Coronary Steal Syndrome Caused by a Large Saphenous Venous Graft Aneurysm With a Fistula Communicating to the Right Atrium Managed by Transcatheter Closure
A 71-year-old man with history of coronary artery disease status post coronary artery bypass grafting (CABG) in 1999 (left internal mammary artery-left anterior descending, saphenous venous graft [SVG]-diagonal, and SVG-right coronary artery [RCA], ascending aorta aneurysm [4.8 cm], infrarenal aorta aortic aneurysm status post endovascular aortic repair, heart failure with reduced ejection fraction of 25% status post cardiac resynchronization therapy-defibrillator) presented with decompensated heart failure. He was in monomorphic ventricular tachycardia; he was cardioverted and started on amiodarone and lidocaine. His vital signs remained stable. He was volume overloaded on physical exam. Labs were remarkable for elevated brain-natriuretic peptide at 1560 pg/mL (normal <64 pg/mL) and elevated troponin I at 1.66 mcg/L (normal range, 0.00-0.04 mcg/L).
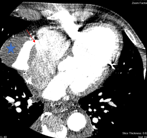
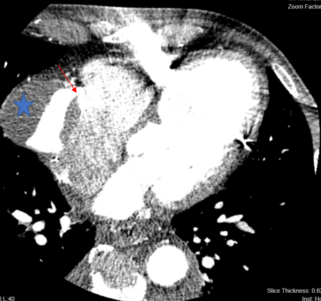
Coronary angiogram showed a large aneurysm in SVG-RCA with a fistula between the SVG to right atrium (RA) (Figure 1, Video). Right heart catheterization demonstrated elevated right-sided and left-sided filling pressures with no step up on oxygen saturation, suggesting bidirectional shunting. However, given the risk of aneurysm rupture, assessment using computed tomography (CT) showed the aneurysm measurements of 5.6 x 5.9 cm in diameter with SVG measuring 8 mm proximal to the aneurysm (Figure 2).1,2 Thallium study was performed and showed no viability in the inferior wall territory.
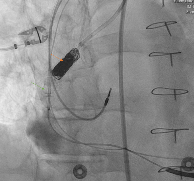
A heart team approach was pursued with a discussion among cardiothoracic surgeons, structural interventional cardiologists, advanced heart failure specialists, and electrophysiologists. The patient was deemed a poor surgical candidate given his co-morbidities and prior cardiac surgery. Given the inferior wall was infarcted and non-viable, mainly attributed to coronary steal syndrome from the fistula, a decision was made to proceed with transcatheter closure of the fistula using a 12-mm Amplatzer vascular plug II (AVP-II; Abbott) and Penumbra coils (Figure 3). The patient tolerated the procedure well and he was discharged home on day 10 after optimizing his volume status.
Affiliations and Disclosures
From the Department of Cardiology, University of California-San Francisco, San Francisco, California, USA.
Disclosures: The authors report no financial relationships or conflicts of interest regarding the content herein.
Address for correspondence: Lina Ya’Qoub, MD, 505 Parnassus Avenue, San Francisco, CA 94143, USA. E-mail: yaqoublina1989@gmail.com
References
1. Le Breton H, Pavin D, Langanay T, et al. Aneurysms and pseudoaneurysms of saphenous vein coronary artery bypass grafts. Heart. 1998;79(5):505-508. doi: 10.1136/hrt.79.5.505
2. Walters D, Patel M, Penny W. Saphenous vein graft aneurysm: A case-based review of percutaneous management. Cardiovasc Revasc Med. 2019;20(12):1190-1195. doi: 10.1016/j.carrev.2019.01.029


