A Visual Depiction of Left Ventricular Unloading in Veno-Arterial ExtraCorporeal Membrane Oxygenation With Impella
Keywords: coronavirus, COVID-19, left ventricular unloading
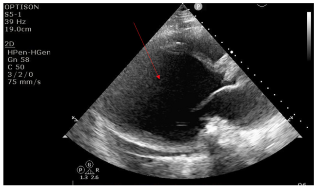
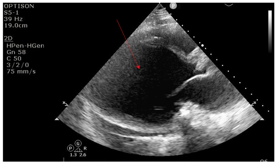
Left ventricular (LV) unloading has been associated with improved survival in patients treated with venoarterial extracorporeal membrane oxygenation (VA-ECMO).1 This case visually demonstrates the effect of LV unloading in a 30-year-old male, with a history of coronavirus disease 2019 (COVID-19) myocarditis. The patient developed COVID-19 and subsequently developed nonischemic cardiomyopathy with an LV ejection fraction of 10% to 15% (baseline echo; Figure 1, Video 1). He did poorly in the outpatient setting and was admitted to an outside hospital with heart failure symptoms. He was subsequently transferred to our hospital for escalation of care and consideration of advanced heart failure therapies. Upon arrival to our institution, the patient experienced a cardiac arrest with refractory ventricular fibrillation. Given his young age, VA-ECMO was inserted at bedside. The patient was brought to the cardiac catheterization lab for LV unloading with Impella due to inadequate aortic valve opening and LV smoke. On the following day, the patient had low-flow alarms. Echocardiogram demonstrated complete obliteration of the LV cavity (Figure 2, Video 2). The patient was transfused 2 units of red blood cells and given intravenous fluids with improvement in flow. The case nicely demonstrates the effect of LV unloading in the setting of VA-ECMO.
Affiliations and Disclosures
From the 1Division of Interventional Cardiology, Henry Ford Hospital, Detroit, Michigan; and 2Division of Structural Heart Disease, Henry Ford Hospital, Detroit, Michigan.
Disclosure: The authors have completed and returned the ICMJE Form for Disclosure of Potential Conflicts of Interest. Dr Basir reports grant support from Abiomed, Chiese, and Zoll; consultant fees/honoraria from Abbott Vascular, Abiomed, Boston Scientific, Cardiovascular Systems, Inc, Chiesi, Seranas, and Zoll. The remaining authors report no conflicts of interest regarding the content herein.
The authors report that patient consent was provided for publication of the images used herein.
Manuscript accepted April 11, 2022.
Address for correspondence: Lina Ya’Qoub, MD, Henry Ford Hospital, 2799 E. Grand Boulevard, Detroit, MI 48202. Email: yaqoublina1989@gmail.com
Reference
1. Schrage B, Becher PM, Bernhardt A, et al. Left ventricular unloading is associated with lower mortality in patients with cardiogenic shock treated with venoarterial extracorporeal membrane oxygenation: results from an international, multicenter cohort study. Circulation. 2020;142(22):2095-2106. doi:10.1161/CIRCULATIONAHA.120.048792
Related Reading
- Use of the STEMI Team for Treatment of Patients with Pulmonary Embolism: A Pilot Study
- Comparison of 26-mm Evolut and 23-mm Sapien 3 Valves in TAVR for Small Aortic Annulus
- Protected Percutaneous Coronary Intervention of Unprotected Left Main Using Impella Ventricular Assist Device Before Transcatheter Aortic Valve Implantation: A Single-Center Experience
- Percutaneous Treatment of Symptomatic Left Ventricular Assist Device Outflow Graft Obstruction


