A Guide To Understanding And Treating Lateral Column Pain
Problems with the lateral column are more common than we believe. Although there is a great deal of understanding of medial column problems and their solutions, there is not as much information on lateral column symptoms, causes and treatment options. With this in mind, let us take a closer look at these potential symptoms and treatment options that our institute has found helpful for such problems. A typical patient may have an equinus and pain in the lateral foot and ankle. The pain is localized to the rearfoot and lateral ankle with tenderness along the peroneus longus, calcaneocuboid region and, in certain cases, the fourth and fifth metatarsal base-cuboid region. Pain can develop for many reasons. One common reason is a lateral ankle sprain, in which there is often an inversion injury and torsion with the injury. The peroneal tendons can be strained or receive enough stress to have a peroneal longitudinal tear. In most cases, one will find the peroneus brevis is more commonly affected. There is mild pain along the posterior fibula with an increase in pain at the posterior fibular bend. The peroneus longus is less affected. If the pain is localized to the cuboid region, one may find a peroneus longus tear lateral or plantar to the cuboid. Clinicians may see cuboid subluxation although this is rare. In my opinion, the subluxation can be due to the peroneus longus tendon tension on the cuboid. In newly active patients with lateral column pain, the most common cause of pain is a varus rearfoot with overstress of the peroneal tendons and cuboid region. There is often a chronic subluxation of the cuboid region that requires conservative care. The last and most troublesome cause of pain is when one performs a plantar fascia release, either complete or partial, and there is added stress of the lateral column with less support. This leads to overstress of the cuboid region, partial subluxation and pain. Most patients are very unhappy with the initial care and often see another doctor. In these cases, it is important to avoid making the patient feel this is a mistake on the initial doctor’s part as it will happen to you at some point. I have seen this occur among patients with high and low arches, those who are heavyset, those who are very thin, and among patients with complete and partial fascia releases. There is no reason to think there was something that caused the problem other than the fact that it happens. The pain in all of these cases is very strange and poorly localized. One will usually note tenderness along the peroneal tendons, especially the longus with pain plantar to the cuboid and pain along the lateral aspect of the foot. These patients will rarely have pain in the ankle or subtalar joint. The pain is often more distal and more lateral than one would expect with extensive diffuse pattern or distribution. There is also mild to moderate inflammation but no extensive edema and usually minimal to no pitting.
Pertinent Points On Conservative Care
Initial treatment in all cases is based on conservative care. The mainstay of conservative care is providing additional stability of the cuboid and control of the tension and stress on the peroneal tendon. Diagnostic testing can be very helpful in determining initial treatment. One should obtain radiographs to rule out fracture, stress fracture or bone tumor. Keep in mind that it is difficult to diagnose a dislocated cuboid unless it is severe. Ultrasound testing is excellent for peroneal tendon pathology. One can check the peroneal tendon for tears and gliding function. If there is poor gliding or subluxation tendency of the peroneal tendon, ultrasound testing is ideal for diagnosis prior to therapy. Obtaining a MRI is very useful in these cases if one notes tendonitis, a peroneal tendon tear or cuboid subluxation. If there is a subluxation of the cuboid, clinicians may note global edema of the plantar and, sometimes, dorsal calcaneocuboid and/or cuboid in the fourth or fifth metatarsal base region. Start conservative care with manipulation, strapping and taping of the foot with additional plantar padding of the cuboid region. If additional ankle stability is required, incorporate the foot strapping in an ankle strapping procedure. One would mainly do ankle strapping in cases of subluxing peroneal tendons or chronic ankle instability. This will effectively treat a major group of patients. It may take some time for the foot pain to progress, but there is often improvement when five to six strappings are done within a month. If there is no improvement in the patient’s symptoms, one should try to cast the region with no weight on the foot. This will also relieve a great deal of pressure on the region and allow for a decrease in swelling and tenderness. One may add additional plantar padding to the plantar cuboid region for more support. Physical therapy is usually necessary as an adjunct or following strapping or casting of the foot. The goal of physical therapy is facilitating a continued decrease of edema and increase in stability. In the case of lateral ankle instability with peroneal tendon and lateral ankle pain, the goal is decreasing the suspected instability of the ankle and increasing the functional feeling of stability on the lateral ankle in order to decrease the overstress on the lateral ankle.
Should You Consider Prolotherapy?
In cases of cuboid syndrome in which there is continued subluxation with manipulation, strapping and casting, prolotherapy is an excellent option. It is essential to rule out peroneal tendonitis as an additional cause of pain as prolotherapy does not work with peroneal tendonitis. The type of injection material varies in different hands but is usually an alcohol-based or dextrose-based injection. Often, a series of injections is necessary over a course of one to two months at one- to two-week intervals. One would give the injection on the plantar aspect of the joint surface along the plantar ligamentous and capsular structures of the joint. The goal is to increase stability through formation of scar tissue. It is only after performing a full spectrum of conservative care that I consider surgical options. I do not perform prolotherapy on all my patients and may perform surgery prior to prolotherapy in certain cases.
Is Surgical Intervention Necessary?
Surgical procedures differ on the need and the problems one finds. In cases of ankle instability leading to peroneal tendon degeneration, tendonitis or subluxing peroneal tendons, lateral ankle stabilization is essential. A good way to find out if patients will benefit from ankle stabilization is to place them in an ankle brace or use a stable ankle strapping. In most cases, patients will state they feel better with an ankle brace or ankle strapping if there is underlying ankle instability. Check the peroneal tendon for longitudinal tear and/or subluxation and treat these in conjunction. It is rare to have a case of cuboid syndrome in conjunction with ankle instability and most of the time peroneal tendon issues dominate. If there is a clear cuboid syndrome, one must treat this condition in adjunct with the ankle instability and treatment options will be discussed below.
Exploring The Surgical Options For Cuboid Stabilization
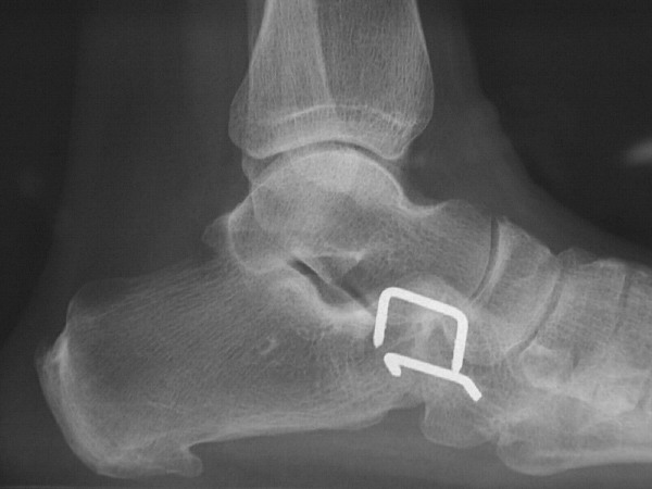
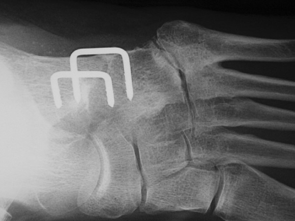
What if patients do require surgery? True cuboid syndrome surgical therapy deals with stabilization of the joint. Three options exist for cuboid stabilization. The treatment options depend on the patient and how willing he or she is to consider further surgery if more conservative surgical cases do not work. The first surgical procedure choice is an arthroscopy of the cuboid-calcaneus joint with a capsular shrinkage of the plantar ligaments. One would do this with an arthroscopic shrinkage device usually used in shoulder stabilization. The procedure takes some time to learn but is fairly simple to perform. Two months of stabilization with casting and nonweightbearing is necessary to allow for added stabilization. The second type of surgical option is a fresh frozen cadaveric tendon stabilization of the calcaneocuboid joint. One would essentially do this through a weave type procedure in which one weaves a tendon about the lateral joint so it can act as a ligamentous stabilizer of the joint. The final and most definitive procedure is a fusion of the calcaneocuboid joint. The procedure is not very difficult to perform and does not cause much stiffness or loss of function of the foot or ankle. It is essential to perform rigid internal or external fusion as the rate of non-union is high in this joint when compared to other rearfoot fusions due to the increased motion associated with this joint. What about the fourth and fifth metatarsocuboid joint? Be very cautious fusing these joints as the rate of non-union is high. Also be aware that these patients sometimes have postoperative pain due to the increased demand for motion at these joints. If there is severe degeneration of these joints, it may be better to perform an arthroplasty of the joints instead of a fusion.
Final Thoughts
In conclusion, attempting a broad spectrum of conservative care will alleviate a great deal of cases of cuboid syndrome. If there are continued symptoms, surgery will improve pain and the type of surgery is based on diagnostic findings and the patient’s tolerance of a potential need for future surgery. Dr. Baravarian is Co-Director of the Foot and Ankle Institute of Santa Monica. He is an Associate Professor at UCLA Medical Center and is Chief of Podiatric Surgery at Santa Monica/UCLA Medical Center. Dr. Baravarian may be reached via e-mail at: bbaravarian@mednet.ucla.edu.


