Skip to main content

Volume 36 - Issue 9 - September, 2024

Featured Article

Clinical Images
04/25/2024

Aatish Rengan, MD; Sourabh Agstam, MD, DM, MRCP(UK), FACC; Mohsin Raj Mantoo, MD; Sivasubramanian Ramakrishnan, MD, DM, FACC

Aatish Rengan, MD; Sourabh Agstam, MD...
A 67-year-old woman with no known risk factors for coronary artery disease presented to the outpatient department with complaints of exertional fatigue and angina New York Heart Association class III.
A 67-year-old woman with no known risk factors for coronary artery disease presented to the outpatient department with complaints of exertional fatigue and angina New York Heart Association class III.
A 67-year-old woman with no...
04/25/2024
Journal of Invasive Cardiology
Clinical Images
05/23/2024

Oludamilola Akinmolayemi, MD, MPH1; Charlotte McCreery, BS2; Francesca Romana Prandi, MD1; Rajeev Samtani, MD1; Adrija Mehta, MBBS3; Umer Suleman, MD1; Arjun B. Kapoor MD1; Jehanzeb Kayani, MD, MPH1; Umesh K. Gidwani, MD4; Stamatios Lerakis, MD, PhD1; George D. Dangas, MD, PhD1

Oludamilola Akinmolayemi, MD, MPH1; C...
An 83-year-old woman with symptomatic severe aortic stenosis was referred for transcatheter aortic valve replacement. Diagnostic left heart catheterization documented diffuse 3-vessel coronary artery disease.
An 83-year-old woman with symptomatic severe aortic stenosis was referred for transcatheter aortic valve replacement. Diagnostic left heart catheterization documented diffuse 3-vessel coronary artery disease.
An 83-year-old woman with...
05/23/2024
Journal of Invasive Cardiology
Original Contribution
05/22/2024

Michaella Alexandrou, MD1; Athanasios Rempakos, MD1; Deniz Mutlu, MD1; Ahmed Al Ogaili, MD1; James W. Choi, MD2; Paul Poommipanit, MD3; Khaldoon Alaswad, MD4; Mir Babar Basir, DO4; Rhian Davies, DO, MS5; Farouc A. Jaffer, MD, PhD6; Raj H. Chandwaney, MD7; Lorenzo Azzalini, MD, PhD, MSc8; Nazif Aygul, MD9; Ahmed M. ElGuindy, MD10; Brian K. Jefferson, MD11; Sevket Gorgulu, MD12; Jaikirshan J. Khatri, MD13; Oleg Krestyaninov, MD14; Dmitrii Khelimskii, MD14; Jarrod Frizzell, MD15; Basem Elbarouni, MD16; Omer Goktekin, MD17; Margaret B. McEntegart, MD18; Bavana V. Rangan, BDS, MPH1; Olga C. Mastrodemos, BA1; M. Nicholas Burke, MD1; Yader Sandoval, MD1; Emmanouil S. Brilakis, MD, PhD1

Michaella Alexandrou, MD1; Athanasios...
The authors analyzed patient and lesion characteristics, techniques, and outcomes in 11 503 CTO-PCI procedures performed in North America and in the combined regions of Europe, Asia, and Africa from 2017 to 2023 as documented in the...
The authors analyzed patient and lesion characteristics, techniques, and outcomes in 11 503 CTO-PCI procedures performed in North America and in the combined regions of Europe, Asia, and Africa from 2017 to 2023 as documented in the...
The authors analyzed patient and...
05/22/2024
Journal of Invasive Cardiology
Brief Communication
05/21/2024

Muhammad Haisum Maqsood, MD, MS1; Robert S. Zhang, MD2; David M. Zlotnick, MD3; Sahil A. Parikh, MD4; Sripal Bangalore, MD, MHA2

Muhammad Haisum Maqsood, MD, MS1; Rob...
The aim of this study was to evaluate the pooled efficacy of each of the 4 interventions (anticoagulation alone, systemic thrombolytic therapy, surgical thrombectomy, and catheter-based thrombectomy) using mortality as the primary outcome.
The aim of this study was to evaluate the pooled efficacy of each of the 4 interventions (anticoagulation alone, systemic thrombolytic therapy, surgical thrombectomy, and catheter-based thrombectomy) using mortality as the primary outcome.
The aim of this study was to...
05/21/2024
Journal of Invasive Cardiology
Original Contribution
05/15/2024

Kristin T. Fujita, MD; Oliver M. Barry, MD; Alejandro J. Torres, MD; Matthew A. Crystal, MD; Mariel E. Turner, MD

Kristin T. Fujita, MD; Oliver M. Barr...
The study aimed to report the procedural outcomes and safety of bifurcation stent placement in infants, particularly the long-term trajectory of re-interventions.
The study aimed to report the procedural outcomes and safety of bifurcation stent placement in infants, particularly the long-term trajectory of re-interventions.
The study aimed to report the...
05/15/2024
Journal of Invasive Cardiology
Clinical Images
05/13/2024

Kun Wang, MB1; Yiming Qi, MB2,3; Wenzhi Pan2,3

Kun Wang, MB1; Yiming Qi, MB2,3; Wenz...
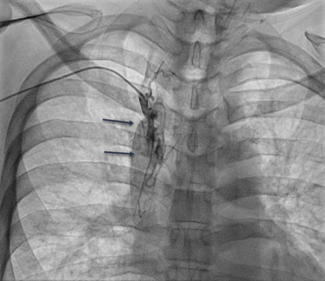
The authors report a case of annulus rupture post-balloon dilation during transcatheter aortic valve replacement , which was sealed successfully with the valve-in-valve implantation technique.
The authors report a case of annulus rupture post-balloon dilation during transcatheter aortic valve replacement , which was sealed successfully with the valve-in-valve implantation technique.
The authors report a case of...
05/13/2024
Journal of Invasive Cardiology
Original Contribution
05/07/2024

Kishor Khanal, MD1; Juan A. Pastor-Cervantes, MD1; Sunay Shah, MD1; Jianli Niu, MD, PhD2; Jonathan Roberts, MD1

Kishor Khanal, MD1; Juan A. Pastor-Ce...
In this retrospective study, the authors aimed to determine whether subclavian/innominate venoplasty allows successful right heart catheterization in patients with subclavian/innominate vein stenosis .
In this retrospective study, the authors aimed to determine whether subclavian/innominate venoplasty allows successful right heart catheterization in patients with subclavian/innominate vein stenosis .
In this retrospective study, the...
05/07/2024
Journal of Invasive Cardiology
Clinical Images
05/07/2024

Yann Shan Keh, MD; Chee Yang Chin, MBChB; Chee Tang Chin, MBChB, Soo Teik Lim, MBBS

Yann Shan Keh, MD; Chee Yang Chin, MB...
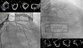
The authors present a rare intravascular ultrasound finding of a side branch guidewire being entrapped by a crack in coronary calcification.
The authors present a rare intravascular ultrasound finding of a side branch guidewire being entrapped by a crack in coronary calcification.
The authors present a rare...
05/07/2024
Journal of Invasive Cardiology
Clinical Images
05/07/2024

Solomon W. Bienstock, MD; Kali Hopkins, MD; Barry Love, MD; Ali Zaidi, MD; Gina LaRocca, MD; George Dangas, MD, PhD; Stamatios Lerakis, MD, PhD

Solomon W. Bienstock, MD; Kali Hopkin...
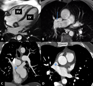
A 73-year-old man with a history of hypertension, hyperlipidemia, and obesity presented for cardiovascular evaluation. He was experiencing mild fatigue and dyspnea on exertion. Transthoracic echocardiogram showed right ventricular dilation,...
A 73-year-old man with a history of hypertension, hyperlipidemia, and obesity presented for cardiovascular evaluation. He was experiencing mild fatigue and dyspnea on exertion. Transthoracic echocardiogram showed right ventricular dilation,...
A 73-year-old man with a history...
05/07/2024
Journal of Invasive Cardiology
Clinical Images
04/25/2024

Luisa Salido-Tahoces, MD, PhD; Angel Sánchez-Recalde, MD, PhD; Covadonga Fernández-Golfín, MD; PhD, José L. Zamorano-Gómez, MD, PhD

Luisa Salido-Tahoces, MD, PhD; Angel ...
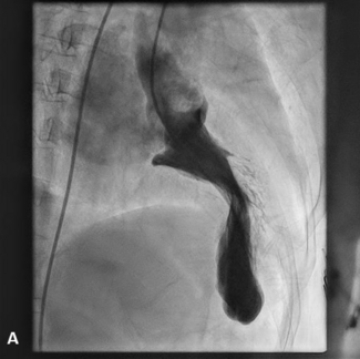
The authors present a case of percutaneous closure of an incomplete surgical left atrial appendage (LAA) ligation with a new device LAmbre (Lifetech ScientificCo Ltd).
The authors present a case of percutaneous closure of an incomplete surgical left atrial appendage (LAA) ligation with a new device LAmbre (Lifetech ScientificCo Ltd).
The authors present a case of...
04/25/2024
Journal of Invasive Cardiology