Addressing Metatarsus Adductus In The Adult Patient
Patients with metatarsus adductus require careful clinical and radiographic analysis before considering surgery for hallux valgus or other concomitant pathology like tarsometatarsal osteorathritis, metatarsal parabola issues or skew foot. The proximity of the first and second metatarsals in patients with metatarsus adductus may physically obstruct the complete surgical reduction of a first ray deformity1 and over the past decades, various sources describe the three-dimensional nature of this transverse plane dominant cavovarus midfoot pathology.2,3,4 This complex congenital deformity affects 0.1 percent of the general population.5,6,7,8 It poses a challenge for surgeons due to the deviation of the normal forefoot and midfoot longitudinal axes, resulting in an adducted position of the metatarsals. Historic data suggests a 35 percent incidence of a metatarsus adductus deviation in patients with hallux valgus deformity,9 with more recent reports showing a 29.4 percent combined deformity incidence.10 The presence of hallux valgus, midfoot or forefoot osteoarthritis, midfoot deformity, or the combination of such conditions further increases complexity.
Consistent observations of the first tarsometatarsal (TMT) joint as the anatomic apex of metatarsus adductus raise questions about pathologic joint morphology, hypothesized as responsible for functional instability that drives the metatarsal to progressively deviate in all three planes.11 It is plausible that the lesser TMTs may also have specific osseous anomalies when metatarsus adductus is present. Surgical solutions for these conditions are part of a dynamic and evolving philosophy that requires a logical three-dimensional algorithmic approach.12 The ultimate goal is to create a stable, functionally aligned foot using a predictable technique.
Pertinent Assessment Pearls You Should Know
The assessment of osseous foot deformity begins radiographically. Clinical assessment can identify the areas of chief concern and tenderness, but understanding alignment and angular relationships provides a more complete understanding of the pathology. Clinically these feet appear to have a deep concavity of the medial arch. The lesser digits often present with a lateral windswept position with varying degrees of fibular deviation. Various methods of radiographic analysis exist, but there is no consensus on the best option and the value of the data collected from each. How do we use these measurements, and what benefits do they provide our surgical approach?
Evidence suggests that the Sgarlato method of radiographic midfoot deformity has the highest intraobserver reproducibility of all the measurement techniques.10 One bases the numeric measurement on a tangential line drawn between the first cuneometatarsal and talonavicular articulations. One then draws an additional line from the metatarsal-cuboid articulation to the calcaneocuboid joint. Connecting these lines, a subtended 90-degree reference line approximates the normal longitudinal axis of the second ray, to which one compares the actual second ray position. An angular relationship greater than 20 degrees between these lines is abnormal.10
Engle described a simplified method of metatarsus adductus angle (MAA) evaluation which Thomas later modified. An angle less than 24 degrees is considered normal and is not interchangeable with Sgarlato’s Method due to an average three to four degree variance in measurement.10 Yu and Dinapoli then attempted to quantify the severity of deviation of the lesser TMT joints.13 They designated a MAA of 15 to 20 degrees as mild, 21 to 25 degrees as moderate, and greater than 25 degrees as severe deformity.13 However, this classification provides no specific indication as to surgical threshold or approach. This is especially apparent when trying to correlate angular midfoot abnormalities in the presence of hallux valgus. Thus, in my experience, the surgeon stands within a decision-making vacuum without a logical response pathway.
In instances of combined metatarsus adductus and hallux valgus, Kilmarten described the most logical approach to evaluate the “true intermetatarsal angle” to determine if first ray position is completely correctable in the presence of adjacent deformity. The angle created between the first metatarsal bisection and longitudinal foot axis line approximates the appropriate second ray position and guides the decision-making process regarding lesser metatarsal realignment and midfoot deformity correction.14 Complete reduction of the first metatarsal position is possible when the second, and subsequently the third metatarsal are not occupying the same physical space. The removal of this physical blockade is of paramount importance to facilitate a predictable outcome.1
Conversely, patients with these compound deformities that undergo isolated first TMT arthrodesis often experience greater residual postoperative deformity, higher rates of recurrence, and more postoperative pain.15 One must instead restore the midfoot and associated lesser rays to their appropriate anatomic homes. If not, a mismatch of the longitudinal and anatomic axes will remain, and undercorrection of the deformity will result in up to a two-times increased risk of radiographic hallux valgus recurrence that affects approximately 30 percent of patients.16,17 Loh and colleagues also concluded that there was a 33 percent prevalence of metatarsus adductus in patients with symptomatic hallux valgus,18 which lends further evidence to the commonality of this deformity combination.
Appropriate weight-bearing imaging is essential to accurately assess the pathology. Foot position can reduce or produce a midfoot deformity artifact based upon the 2D beam projection. A supinatory or pronatory position influences the radiographic appearance of these deformities and can affect the measured angular relationships. Weight-bearing 3D computed tomography (CT) may provide more comprehensive analysis of osseous and soft tissue relationships. Plain film radiography does not fully reflect, and is not capable of truly measuring a complex 3D object such as the foot and ankle, with significant measurement errors reported in 20 percent of cases.19 As access to 3D weight-bearing CT becomes more commonplace, this may rapidly become the new standard of care for evaluating these and other complex multifaceted anatomic anomalies.19
Understanding Surgical Planning And Pitfalls For The Adult With Metatarsus Adductus
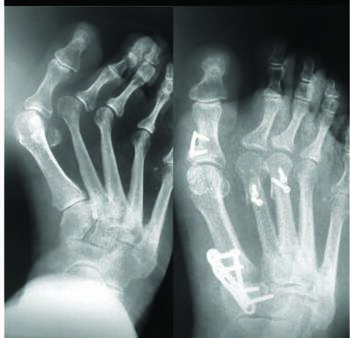
Osseously mature patients with symptomatic metatarsal parabola pressure imbalances, midfoot deformity, and hallux valgus may benefit from a multilevel surgical reduction. In my experience, there is a high prevalence of, and clinical correlation between, metatarsus adductus and hallux valgus in adults. Accordingly, I find that complete correction of this pathology and its associated symptoms can prove elusive as we have not had a reproducible approach to lesser TMT midfoot deformities. Descriptions of various soft tissue and osseous procedures to correct these compound foot deformities exist, and have mixed results. There are also descriptions of techniques utilizing free-handed proximal and distal osteotomies of the lesser metatarsals to address severe metatarsus adductus with hallux valgus. Still, the radiographic results are inconsistent and often result in residual deformity (see left set of photos above).20 Rotational and translational osteotomies through the metatarsals can disrupt the weight-bearing parabola.21 Combined medial column lengthening and lateral column shortening procedures also reveal varying degrees of success.22 These procedures can produce overtightening of the plantar soft tissues with overactivation of the windlass mechanism and in contrast, instability of the TMTs through an oblique axis shift in ligamentous alignment.22,23
Various first ray procedures in isolation or in combination with lesser metatarsal osteotomies when a patient had metatarsus adductus and hallux valgus led to reports of an undesirable frequency of hallux valgus recurrence, posing a significant surgical challenge.24-27 These concerns bolster the argument that performing correction at an anatomic apex at the TMTs rather than a more distal point is most appropriate. Osteotomies produce a new deformity if an anatomic and mechanical mismatch results from a discrepancy in the relationship between the correction site and the CORA inherent in the geometry of the deformity.28
If the adult with metatarsus adductus has a moderate-to-high intermetatarsal angle and a low MAA, isolated hallux valgus reduction may be successful due to the limited lesser metatarsal angulation and the large space present between the first and second rays.1 One may consider specific angular correction of the first metatarsal in these specific scenarios to produce what appears to be a negative intermetatarsal angle between the first and second rays. Reducing the first metatarsal position to parallel the true longitudinal axis of the foot will effectively approximate the position of a normal second ray and more completely correct the underlying pathology.1 A multi-joint procedural approach will produce a more complete correction when an inverse relationship exists between the intermetatarsal angle and the MAA. Reduction of the lesser metatarsal position in these instances enables hallux valgus correction by reducing the physical obstruction that the lesser rays create.1
One Surgeon’s Experience With A Novel Instrumented Approach To Complex Midfoot Deformity And Hallux Valgus
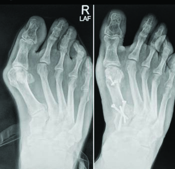
The Adductoplasty™ (Treace Medical Concepts, Inc.) system provides a novel and singular approach to concomitant midfoot and first ray deformities via a multi-planar, multi-joint tarsometatarsal arthrodesis using an anatomic, fixed angle locking plate and screw construct.1 Specific instrumentation facilitates this process and allows the user to reproducibly correct angular relationships and facilitate osseous alignment.1
As with metatarsus adductus correction in general, triplanar correction of the first ray depends on a normal second ray position. We must first reveal the true intermetatarsal angle through lesser TMT deformity correction14 to achieve this goal. The essential tenets of this approach are: plane, cut, compress and fixate. The surgeon first makes a six-to-eight cm, longitudinal incision over the third TMT. Oblique fluoroscopy identifes the level of the joint with a metal marker. One should take care to maintain a four cm skin bridge between the dorsomedial and dorsolateral incisions when dissecting the first and lesser TMT sites. Retracting the extensor digitorum longus tendons exposes the brevis muscle which one then dissects and retracts. The surgeon may transect the extensor digitorum brevis tendon slip to the hallux, allowing retraction of the entire muscle laterally as one unit. The surgeon should maintain the superficial peroneal nerve and dorsalis pedis artery in the soft tissue flap between the dorsal incisions.
The keystone nature of the midfoot anatomy at the second and third TMT articulations creates a significant ‘stair-step’ offset, which requires planing to accept the lesser TMT cutting guide in this technique. The surgeon resects the superior joint apices with a planing guide to revise joint anatomy to accept the keel of the lesser TMT cut guide. Release of the soft tissue interval between the third and fourth metatarsal bases will help facilitate deformity correction and fusion surface apposition following the bone cuts. One should maintain LisFranc’s ligament and the plantar cuneometatarsal ligaments as additional tethering points to further stabilize the arthrodesis following hardware application.
The cut guide keel for this technique interfaces with the second and third TMT, and the cut slots align over the joint spaces in their respective planes. The cannulated outrigger fixation points provide a fluoroscopic visual reference to ensure there is no parallax when determining the guide position at the osseous anatomy. The medial aspect of the cut guide lines up at the lateral border of the medial cuneiform. The surgeon checks the lateral border of the cut guide with C-arm, and inserts a metal marker or fulcrum between the third and fourth metatarsals to delineate the far border of the third metatarsal. These steps and checks reduce the risk of saw blade injury to the medial cuneiform and fourth metatarsal. The goal of the cut guide anatomy is to allow for creation of a continuous angular bone cut at both the metatarsal and cuneiform joint surfaces. This exposes the subchondral bone surfaces to promote arthrodesis similar to the Lapiplasty® (Treace Medical Concepts, Inc.) instrumented triplanar approach at the first TMT.29
Autologous cancellous bone graft may augment arthrodesis in this region. Liberal fenestration of the surfaces facilitates localized bone graft incorporation and helps the joint surfaces interdigitate during bone docking, in my experience. An “up and out – gate-hinge closure” technique reduces the midfoot deformity and the bone gap created by the cuts.1 One performs this technique manually, or assisted with a compressor device, which further stabilizes the reduction and acts as a form of provisional fixation at the lesser TMTs. One applies this device across the third TMT, and fixation is with two parallel threaded olive wires from the lateral aspects of the second and third metatarsals to the medial and intermediate cuneiforms, respectively. The fourth and fifth metatarsals have flexibility at their respective metatarsocuboid joints, which allows for motion back into position without the need to perform an osteotomy or arthrodesis of the lateral column.
The surgeon places fixed-angle locking plates and screws across the normal anatomic contours of the second and third TMTs, and the plates rest on the midline of the bones. This natural angled position, oriented from lateral to medial, assures the screws enter the center of each bone. Maintaining ligamentous attachments further stabilizes the hardware. The surgeon can then reduce the first ray, with the TMT prepared similarly to maintain correction through realignment arthrodesis.30 Complete correction of the true intermetatarsal angle is made possible through initial correction of the lesser ray position and midfoot deformity. This results in reduction of foot width and predictable improvement in the radiographic angular relationships of the medial column.31,32
Concluding Thoughts
Metatarsus adductus, due to its complexity and frequent association with other deformities, poses significant clinical challenges to the surgeon, especially in adult patients. A careful clinical and imaging evaluation can allow one to better understand the true deformity. Evaluating the various methods of measurement, along with various methods of surgical technique will also provide the surgeon with the best tools to improve outcomes in their patients.
Dr. McAleer is a Diplomate of the American Board of Foot and Ankle Surgery and is a Fellow of the American College of Foot and Ankle Surgeons. He is a shareholder partner at the Jefferson City Medical Group in Jefferson City, MO. He discloses that he is a Medical Device Consultant and Royalty Bearer for Treace Medical Concepts, Inc.
1. McAleer JP, Dayton P, DeCarbo W, et al. A systematic approach to the surgical correction of combined hallux valgus and metatarsus adductus deformities. J Foot Ankle Surg. 2021;60(5):1048- 1053.
2. Knight RA. Developmental deformities of the lower extremities. J Bone Joint Surg Am. 1954;36- A:521–527.
3. Peabody CW, Muro F. Congenital Metatarsus Varus. J Bone Joint Surg. 1933;15:171.
4. Harley BD, Fritzhand AJ, Little JM, Little ER, Nunan PJ. Abductory midfoot osteotomy procedure for metatarsus adductus. J Foot Ankle Surg. 1995;34(2):153–162.
5. Shima H, Okuda R, Yasuda T, et al. Operative treatment for hallux valgus with moderate to severe metatarsus adductus. Foot Ankle Int. 2019;40(6):641–647.
6. Fokter SK, Podobnik J, Vengust V. Late results of modified Mitchell procedure for the treatment of hallux valgus. Foot Ankle Int. 1999;20(5):296-300.
7. Houghton GR, Dickson RA. Hallux valgus in the younger patient: the structural abnormality. J Bone Joint Surg Br. 1979;61-B:176–177.
8. Kite JH. Congenital metatarsus varus. J Bone Joint Surg Am. 1967;49:388-397.
9. La Reaux RL, Lee BR. Metatarsus adductus and hallux abducto valgus: their correlation. J Foot Surg. 1987;26:304–308.
10. Aiyer AA, Shariff R, Ying L, Shub J, Myerson MS. Prevalence of metatarsus adductus in patients undergoing hallux valgus surgery. Foot Ankle Int. 2014;35(12):1292–1297.
11. Santrock RD, Hatch D, Dayton PD, et al. Symptomatic hallux valgus deformities and first tarsometatarsal joint morphology. Audio Poster presented at American Orthopaedic Foot and Ankle Society Annual Meeting, September 22-25, 2021, Charlotte, NC.
12. Ray JJ, Koay J, Dayton PD, Hatch DJ, Smith B, Santrock RD. Multicenter early radiographic outcomes of triplanar tarsometatarsal arthrodesis with early weightbearing. Foot Ankle Int. 2019;40(8):955-960.
13. Yu GV, DiNapoli DR. Surgical management of hallux abductovalgus with concomitant metatarsus adductus. In: McGlamry ED, ed. Reconstructive Surgery of the Foot and Leg: Update Podiatry Institute.1989;87:262–268.
14. Kilmartin TE, Flintham C. Hallux valgus surgery: A simple method for evaluating the first–second intermetatarsal angle in the presence of metatarsus adductus. J Foot Ankle Surg. 2003;42:165–166.
15. Conti MS, Caolo KC, Ellis SJ, Cody EA. Radiographic and clinical outcomes of hallux valgus and metatarsus adductus treated with a modified Lapidus procedure. Foot Ankle Int. 2021;42(1):38- 45.
16. Dayton PD. Evidence-Based Bunion Surgery: A Critical Examination of Current and Emerging Concepts and Techniques. New York:Springer;2018.
17. Aiyer A, Shub J, Shariff R, Ying L, Myerson M. Radiographic recurrence of deformity after hallux valgus surgery in patients with metatarsus adductus. Foot Ankle Int. 2016;37(2):165-171.
18. Loh B, Chen JY, Yew AKS, et al. Prevalence of metatarsus adductus in symptomatic hallux valgus and Its influence on functional outcome. Foot Ankle Int. 2015;36:1316–1321.
19. Lintz F, Beaudet P, Richardi G, Brilhault J. Weight-bearing CT in foot and ankle pathology. Orthop Traumatol Surg Res. 2021;107(1S):102772.
20. Martinelli N, Marinozzi A, Cancilleri F, Denaro V. Hallux valgus correction in a patient with metatarsus adductus with multiple distal oblique osteotomies. J Am Podiatr Med Assoc. 2010;100:204– 208.
21. Sharma J, Aydogan U. Algorithm for severe hallux valgus associated with metatarsus adductus. Foot Ankle Int. 2015;36:1499–1503.
22. Viehweger E, Jacquemier M, Launay F, Giusiano B, Bollini G. First cuneiform osteotomy alters hindfoot architecture. Clin Orthop Relat Res. 2005;441:356–365.
23. Krakowsky D, Leveille DW, Hansen MP. Treatment of metatarsus adductus in adults with first metatarsal cuneiform arthrodesis and closing osteotomy of the cuboid. Tech Foot Ankle Surg. 2010;9:64–67.
24. Larholt J, Kilmartin TE. Rotational scarf and akin osteotomy for correction of hallux valgus associated with metatarsus adductus. Foot Ankle Int. 2010;31:220–228.
25. Bock P, Kluger R, Kristen KH, Mittlböck M, Schuh R, Trnka HJ. The Scarf osteotomy with minimally invasive lateral release for treatment of hallux valgus deformity: intermediate and long-term results. J Bone Joint Surg Am. 2015;97:1238– 1245.
26. Iyer S, Demetracopoulos CA, Sofka CM, Ellis SJ. High rate of recurrence following proximal medial opening wedge osteotomy for correction of moderate hallux valgus. Foot Ankle Int. 2015;36:756–763.
27. Tenenbaum SA, Herman A, Bruck N, Bariteau JT, Thein R, Coifman O. Foot width changes following hallux valgus surgery. Foot Ankle Int. 2018;39:1272–1277.
28. Paley D. Principles of Deformity Correction. New York:Springer;2002:61.
29. Hatch DJ, Dayton P, DeCarbo W, et al. Analysis of shortening and elevation of the first ray with instrumented triplane first tarsometatarsal arthrodesis. Foot Ankle Orthop. 2020;5(4):1-8.
30. Smith WB, Santrock RD, Hatch DJ, Dayton PD. Intraoperative Multiplanar alignment system to guide triplanar correction of hallux valgus deformity. Tech Foot Ankle Surg. 2017.
31. McAleer JP, Dayton P, DeCarbo WT, et al. Radiographic outcomes following triplanar correction of combined hallux valgus and metatarsus adductus deformities. ACFAS Scientific Conference, Poster Abstract. Feb 2022.
32. Vaida J, Ray J, Shackleford, TL, et al. Effect on Foot width with triplanar tarsalmetatarsal arthrodesis for hallux valgus. Foot Ankle Orthop. 2020;5(3). Available at: https://doi. org/10.1177/2473011420934804 . Published August 13, 2020. Accessed November 5, 2021.


