What You Should Know About Planal Dominance And Pronated Feet
It is unfortunate that the terms pes planus and flatfoot are so ingrained in the medical literature because they concentrate attention on only one component of a very complex deformity. Smith and Ocampo described a classification for pes “pronatus” based on an earlier work by Borelli and Smith that identified the dominant plane of the deformity.1,2 Although it was originally designed for surgical procedure planning, it is equally ideal for non-surgical treatment.
Dating back to the 1970s, biomechanical theory of the pronation syndromes concentrated almost exclusively on pronation of the subtalar joint. Recognizing forefoot varus was the first step in developing the understanding of pronation as a multiplanar deformity. However, emphasis on forefoot varus as a coronal or frontal plane deformity ignored the fact that it also represents a sagittal plane deformity.
The current understanding of pronation emphasizes talocalcaneonavicular (peritalar) hyperpronation or subluxation. However, even this may be oversimplistic because it does not take into consideration variability in rearfoot anatomy. In order to facilitate optimal treatment, one must have a strong understanding of the plane of dominance of deformity in each case.3
It is necessary to consider each of the planes of the deformity separately and collectively in order to intervene appropriately. Inversion and eversion of the calcaneus are markers of movement in the coronal or frontal plane. The examiner uses the bisections of the calcaneus and the distal tibia to measure the range of motion as the subtalar joint is pronated and supinated.
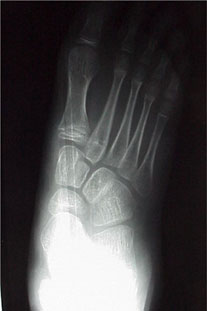
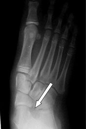
Physicians may evaluate the transverse plane component by noting the medial bulge produced by the uncovered talar head and the percentage of talar head coverage on an AP weightbearing radiograph.
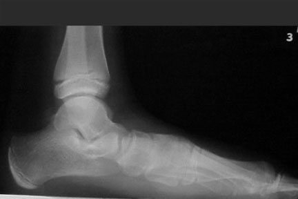
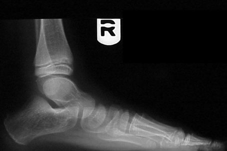
One can clinically evaluate the sagittal component by the height of the “medial arch.” It is almost impossible to assign a specific numerical measurement to this clinical observation. Evaluation of a weightbearing lateral radiograph will identify failure or “fault” along the medial column. The apex may be at the talonavicular joint, the cuneonavicular joint, the metatarsocuneiform joint or may be equally represented at all three of these locations.
The subtalar joint axis determines the movement characteristics of the rearfoot. If the subtalar joint axis is close to the weightbearing plane, the majority of movement will be in the coronal or frontal plane. This means that most of the rearfoot movement will be inversion and eversion of the calcaneus. If the subtalar joint axis is close to vertical, rearfoot movement will be almost exclusively in the transverse plane. If the axis forms an angle of 30 degrees to the weightbearing plane, there will be twice the amount of inversion and eversion compared to transverse plane motion. If the axis forms an angle of 60 degrees to the weightbearing plane, there will be twice as much transverse plane motion compared to inversion and eversion.
Sagittal plane deformity seems to be independent of the subtalar joint axis. It is more correctly regarded as structural instability along the medial column that is initially flexible and subsequently becomes rigid through adaptive remodeling due to longstanding abnormal forces placed on the developing bone.
What You Should Know About Peritalar Hypermobility And Subluxation
There are four distinct forms of peritalar hypermobility and subluxation that are defined by identifying the plane of the deformity that dominates. This is not to say that the deformity occurs only on a single plane. It merely means that one plane can have the greatest amount of deformity. The first three are frontal, transverse and sagittal plane deformities. The fourth has almost equal involvement on all three planes.
Coronal plane deformity. These children have a significant everted heel in stance which one can recognize via a positive Helbing’s sign and excessive heel eversion. Normal ranges are 30 to 40 degrees of inversion and 10 degrees of eversion. With coronal plane dominance of the deformity, heel eversion is well above 15 degrees and may reach as high as 20 or 25 degrees. The therapeutic goal is to control the heel in a near vertical position.
Transverse plane deformity. These children stand with the calcaneus in 10 degrees of heel eversion. Subtalar range of motion averages 30 degrees of inversion and 10 degrees of eversion. When one views this from above, there is a major prominence of the talar head medially. This is confirmed on AP weightbearing radiographs. The medial half of the talar head is not covered because the navicular is placed dorsally and laterally. Supinating the rearfoot will cover the talar head but this results in an unacceptable varus position of the calcaneus.
Sagittal plane deformities. A line bisecting the talus on the lateral radiograph should continue distally and downward so it parallels the first metatarsal shaft. If it does this, the navicular and the first cuneiform are presumably in line as well. If it does not, then there is sagittal failure somewhere along the medial column.
This failure can occur at the talonavicular joint, the cuneonavicular joint, the first metatarsocuneiform joint or in several of these areas at the same time. This failure results in the familiar “fault.” When this occurs, the talus goes into obligatory plantarflexion and the ankle goes into some degree of equinus position. The result is a plantigrade medial side of the foot. The sagittal failure can be flexible or rigid. When it is flexible, it is referred to as forefoot supinatus. When it is rigid, it becomes irreducible forefoot varus. The effect on subtalar range of motion varies from case to case but generally requires subtalar pronation to get the medial column down to the weightbearing surface.
Triplane deformity. In some instances, there is no single plane dominating. Clinically, these patients have excessive amounts of heel eversion (15 to 25 degrees), prominence of the talar head medially and sagittal failure of the medial column. Most of these deformities are very flexible.
Triplane deformity is present with a number of forms of neuromuscular disease that have muscle weakness, hypotonia and ligamentous laxity in common. Since it is present in three planes, the deformity is very difficult to control. Additionally, the peritalar joint deformity borders on true subluxation. The amount of skin pressure from orthoses required to control this problem becomes excessive and requires dissipating force over a larger surface of skin.
Case Study One: When A Young Patient Has Arch Pain After Long Walks
A 10-year-old female complains of pain in the arches after walking long distances. She has had the pain for one year. There is nothing significant in her past medical history.
The clinical examination shows subtalar range of motion at 35 degrees of inversion and 18 degrees of eversion bilaterally. There is no fixed forefoot varus. One can easily reposition the entire foot with the heel vertical and the plane of the metatarsal heads at right angles to the heel bisection. Ankle dorsiflexion with the knees and extension is 10 degrees bilaterally and increases to 15 degrees when the knees are flexed. Tibial torsion is 25 degrees external on both sides. There are 2 inches of malleolar separation when the knees just touch. The hip range of motion is physiologic and the patient is neurologically intact.
Examination of her walking pattern reveals a normal heel-toe gait on both sides. The right foot is externally rotated about 15 degrees to the line of progression and the left foot is externally rotated about 10 degrees. Radiographs show a wide AP talocalcaneal angle with about 50 percent of the talar head uncovered and a global midtarsal fault.
Although there is deformity in all three planes, excessive heel eversion dominates. Since there is no other explanation for the pain, it is presumably the result of strain of the plantar musculature from overuse.
The goals of treatment are to allow the heel to function in a near vertical position, allow some physiologic subtalar range of motion, prevent hyperpronation and support the medial column. In most cases, one can accomplish these goals with a UCBL orthosis or some similar non-pronating orthosis type.
Case Study Two: When A Patient Has A Long History Of Pronation
A 12-year-old male presented with a long history of treatment for pronated feet. His parents first noticed the condition when the child was approximately 2 years of age. At this time, they noted bulging of the talar head medially bilaterally. A pediatrician initially treated him with straight last shoes.
The parents did not detect any improvement and consulted a podiatrist when the child was 4. The patient has had a number of orthoses of various types over the intervening years. The parents still did not notice any improvement. He began to complain of generalized foot and ankle pain with activities. He would like to play sports but finds the discomfort during and shortly after activities unacceptable. The remainder of his history is unremarkable.
The clinical examination shows the patient has 30 degrees of inversion and 10 degrees of eversion bilaterally. There are 3 degrees of forefoot varus bilaterally but this is very easy to reduce with pressure over the first metatarsal heads. When the heel is vertical, there is still very significant medial talar head bulging. Ankle dorsiflexion with the knees in extension is 7 degrees bilaterally and increases to 15 degrees bilaterally when the knees are flexed. Tibial torsion is external at 25 degrees bilateral. There are 4 inches of malleolar separation when the knees just touch.
The patient has bilateral heel-toe gait. Both feet are externally rotated about 25 degrees to the line of progression. The medial arch is low bilaterally. The hip range of motion is physiologic and the patient is neurologically intact. Of note, he is moderately obese.
Radiographs show a very wide AP talocalcaneal angle with an abducted forefoot. The lateral view shows sagittal instability of the medial column. The deformity is most pronounced on the transverse plane.
Presumably, the discomfort is produced by a combination of plantar foot strain and peritalar subluxation in an obese male. The goals are to restore peritalar alignments and relieve the stress on the plantar soft tissues. In this case, however, coverage of the talonavicular joint in the transverse plane would require so much heel inversion that orthoses would be intolerable. Orthotic therapy requires the acceptance of a partially pronated orthosis. It is also important to remember that not all patients with foot deformity are orthosis candidates.
Case Study Three: When A Young Athlete Has Foot And Ankle Discomfort With Physical Activity
A 12-year-old male weighing 190 pounds complains of foot and ankle discomfort associated with physical activities. He has had the discomfort for about a year. It started when he began playing organized football.
The discomfort has gradually become worse and the pain now frequently occurs with normal walking. Another physician obtained a MRI of his feet in an attempt to identify a tarsal coalition. The MRI and plain radiographs were negative for coalition.
The physical examination shows a plantigrade foot structure when the patient stands. There is moderate prominence of the talar head medially.
In regard to the patient’s subtalar range of motion, there are 30 degrees of inversion and 10 degrees of eversion bilaterally. When the heel is in a vertical position, there are 7 degrees of fixed forefoot varus and the talar head is no longer prominent. Tibial torsion is 20 degrees external on the right and 15 degrees external on the left. When he stands, there is significant genu valgum with 6 inches of malleolar separation when the knees touch. Hip and knee examination are normal, and the patient is neurologically intact.
Standing AP radiographs show the AP talocalcaneal angle is preserved. The lateral radiograph shows marked medial column collapse.
Presumably, the patient is fully pronated in stance and gait. Pain is limited to the talonavicular, calcaneocuboid and sinus tarsi areas. The therapeutic goals are control of the excess pronation and accommodation of the forefoot varus. The deformity dominates in the sagittal plane. Its rigidity limits orthotic therapy to support. One can try a partially pronated device with accommodation for part of the forefoot varus. Physicians should also consider surgical options.
Case Study Four: Treating A Developmentally Delayed Child With Excessive Pronation
A 7-year-old female with Down syndrome underwent evaluation at the request of her physical therapist because of excessive pronation. Her past medical history includes repair of a ventricular septal defect and bilateral hernias. She passed all of her motor milestones late and did not walk until she was 23 months of age. She is currently undergoing physical therapy to improve trunk control.
The physical examination shows subtalar range of motion at 35 degrees of inversion and 20 degrees of eversion bilaterally. Ankle dorsiflexion with knees in extension and flexion is 30 degrees bilaterally. Tibial torsion is 35 degrees external bilaterally. Her knees hyperextend about 15 degrees. The patient’s hip range of motion is 20 degrees in and 55 degrees out bilaterally. She is hypotonic but otherwise neurologically intact. Her spine is straight but she has C1-C2 instability.
The AP and lateral weightbearing radiographs show marked widening of the AP talocalcaneal angle and severe midfoot collapse on a lateral radiograph.
In regard to therapeutic goals, one should try to control her excessive pronation and give her a stable base of support to improve her walking ability. Most of these children will pronate off a UCBL orthosis. If not, skin pressure is often intolerable and leads to noncompliance. A supramalleolar orthosis (SMO) is a better choice. On occasion, such a child might require an ankle-foot orthosis (AFO).
Factors You Should Consider With Orthotic Therapy
Orthotic therapy and surgical therapy for flat feet are not equally weighted and interchangeable therapeutic options. Each has its own specific indications and limitations that are dictated by the physical findings.
One should take several other factors into consideration. Orthotic therapy works best with flexible deformities. Tarsal coalitions restrict rearfoot motion. Except for subtle changes on physical examination, tarsal coalitions may remain clinically silent in children under 10 years old. They often do not image on plain radiography, CT and MRI studies. Nonetheless, the examiner must be on the lookout for them. Often, the only findings to suggest a coalition are altered inversion and eversion. This is especially true for talocalcaneal coalitions. The presence of tarsal coalitions can significantly alter the available therapies.
Limited ankle range of motion is a second factor that one must always consider. When it is present, the child becomes an obligatory pronator in order to get the heel on the ground.
Primary ankle valgus is more common than previously believed. It is the one factor that physicians most commonly overlook in the workup for pronated feet. Most physicians do not obtain AP radiographs of the ankle before initiating orthosis therapy for pronated feet. Therefore, the incidence of primary ankle valgus is unknown and is probably quite high.
Along the same lines, tibia varum and genu valgum influence the effect of the therapy of orthoses. If tibia varum is present, the child has two options. He or she can walk on the lateral border of the foot (which never occurs) or the patient can maximally pronate in order to get the medial column of the foot down to the weightbearing surface. Genu valgum alters the effect of orthoses because the valgus position of the tibia starts the heel off in what appears to be an everted position. Indeed, the heel is everted with respect to the ground but not necessarily with respect to the long axis of the tibia itself.
In Conclusion
Coronal or frontal plane and triplane dominant pronations are the types that respond best to orthosis therapy. As long as heel eversion is not too much more than 15 degrees and as long as hypotonia and ligamentous laxity are not issues, physicians can facilitate control with a near vertical heel.
Transverse plane dominant pronation is the most difficult type to manage in orthoses. In order to cover the talar head transversely and sagittally, it is often necessary to invert the calcaneus much more than is functionally acceptable. This produces an unacceptable varus position of the calcaneus and most patients become mediolaterally unstable. Most of these patients are better suited to lateral column lengthening in order to restore alignment.
The medial column failure in the sagittal plane may respond to orthosis therapy provided the deformity is flexible or the child is young enough to allow for remodeling. Otherwise, one must pursue intrinsic or extrinsic posting of the orthosis to accommodate the forefoot varus.
Orthosis therapy can only succeed if the goals are achievable. This requires evaluation of each deformity to determine the plane of maximal deformity as well as taking into consideration ankle equinus, ligamentous laxity, the tibial shaft relationship to the weightbearing plane and primary ankle valgus.
Dr. Harris is a Clinical Associate Professor in the Department of Orthopaedics And Rehabilitation at the Loyola Medical Center in Maywood, Ill. He is a Fellow of the American College of Foot and Ankle Surgeons.
For further reading, please visit the archives at www.podiatrytoday.com.
References:
1. Smith SD, Ocampo RF. Subtalar arthroresis and associated procedures. Clin Podiatr Med Surg. 14(1):87-98, Jan 1997.
2. Borelli AH, Smith SD: Surgical considerations in the treatment of pes planus. J Am Podiatr Med Assoc 78:305, 1988.
3. Mahan KT, Flanigan KP. Pathologic pes valgus disorders. In McGlamry’s Comprehensive Textbook of Foot and Ankle Surgery 3rd ed. Vol 1 Lippincott Williams & Wilkins Philadelphia, pp 816-861, 2001.


