Skip to main content

Volume 35 - Issue 9 - September, 2023

Clinical Images
09/24/2023
Asad Shabbir, MD; Pablo Zulet, MD; Javier Escaned, MD, PhD; Hernan Mejia-Renteria, MD, PhD
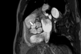
A 74-year-old man who previously underwent percutaneous coronary intervention (PCI) for a right coronary non-ST-segment elevation myocardial infarction was scheduled for physiology-guided PCI to a left main stem (LMS)/left anterior descending...
A 74-year-old man who previously underwent percutaneous coronary intervention (PCI) for a right coronary non-ST-segment elevation myocardial infarction was scheduled for physiology-guided PCI to a left main stem (LMS)/left anterior descending...
A 74-year-old man who previously...
09/24/2023
Journal of Invasive Cardiology
Case Series
09/18/2023
Azfar G. Zaman, BSc, MD, FRCP, MBChB; Amjad Ghazal Asswad; Mohammad Alkhalil; Mohamed Farag, MSc, PhD
Coronary artery occlusion (CAO) in patients undergoing transcatheter aortic valve implantation (TAVI) is rare but is associated with up to 50% mortality risk. We report a case series of a novel technique of coronary protection for patients...
Coronary artery occlusion (CAO) in patients undergoing transcatheter aortic valve implantation (TAVI) is rare but is associated with up to 50% mortality risk. We report a case series of a novel technique of coronary protection for patients...
Coronary artery occlusion (CAO)...
09/18/2023
Journal of Invasive Cardiology
Original Contribution
09/15/2023
Marcos Danillo P. Oliveira, MD, MSc; Ednelson Cunha Navarro, MD; Nathalia Rodrigues Branca, MD; Maria Eduarda Vieira Ribeiro Garcia, MD; Adriano Caixeta, MD, PhD; Maria Clara Scarpa, MD
Older patients are at a higher risk of access site complications and bleeding. Systematic reviews and meta-analysis have highlighted the benefits of distal over proximal transradial access (mainly, lower rates of radial artery occlusion and...
Older patients are at a higher risk of access site complications and bleeding. Systematic reviews and meta-analysis have highlighted the benefits of distal over proximal transradial access (mainly, lower rates of radial artery occlusion and...
Older patients are at a higher...
09/15/2023
Journal of Invasive Cardiology
Original Contribution
09/13/2023
Salman S. Allana, MD; Bavana V. Rangan, BDS, MPH, MD; Paul Poommipanit, MD, FACC, FSCAI; M. Nicholas Burke, MD; Omer Goktekin, MD; Mir Babar Basir, MD, DO; Jaikirshan J. Khatri, MD; Rhian E. Davies, DO, MD, MS, FACC, FSCAI; Khaldoon Alaswad, MD; Stewart M. Benton, Jr., MD; Karim M. Al-Azizi, MD, FACC, FSCAI, FESC; Sevket Gorgulu, MD; Emmanouil S. Brilakis, MD, PhD, FACC, FAHA, FESC, FSCAI; Wissam A. Jaber, MD; Raj Chandwaney, MD; Stéphane Rinfret, MD, SM; William J. Nicholson, MD; Nazif Aygul, MD; Yader Sandoval, MD; Oleg Krestyaninov, MD; Farouc A. Jaffer, MD, PhD; Dmitrii Khelimskii, MD; James W. Choi, MD; Srinivasa Potluri, MD, FACC, FSCAI; Athanasios Rempakos, MD; Jarrod D. Frizzell, MD; Bahadir Simsek, MD; Nidal Abi Rafeh, MD; Spyridon Kostantinis, MD; Ahmed M. ElGuindy, MD, MSc, FRCP; Michaella Alexandrou, MD; Brian K. Jefferson, MD, FACC, FSCAI; Olga C. Mastrodemos, BA; Taral N. Patel, MD; Judit Karacsonyi, MD, PhD
There is limited information on the impact of the target vessel on the procedural techniques and outcomes of chronic total occlusion (CTO) percutaneous coronary intervention (PCI). We analyzed the baseline clinical and angiographic...
There is limited information on the impact of the target vessel on the procedural techniques and outcomes of chronic total occlusion (CTO) percutaneous coronary intervention (PCI). We analyzed the baseline clinical and angiographic...
There is limited information on...
09/13/2023
Journal of Invasive Cardiology
Original Contribution
09/13/2023
Eric M. Horlick, MD, FRCPC, MDCM; Lee N. Benson, MD, FRCPC; Annamalar M. Muthuppalaniappan, MBBS, MRCP; Mark Osten, MD, FRCPC; Ricardo Gorocica-Romero, MD; Louise Pei, BSc, MSc; Jaime C. Sklar, MD, MSc
Outcomes after adult coarctation of the aorta (CoA) stenting is scant. We explored predictors of aortic remodeling after stent implantation and report early- and intermediate-term clinical outcomes.
Outcomes after adult coarctation of the aorta (CoA) stenting is scant. We explored predictors of aortic remodeling after stent implantation and report early- and intermediate-term clinical outcomes.
Outcomes after adult coarctation...
09/13/2023
Journal of Invasive Cardiology
Case Report
08/30/2023
Judit Karacsonyi, MD, PhD; Bavana V. Rangan, BDS, MPH, MD; M. Nicholas Burke, MD; Yader Sandoval, MD; Athanasios Rempakos, MD; Emmanouil S. Brilakis, MD, PhD, FACC, FAHA, FESC, FSCAI; Bahadir Simsek, MD; Spyridon Kostantinis, MD; Michaella Alexandrou, MD; Olga C. Mastrodemos, BA; Salman S. Allana, MD
Percutaneous coronary intervention (PCI) on heavily calcified lesions has been associated with more complications.1 Intravascular lithotripsy (IVL) was recently approved for treating de novo calcified coronary lesions based on excellent...
Percutaneous coronary intervention (PCI) on heavily calcified lesions has been associated with more complications.1 Intravascular lithotripsy (IVL) was recently approved for treating de novo calcified coronary lesions based on excellent...
Percutaneous coronary...
08/30/2023
Journal of Invasive Cardiology
Clinical Images
08/28/2023
Francesco Giannini, MD; H. Fujii; Andrea Fisicaro, MD; Daniela Mele, MD; Enrico Fabris, MD, PhD
An 80-year-old man was referred to our center for heart failure and severe degenerative mitral regurgitation (MR). Transesophageal echocardiography revealed severe MR due to anterior leaflet prolapse, mainly in its central portion (A2) in the...
An 80-year-old man was referred to our center for heart failure and severe degenerative mitral regurgitation (MR). Transesophageal echocardiography revealed severe MR due to anterior leaflet prolapse, mainly in its central portion (A2) in the...
An 80-year-old man was referred...
08/28/2023
Journal of Invasive Cardiology
Clinical Images
08/28/2023
Azfar G. Zaman, BSc, MD, FRCP, MBChB; Visvesh Jeyalan; Vamsidhar Dronavalli; Mohammad Alkhalil
A 78-year-old woman with a background of hypertension and osteoarthritis presented with a history of syncope secondary to severe aortic stenosis. She underwent a computed tomography (CT) scan that showed a heavily calcific trileaflet aortic...
A 78-year-old woman with a background of hypertension and osteoarthritis presented with a history of syncope secondary to severe aortic stenosis. She underwent a computed tomography (CT) scan that showed a heavily calcific trileaflet aortic...
A 78-year-old woman with a...
08/28/2023
Journal of Invasive Cardiology
Case Report
08/28/2023
Cholanahalli Nanjappa Manjunath, MD, DM; Akash Jain, MD; Jayashree Kharge, MD, DM; Yamasandi Siddegowda Shrimanth, MD, DM
A 56-year-old man presented with typical angina for 1 day and a prior history of exertional  dyspnea of 6 months duration. Clinically, he was diagnosed with severe aortic regurgitation (AR). Electrocardiogram showed left ventricular...
A 56-year-old man presented with typical angina for 1 day and a prior history of exertional  dyspnea of 6 months duration. Clinically, he was diagnosed with severe aortic regurgitation (AR). Electrocardiogram showed left ventricular...
A 56-year-old man presented with...
08/28/2023
Journal of Invasive Cardiology
Original Contribution
08/10/2023
Beiyu Liu, PhD; Sin-Ho Jung, PhD; Ryan Plichta, MD; Tom C. Nguyen, MD; Julie Doberne, MD, PhD; J. Kevin Harrison, MD; Vishal Venkatraman, MHSc; Shivanand P. Lad, MD, PhD; Ziad F. Gellad, MD, MPH; Helen Heo, BS; Kevin A. Wu, BS, MD; Rajeev Dharmapurikar, MS
ManageMySurgery (MMS) is a digital health application (app) for patients undergoing surgery, including Transcatheter Aortic Valve Replacement (TAVR). Patients using MMS review procedure-specific education, view FAQs, and report...
ManageMySurgery (MMS) is a digital health application (app) for patients undergoing surgery, including Transcatheter Aortic Valve Replacement (TAVR). Patients using MMS review procedure-specific education, view FAQs, and report...
ManageMySurgery (MMS) is a...
08/10/2023
Journal of Invasive Cardiology