Quadricuspid Aortic Valve
© 2023 HMP Global. All Rights Reserved.
Any views and opinions expressed are those of the author(s) and/or participants and do not necessarily reflect the views, policy, or position of INSERT BRAND or HMP Global, their employees, and affiliates.
A 56-year-old man presented with typical angina for 1 day and a prior history of exertional dyspnea of 6 months duration. Clinically, he was diagnosed with severe aortic regurgitation (AR). Electrocardiogram showed left ventricular hypertrophy with volume overload. Transthoracic echocardiography (TTE) showed severe AR with mild left ventricular dysfunction. Although aortic valve morphology appeared to be quadricuspid, it was not clear on TTE. In view of elevated troponin levels, a coronary angiogram was done that showed 90% stenosis in the proximal left anterior descending artery (LAD).
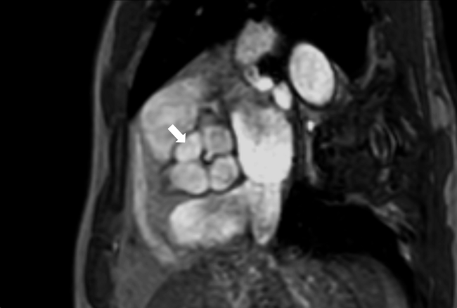
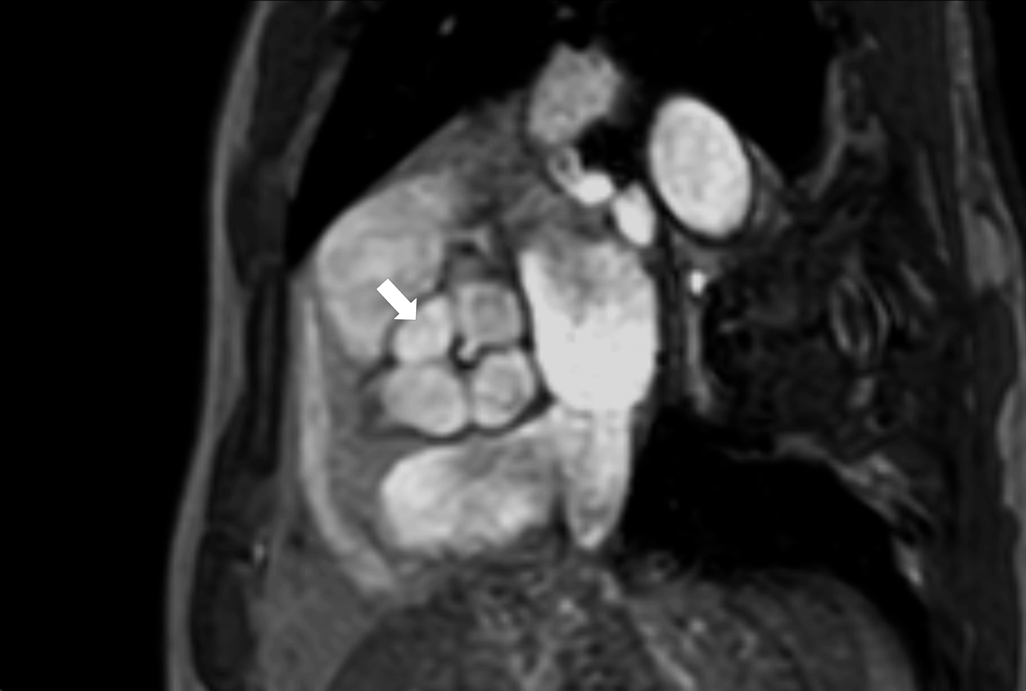
Cardiac magnetic resonance imaging (CMRI) was done to assess the cardiac function, evaluate the aortic valve morphology, and analyze the severity of AR. On CMRI, a quadricuspid aortic valve with 3 equal-sized cusps and 1 smaller cusp with 4 sinuses was well appreciated, along with severe aortic regurgitation and mild left ventricular dysfunction (Figure 1, Videos 1 and 2). The ascending aorta was normal. The patient underwent surgical aortic valve replacement with a coronary artery bypass graft to the LAD. He is doing well at 6-month follow-up.
Quadricuspid aortic valve (QAV) is a rare congenital heart disease with an incidence of 0.00028%-0.00033% in autopsy series and 0.0059%-0.0065% for patients undergoing TTE. QAV predominantly presents as pure AR, sometimes as a combined stenotic and regurgitant valve, and rarely only stenotic. It can be normally functioning in 16% of individuals with QAV. The function of the QAV is usually normal until age 18, with worsening over age 401 and subsequently requiring surgery at the fifth or sixth decade of life.
Affiliations and Disclosures
From 1Department of Cardiology, Sri Jayadeva Institute of Cardiovascular Sciences and Research, Bangalore and 2Department of Cardiology, Sri Jayadeva Institute of Cardiovascular Sciences and Research, Mysuru, India.
Disclosures: The authors report no financial relationships or conflicts of interest regarding the content herein. The authors affirm that the images have not been previously published.
Address for Correspondence: Yamasandi Siddegowda Shrimanth, MD, DM, Assistant Professor, Department of Cardiology, Sri Jayadeva Institute of Cardiovascular Sciences and Research, Mysuru, India. Email: shrimanthys@gmail.com
References
1. Yuan SM. Quadricuspid aortic valve: a comprehensive review. Braz J Cardiovasc Surg. 2016;31(6):454-460. doi:10.5935/1678-9741.20160090


