Key Considerations In Managing The Charcot Foot
Diabetic neuropathy is a major risk factor in patients with diabetes. However, a larger impending threat to patients with neuropathy is the risk of developing Charcot arthropathy and ultimately an ulcer that causes deformity or joint instability. In patients with diabetic neuropathy, Charcot arthropathy alone results in an increased risk of ulceration and/or amputation.1 The subsequent deformities one sees with Charcot, predominantly the rocker bottom deformity, are due to the loss of structural joint integrity. The subsequent deformities one sees with Charcot, predominantly the rocker bottom deformity, are due to the loss of structural joint integrity. Therefore, one must take a very critical approach in addressing the Charcot joint. Clinicians often mistake neuroarthropathy for infection/cellulitis, gout or osteomyelitis. Early detection and diagnosis will afford the patient an attempt at aggressive offloading, medical management and the possibility of a less devastating deformity. However, in the face of the destructive manifestations of some Charcot joints, one must carefully weigh the surgical considerations and associated risks. The pathogenesis of Charcot arthropathy has been discussed throughout the literature and researchers have proposed many theories. Various authors have adequately described and proven vascular, neurogenic and traumatic etiologies lending to the multifactorial processes involved in bone and joint destruction.2,3 This has given weight to many theories including: the repetitive microtrauma undetectable by diabetic patients with pain and sensory loss; blood flow response and vasomotion in neuropathic patients with Charcot; osteoclast versus osteoblast activity; and fatigue bone fractures in patients with diabetes. In light of such theories, the devastating effects of Charcot joints remain without debate. Anatomic as well as pathologic classification systems have been described in attempts to define the breakdown process. Eichenholtz describes three stages dependent on radiographic findings: Stage I, the acute inflammatory process; Stage II, coalescence; and Stage III, the remodeling phase. Anatomic classification has demonstrated the predominance of midfoot arthropathy (Type I) involving the Lisfranc joint complex or the cuneonavicular joints.
Emphasizing Early Detection And Patient Education
Treatment for the neuroarthritic joint can be taxing on both the physician and the patient as a significant time commitment is required of both parties. Patient education plays a major role in reaching an appropriate treatment plan and the desired outcome. The physician must alert the patient of the time involvement in healing both conservative and surgical treatment methods. One must also address external factors with patients and incorporate them within the overall treatment regimen. One cannot overemphasize the importance of early detection of Charcot arthropathy and appropriate offloading/immobilization. A thorough exam includes a detailed patient history. When evaluating patients with neuropathy, clinicians should pay particular attention to noting any pain and swelling in the absence of a portal for infection. Clinical evaluation should include a neurologic examination, vascular examination and dermal thermometry, all of which provide important diagnostic indicators in support of the diagnosis. In particular, thermometry enables the clinician to monitor healing and facilitate progressive treatment from immobilization to shoegear. After making a diagnosis, appropriate offloading (i.e., total contact casting or TCC) will often allow for resolution of the active Charcot event.4 When a TCC is not available, employing removable cast boot walkers may be equally effective for offloading the foot. Appropriate radiographic and clinical follow-up will determine full healing. Researchers have also shown that medical management via the use of bisphosphonates is effective in the early arrest of active Charcot joints, and serves as a viable adjunctive therapy in this population.5 Although the resulting deformities of Charcot can be destructive, only 5 to 25 percent of patients with Charcot require surgical intervention.4,6 When anticipating surgical management of the Charcot foot, it is important to allow an appropriate period of patient education, planning, offloading and edema control. One must establish and confirm vascular integrity in patients prior to surgical correction. Confirming an external support structure is also important in order to optimize a patient’s ability to comply with postoperative needs and demands, and increase the possibility of a successful surgical outcome.
Exploring A Variety Of Surgical Options
Researchers have proposed many surgical alternatives in treating Charcot deformities. Salvage attempts range from exostectomy to arthrodesis of the affected joints, and authors have also described both internal and external fixation. Regardless of the procedure or technique one employs, the goal of surgery is to establish and maintain a plantigrade foot. Accordingly, this would facilitate long-term offloading in custom-molded, extra-depth shoes and ultimately reduce recurrent breakdown and the risk of amputation.7 Authors have described planing procedures in which adequate resection of plantar prominences is a favorable option in the presence of recurrent ulcerations that have been non-responsive to offloading attempts. Plantar, lateral and medial approaches have been described based on the location of the prominence and ulceration, with the ultimate goal being to resect an adequate amount of bone to allow for a wide and level surface. Achieving this also requires adequate soft tissue dissection as well as resection of inflamed, indurated soft tissues. Although saucerization is a viable surgical alternative, if the coalescence or remodeling stages have not resulted in ankylosis of the affected joint, one must take care to avoid creating further instability of a joint which is already structurally unstable, predisposing the foot to further breakdown and collapse.8 When both joint deformity and instability are predominant and the risks of progressive deformity and recurrent ulceration prevail, one must consider more aggressive surgical management. Often, the remodeling phase of Charcot leads to ankylosis of the affected joints. In light of an unstable joint that has not achieved fusion, surgical arthrodesis becomes a viable option for re-establishing joint stability and ultimately maintaining joint integrity. Successful fusion and reduction of the deformity has shown promising results with average outcomes as high as 90 percent although controversy persists in regards to the timing of surgical arthrodesis in the earlier stages of Charcot.9 There have been a variety of fixation techniques for Charcot joint arthrodesis. Researchers have described internal and external fixation techniques, and the addition of adjunctive procedures and therapies have also added to the successful outcomes in the long-term surgical management of the Charcot foot.10-12 Despite surgical timing in regards to the stage of Charcot, internal fixation facilitates the realignment and establishment of a plantigrade foot at the level of the fracture dislocation, particularly at the tarsometatarsal level. Large-frame external fixators have been credited for affording a more comprehensive reconstruction of the Charcot joint by ultimately allowing one to re-establish the rearfoot-to-leg and forefoot-to-rearfoot relationships. Such frames have also allowed for postoperative weightbearing in patients as early as one week. Pin tract infection rates vary widely in the literature and the fixation device does need to remain intact for an average of three months. Using mini external fixation devices has been briefly discussed in the correction of Charcot joints.11 These devices, in conjunction with pinning or internal fixation, allow for an external structural frame to support the established arthrodesis and maintain stability. Although they do not facilitate early weightbearing, the mini external fixation devices are an excellent addition to internal screw fixation or percutaneous pinning with Steinmann pins.
Case Study: Treating A Patient With Increased Redness And Swelling In The Right Foot
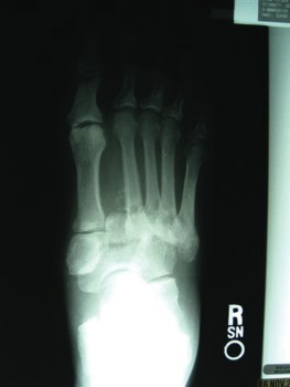
A 58-year-old patient with longstanding diabetes and a previous history of ulceration and neuropathy presented to the outpatient clinic with complaints of increasing redness and swelling to his right foot. He related that his primary care physician had seen him due to concern for a foot infection. However, the physician ordered X-rays and subsequently told the patient he had a fracture. The physician placed him on oral antibiotic therapy and sent him to the podiatry clinic for further workup. The patient denied any direct trauma to the foot or excessive changes in activity level. He complained of mild pain and admitted to fluctuating blood glucose levels. His past medical history was significant for diabetes, neuropathy and hypertension and no tobacco history. Physical examination revealed an obese male with palpable pedal pulses to the left foot and non-palpable dorsalis pedis on the right foot with a bounding posterior tibial pulse. He had absent protective and vibratory sensation bilaterally with increased skin temperatures to the right foot. The right foot was erythematous dorsal to the second through fifth metatarsals and edematous. We noted no ulcerations, macerations or fissures. Radiographs revealed dorsal dislocation at the tarsometatarsal joint, resulting in a divergence of the joint complex. We proceeded to emphasize cast immobilization until we achieved a reduction of edema and an equilibrium with the skin temperatures of the lower extremities. We continued the oral antibiotic therapy with Keflex in order to prevent infection due to deep bleeding from the fracturing or skin irritation from the edema. However, the tarsometatarsal was freely mobile and remained unstable during the four-week immobilization period. Due to the instability, we discussed surgical arthrodesis. We pursued this by using percutaneous Steinman pinning and a Synthes mini external fixator to add a structural framework around the fusion site. We added bone morphogenic protein at the arthrodesis sites to promote fusion. We subsequently emphasized non-weightbearing in a posterior splint and weekly clinic visits for pin care until the patient achieved radiographic union. At that time, we removed the fixation and initiated progressive weightbearing in a removable cast boot (i.e. CAM walker) for three to four weeks. We repeated radiographs and once we determined that the patient had maintained osseous integrity, we placed the patient in extra-depth shoes with custom-molded insoles for long-term maintenance. Dr. Hadi is an Associate with the Department of Podiatry of the MedClinic Medical Group in Sacramento, Calif. Dr. Steinberg (pictured) is an Assistant Professor in the Department of Surgery at the Georgetown University School of Medicine in Washington, D.C.
References:
1. Armstrong DG, Lavery LA, Harkless LB: Treatment based classification system for assessment and care of diabetic feet. Clin. Pod. Med. Surg. 15(1):11-19, 1998.
2. Shapiro, SA, et al: Normal blood flow response and vasomotion in the diabetic Charcot foot. J Diab Comp. 12:147-153, 1998
3. Gough A, et al: Measurement of markers of osteoclast and osteoblast activity in patients with acute and chronic diabetic Charcot neuroarthropathy. Diabetic Medicine 14:527-531, 1997.
4. Armstrong DG, Todd WF, Lavery LA, Harkless LB, Bushman TR: The natural history of acute Charcot's arthropathy in a diabetic foot specialty clinic. Diabet Med 14:357-363, 1997.
5. Selby PL, Young MJ, Boulton AM: Bisphosphonates: A new treatment for diabetic Charcot neuroarthropathy? Diabetic Medicine 11:28-31, 1994.
6. Fabrin J. et al. Long-term flow-up in diabetic Charcot feet with spontaneous onset. Diabetes Care 23(6):796-800, 2000.
7. Pinzur MS, et al. A treatment algorithm for neuropathy (Charcot) midfoot deformity. Foot & Ankle 14(4):189-197, 1993.
8. Brodsky JW, Rouse AM. Exostectomy for symptomatic bony prominences in diabetic Charcot feet. Clinical Orthopaedics 296:21-26, 1993.
9. Simon SR, et al. Arthrodesis as an early alternative to nonoperative management of Charcot arthropathy of the diabetic foot. JBJS 82-A(7):939-944, 2000.
10. Wang JC, Le AW, Tsukuda RK. A new technique for Charcot's foot reconstruction. JAPMA 92(8):429-436, 2002.
11. Sticha RS, Frascone ST, Wertheimer SJ: Major arthrodesis in patients with neuropathic arthropathy. JFAS 35(6):560-566, 1996.
12. Grady JF, et al: Use of electrostimulation in the treatment of diabetic neuroarthropathy. JAPMA 90(6):287-294, 2000.
Additional Reference
13. Sims DS, Cavanagh PR, Ulbrecht JS. Risk factors in the diabetic foot. Physical Therapy 68(12):1887-1902, 1988.


