Skip to main content

Volume 35 - Issue 12 - December, 2023

Original Contribution
12/14/2023
Sergio Navarro Braga, MD, PhD; Ronaldo Rossi Júnior, MD, PhD; Caetano Nigro, MD, PhD; Amanda G.R.M. Sousa, MD, PhD; Jose de Ribamar Costa, Jr., MD, PhD; Fausto Feres, MD, PhD
In the present study, the authors sought to investigate the role of sevoflurane in reduction of creatine kinase-myocardial band mass release after percutaneous coronary intervention with drug-eluting stents.
In the present study, the authors sought to investigate the role of sevoflurane in reduction of creatine kinase-myocardial band mass release after percutaneous coronary intervention with drug-eluting stents.
In the present study, the...
12/14/2023
Journal of Invasive Cardiology
Clinical Images
12/05/2023
Maria Antonia Mesa-Maya, MD; Laura Duque-Gonzalez, MD; Sergio Franco-Sierra, MD
An 18-year-old man with past medical history of secondary arterial hypertension diagnosed at age 15 presented with an abdominal magnetic resonance imaging that exhibited left renal artery stenosis.
An 18-year-old man with past medical history of secondary arterial hypertension diagnosed at age 15 presented with an abdominal magnetic resonance imaging that exhibited left renal artery stenosis.
An 18-year-old man with past...
12/05/2023
Journal of Invasive Cardiology
Clinical Images
12/05/2023
Jie Zeng, MD; Cong Lu, MD; Hui Huang, MD; Qian Wang, MD; Long Zhou, MD
A 62-year-old woman with atrial fibrillation was admitted to Sichuan Provincial People’s Hospital, and radiofrequency ablation therapy was planned. After femoral venous puncture, X-ray fluoroscopy showed a slim-line shaped wire that was...
A 62-year-old woman with atrial fibrillation was admitted to Sichuan Provincial People’s Hospital, and radiofrequency ablation therapy was planned. After femoral venous puncture, X-ray fluoroscopy showed a slim-line shaped wire that was...
A 62-year-old woman with atrial...
12/05/2023
Journal of Invasive Cardiology
Clinical Images
12/05/2023
Lina Ya'Quob, MD; Richard K. Cheng, MD, MS; Marc Simon, MD; Harsh Argawal, MD
A 71-year-old man with history of coronary artery disease status post coronary artery bypass grafting in 1999 presented with decompensated heart failure.
A 71-year-old man with history of coronary artery disease status post coronary artery bypass grafting in 1999 presented with decompensated heart failure.
A 71-year-old man with history...
12/05/2023
Journal of Invasive Cardiology
Clinical Images
12/05/2023
Jonathan Davis, MD; Emmanouil S. Brilakis, MD, PhD, FACC, FAHA, FESC, FSCAI; Michael S. Megaly, MD, MS; Khaldoon Alaswad, MD
A 72-year-old woman presented with progressive angina and anterior ischemia on a nuclear stress test.
A 72-year-old woman presented with progressive angina and anterior ischemia on a nuclear stress test.
A 72-year-old woman presented...
12/05/2023
Journal of Invasive Cardiology
Clinical Images
12/05/2023
Pradyumna Agasthi, MBBS, MD; Jason H. Anderson, MD; Haraldur Bjarnason, MD
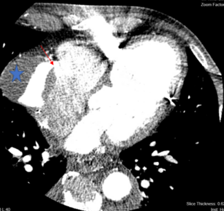
A 32-year-old man with history of hypoplastic left heart syndrome status post-Fontan palliation had previously undergone Fontan conduit and left pulmonary artery stenting to relieve conduit obstruction.
A 32-year-old man with history of hypoplastic left heart syndrome status post-Fontan palliation had previously undergone Fontan conduit and left pulmonary artery stenting to relieve conduit obstruction.
A 32-year-old man with history...
12/05/2023
Journal of Invasive Cardiology
Original Contribution
12/05/2023
Florim Cuculi, MD; Stefan Toggweiler, MD; Mathias Wolfrum, MD; Federico Moccetti, MD; Nina Conrad, MS; Lucca Loretz, MD; Matthias Bossard, MD; Adrian Attiger-Toller, MD
The authors report procedural data and mid-term echocardiographic and clinical data from a prospective single center registry.
The authors report procedural data and mid-term echocardiographic and clinical data from a prospective single center registry.
The authors report procedural...
12/05/2023
Journal of Invasive Cardiology
Original Contribution
12/05/2023
M. Nicholas Burke, MD; Ufuk Yildirim, MD; Omer Goktekin, MD; Khaldoon Alaswad, MD; Nidal Abi Rafeh, MD; Rodrigo Bagur, MD, PhD; Yader Sandoval, MD; Niranjan Reddy, MD; Judit Karacsonyi, MD, PhD; James W. Choi, MD; Jimmy L. Kerrigan, MD; Bavana V. Rangan, BDS, MPH, MD; Athanasios Rempakos, MD; Elias V. Haddad, MD; Bahadir Simsek, MD; Kathleen E. Kearney, MD; Spyridon Kostantinis, MD; Lorenzo Azzalini, MD, PhD, MSc; Michaella Alexandrou, MD; Olga C. Mastrodemos, BA; Emmanouil S. Brilakis, MD, PhD, FACC, FAHA, FESC, FSCAI; Salman S. Allana, MD; Paul Poommipanit, MD, FACC, FSCAI; Rhian E. Davies, DO, MD, MS, FACC, FSCAI; Sevket Gorgulu, MD; Nazif Aygul, MD; Philip Dattilo, MD; Jarrod D. Frizzell, MD
The authors evaluated the association between activated clotting time and in-hospital clinical outcomes in a large international multicenter chronic total occlusion-percutaneous coronary intervention registry.
The authors evaluated the association between activated clotting time and in-hospital clinical outcomes in a large international multicenter chronic total occlusion-percutaneous coronary intervention registry.
The authors evaluated the...
12/05/2023
Journal of Invasive Cardiology
Clinical Images
11/28/2023
Mitsuhiro Kunimoto, MD; Hiroshi Tamura, MD; Kikuo Isoda, MD; Seiji Koga, MD; Mitsuhiro Takeuchi, MD
A 79-year-old male with effort angina was admitted to receive optical coherence tomography-guided percutaneous coronary intervention for restenosis of an everolimus-eluting stent implanted to the left anterior descending artery 8 years ago.
A 79-year-old male with effort angina was admitted to receive optical coherence tomography-guided percutaneous coronary intervention for restenosis of an everolimus-eluting stent implanted to the left anterior descending artery 8 years ago.
A 79-year-old male with effort...
11/28/2023
Journal of Invasive Cardiology
Original Contribution
07/13/2023
Yader Sandoval, MD; Emmanouil S. Brilakis, MD, PhD, FACC, FAHA, FESC, FSCAI; Judit Karacsonyi, MD, PhD; Michalis Koutouzis, MD, PhD; Dimitrios Karmpaliotis, MD, PhD; Bavana V. Rangan, BDS, MPH, MD; Basem Elbarouni, MD; Farouc A. Jaffer, MD, PhD; Ehtisham Mahmud, MD; Athanasios Rempakos, MD; Mitul P. Patel, MD; Bahadir Simsek, MD; M. Nicholas Burke, MD; Spyridon Kostantinis, MD; Jaikirshan J. Khatri, MD; Omer Goktekin, MD; Salman S. Allana, MD; Khaldoon Alaswad, MD; Paul Poommipanit, MD, FACC, FSCAI; Wissam A. Jaber, MD; Sevket Gorgulu, MD; William J. Nicholson, MD; Stéphane Rinfret, MD, SM; Oleg Krestyaninov, MD; Dmitrii Khelimskii, MD; Nidal Abi Rafeh, MD; Ahmed M. ElGuindy, MD, MSc, FRCP; Ioannis Tsiafoutis, MD
We examined the clinical and angiographic characteristics and procedural outcomes of 8,788 CTO PCIs performed at 35 US and non-US centers between 2012 and 2022. In-hospital major adverse cardiac events (MACE) included death, myocardial...
We examined the clinical and angiographic characteristics and procedural outcomes of 8,788 CTO PCIs performed at 35 US and non-US centers between 2012 and 2022. In-hospital major adverse cardiac events (MACE) included death, myocardial...
We examined the clinical and...
07/13/2023
Journal of Invasive Cardiology