Clinical Videos
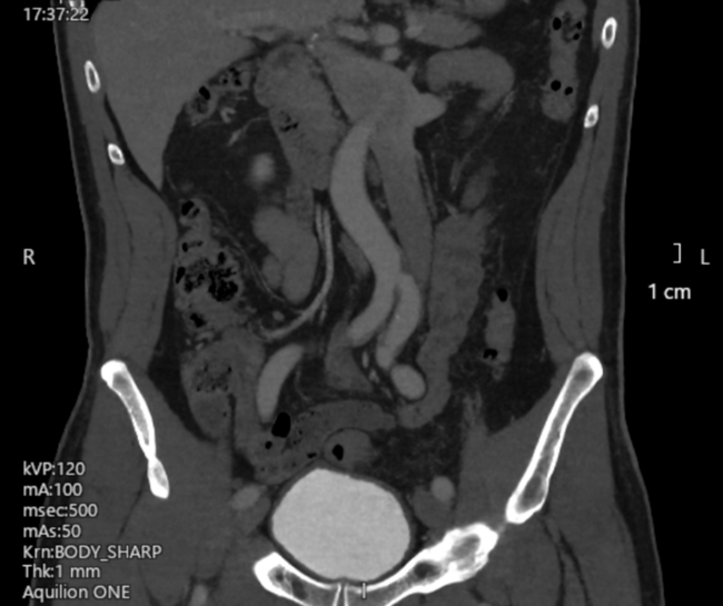
Video Supplement: Left-Sided Inferior Vena Cava: An Unusual Obstacle to Leadless Pacemaker Implantation
02/26/2026
Video Supplement to "Left-Sided Inferior Vena Cava: An Unusual Obstacle to Leadless Pacemaker Implantation" (Clinical Image).
© 2026 HMP Global. All Rights Reserved.
Any views and opinions expressed are those of the author(s) and/or participants and do not necessarily reflect the views, policy, or position of the Journal of Invasive Cardiology or HMP Global, their employees, and affiliates.


