result in poor outcomes with an open approach.
External fixation utilizes tensioned wires across the fracture fragments, providing stabilization and reduction while allowing axial micromotion across the fragments to promote secondary bone healing. One can use various forms of external fixation, including ankle-sparing fixators, which allow ankle range of motion (ROM), or ankle spanning-fixation devices, which are more restrictive. Papadokostakis and colleagues compared ankle-spanning versus ankle-sparing fixators and found no difference in infection rate, nonunion, or time to union.34 However, they did note a higher incidence of malunion as well as worse functional outcomes in the ankle spanning cohort, likely attributed to the restrictive nature of ankle joint range of motion. Additionally, hybrid fixators are an option with tensioned K-wires distal to the fracture site and connected with a circular frame. Hybrid fixators can be ankle-sparing fixators where weight-bearing may be allowed and tolerated.
Additionally, complication rates between ORIF and external fixation are similar, except for higher rates of superficial infection in the external fixation group from pin site infections.35 The concern with external fixation as definitive fixation is the lack of anatomic reduction, demonstrated with higher rates of malunion compared to ORIF.35
Primary fusion. Primary fusion becomes a consideration in pilon fractures with significant articular impaction and comminution, patients who cannot undergo multiple surgeries, or those who had a significant delay in treatment. A study by Ho and Ketz in 2017 identifies these indications for primary fusion and found a high union rate with few complications.36 The study also suggests primary arthrodesis of the ankle is a safe and reliable treatment option. Despite a more severe injury requiring primary fusion, functional outcomes are comparable to those who underwent ORIF, with the ORIF group sustaining a higher nonunion rate.37
Further studies confirm a high union rate, low complications, and high patient satisfaction in severely comminuted pilon fractures treated with primary ankle fusion.38,39 Tibiotalocalcaneal intramedullary nailing has been successful in multiple case reports for severe pilon fractures, offering the additional benefit of early return to weight-bearing.40,41 A study by Chaudhry and colleagues found insufficient evidence to suggest superiority of primary fusion versus ORIF in severe pilon fractures, emphasizing the need for further comparative studies.42
Arthroscopy. Arthroscopy has become a valuable tool in the traumatic setting, providing the ability to directly visualize the articular reduction via a minimally invasive approach.43 Especially if soft tissue compromise is of concern, arthroscopic evaluation of articular reduction allows the surgeon to attempt other minimally invasive techniques such as minimally invasive plate osteosynthesis or closed reduction and percutaneous pinning for fixation. Even if employing a more traditional ORIF approach, evaluation of the articular reduction is crucial as articular reduction is of utmost importance for patient outcomes and preventing unfavorable sequelae.22,44 Arthroscopy can also address intra-articular pathology, which may improve patient outcomes.45
Key Insights on Complications and Prognosis
Wound healing complications present in approximately 5–15% of patients undergoing a staged treatment approach for pilon fractures.14,42,46 A recent study found independent risk factors for surgical site infection after pilon ORIF included tourniquet use, longer preoperative stay, lower preoperative albumin, higher preoperative BMI, and hypersensitive C-reactive protein.47
Additional risk factors include open fractures, metaphyseal comminution, bone loss, and tobacco use.48,49 Consider these factors in the perioperative setting to establish patient expectations. Malunion and nonunion rate is reportedly 10%, with post-traumatic osteoarthritis (PTOA) incidence up to 26%.42,50 Prognosis after pilon fractures remains relatively poor, with one study showing that only 12% of blue-collar workers returned to work at 1 year post-injury.51 Further research and thorough discussions with patients regarding post-injury expectations are required.
In Conclusion
Overall, pilon fractures present a complex and challenging clinical scenario requiring comprehensive evaluation and thorough management. These injuries often result from high-energy trauma and may necessitate a multidisciplinary approach for optimal outcomes. The surgical options presented, including ORIF, external fixation, arthroscopy, and arthrodesis, each may be utilized with their own pros and cons. Thorough preoperative planning with advanced imaging and understanding of the comorbidities of the patient is vital for proper operative management. The potential for complications, including PTOA and wound healing problems, underscores the importance of vigilant postoperative care and rehabilitation to provide the patient with the best possible outcomes.
Alexa Bykowski, DPM, is a second-year resident at the Grant Medical Center Foot and Ankle Surgery Residency program.
Nevin Joseph, DPM, is a second-year resident at the Grant Medical Center Foot and Ankle Surgery Residency program.
Ian Barron, DPM, FACFAS, is a board certified foot and reconstructive rearfoot/ankle surgeon. He is an Assistant Professor in the Department of Orthopaedics at UT Health Science Center San Antonio.
References
1. Saad BN, Yingling JM, Liporace FA, Yoon RS. Pilon fractures: challenges and solutions. Orthop Res Rev. 2019; 11:149–57. 10.2147/ORR.S170956
2. Mauffrey C, Vasario G, Battiston B, Lewis C, Beazley J, Seligson D. Tibial pilon fractures: a review of incidence, diagnosis, treatment, and complications. Acta Orthop Belg. 2011 Aug;77(4):432-40.
3. Mair O, Pflüger P, Hoffeld K, Braun KF, Kirchhoff C, Biberthaler P, Crönlein M. Management of pilon fractures-current concepts. Front Surg. 2021 Dec 23;8:764232. doi: 10.3389/fsurg.2021.764232. PMID: 35004835; PMCID: PMC8732374.
4. Rüedi T, Matter P, Allgöwer M. Die intraartikul-aren Frakturen des distalen Unterschenkelendes [Intra-articular fractures of the distal tibial end]. Helv Chir Acta. 1968 Nov;35(5):556-82. German. PMID: 4974693.
5. Rüedi TP, Allgöwer M. The operative treatment of intra-articular fractures of the lower end of the tibia. Clin Orthop Relat Res. 1979 Jan-Feb;(138):105-10. PMID: 376196.
6. Korkmaz A, Ciftdemir M, Ozcan M, Copuroğlu C, Sarıdoğan K. The analysis of the variables, affecting outcome in surgically treated tibia pilon fractured patients. Injury. 2013 Oct;44(10):1270-4.
7. Topliss CJ, Jackson M, Atkins RM. Anatomy of pilon fractures of the distal tibia. J Bone Joint Surg Br. (2005) 87:692–7. 10.1302/0301-620X.87B5.15982
8. Cole PA, Mehrle RK, Bhandari M, Zlowodzki M. The pilon map: fracture lines and comminution zones in OTA/AO type 43C3 pilon fractures. J Orthop Trauma. 2013 Jul;27(7):e152-6.
9. Purcell KF, Bergin PF, Russell GV, Graves ML, Jones LC, Spitler CA. Tibial shaft and pilon fractures with associated syndesmotic injury: a matched cohort assessment. J Orthop Trauma. 2022 Mar 1;36(3):157-162. doi: 10.1097/BOT.0000000000002252. PMID: 34456310.
10. Herzog GA, Serrano-Riera R, Sagi HC. Traumatic proximal tibiofibular dislocation: a marker of severely traumatized extremities. J Orthop Trauma. 2015 Oct;29(10):456-9. doi: 10.1097/BOT.0000000000000348. PMID: 26397776.
11. Yeramosu T, Satpathy J, Perdue PW Jr, et al. Risk factors for infection and subsequent adverse clinical results in the setting of operatively treated pilon fractures. J Orthop Trauma. 2022;36(8):406-412. doi:10.1097/BOT.0000000000002339
12. Ovaska MT, Mäkinen TJ, Madanat R, et al. Risk factors for deep surgical site infection following operative treatment of ankle fractures. J Bone Joint Surg Am. 2013;95(4):348-353. doi:10.2106/JBJS.K.01672
13. Sirkin M, Sanders R, DiPasquale T, Herscovici D, Jr. A staged protocol for soft tissue management in the treatment of complex pilon fractures. J Orthop Trauma. 1999; 13:78–84. doi: 10.1097/00005131-199902000-00002
14. Heiner JA, Banner KA, Wu VJ, et al. The injury characteristics of open pilon fractures predictive of complications. Injury. 2022 Apr;53(4):1510-1516. doi: 10.1016/j.injury.2022.01.019. Epub 2022 Jan 14. PMID: 35067342.
15. Liporace FA, Mehta S, Rhorer AS, Yoon RS, Reilly MC. Staged treatment and associated complications of pilon fractures. Instr Course Lect. 2012;61:53-70. PMID: 22301222
16. Teeny SM, Wiss DA. Open reduction and internal fixation of tibial plafond fractures. Variables contributing to poor results and complications. Clin Orthop Relat Res. 1993;292:108–117.
17. Korrapati A, Ta CN, Mitchell BC, et al. Fracture blisters: predictors for time to definitive fixation in pilon fractures. Eur J Orthop Surg Traumatol. 2023 Jun 29. doi: 10.1007/s00590-023-03623-w. Epub ahead of print. PMID: 37386191.
18. Sajjadi M, Ebrahimpour A, Okhovatpour MA, Karimi A, Zandi R, Sharifzadeh A. The outcomes of pilon fracture treatment: primary open reduction and internal fixation versus two-stage approach. Arch Bone Jt Surg. 2018 Sep;6(5):412-419. PMID: 30320182; PMCID: PMC6168224.
19. Olson JJ, Anand K, von Keudell A, et al. Judicious use of early fixation of closed, complete articular pilon fractures is not associated with an increased risk of deep infection or wound complications. J Orthop Trauma. 2021;35:300–307.
20. White TO, Guy P, Cooke CJ, et al. The results of early primary open reduction and internal fixation for treatment of OTA 43. C-type tibial pilon fractures: a cohort study. J Orthop Trauma. 2010;24:757–763.
21. Abdelgaid SM, Hatata DMZ, Elshafey AE, Alsharkawy WM. Minimally invasive reduction and fixation techniques of pilon fractures based on the preoperative CT findings. J Foot Ankle Surg. 2022 May-Jun;61(3):590-603. doi: 10.1053/j.jfas.2021.10.018. Epub 2021 Oct 23. PMID: 34810084.
22. Flores M, Ciminero M, Kottmeier SA, Botros D, Zelle BA, Shearer DW. Pilon fractures: Consensus and controversy. OTA Int. 2023 Jun 16;6(3 Suppl):e236. doi: 10.1097/OI9.0000000000000236. PMID: 37533444; PMCID: PMC10392439.
23. Anglen JO. Early outcome of hybrid external fixation for fracture of the distal tibia. J Orthop Trauma. 1999; 13:92–7. doi: 10.1097/00005131-199902000-00004
24. Blauth M, Bastian L, Krettek C, Knop C, Evans S. Surgical options for the treatment of severe tibial pilon fractures: a study of three techniques. J Orthop Trauma. 2001; 15:153–60. doi: 10.1097/00005131-200103000-00002
25. Sciadini MF, Manson TT, Shah SB. Transsyndesmotic fibular plating for fractures of the distal tibia and fibula with medial soft tissue injury: report of 6 cases and description of surgical technique. J Orthop Trauma. 2013;27:e65–e73.
26. Lau TW, Leung F, Chan CF, et al. Wound complication of minimally invasive plate osteosynthesis in distal tibia fractures. Int Orthop. 2008;32:697–703.
27. Millington SA, Grabner M, Wozelka R, Anderson DD, Hurwitz SR, Crandall JR. Quantification of ankle articular cartilage topography and thickness using a high resolution stereophotography system. Osteoarthritis Cartilage. 2007; 15:205–11. doi: 10.1016/j.joca.2006.07.008
28. Torino D, Mehta S. Fibular fixation in distal tibia fractures: reduction aid or nonunion generator? J Orthop Trauma. 2016; 30(Suppl 4):S22–5. doi: 10.1097/BOT.0000000000000695
29. Kurylo JC, Datta N, Iskander KN, Tornetta P III. Does the fibula need to be fixed in complex pilon fractures? J Orthop Trauma. 2015; 29:424–7. doi: 10.1097/BOT.0000000000000304
30. Giordano V, Boni G, Godoy-Santos AL, et al. Nailing the fibula: alternative or standard treatment for lateral malleolar fracture fixation? a broken paradigm. Eur J Trauma Emerg Surg. 2020; 47:1911–20. doi: 10.1007/s00068-020-01337-w 57.
31. Kho DH, Cho BK, Choi SM. Midterm outcomes of unstable ankle fractures in young patients treated by closed reduction and fixation with an intramedullary fibular nail vs open reduction internal fixation using a lateral locking plate. Foot Ankle Int. 2021; 42:1469–81. doi: 10.1177/10711007211017470
32. Faber RM, Parry JA, Haidukewych GH, Koval KJ, Langford JL. Complications after fibula intramedullary nail fixation of pilon versus ankle fractures. J Clin Orthop Trauma. 2021;16:75-79. Published 2021 Jan 7. doi:10.1016/j.jcot.2020.12.025
33. Gallimore AT, Shihab Z, Platt S. Should we fix the fibula in tibial plafond fractures? A meta-analysis reviewing the evidence base for fibula open reduction and internal fixation in tibial plafond fractures. J Foot Ankle Surg. 2023 Dec 25;S1067-2516(23)00340-X. doi: 10.1053/j.jfas.2023.12.007. Epub ahead of print. PMID: 38151112.
34. Papadokostakis G, Kontakis G, Giannoudis P, Hadjipavlou A. External fixation devices in the treatment of fractures of the tibial plafond. A systematic review of the literature. J Bone Joint Surg Br. 2008;(90-B):1–6.
35. Erichsen JL, Andersen PI, Viberg B, Jensen C, Damborg F, Froberg L. A systematic review and meta-analysis of functional outcomes and complications following external fixation or open reduction internal fixation for distal intra-articular tibial fractures: an update. Eur J Orthop Surg Traumatol. 2019; 29:907–17.
36. Ho B, Ketz J. Primary arthrodesis for tibial pilon fractures. Foot Ankle Clin. 2017 Mar;22(1):147-161. doi: 10.1016/j.fcl.2016.09.010. Epub 2016 Dec 20. PMID: 28167059.
37. Beckwitt CH, Monaco SJ, Gruen GS. Republication of “Primary Ankle Arthrodesis vs ORIF for Severely Comminuted Pilon Fractures: A Comparative Retrospective Study”. Foot Ankle Orthop. 2023 Aug 6;8(3):24730114231193391. doi: 10.1177/24730114231193391. PMID: 37566683; PMCID: PMC10408335.
38. Al-Ashhab ME. Primary ankle arthrodesis for severely comminuted tibial pilon fractures. Orthopedics. 2017 Mar 1;40(2):e378-e381. doi: 10.3928/01477447-20161202-04. Epub 2016 Dec 15. PMID: 27942740.
39. Beaman DN, Gellman R. Fracture reduction and primary ankle arthrodesis: a reliable approach for severely comminuted tibial pilon fracture. Clin Orthop Relat Res. 2014 Dec;472(12):3823-34. doi: 10.1007/s11999-014-3683-x. PMID: 24844887; PMCID: PMC4397758.
40. Hsu AR, Szatkowski JP. Early tibiotalocalcaneal arthrodesis intramedullary nail for treatment of a complex tibial pilon fracture (AO/OTA 43-C). Foot Ankle Spec. 2015 Jun;8(3):220-5. doi: 10.1177/1938640014548322. Epub 2014 Aug 24. PMID: 25156100.
41. Niikura T, Miwa M, Sakai Y, et al. Ankle arthrodesis using antegrade intramedullary nail for salvage of nonreconstructable tibial pilon fractures. Orthopedics. 2009 Aug;32(8):orthosupersite.com/view.asp?rID=41937. doi: 10.3928/01477447-20090624-26. PMID: 19708618.
42. Chaudhry YP, Papadelis E, Hayes H, Stahel PF, Hasenboehler EA. Fusion versus fixation in complex comminuted C3-type tibial pilon fractures: a systematic review. Patient Saf Surg. 2021 Oct 18;15(1):35. doi: 10.1186/s13037-021-00298-2. PMID: 34663412; PMCID: PMC8524981.
43. Luo H, Chen L, Liu K, Peng S, Zhang J, Yi Y. Minimally invasive treatment of tibial pilon fractures through arthroscopy and external fixator-assisted reduction. Springerplus. 2016; 5(1):1923. doi:10.1186/s40064-016-3601-7.
44. Carter TH, Duckworth AD, Oliver WM, Molyneux SG, Amin AK, White TO. Open reduction and internal fixation of distal tibial pilon fractures. JBJS Essent Surg Tech. 2019 Sep 11;9(3):e29. doi: 10.2106/JBJS.ST.18.00093. PMID: 32021729; PMCID: PMC6948997.
45. Williams CE, Joo P, Oh I, Miller C, Kwon JY. Arthroscopically assisted internal fixation of foot and ankle fractures: a systematic review. Foot Ankle Orthop. 2021 Jan 21;6(1):2473011420950214. doi: 10.1177/2473011420950214. PMID: 35097419; PMCID: PMC8727837.
46. Bullock TS, Ornell SS, Naranjo JMG, et al. Risk of surgical site infections in OTA/AO Type C tibial plateau and tibial plafond fractures: a systematic review and meta-analysis. J Orthop Trauma. 2022;36:111–117.
47. Xie L, Liu G, Wang X, Luo Z, Li Y, Wang X, Zhang F. Development of a nomogram to predict surgical site infection after open reduction and internal fixation for closed pilon fracture: a prospective single-center study. J Orthop Surg Res. 2023 Feb 15;18(1):110. doi: 10.1186/s13018-023-03598-8. PMID: 36793098; PMCID: PMC9933287.
48. Foster MJ, O’Toole RV, Manson TT. Treatment of tibial nonunion with posterolateral bone grafting. Injury. 2017 Oct;48(10):2242-2247. doi: 10.1016/j.injury.2017.05.001. Epub 2017 May 3. PMID: 28736122.
49. Konda S, Saleh H, Fisher N, Egol KA. Posterolateral bone grafting for distal tibia nonunion. J Orthop Trauma. 2017 Aug;31 Suppl 3:S16. doi: 10.1097/BOT.0000000000000902. PMID: 28697075.
50. Malik-Tabassum K, Pillai K, Hussain Y, et al. Post-operative outcomes of open reduction and internal fixation versus circular external fixation in treatment of tibial plafond fractures: a systematic review and meta-analysis. Injury. 2020;51:1448–1456.
51. Volgas D, DeVries JG, Stannard JP. Short-term financial outcomes of pilon fractures. J Foot Ankle Surg. 2010;49:47–51.


