The Subtalar Joint Distraction Arthrodesis: Indications and Surgical Pearls
The need for subtalar (STJ) distraction arthrodesis may not initially present itself during clinical evaluation or when reviewing radiographs upon a patient's first office visit. This procedure is fairly uncommon and indications for the procedure should include loss of hindfoot height, typically with a negative talar declination angle, and a decreased ability to dorsiflex the ankle due to anterior impingement. Late complications of calcaneal fractures and subtalar joint dislocations can lead to such a scenario.
We will briefly review the indications for a subtalar joint distraction arthrodesis and surgical pearls.
STJ Arthrodesis for Intra-Articular Calcaneal Fractures
Most intra-articular calcaneal fractures result in a multiplanar deformity causing the calcaneus to lose height (STJ depression), widen (lateral wall blow-out), and malalign (heel varus) that patients frequently sustain from a fall from height or motor vehicle accident.1 Surgical management of intra-articular calcaneal fractures may include open reduction internal fixation (ORIF), external fixation, and primary arthrodesis without consensus on treatment.2
Often, the decision for conservative management of these injuries often leads to post-traumatic arthritis, which requires surgical intervention.3 Sequelae of intra-articular calcaneal fractures can lead to altered STJ anatomy and biomechanics. Neglected injuries may result in pain from peroneal tendon subfibular impingement, sinus tarsi pain, hindfoot stiffness, and bony equinus with anterior ankle impingement.
A Guide to Preoperative Evaluation
The clinical evaluation should include range of motion of the ankle and subtalar joints. Static stance allows evaluation of the hindfoot alignment. Ankle range of motion needs close evaluation to determine if there is soft tissue equinus versus anterior ankle impingement (osseous equinus). Utilize Silfverskiöld testing in differentiating between soleus and gastrocnemius equinus. Utilization of an intra-articular injection is essential to determine how much of that pain is originating from the STJ.
Radiographic evaluation requires weightbearing standard foot and ankle views with axial calcaneal views. These views will help to assess talar declination angle, calcaneal inclination angle, Böhler’s angle, critical angle of Gissane, frontal plane alignment of the heel, joint integrity of the STJ and calcaneocuboid joint, and lateral calcaneal wall integrity (subfibular impingement). Computed tomography (CT) evaluation provides more detailed evaluation of joint viability as well as three-dimensional analysis of the hindfoot osseous structures.
Functional outcomes with pedobarography after STJ distraction arthrodesis have shown a return to normal weight distribution during gait.4 Other such studies, including one by Burton and colleagues, have found statistically improved results in 28 patients for AFOAS score from 25 preoperatively to 75 postoperatively with improved height change and correction to the talus and correct talar declination.5 A systematic review of 21 studies showed an average union rate of 96% and between the studies a relatively low average complication rate of 6%. The typical recommended construct is with fully threaded screws to prevent collapse with no smaller than 6.5mm screw diameter.6 STJ distraction arthrodesis results in improved functionality with correction deformity for sequela of calcaneal fractures. The procedure is well documented with relatively high fusion rates and low complications, with improved AOFAS scores in several case studies as listed above.
Surgical Goals and Pearls of STJ Arthrodesis
The aim of the STJ distraction arthrodesis is to restore the hindfoot height and realign talocalcaneal and talar-first metatarsal angles. In doing so, the ankle joint will have restored dorsiflexion without the talar neck impinging the anterior tibia. Measuring the talar declination angle preoperatively will assist in determining the amount of correction needed for grafting to restore hindfoot height. We are unaware of any study comparing the amount of graft size offering a particular amount of angular correction.
Bednarz and coworkers utilized an iliac autograft that had 8mm of increase in hindfoot height, with 9° change in lateral talocalcaneal angle and 11° in lateral talar declination angle.7 Pollard and Schubert reported a 6mm mean increase with average 5.5° of talar declination of heel height from 22 patients after a mean follow-up of 27 months following STJ distraction arthrodesis with a union rate of 95%.8 An in situ STJ arthrodesis alone for a depressed intra-articular calcaneal fracture without addressing the increased talar declination will result in anterior ankle and/or subfibular impingement.9
Surgical exposure to perform a STJ distraction arthrodesis will vary based on surgeon preference, past surgical incisions, and ancillary procedures that will be performed. Incision placement includes sinus tarsi, lateral extensile, posterior, and medial approaches. The lateral approach exposes the posterior and middle facets, the posterior approach provides direct visualization of the entire posterior facet of the STJ (easier to make frontal plane adjustments), and the medial approach gives exposure to the middle and anterior facets with some visualization of the posterior facet (allows for medial column work and avoid skin tension on the lateral sinus tarsi).10
Complete a two- or three-screw construct through the wedge graft in the STJ with the hindfoot in neutral or slightly valgus. Studies have documented graft choice from autograft to allograft with orthobiologics agents to have similar union and complication rates.11 Also note that the graft site is expected to compress and slightly shorten in height during the postoperative phase.12 As such, we prefer to use non-lagged, fully threaded screws to prevent overcompression as the tight fit of the graft should be enough for promoting primary bone healing.
Case Report: Chronic Pain in the Sinus Tarsi
A 57-year-old female presented with chronic left hindfoot pain such that she can only walk for a few minutes before having to rest due to pain that she rated at 10/10 by the end of the day. The patient had a remote history of a left hindfoot dislocation without any fractures 35 years ago, for which she received conservative treatment with cast immobilization after initial closed reduction. Subsequently, her pain only worsened and she failed all conservative treatment options. She did have diabetes mellitus type 2, but it was well-controlled (HbA1c 5.8%).
Clinically, the patient had no STJ range of motion and pain was pronounced over the sinus tarsi and under the fibula where there was a large firm prominence. Overall, range of motion to the left hindfoot was 75% to that of the contralateral side. Pain was elicited with any attempted STJ range of motion and with limited ankle dorsiflexion which was less than 5°. The patient could stand with heel in rectus position, but she was not able to walk for more than a few steps due to the pain. Patient demonstrated gastrocnemius equinus upon Silfverskiöld testing.
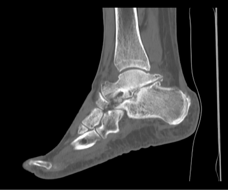
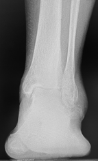
Radiographs showed osseous masses on the lateral aspect of the sinus tarsi and under the fibula with arthrosis of the STJ (Figure 1). The preoperative lateral Meary’s angle was 14º, talar declination angle was 12º, and talocalcaneal angle was 22º. Computed tomography showed arthrosis of the STJ arthrosis involving the posterior facet of the STJ with loss of talar height (Figure 2).
Due to the obvious osseous pathology, the patient deferred a diagnostic injection and opted for surgical intervention. The surgical plan included STJ distraction arthrodesis to restore the hindfoot anatomy, inspect the peroneal tendons for any tears to repair, and gastrocnemius recession.
Due to the lateral osseous fragments and need for inspecting the peroneal tendons, we made a lazy-S lateral sinus tarsi incision to permit skin expansion after the wedge placement and ease skin closure. Intra-operatively, bone fragmentation was present in the subcutaneous layer lateral to the sinus tarsi with the lateral approach. The calcaneofibular and anterior talofibular ligaments could not be identified due to the extensive scarring around the lateral ankle. The peroneal tendons did not show any tears, but there were adhesions around the tendons as it approximated the lateral osseous fragments near the sinus tarsi.
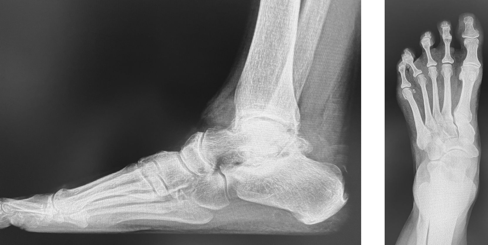
Severe arthrosis was present in the STJ. Surgeons prepped the joint with a combination of osteotomes and curettes. After using a lamina spreader in the posterior facet of the STJ to restore the biomechanical angles, we determined that a 12mm wedge was needed. Prior to inserting the wedge, we determined that a gastrocnemius recession would be sufficient to get the ankle to neutral position and a tendo-Achilles tendon lengthening was not needed. The wedge was designed from a femoral head allograft (from the neck portion) without any frontal plane adjustments. We tamped the graft into the posterior facet and packed the remaining STJ gaps with allogenic bone chips from the remaining allograft. Surgeons inserted two fully threaded screws without lag technique across the STJ (Figure 3) with postoperative lateral Meary’s angle measuring 4°, talar declination angle measuring 22º, and talocalcaneal angle measuring 35º. Suture anchors inserted into the talar neck, fibular tip, and the lateral calcaneus replicated the anterior talofibular and calcaneofibular ligaments. To minimize adhesions, we placed amniotic tissue around each peroneal tendon on the lateral aspect of the sinus tarsi. Lateral incision closure occurred without much tension.
|
Angles |
Pre-operative |
Post-operative |
Normal |
|
Lateral Meary’s |
14º |
4º |
0º |
|
Talar declination |
12º |
22º |
18-24º |
|
Talocalcaneal |
22º |
35º |
15-40º |
The patient wore a posterior splint and was non-weight-bearing with a knee scooter. She transitioned into a high-tide boot to permit range of motion exercises at three weeks after suture removal. She started partial weight-bearing at six weeks and was able to transition back into regular shoes at eight weeks postoperative. She will not be cleared for any impact activities for three months. She has been healing uneventfully postoperatively and is currently undergoing physical therapy to improve her strength and flexibility.
In Conclusion
STJ distraction arthrodesis following loss of hindfoot height is a fairly uncommon procedure that can provide predictable restoration of gait and anatomy leading to functional improvement while eliminating post-traumatic arthritic pain.
Dr. Husain is the Residency Director of the McLaren Oakland Hospital Podiatric Surgery and Medicine Residency Program in Pontiac, MI. He is a Fellow of the American College of Foot and Ankle Surgeons and a Fellow of the American Society of Podiatric Surgeons. Dr. Husain is also the President of the Michigan Podiatric Medical Association and Chairman of the Michigan Podiatric Residency Consortium.
Dr. Kipp is a third-year podiatric resident at McLaren Oakland Hospital in Pontiac, MI.
Disclaimer: The views and opinions expressed are those of the author(s) and do not necessarily reflect the official policy or position of Podiatry Today or HMP Global, their employees and affiliates. Any content provided by our bloggers or authors are of their opinion and are not intended to malign any religion, ethnic group, club, association, organization, company, individual, anyone or anything.
References
1. Razik A, Harris M, Trompeter A. Calcaneal fractures: Where are we now? Strategies Trauma Limb Reconstr. 2018;13(1):1–11.
2. Liu GT, Vanpelt MD, Lalli T, Raspovic KM, Wukich DK. Surgical management of displaced intra-articular calcaneal fractures: What matters most? Clin Podiatr Med Surg. 2019;36(2):173–84.
3. Csizy M, Buckley R, Tough S, Leighton R, Smith J, McCormack R, Pate G, Petrie D, Galpin R. Displaced intra-articular calcaneal fractures: variables predicting late subtalar fusion. J Orthop Trauma. 2003;17(2):106–12.
4. Rammelt S, Grass R, Zawadski T, Biewener A, Zwipp H. Foot function after subtalar distraction bone-block arthrodesis. A prospective study. J Bone Joint Surg Br. 2004;86(5):659–68.
5. Burton DC, Olney BW, Horton GA. Late results of subtalar distraction fusion. Foot Ankle Int. 1998;19(4):197–202.
6. Schepers T. The subtalar distraction bone block arthrodesis following the late complications of calcaneal fractures: a systematic review. Foot (Edinb). 2013 Mar;23(1):39–44.
7. Bednarz PA, Beals TC, Manoli A 2nd. Subtalar distraction bone block fusion: an assessment of outcome. Foot Ankle Int. 1997;18(12):785–91.
8. Pollard JD, Schuberth JM. Posterior bone block distraction arthrodesis of the subtalar joint: a review of 22 cases. J Foot Ankle Surg. 2008;47(3):191–8.
9. Huang PJ, Fu YC, Cheng YM, Lin SY. Subtalar arthrodesis for late sequelae of calcaneal fractures: fusion in situ versus fusion with sliding corrective osteotomy. Foot Ankle Int. 1999;20(3):166–70.
10. Haldar A, Heidari N, Malagelada F. Medial approach for subtalar distraction bone block arthrodesis. Foot (Edinb). 2021;49:101848.
11. Lee MS, Tallerico V. Distraction arthrodesis of the subtalar joint using allogeneic bone graft: a review of 15 cases. J Foot Ankle Surg. 2010;49(4):369–74.
12. Trnka HJ, Easley ME, Lam PW, Anderson CD, Schon LC, Myerson MS. Subtalar distraction bone block arthrodesis. J Bone Joint Surg Br. 2001;83(6):849–54.


