A Pertinent Primer On Current Orthobiologics
Surgeons have traditionally relied upon autografts, replacement bone from sources within the patient’s own body, as the gold standard for graft remodeling in bone fracture and primary osseous repair. While autograft bone is superior in its ability to provide osteogenic mesenchymal stem cells (MSCs), it has the inherent problem of limited supply and morbidity associated with harvesting from donor sites. Given these limitations, there has been a need for orthobiologic bone substitutes and these products continue to emerge and evolve as viable graft alternatives.
Before we take a closer look at osteogenic substitutes, osteoinductive substitutes and osteoconductive substitutes, it is important to have a strong understanding of the major classifications of bone graft donor resources. The four major physiologic classifications of bone grafts substitutes are autogenous, allogenic, xenografts, inorganic or synthetic.
Autogenous bone is derived from the individual patient. Although it provides vital mesenchymal stem cells, growth factors and natural bone matrix platforms, the harvest potential of autogenous bone is limited in its supply source from the iliac, fibula, rib and calcaneal bone sites. Although the favorable histocompatibility of the autogenous graft is unquestioned, its osteogenic content may vary depending on the physiologic age of the patient and the population of stem cells derived from the bone marrow source.
Young individuals typically have an approximate ratio of one mesenchymal stem cell to 10,000 other bone marrow cells/unit area. In the aged individual, that ratio may be decreased to one stem cell to 1 million to 2 million bone marrow cells. Accordingly, the harvest potential of pluripotent stem cells from an individual may be inconsistent to meet our grafting goals. Current research efforts are focused on isolating and procuring a higher yield of individual MSCs from either bone marrow or adipose tissue sources. Through bioengineering techniques, researchers may be able to differentiate these stem cells into osteoprogenitor cells and add them to conglomerate implantable materials.
Allogenic bone is typically derived from the same cadaveric species and is either “frozen” or “freeze-dried.” Although allogenic bone materials are made readily available, their osteogenic potential may be hampered during the processing of these materials. Sterilization by gamma irradiation may harm an allograft’s molecular growth factors, reducing both their chemotactic and MSC derivative potential. However, sterilization by the ethylene oxide process maintains the viability of protein growth factors such as bone morphologic protein (BMPs).
Xenografts (i.e. graft from alternative animal species) are only referenced here in passing. Various problems have been encountered from histocompatability reactions with host tissue stemming from both the xenograph’s cellular components that do not wash out during processing and from their molecular matrix structures. Inflammatory reactions from synthetic polymers are still of concern. However, crystalline matrixes derived from coral hydroxyapatite and inorganic calcium hydroxyapatite have value. We will discuss these later for their utility as scaffolds.
Understanding Key Structural Differences
The substantive difference between hard cortical versus soft cancellous bone that varies the utility for these materials is gross mechanical strength. While cortical bone offers good strong structural support, it incorporates slowly via creeping substitution into the bony defect. Cancellous bone offers a great deal of osteogenic cellular components, matrix structure and growth factors for both the stimulation of bone repair and the conduction of graft incorporation.
Although cancellous grafts incorporate faster, their porous nature tends to lack structural integrity against strain deformation. Accordingly, surgeons often need to utilize either internal/external fixation or immobilization to augment structural support during early phases of cancellous bone incorporation.
What You Should Know About Osteogenic Substitutes
The ideal graft substitute would provide mechanical stability, a disease-free state and decreased immunogenicity. One would also have the ability to incorporate and replace this graft substitute with the host’s natural bone. Toward this end, bone grafting technology has engineered substitutes generally along three characterisics of graft physiology. These materials either enhance the incorporation process of bone grafting or expand a graft’s ability to provide structural support. The three general categories of graft substitutes are osteogenic substitutes, osteoinductive substitutes and osteoconductive substitutes.
Osteogenic graft materials are invested with cellular elements, which are derived from mesenchymal stem cells (MSCs) naturally harbored in bone marrow. Mesenchymal stem cells have great capabilities to differentiate into either precursor osteoprogenitor or osteoblastic cell lines. Surgeons may combine harvested MSCs with either extracellular bone or cartilage matrix material, which act as scaffolds for further migration of these cell lines into the bone defect site.
Two main areas of osteogenic derivatives are available. While there are the aforementioned drawbacks as there is a limited supply of these derivatives available from the ilium, fibula, rib or calcaneus, fresh autogenous bone provides pluripotential MSCs, growth factors and extracellular matrix. However, morbidity at the human donor site from such problems as bleeding, herniation and structural weakness is a major detriment to obtaining sufficient graft quantity.
Recently, there has been a movement toward a cellular-based approach for bone formation that involves obtaining fresh bone marrow aspirants for either the harvesting or the culturing of an increased concentration source of osteogenic stem cells. However, since the relative concentration of bone marrow stem cells may vary with age and donor site, one may procure additional sources from adipose tissue. Doing so increases the MSC volumes necessary for osteoblastic genesis.
Mesenchymal stem cells derived from adipose tissue have the same pluripotential to differentiate into chondrocytes, osteoblasts, myocytes and fibroblasts as bone marrow MSCs. They can be engineered and cultured into an osteoblastic line via exposure to a solution of dexamethasone, absorbic acid and FO glycerophosphate. These cultured varieties offer additional volumes for supplementing osteogenic activity.
The osteogenesis that occurs through the induction of MSCs has innate advantages by virtue of the multiple receptors on MSC cell surfaces. These receptors will respond to growth factors that surgeons may add to the mix in order to speed along the osteogenic process. Integrin receptors, growth factor receptors, interleukin receptors, transforming growth factor receptors and cell adhesion molecules are all receptors that can enhance responsiveness to either the body’s own natural growth factors or to bioengineered growth factor additives. Mesenchymal stem cell isolates are loaded into scaffolding materials in order to enhance the ingrowth of host cells during creeping substitution.
Key Insights On Osteoinduction Substitutes
Osteoinduction is a new term that has replaced previous concepts of creeping substitution. Osteoinductive materials have the ability to stimulate the differentiation, proliferation and recruitment of potential MSCs. There are several families of local growth factors that will influence such activity. Among these are bone morphogenic proteins (BMPs), transforming growth factors (TGF-b), platelet derived growth factors (PDGF), fibroblastic growth factors (FGF), insulin-like growth factors (IGF-I, II), interleukins (ILKs) and prostaglandins (PGE2). Depending upon their properties, these factors, which are inherently found in natural bone, will induce stem cell differentiation and replication to varying degrees.
These osteoinductive molecules are either held in reservoir in the collagen fibers of the extracellular bone matrix (EBM) or in the body’s humoral fluids. When formed via the harvesting of extracellular bone matrix, the crystalline architecture of the EBM acts as a scaffold for activated growth factors and instigates chemotactic migration of differentiated stem cells. In this regard, the general product lines of osteoinductive materials include demineralized bone matrix (DBM), platelet rich plasma (PRP) and hybrid composites.
Demineralized bone matrix is produced mainly from human cadaveric specimens or alternative bovine sources. The extracellular bone matrix is demineralized of its calcium overcoat by a combined hydrochloric acid solution and sterile water rinse. Decalcifying the underlying type 1 collagen matrix core will expose bioactive surface proteins. Among the most powerful of these is the family of BMPs.
While there are 14 BMPs, researchers have found that BMPs 2 and 7 are the most powerful osteoinductive bone factors in stimulating differentiation and migration of MSCs. Notwithstanding, TGF-b also stimulates osteoblast differentiaton, PDGF instigates angiogenesis, FGF encourages connective tissue matrix formation, IGF stimulates osteoblast replication and proliferation, and interleukins instigate osteoclastic macrophage activity. Recently, the prostaglandin system, in particular PGE2, appears to facilitate and monitor the response of the repair process via a feedback mechanism to coordinate osteoblast and osteoclast interactivity.
Unfortunately, when DBM loses its calcium overcoat, its structural strength is greatly compromised. The weakened collagenous matrix, though ideal for inducing the cascade of osteogenic events in endochondral ossification, lacks structural strength. Surgeons typically reserve DBM as a gap filler for defects. Using hydrochloric acid as the washing agent for decalcifying DBM enables one to preserve the osteoinductive capabilities of DBM more effectively in comparison to the older generation of EDTA washes.
Supplied in the forms of powders, gels, chips, putties and flexible sheets, these grafts fillers require some form of internal or external structural support to the defect site. Typical examples of these product lines include: Grafton® (Osteotech), Allomatrix® (Wright Medical), Dynagraft® (IsoTis OrthoBiologics), Optiform®, Osteostem® (EBI) and Accell® (IsoTis OrthoBiologics).
When it comes to PRP, one may obtain this centrifuging autologous blood from the patient intraoperatively. Through a parallel processing system performed during surgery, autologous blood is spun down into various growth factor elements including PDGF, IGF-I and II, vascular endothelial growth factor (VEGF), TGF-b and plasma. These isolated factors act as transient chemo-attractants and stimulate mitogenic activity in the reparative cells. The surgeon often places these products within the surgery site either by themselves or in a mixture of graft materials such as autograft or allograft cancellous bone chips. Platelate derived growth factor product lines include AGF, Magellan™ (Medtronic), Sequire (PPAI Medical) and Symphony™ (DePuy).
Growth factor isolates arise from direct purification of isolated growth factors. As noted earlier, BMP-2 and BMP-7 have sparked the greatest interest. Researchers have demonstrated the powerful ability of BMP-2 and BMP-7 to stimulate MSC differentiation into osteoblasts in spinal fusion studies. Bioengineered recombinant human bone morphogenic protein products (rhBMP) have now been combined with scaffold material for implantation into bone graft sites. These RhBMP composites typically come in the form of sponges. Due to their strong indiscriminate potential to activate any pluripotential mesenchymal stem cells, one should be cautious about using these composites.
Bone morphogenic proteins have been known to instigate intramembranous ossification in adjacent soft tissue. Accordingly, containment in a vehicle mixture becomes important to control leakage and avoid extraneous ossification of surrounding tissues. Some forms of injectable rhBMP materials are presently under investigation. The power of their genetic activity comes at a high cost and makes these products economically unavailable for the routine bone surgery event.
The last class of osteoinductive materials are hybrids. Typically, hybrids are a combination of two or more products of osteoinductive materials to enhance the bone healing process. The product lines of these composites include Allomatrix, Symphony™ I/C Graft Chamber and Imbibe™ (Orthovita). Together with the structural support of scaffolding materials, the stability and osteoinductive capabilities of these hybrids more closely resemble autogenous bone grafts.
A Guide To Osteoconductive Substitutes
Osteoconductive materials are either allogenic, cortical or cancellous bone. These materials also include bioengineered products, which provide an inorganic scaffold to facilitate the active migration of osteoprogenitor cells and vascular angiogenesis. The physical features of bioengineered compounds have been designed to mimic more closely the porosity of natural organic extracellular bone matrix with pore sizes ranging from 100 to 1,000 microns in diameter. In general, the success of these materials will be determined not only by their composition and physical presentations but also by their manufacturing process, granulometry and interconnective porosity.
Classifications of osteoconductive materials include allogenic bone, ceramic synthetics, polymers and composites.
• Allogenic osteoconductive bone materials. Two main types are typically derived from the procurement processes into frozen bone or freeze-dried bone. Their bone matrix remains calcified. While frozen bone sections facilitate structural strength for large bony defects, they are complicated by incomplete resorption and incorporation, fatigue failure, and potential immunogenicity. Be aware that gamma irrradiation techniques employed during some sterilization processes may destroy osteoinductive agents (such as Osteoplant® (Bioteck)) within the bony matrix.
However, with chemical sterilization, one can preserve ethylene oxide growth factors within freeze-dried bone. Some examples include Grafton, Osteo-Fil™ (Regeneration Technologies), Optiform and Dynagraft. These products are available in fibers and flexible sheets, moldable gels and putty. However, the strength of demineralized bone in these products is structurally inadequate. Accordingly, surgeons would only use these products as gap fillers in non-weightbearing areas or non-unions.
• Ceramic synthetics. Ocean coral has a hydroxyapatite (HA) crystalline structure similar to human bone tissue. While the use of ocean coral as a substitute has potential value, the supply source is very inaccessible. Fortunately, technological advances have led to engineered crystalline forms of either individual or composite forms of the chemicals calcium hydroxyapatite and tricalcium phosphate.
The difference lies in the absorption character of each of these materials. Hydroxyapatite resorbs over years whereas tricalcium phosphate resorbs from days to weeks. Both the porosity and the calcium composition of these materials determine their reabsorbability. Bioengineering attempts to mimic the human pore at about 100 microns/diameter. This optimizes natural host cellular ingrowth.
The absorption spectrum is slow among the dense, low porous hydroxyapatite materials (i.e. Calcite®, Calcitek®). However, when it comes to the macroporous hydroxyapatite calcium carbonate material (Pro-Osteon™ 200R and 500R, Interpore), complete resorption occurs within six to 18 months.
Although increased porosity lends toward improved creeping substitution, it will also decrease the overall biomechanical strength of the materials. Accordingly, synthetic ceramics may be good as void fillers but are not good as structural implants. Their opaque nature may also lead to problems with radiographic assessment.
Calcium phosphate materials are typically formed from hydroxyapatite derivatives, varying in pore size from 1 to 1,000 microns. Common product lines include Skelite (Millennium Biologix), Vitagraft® (Orthovita) and Norian SRS® (Norian). Although these materials are considered “biological cement,” the handling characteristics of calcium phosphate derivatives allow surgeons to mold or inject them into defects. The ability of these materials to harden rapidly at body temperature within 10 to 30 minutes creates a cement-like bond. These materials are FDA-approved for use in stabilizing multiple bone fracture fragments. Surgeons often employ these materials to both coat implants for bonding purposes and for defect fill.
As a basic hydroxyapatite, calcium sulfate (Plaster of Paris) is available in 3.0 to 4.8 mm. pellets and surgeons typically use the pellets as void fillers. This common inorganic material is readily available and affordable. Its easy moldability allows for mixture with other substances such as antibiotics to provide not only void filling capabilities but also time delivered drug therapy in bone. However, calcium sulfate product lines are rapidly resorbed in four to eight weeks in humans. Some commonly used products include OsteoSet (Wright Medical) and Boneplast (Interpore Cross).
As far as tricalcium phosphate, common products include Vitoss™ (Orthovita) and Contuit. While this material is biocompatible, it has a small grain size, low porosity and rapidly dissolves within six weeks. Used to fill voids as graft extenders, they are typically supplied as morsels or dowels. Rapid resorption may preclude their effectiveness as substitutes for structural repair.
Bio-glasses or bioactive glasses bind collagen and various growth factors to form a porous matrix on a silica gel that allows for infiltration of osteogenic cells. Examples include SiO2, Na2O, CaO and P2O2. Usually limited to dental implants, these substances resorb very slowly and also offer little structural stability within defects.
Understanding The Pros And Cons Of Polymers And Composite Grafts
• Polymers. Polymers are available as either non-absorbable or absorbable. Polymers are typically fashioned from long carbon chains with hydrogen and oxygen radicals. Non-absorbable materials, including polymethylmethacrylate, are neither inductive nor conductive. Their quick hardening properties are typically used in the physical cementing of implants into bone. Absorbable polymers for orthopaedic use include the polylactic and polyglycolic acid products. These absorbable polymers are limited in their use as gap fillers as they have rapid biodegradation. They may potentially incite inflammatory reactions. Absorbable polymers (Bionics, Biomet™) are typically fashioned into implants, screws, plates, rods or anchors to secure or compress bony fragments.
• Composite grafts. These grafts are mixtures of various osteoconductive elements to augment autogenous bone. Biologic examples would include demineralized bone matrix with autogenous bone marrow or cancellous bone chips to act as a graft fill expander. Synthetic composites— such as Biofibre®, Norion® (Synthes) and Collograft® (Zimmer) — combine ceramic-type materials with collagen byproducts to enhance the fill of defects. In addition to synthetic composites, bovine collagen composites with recombinant rhBMP materials (i.e. RhBMP-2, Genetics Institute and RhBMP-7, Creative Biomolecules) are now in clinical trials to enhance osteoinductive activity. Modified polymer matrix designs are currently undergoing trials for producing a staged release of a reservoir of local growth factors to match the phasic physiologic process of bone healing.
Case Study: When An Ankle Implant Arthroplasty Fails
In this case, a patient presented with significant failure of a previous ankle implant arthroplasty. In the above photo, note the valgus and subsidence of the talar component. One can also see the loosening of the tibial component and the probable non-union of the syndesmosis.
The surgeons used an isolated medial approach. Note the large defect after removal of the implant in the above photo.
As one can see in the above photo, the arthrodesis interface biologics include an implantable bone stimulator, fresh frozen femoral head allograft and demineralized bone matrix (DBM).
The above photo shows a one-week post-op radiograph with external fixation.
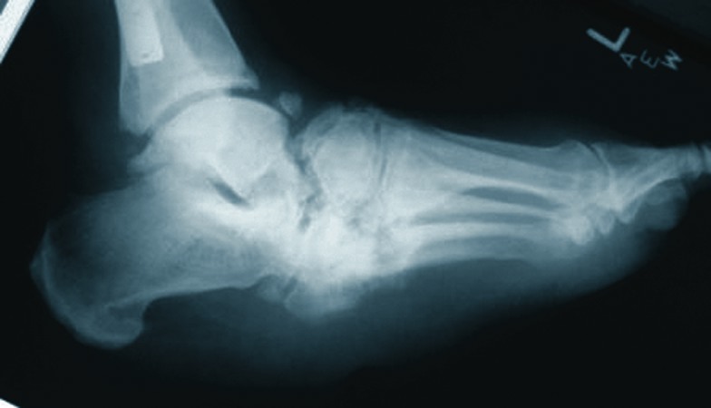
Note the final consolidation at six months postoperatively in the above photo.
(Photos courtesy of Glenn Weinraub, DPM, FACFAS)
Case Study: Using Orthobiologics In Large Osseous Deficits
In this case, the patient presented with an end-stage Charcot midfoot with a chronic plantar ulceration and equinus deformity (see photo on the right). The correction entailed midtarsal joint arthrodesis, tendo-Achilles lengthening and local wound care.
Prior to compression of the limited internal beam construct, there were large osseous deficits in the talonavicular joint and calcaneocuboid joint once the surgeon debrided all of the non-viable reactive bone from the midtarsal joint.
Biologic and biophysical enhancement included an external bone stimulator, external fixation and tricalcium phosphate mixed with platelet gel concentrate and DBM. Final consolidation is evident at five months post-op (see photo on the left).
(Photos courtesy of Glenn Weinraub, DPM, FACFAS)
In Conclusion
In order to consider and use orthobiologics in foot and ankle surgery, one should have a strong understanding of the makeup of these materials, their strengths and weaknesses, and how to differentiate among the different products. Hopefully, this article has provided a useful primer on these products and helped to facilitate more of a comfort level in adding these tools to your armamentarium for foot and ankle surgery.
Dr. Dollard is a Fellow of the American College of Foot and Ankle Surgeons, and the American Academy of Podiatric Sports Medicine. He is in private practice at the Loudon Foot and Ankle Center in Sterling, Va., and the Falls Church Medical Center in Falls Church, Va. Dr. Dollard is a Member of the American Society of Bone and Mineral Research.
Dr. Weinraub is a Fellow of the American College of Foot and Ankle Surgeons. He is a faculty member of the Department of Orthopaedics at Kaiser Permanente in Hayward, Calif. Dr. Weinraub can be contacted at gweinraub@aol.com.
For related articles, please visit the archives at www.podiatrytoday.com.


