Advances in Progressive Collapsing Flatfoot Deformity Surgery
The condition now known as progressive collapsing foot deformity (PCFD) has undergone significant changes in terminology as our understanding has evolved. Formerly referred to as adult acquired flatfoot deformity (AAFD), Myerson and colleagues updated the name in 2020 in a consensus paper to better reflect the complex, 3-dimensional nature of the deformity seen in patients with flat, collapsing arches.1 The previous term, posterior tibial tendon dysfunction (PTTD)—which Johnson and Strom coined in 19892—focused on a critical contributing factor, the failure of the posterior tibial tendon, but did not fully capture the broader scope of the deformity.3
PCFD is a relatively common condition, especially in middle-aged and older adults. It occurs more frequently in women and is often linked to factors like obesity, hypertension, and prior injury.1 As our understanding of the condition has evolved, it has become clear that PCFD involves not just the collapse of the medial longitudinal arch, but a range of deformities in the foot and ankle. This prompted the shift in terminology to reflect its full complexity. Advanced diagnostic tools like weight-bearing computed tomography (CT) scanning have enhanced our ability to assess these deformities in a functional, loaded state, offering a more detailed view of the foot’s structural changes.
The etiology and pathophysiology of PCFD have evolved alongside changes in terminology and treatment approaches. Understanding the specific anatomy involved is crucial, as surgical planning relies on anatomical and biomechanical knowledge. Much of the clinical focus has been on posterior tibial tendon insufficiency for the past 3 decades. However, several studies show that the spring and deltoid ligaments also commonly play a role. Deltoid ligament attenuation or rupture leads to increased pressure in the ankle joint, medial naviculocuneiform joint, and first tarsometatarsal joint, while spring ligament rupture raises pressure on the subtalar and calcaneocuboid joints.4
The previous Johnson and Strom classification and other modifications did not fully capture the stages and progression of PCFD.3 The Myerson classification, in contrast, categorizes the condition into 2 primary stages: flexible and rigid.1 Beyond this distinction, additional classes describe various deformity features, such as rearfoot valgus, midfoot or forefoot abduction, forefoot adduction, peritalar subluxation, and ankle instability. These classes are descriptive rather than progressive, allowing for precise identification of the specific features in each case of flatfoot deformity. Each class is associated with consistent clinical and radiographic findings.1 However, the effectiveness of this classification depends on the accuracy of the clinical examination and imaging evaluation performed by the practitioner.
A Guide to the Clinical and Biomechanical Exams
A thorough clinical examination, including a biomechanical assessment and gait analysis, is essential in diagnosing PCFD. Gait examination should focus on the patient’s walking pattern to evaluate pronation, medial column collapse, and rearfoot eversion. During gait, PCFD often results in excessive hindfoot valgus, forefoot abduction, and flattening of the medial longitudinal arch. Bluman and colleagues emphasized that gait analysis in flatfoot deformity reveals significant abnormalities, including excessive pronation and medial displacement of the ankle.3
A thorough biomechanical examination of the patient in both non-weight-bearing and weight-bearing positions is also critical. Begin by assessing joint mobility along the medial column, subtalar joint (STJ), and ankle. Assessing subtalar range of motion and ankle dorsiflexion is crucial. Decreased subtalar joint motion is common in more advanced cases of PCFD, while limited ankle dorsiflexion may indicate equinus, which worsens the flatfoot deformity.5 Evaluating for equinus is particularly important, as patients with less than 5 degrees of ankle dorsiflexion are statistically likelier to experience limited dorsiflexion during gait.6
Palpation is necessary to identify areas of pain and involvement of joints or soft tissue structures. There should also be a focus on evaluating the forefoot-to-rearfoot relationship. Do this by comparing a line parallel to the plantar surface of the heel to a line connecting the first and fifth metatarsal heads. The examiner can use pencils, a straight ruler, or even index fingers to assess this relationship quickly. A common observation is a forefoot that is inverted compared to the rearfoot. This is most often caused by forefoot supinatus. This flexible soft tissue contracture develops in compensatory response to the pronation of the subtalar joint in PCFD or as a response to equinus. Less common is a true forefoot varus, which is rigid and structural. Forefoot supinatus is reducible in weight-bearing while pushing down on the medial forefoot with the subtalar joint in a neutral position, whereas forefoot varus is not.
Once the patient stands, observe how much the arch truly collapses under weight-bearing and assess their resting stance position. Clinically, note the rearfoot alignment with the leg and whether there is a “too many toes” sign, indicating forefoot abduction.
Additionally, perform a single-heel and double-heel raise test. The single-heel raise is a hallmark test for assessing posterior tibial tendon function, critical in maintaining the medial longitudinal arch’s integrity. In this test, the patient stands on one foot and attempts to raise their heel. In early stages of PCFD, weakness or failure of heel inversion may visible. Hoke and colleagues identified that failure to perform a single-leg heel rise indicates posterior tibial tendon dysfunction, contributing to the collapse of the medial longitudinal arch.7 It is also important to evaluate the position of the hindfoot in relationship to the leg. Do this by placing the patient with the feet shoulder-width apart and parallel to one another. One can observe varus or valgus deformity of the rearfoot with the patient in this straight position.8 After finishing the clinical and biomechanical exam, obtain imaging for further evaluation.
Radiographs are a critical component of the preoperative workup. AP and lateral foot and AP or mortise ankle are mandatory for surgical planning and a hindfoot alignment view is strongly recommended.9 Advances in radiographic imaging leading to the development of weight-bearing CT scanning (WBCT) have led to several paradigm shifts in the understanding of the PCFD deformity and its surgical correction.
For example, research has shown that the normal hindfoot alignment angle is closer to neutral than the 2–6º of valgus previously established based on plain radiographs.10 Additionally, studies have previously demonstrated that the contact point of the heel to the floor should be approximately 3.2mm medial to the tibial long axis when correcting the rearfoot.8 However, WBCT studies reveal that plain films overestimate this position by 3.9mm of varus.11 The hindfoot alignment view is still necessary for preoperative workup; however, consider this overestimation when using plain films for surgical planning if WBCT is unavailable.
Measurements specific to WBCT have been developed to better quantify and describe PCFD, including foot and ankle offset (FAO), an accurate biomechanical measurement of the ankle in relation to the foot tripod.9,12 Measure FAO on WBCT by first marking the foot tripod with data points on the calcaneal tuberosity and the first and fifth metatarsal heads. Also mark specific points on the talus to represent the mechanical center of the ankle joint. Then calculate FAO by taking the percentage distance between these 2 areas and dividing by the foot length to control for varying foot lengths. What results is an assessment of the torque exerted onto the foot as a function of the offset between the point of highest ground reactive force applied upwards onto the foot and the body’s mass applied downwards onto the center of the ankle.13 Feet with an FAO value between -1.64% and 2.71% are associated with less foot pathology,14 with more positive values relating to more severe rearfoot valgus. This represents a huge leap forward in our understanding of the triplanar flatfoot deformity. For example, WBCT has shown that the middle facet is the most pronated aspect of the STJ complex and correlates to higher FAO values.15 This knowledge assists in earlier identification of PCFD and one can use it to track deformity progression. FAO is an invaluable tool that significantly augments any foot surgeon’s tool belt.
Another recent lesson from WBCT studies is that the talus axially rotates in the ankle mortise in PCFD.16 One should account for this rotation during surgical correction. As a result of this rotation, the medial clear space narrows before the talus starts to tilt into valgus. Therefore, a narrow medial clear space may indicate a developing PCFD seen on plain film before talar tilt is evident.
Although WBCT is not widely available in many locations, surgeons seeking to understand and correct PCFD should apply the lessons learned from WBCT studies.
Fundamental Surgical Principles for PCFD
As with any process that delivers consistent results, surgeons must follow certain principles to effectively treat PCFD surgically. First, one must remove deforming forces from the foot. The main deforming force that acts upon the foot originates from equinus.17–19 With the prevalence of equinus among patients with foot pathology reported at higher than 70%,20,21 any attempt at flatfoot reconstruction without addressing the concomitant equinus will lead to continued valgus pull on the calcaneus and medial column instability due to the distal compensation for the equinus deformity.
A gastrocnemius soleus recession (GSR), such as the Baumann or Strayer procedure, effectively increases the dorsiflexion of the ankle with a low complication rate.22–25 Other procedures commonly employed to address equinus include tendo-Achilles lengthening (TAL). However, TAL can overlengthen gastrocnemius soleus complex, resulting in a calcaneal gait,26–30 as opposed to a GSR, which is not associated with overlengthening.31 Research has also shown a Strayer to weaken the plantarflexory power of the ankle32 and decrease stability,33 whereas the Baumann increases strength.34–36 Additionally, a Baumann is preferred as the contracture resulting in the deforming force on the foot is typically located in the muscular portion rather than the tendon itself.22,37 Satisfaction scores are high with even an isolated Baumann procedure used in conjunction with a functional orthotic in patients with bone healing concerns or who can otherwise not undergo a period of non-weight-bearing postoperatively.38
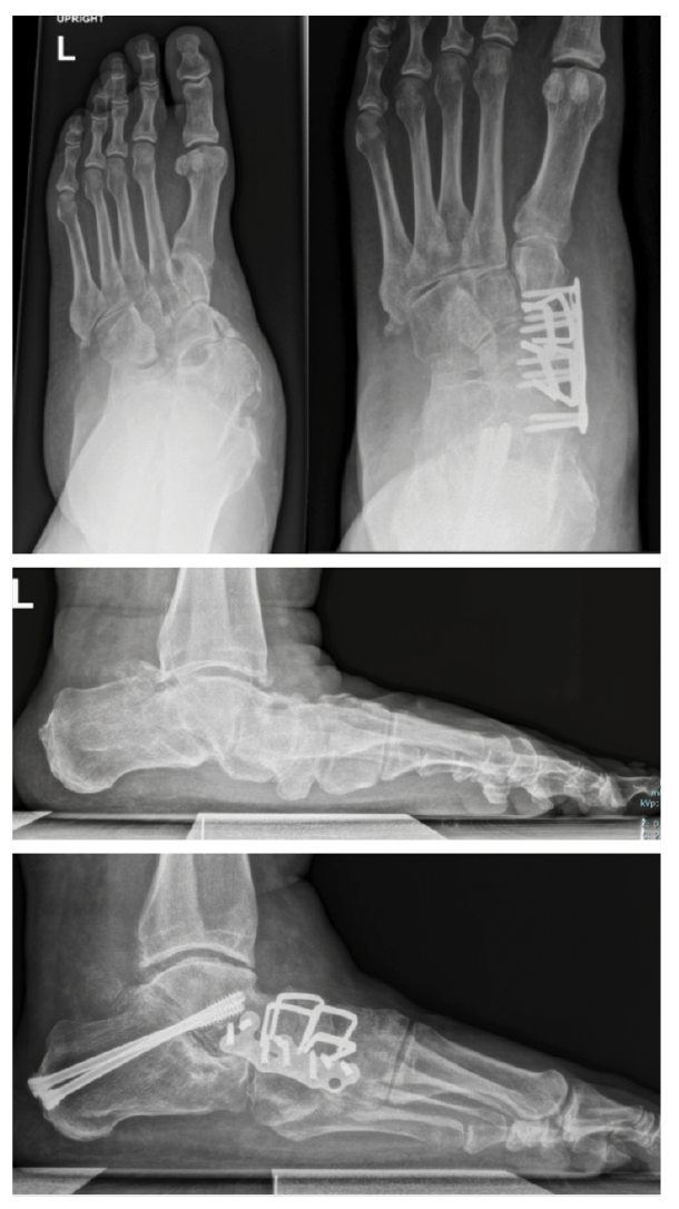
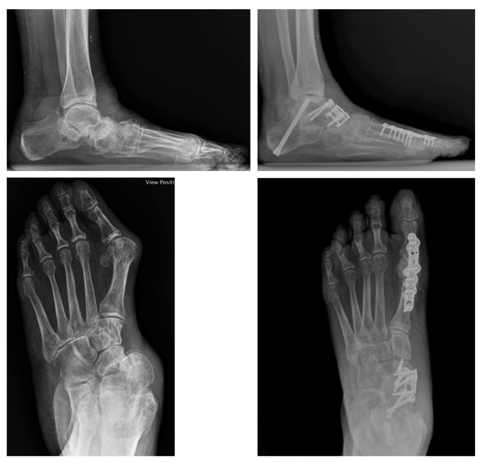
The second principle is to correct the rearfoot deformity perpendicular to the ground. When deciding which procedure to perform, the initial distinction is between Evans/medial displacement calcaneal osteotomy (MDCO) or subtalar joint (STJ) fusion. The Evans/MDCO is for moderate, reducible deformities, whereas severe, rigid deformities are best served by STJ fusion. Clinical examination distinguishes between flexible and rigid deformities depending on the degree of reducibility. Severe, advanced deformities necessitating STJ fusion for rearfoot correction demonstrate arthritic changes at the STJ, more significant peritalar subluxation, and more severe collapse of the sagittal height of the foot on plain film radiographs.
If WBCT is available, FAO values are also helpful in assessing the severity of deformity. FAO values above 5.2% are associated with hindfoot valgus and peritalar instability.39 The more extreme the FAO value, the more peritalar instability is present. If the severity of the deformity is mild to moderate, then the surgeon can use joint-sparing procedures. The next step is to decide between MDCO or an Evans procedure.
An MDCO is recommended when peritalar subluxation is <35% and there is no forefoot deformity component.40 While the MDCO corrects the frontal plane position of the rearfoot, it does not address sagittal plane arch height or the forefoot abduction components of PCFD. The Evans does. The Evans procedure remains one of the most powerful tools to achieve triplanar correction of the flatfoot. This occurs through significant restoration of the peroneus longus tendon’s function.41 This then enables the locking of the medial column during the second rocker of gait.42–45 The current consensus is to perform an Evans procedure when talonavicular subluxation is greater than 40%.46
With severe deformity with significant peritalar instability, arthrodesis procedures are required for rigid, arthritic, or severe deformities in order to reach the goal of a stable, well-positioned hindfoot.47 For rearfoot correction, the procedure of choice is an STJ fusion. Previous schools of thought have encouraged valgus positioning of the heel during STJ fusion. However, the data actually reveals that the optimal position of the rearfoot is 0–5º of varus on hindfoot alignment view, which equates to a clinically neutral heel.48
The final principle to follow when correcting PCFD is to correct the forefoot parallel to the rearfoot in the coronal plane. Restoration of the medial column is essential for long-term stability of the foot.49 It is often not sufficient to simply correct the rearfoot as there is often a forefoot supinatus element involved, which one can evaluate clinically by loading the foot and comparing the planes of the rear and forefoot.49 The Cotton osteotomy addresses any remaining flexible forefoot supinatus originating from the medial arch. Surgeons can use the Cotton osteotomy with varying graft sizes for deformity-specific correction, but the correction is directly related to the graft size. Research has demonstrated each millimeter of graft to correct the cuneiform articulation angle by 2.1º.50 Graft sizes usually range from 5–11mm.50
Further Surgical Considerations
A Cotton osteotomy may not always be sufficient. Upwards of 50% of isolated Cotton osteotomies lose correction over time. This loss of correction results from increased motion in the medial column joints.1 If any of the joints of the medial column, including the talonavicular (TNJ), naviculocuneiform (NCJ), or first metatarsal cuneiform joint (first MCJ), exhibit any instability or arthritic changes, they should be fused.49 Considering the loss of correction observed with the Cotton osteotomy and the high prevalence of instability of the first MCJ, the LapiCotton—or Cotton combined with Lapidus—has been popularized to offset these shortcomings. The Lapidus procedure can result in shortening and dorsiflexion of the first ray, but the plantarflexory and grafting components of the LapiCotton provide a powerful combination to reestablish the foot tripod.52 Post-Lapidus, the function of the peroneus longus remains intact; medial column eversion increases at the NCJ if the first ray is not shortened or elevated. The net effect is increased efficiency in stabilizing and locking the first ray.53 This allows realignment of the plantar fascia and facilitates the proper functioning of the windlass mechanism.42
Other arthritic, unstable, or severely malaligned joints should also be fused. TNJ and NCJ arthrodeses, when necessary, can address forefoot abductus and supinatus, precluding the need for a Cotton osteotomy.47,54 An important consideration must be made in regards to fusion decisions for the medial column. Research has shown arthrodesis of the TNJ and NCJ to provide the least strain on the spring ligament while providing optimal arch realignment.55 Ideally, one would address the apex of the medial column deformity with the procedure(s) selected.
There are some other surgical considerations gaining traction in the literature. Spring ligament repair has been highlighted as an adjunctive procedure as it is the primary stabilizer of the TNJ and the medial arch. Peroneus longus autograft is one method of repair in addition to a direct primary repair. The deltoid ligament can also be repaired for valgus ankle deformities if >50% of the lateral joint space remains. Only Level C recommendations have been given as data is still lacking, although much research is underway.56 The primary concern with soft tissue repairs lies in the fact these are damaged subordinate structures, and the longevity of repair is questionable when compared to osseous realignment via arthrodesis.
By removing deforming forces on the foot, reducing the rearfoot to perpendicular to the ground, and placing the forefoot parallel to the rearfoot, surgeons can effectively correct the PCFD deformity to a stable, functional position.
For any flatfoot reconstruction, the general postoperative protocol is as follows: Suture removal is typically between 2–4 weeks postoperatively. The patient begins with 6 weeks of non-weight-bearing in a controlled ankle motion (CAM) boot, followed by 3 weeks of partial weight-bearing with crutches/walker and a CAM boot. After that, they transition to 4 weeks of assisted weight-bearing with a CAM boot only and 4 weeks of wearing an ankle brace with a supportive gym shoe. Rarely, in our experience, do patients require a formal referral to physical therapy; patients generally regain their strength as they follow the down-regulation in the immobilization in a controlled manner, enabling them to regulate their motion and strength inversely. The downregulation of immobilization may be considered an organic form of physical therapy.
In Conclusion
The terminology and understanding of PCFD have evolved significantly over the years. The renaming to PCFD reflects the complexity of this condition, which involves not just tendon dysfunction but a range of structural deformities. Advances in diagnostic techniques, particularly weight-bearing CT scans, have enhanced our ability to assess and understand the three-dimensional nature of the deformity. The evolution of classification systems and surgical techniques further highlights the importance of a comprehensive, anatomically-driven approach to treatment. As our understanding continues to grow, so do the methods of diagnosis and management, ensuring better outcomes for patients suffering from PCFD.
Dr. Sorensen is a PGY-1 Podiatric Medicine and Surgery Resident at St. Vincent Hospital in Indianapolis.
Dr. Santiago is a PGY-1 Podiatric Medicine and Surgery Resident at St. Vincent Hospital in Indianapolis.
Dr. Starr is a PGY-2 Podiatric Medicine and Surgery Resident at St. Vincent Hospital in Indianapolis.
Dr. DeHeer is the Residency Director of the St. Vincent Hospital Podiatry Program in Indianapolis. He is a Fellow of the American College of Foot and Ankle Surgeons, a Fellow of the American Society of Podiatric Surgeons, a Fellow of the American College of Foot and Ankle Pediatrics, a Fellow of the Royal College of Physicians and Surgeons of Glasgow, and a Diplomate of the American Board of Podiatric Surgery.
References
1. Myerson MS, Thordarson DB, Johnson JE, et al. Classification and nomenclature: progressive collapsing foot deformity. Foot Ankle Int. 2020;41(10):1271-1276. doi:10.1177/1071100720950722
2. Johnson KA, Strom DE. Tibialis posterior tendon dysfunction. Clin Orthop Relat Res. 1989;(239):196-206.
3. Bluman EM, Title CI, Myerson MS. Posterior tibial tendon rupture: a refined classification system. Foot Ankle Clin. 2007;12(2):233-v. doi:10.1016/j.fcl.2007.03.003
4. Malakoutikhah H, Madenci E, Latt LD. The impact of ligament tears on joint contact mechanics in progressive collapsing foot deformity: A finite element study. Clin Biomech (Bristol). 2022;94:105630. doi:10.1016/j.clinbiomech.2022.105630
5. Sammarco GJ, Bagwe MR, Sammarco VJ, Magur EG. The effects of unilateral gastrocsoleus recession. Foot Ankle Int. 2006;27(7):508-511. doi:10.1177/107110070602700705
6. Gatt A, De Giorgio S, Chockalingam N, Formosa C. A pilot investigation into the relationship between static diagnosis of ankle equinus and dynamic ankle and foot dorsiflexion during stance phase of gait: Time to revisit theory?. Foot (Edinb). 2017;30:47-52. doi:10.1016/j.foot.2017.01.002
7. Hoke AM, et al. Posterior tibial tendon dysfunction: Stages I-IV flatfoot. Foot and Ankle Surgery. 2017
8. Saltzman CL, el-Khoury GY. The hindfoot alignment view. Foot Ankle Int. 1995;16(9):572-576. doi:10.1177/107110079501600911
9. de Cesar Netto C, Myerson MS, Day J, et al. Consensus for the use of weightbearing ct in the assessment of progressive collapsing foot deformity. Foot Ankle Int. 2020;41(10):1277-1282. doi:10.1177/1071100720950734
10. Burssens A, Barg A, van Ovost E, et al. The hind- and midfoot alignment computed after a medializing calcaneal osteotomy using a 3D weightbearing CT. Int J Comput Assist Radiol Surg. 2019;14(8):1439-1447. doi:10.1007/s11548-019-01949-7
11. Arena CB, Sripanich Y, Leake R, Saltzman CL, Barg A. Assessment of hindfoot alignment comparing weightbearing radiography to weightbearing computed tomography. Foot Ankle Int. 2021;42(11):1482-1490. doi:10.1177/10711007211014171
12. de Cesar Netto C, Bang K, Mansur NS, et al. Multiplanar semiautomatic assessment of foot and ankle offset in adult acquired flatfoot deformity. Foot Ankle Int. 2020;41(7):839-848. doi:10.1177/1071100720920274
13. Lintz F, de Cesar Netto C. Is Advanced imaging a must in the assessment of progressive collapsing foot deformity?. Foot Ankle Clin. 2021;26(3):427-442. doi:10.1016/j.fcl.2021.05.001
14. Lintz F, Ricard C, Mehdi N, et al. Hindfoot alignment assessment by the foot-ankle offset: a diagnostic study. Arch Orthop Trauma Surg. 2023;143(5):2373-2382. doi:10.1007/s00402-022-04440-2
15. de Cesar Netto C, Silva T, Li S, et al. Assessment of posterior and middle facet subluxation of the subtalar joint in progressive flatfoot deformity. Foot Ankle Int. 2020;41(10):1190-1197. doi:10.1177/1071100720936603
16. Kim J, Rajan L, Henry J, et al. Axial plane rotation of the talus in progressive collapsing foot deformity: a weightbearing computed tomography analysis. Foot Ankle Int. 2023;44(4):281-290. doi:10.1177/10711007231154894
17. Amis J. The gastrocnemius: a new paradigm for the human foot and ankle. Foot Ankle Clin. 2014;19(4):637-647. doi:10.1016/j.fcl.2014.08.001
18. Amis J. The split second effect: the mechanism of how equinus can damage the human foot and ankle. Front Surg. 2016;3:38. Published 2016 Jul 27. doi:10.3389/fsurg.2016.00038
19. Johnson CH, Christensen JC. Biomechanics of the first ray part V: The effect of equinus deformity. A 3-dimensional kinematic study on a cadaver model. J Foot Ankle Surg. 2005;44(2):114-120. doi:10.1053/j.jfas.2005.01.003
20. DeHeer PA, Standish SN, Kirchner KJ, Fleischer AE. Prevalence and distribution of ankle joint equinus in 249 consecutive patients attending a foot and ankle specialty clinic. J Am Podiatr Med Assoc. 2021;111(2):Article_1. doi:10.7547/18-18
21. Hill RS. Ankle equinus. Prevalence and linkage to common foot pathology. J Am Podiatr Med Assoc. 1995;85(6):295-300. doi:10.7547/87507315-85-6-295
22. DiGiovanni CW, Langer P. The role of isolated gastrocnemius and combined Achilles contractures in the flatfoot. Foot Ankle Clin. 2007;12(2):363-viii. doi:10.1016/j.fcl.2007.03.005
23. Rong K, Ge WT, Li XC, Xu XY. Mid-term results of intramuscular lengthening of gastrocnemius and/or soleus to correct equinus deformity in flatfoot. Foot Ankle Int. 2015;36(10):1223-1228. doi:10.1177/1071100715588994
24. Roukis TS, et al. Gastrocnemius recession for chronic plantar fasciitis. Foot Ankle Int. 2013; 34(4):481-485.
25. Thomas J. Isolated gastrocsoleus recession vs. complete plantar fasciotomy for recalcitrant plantar fasciitis. Foot Ankle Int. 2010; 31(10):932-939.
26. Chilvers M, Malicky ES, Anderson JG, Bohay DR, Manoli A 2nd. Heel overload associated with heel cord insufficiency. Foot Ankle Int. 2007;28(6):687-689. doi:10.3113/FAI.2007.0687
27. Holstein P, Lohmann M, Bitsch M, Jørgensen B. Achilles tendon lengthening, the panacea for plantar forefoot ulceration?. Diabetes Metab Res Rev. 2004;20 Suppl 1:S37-S40. doi:10.1002/dmrr.452
28. Kim NT, Lee YT, Park MS, Lee KM, Kwon OS, Sung KH. Changes in the bony alignment of the foot after tendo-Achilles lengthening in patients with planovalgus deformity. J Orthop Surg Res. 2021;16(1):118. Published 2021 Feb 8. doi:10.1186/s13018-021-02272-1
29. Mueller MJ, Sinacore DR, Hastings MK, Strube MJ, Johnson JE. Effect of Achilles tendon lengthening on neuropathic plantar ulcers. A randomized clinical trial. J Bone Joint Surg Am. 2003;85(8):1436-1445.
30. Nishimoto GS, Attinger CE, Cooper PS. Lengthening the Achilles tendon for the treatment of diabetic plantar forefoot ulceration. Surg Clin North Am. 2003;83(3):707-726. doi:10.1016/S0039-6109(02)00191-3
31. Rush SM, Ford LA, Hamilton GA. Morbidity associated with high gastrocnemius recession: retrospective review of 126 cases. J Foot Ankle Surg. 2006;45(3):156-160. doi:10.1053/j.jfas.2006.02.006
32. Nawoczenski DA, DiLiberto FE, Cantor MS, Tome JM, DiGiovanni BF. Ankle power and endurance outcomes following isolated gastrocnemius recession for Achilles tendinopathy. Foot Ankle Int. 2016;37(7):766-775. doi:10.1177/1071100716638128
33. Rong K, Li XC, Ge WT, Xu Y, Xu XY. Comparison of the efficacy of three isolated gastrocnemius recession procedures in a cadaveric model of gastrocnemius tightness. Int Orthop. 2016;40(2):417-423. doi:10.1007/s00264-015-2860-1
34. Horsch A, Petzinger L, Deisenhofer J, et al. The impact of operative correction of equinus in cerebral palsy on gait patterns. Foot Ankle Int. 2024;45(2):130-140. doi:10.1177/10711007231217273
35. Saraph V, Zwick EB, Uitz C, Linhart W, Steinwender G. The Baumann procedure for fixed contracture of the gastrosoleus in cerebral palsy. Evaluation of function of the ankle after multilevel surgery. J Bone Joint Surg Br. 2000;82(4):535-540. doi:10.1302/0301-620x.82b4.9850
36. Svehlík M, Kraus T, Steinwender G, Zwick EB, Saraph V, Linhart WE. The Baumann procedure to correct equinus gait in children with diplegic cerebral palsy: long-term results. J Bone Joint Surg Br. 2012;94(8):1143-1147. doi:10.1302/0301-620X.94B8.28447
37. DiGiovanni CW, Kuo R, Tejwani N, et al. Isolated gastrocnemius tightness. J Bone Joint Surg Am. 2002;84(6):962-970. doi:10.2106/00004623-200206000-00010
38. Smith JT, Michalski MP, Greene BD, et al. Isolated gastrocnemius recession for progressive collapsing foot deformity. J Am Acad Orthop Surg. 2023;31(1):49-56. doi:10.5435/JAAOS-D-22-00343
39. Lintz F, Welck M, Bernasconi A, et al. 3D biometrics for hindfoot alignment using weightbearing CT. Foot Ankle Int. 2017;38(6):684-689. doi:10.1177/1071100717690806
40. C Schon L, de Cesar Netto C, Day J, et al. Consensus for the indication of a medializing displacement calcaneal osteotomy in the treatment of progressive collapsing foot deformity. Foot Ankle Int. 2020;41(10):1282-1285. doi:10.1177/1071100720950747
41. Arangio GA, Chopra V, Voloshin A, Salathe EP. A biomechanical analysis of the effect of lateral column lengthening calcaneal osteotomy on the flat foot. Clin Biomech (Bristol). 2007;22(4):472-477. doi:10.1016/j.clinbiomech.2006.11.004
42. Christensen JC, Jennings MM. Normal and abnormal function of the first ray. Clin Podiatr Med Surg. 2009;26(3):. doi:10.1016/j.cpm.2009.03.004
43. Gray EG, Basmajian JV. Electromyography and cinematography of leg and foot (“normal” and flat) during walking. Anat Rec. 1968;161(1):1-15. doi:10.1002/ar.1091610101
44. Johnson CH, Christensen JC. Biomechanics of the first ray. Part I. The effects of peroneus longus function: a three-dimensional kinematic study on a cadaver model. J Foot Ankle Surg. 1999;38(5):313-321. doi:10.1016/s1067-2516(99)80002-7
45. Scott RT, Nunley JA 2nd, Thompson JR. Comparison of lateral column lengthening and medial cuneiform opening wedge osteotomy for Stage II posterior tibial tendon dysfunction. Foot Ankle Int. 2000; 21(10):791-799.
46. Thordarson DB, Schon LC, de Cesar Netto C, et al. Consensus for the indication of lateral column lengthening in the treatment of progressive collapsing foot deformity. Foot Ankle Int. 2020;41(10):1286-1288. doi:10.1177/1071100720950732
47. Sangeorzan BJ, Hintermann B, de Cesar Netto C, et al. Progressive collapsing foot deformity: consensus on goals for operative correction. Foot Ankle Int. 2020;41(10):1299-1302. doi:10.1177/1071100720950759 OK as is?
48. Conti MS, Ellis SJ, Chan JY, Do HT, Deland JT. Optimal position of the heel following reconstruction of the stage ii adult-acquired flatfoot deformity. Foot Ankle Int. 2015;36(8):919-927. doi:10.1177/1071100715576918
49. Johnson JE, Sangeorzan BJ, de Cesar Netto C, et al. Consensus on indications for medial cuneiform opening wedge (Cotton) osteotomy in the treatment of progressive collapsing foot deformity. Foot Ankle Int. 2020;41(10):1289-1291. doi:10.1177/1071100720950739
50. Kunas GC, Do HT, Aiyer A, Deland JT, Ellis SJ. Contribution of medial cuneiform osteotomy to correction of longitudinal arch collapse in Stage IIb adult-acquired flatfoot deformity. Foot Ankle Int. 2018;39(8):885-893. doi:10.1177/1071100718768020
51. Abousayed MM, Coleman MM, Wei L, de Cesar Netto C, Schon LC, Guyton GP. Radiographic outcomes of Cotton osteotomy in treatment of adult-acquired flatfoot deformity. Foot Ankle Int. 2021;42(11):1384-1390. doi:10.1177/10711007211015175
52. de Cesar Netto C, Ehret A, Walt J, et al. Early results and complication rate of the LapiCotton procedure in the treatment of medial longitudinal arch collapse: a prospective cohort study. Arch Orthop Trauma Surg. 2023;143(5):2283-2295. doi:10.1007/s00402-022-04399-0
53. Bierman RA, Christensen JC, Johnson CH. Biomechanics of the first ray. Part III. Consequences of Lapidus arthrodesis on peroneus longus function: a three-dimensional kinematic analysis in a cadaver model. J Foot Ankle Surg. 2001;40(3):125-131. doi:10.1016/s1067-2516(01)80077-6
54. Hintermann B, Knupp M. Biomechanics of the flatfoot deformity. Foot and Ankle Clinics. 2003.
55. Cifuentes-De la Portilla C, Pasapula C, Larrainzar-Garijo R, Bayod J. Finite element analysis of secondary effect of midfoot fusions on the spring ligament in the management of adult acquired flatfoot. Clin Biomech (Bristol). 2020;76:105018. doi:10.1016/j.clinbiomech.2020.105018
56. Deland JT, Ellis SJ, Day J, et al. Indications for deltoid and spring ligament reconstruction in progressive collapsing foot deformity. Foot Ankle Int. 2020;41(10):1302-1306. doi:10.1177/1071100720950742


