Polidocanol Ablation in Midventricular Obstructive Cardiomyopathy: Novel Approach and Early Outcomes
© 2025 HMP Global. All Rights Reserved.
Any views and opinions expressed are those of the author(s) and/or participants and do not necessarily reflect the views, policy, or position of the Journal of Invasive Cardiology or HMP Global, their employees, and affiliates.
Abstract
Objectives. Midventricular obstructive hypertrophic cardiomyopathy (MVOHCM) poses significant challenges in diagnosis and treatment because of its unique anatomical and hemodynamic characteristics. Traditional interventions, such as alcohol septal ablation and surgical myectomy, are associated with complications and technical difficulties, prompting the search for alternative options. This study aimed to assess the safety, feasibility, and efficacy of polidocanol ablation in patients with symptomatic MVOHCM.
Methods. Polidocanol was utilized as a novel ablation agent to achieve septal reduction in a retrospective cohort of 11 patients. Procedural success was defined as a reduction of at least 50% in the midventricular gradient. Echocardiography, computed tomography, and cardiac magnetic resonance imaging guided the selection of patients and the planning of procedures.
Results. The procedure significantly reduced midventricular gradients in all patients, with no reports of polidocanol leakage. The New York Heart Association (NYHA) functional class improved notably (P = .003), and interventricular septum thickness decreased from 22.73 ± 3.9 mm to 20.09 ± 3.7 mm (P = .022). Conduction defects occurred in 54.5% of patients, necessitating the placement of an implantable cardioverter-defibrillator in 27.3% of cases. There was no peri-procedural mortality. During a median follow-up period of 14 months, significant and persistent improvements in midventricular gradient and NYHA functional class were observed.
Conclusions. Polidocanol ablation was safe and effective as a minimally invasive option for managing MVOHCM, providing noteworthy procedural advantages. However, additional multicenter trials are needed to validate its use and establish standardized protocols.
Introduction
Midventricular obstructive hypertrophic cardiomyopathy (MVOHCM) is a relatively rare subtype of HCM (“hourglass” shape), presenting unique challenges in diagnosis and management because of its atypical presentation and lack of mitral valve involvement.1 MVO can lead to increased intraventricular pressure, ischemia, and, in some cases, the formation of apical aneurysms.2 Furthermore, studies have demonstrated that heart failure can develop in these patients during long-term follow-up.3,4 Moreover, morbidity and mortality rates are significantly high in this patient population.1,5 These complications are associated with a higher risk of adverse outcomes, including arrhythmias and sudden cardiac death.6 Therefore, identifying and managing MVO in patients with HCM is crucial, particularly for patients who do not respond well to medical therapy. Septal reduction therapy, which includes surgical myectomy and percutaneous septal ablation, is a cornerstone of treatment for symptomatic HCM with obstruction.7 Alcohol septal ablation (ASA) has emerged as a less invasive alternative, especially for patients at high surgical risk or those who refuse surgery.8,9 While effective, alcohol-related complications, including ventricular arrhythmias and conduction blocks, have prompted the exploration of alternative agents.10
Polidocanol, a sclerosing agent frequently used to treat varicose veins, has been suggested as a safer alternative to ASA. Its application in HCM remains novel, yet early evidence indicates it provides a comparable reduction in left ventricular outflow tract (LVOT) gradient while possibly lowering the risks related to alcohol-induced myocardial necrosis. The foam-like structure of polidocanol enables a more uniform distribution within the target vessel, and its anesthetic properties may further alleviate procedural discomfort.11 Limited data exist regarding polidocanol use for septal ablation, particularly in the context of MVO. This study presents the first reported use of polidocanol for septal ablation in patients with MVO. This condition presents unique challenges because of the obstruction’s anatomical structure and dynamic nature. By focusing on a novel agent like polidocanol, this study aims to provide a new therapeutic option, potentially reducing complications while maintaining efficacy in decreasing the midventricular gradient.
Methods
Patient selection and study design
This study was conducted as a retrospective observational cohort, focusing on patients diagnosed with MVOHCM who exhibited persistent symptoms despite optimal medical therapy. Eligible participants included individuals with a midventricular pressure gradient of greater than or equal to 30 mm Hg, either at rest or during provocation (Valsalva maneuver), and who exhibited symptoms of New York Heart Association (NYHA) class II or higher.
To ensure accurate patient selection, MVOHCM diagnosis was confirmed based on 3 key criteria: (1) a maximum left ventricular (LV) wall thickness of greater than or equal to 15 mm in the absence of any other identifiable cause of hypertrophy, (2) a midventricular pressure gradient of greater than or equal to 30 mm Hg, and (3) a midventricular hourglass-like obliteration due to systolic muscular apposition of the hypertrophic septum against the LV free wall. In some cases, Doppler echocardiography demonstrated a characteristic "signal void" pattern, indicative of abrupt flow cessation across the obliterated ventricle, followed by paradoxical early diastolic flow reflecting the release of previously trapped volume.12 A comprehensive echocardiographic evaluation (Figure 1) was performed to confirm the presence of MVO, characterized by significant myocardial thickening and elevated pressure gradients. This assessment was crucial in identifying candidates suitable for the ablation procedure and optimizing the treatment strategy. Patients were excluded if they had subaortic obstructive HCM, apical HCM, other cardiovascular conditions requiring urgent surgical intervention, or anatomical constraints precluding percutaneous septal reduction therapy.
Comprehensive baseline and follow-up data, including demographic, clinical, and echocardiographic measurements, were collected retrospectively from the hospital’s electronic records, allowing for a detailed analysis of patient profiles and procedural outcomes within a defined cohort. Computed tomography (CT) imaging evaluated midventricular thickness, offering detailed anatomical visualization of the hypertrophied segment (Figure 2). This modality complemented transthoracic echocardiography (TTE) in assessing the severity and extent of MVO. Cardiac magnetic resonance imaging (MRI) was conducted to further evaluate the hypertrophied midventricular segment in short-axis and 4-chamber views (Figure 3). This advanced imaging technique provided detailed anatomical visualization and was especially useful in cases needing further clarification (including the presence of fibrosis) beyond echocardiographic and CT evaluation findings.
The study adhered to the principles outlined in the Declaration of Helsinki and received approval from the Hacettepe University Health Sciences Research Ethics Committee (approval date: 08.10.2024, approval number: 2024/17-01). Before being included in the study, informed consent was obtained from all patients during the septal ablation procedure, ensuring voluntary participation and confidentiality of patient data.
Percutaneous midventricular ablation technique
The procedure was performed under conscious sedation and local anesthesia. As mentioned in our previous study,11 femoral artery access was achieved using two 6-French sheaths—one for the guiding catheter to deliver the ablative agent and another for continuous monitoring of the midventricular gradient throughout the procedure. Femoral venous access was also obtained to place a temporary pacemaker in the right ventricular apex, ensuring readiness to manage potential advanced atrioventricular (AV) blocks during the procedure. A pigtail catheter was positioned in the left ventricle to establish baseline midventricular pressure gradients. Following this, the Brockenbrough-Braunwald-Morrow sign was evaluated, characterized by a post-extrasystolic increase in gradient, confirming dynamic obstruction at the midventricular level13 (Figure 4A).
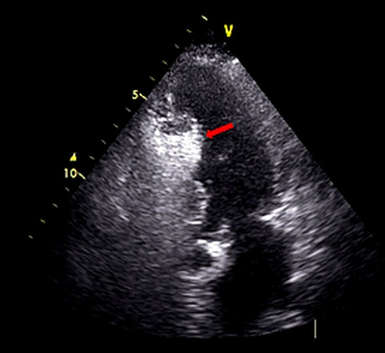
Coronary angiography was performed to identify an appropriate septal branch supplying the midventricular myocardium, typically visualized in right anterior oblique projections (Figure 5A). A 0.014-inch guidewire was advanced into the chosen septal artery, and an over-the-wire balloon catheter was positioned to ensure vessel occlusion without contrast leakage. A contrast agent was initially injected selectively under fluoroscopy to confirm the target vessel, observe the absence of contrast leakage, and verify its supply to the hypertrophied myocardium. Once the target vessel was confirmed, polidocanol was injected into the balloon-occluded artery to achieve controlled ablation (Figure 5B). The final angiographic image confirmed the successful occlusion of the septal artery while preserving normal blood flow in the left anterior descending artery (Figure 5C). TTE revealed septal brightening at the target site during this process, confirming accurate delivery to the intended region (Figure 6). Polidocanol was infused through the balloon catheter in incremental doses, with its foam-like structure enabling focused ablation across the hypertrophied midventricular myocardium. Doses ranged from 2 to 7 mL depending on vessel size, hemodynamic responses, and real-time electrocardiographic changes, such as QRS widening. The procedure was deemed successful if a reduction of 50% or more in the midventricular pressure gradient was achieved immediately post-ablation, as verified by hemodynamic and echocardiographic measurements. Additionally, the resolution of the Brockenbrough-Braunwald-Morrow sign (Figure 4B), which served as an important marker to guide the effectiveness of the ablation procedure, along with the absence of significant complications, such as high-degree AV block or sustained ventricular arrhythmias, were key indicators of procedural success and safety.
Post-procedural care and monitoring
Following the procedure, all patients were transferred to the coronary intensive care unit for close monitoring for at least 24 hours. Electrocardiograms (ECG) and TTE were performed immediately after the procedure to identify any conduction blocks, pericardial effusion, or other complications. A temporary pacemaker was removed 24 hours later if no advanced AV block was detected. Cardiac biomarkers, including creatine kinase-myocardial band and troponin T, were measured every 6 hours until peak levels were documented, and brain natriuretic peptide (BNP) levels were also assessed after the procedure and during follow-up.
After a total observation period of 48 to 72 hours, patients were discharged if no complications occurred. If high-degree AV block persisted for more than 24 hours, or if the estimated 5-year sudden cardiac death risk was intermediate (4% to 6%) or high (> 6%) according to European Society of Cardiology guidelines,14 implantable cardioverter-defibrillator (ICD) implantation was considered. Patients received clinical assessments, 12-lead ECGs, detailed TTEs, and 24-hour Holter monitoring during follow-up visits. Functional improvement was defined as a reduction of at least 1 class in the NYHA classification during follow-up. All cardiovascular adverse events, including ventricular arrhythmias and all-cause mortality, were recorded during follow-up.
Statistical analysis
Continuous variables were expressed as mean ± SD or median with IQR depending on the distribution. Categorical variables were presented as frequencies and percentages. Comparisons between baseline and follow-up measurements were conducted using paired t-tests for normally distributed data and Wilcoxon signed-rank tests for non-normally distributed data. A 2-sided P-value of less than 0.05 was considered statistically significant.
Results
The mean age was 42.82 ± 11.49 years, and 36.3% of the participants were female. The mean interventricular septum thickness was 22.73 ± 3.9 mm. The baseline median midventricular gradient was recorded at 38 mm Hg at rest and 75 mm Hg during the Valsalva maneuver. Detailed baseline characteristics and periprocedural echocardiographic measurements are presented in Tables 1 and 2, respectively.
The procedural success, defined as a reduction of 50% or more in midventricular gradient, was achieved in all patients. A median volume of 5 mL of polidocanol (IQR: 4-7 mL) was administered, with a mean procedure time of 31.1 ± 1.51 minutes and a mean fluoroscopy time of 189.63 ± 6.13 seconds. Importantly, there was no leakage of polidocanol into the left anterior descending artery, and patients experienced a median hospital stay of 3 days (IQR: 3-4). Procedural characteristics are summarized in Table 3.
Post-procedural mild pericardial effusion occurred in 1 (9.1%) patient, and anginal chest pain, which was relieved with beta-blocker treatment, was reported in 3 (27.3%) patients. Non-sustained ventricular tachycardia (NSVT) without hemodynamic compromise was observed in 1 (9.1%) patient. Immediate peri-procedural conduction abnormalities were observed in 6 (54.5%) patients, all of whom presented with complete AV block. In 3 of the 6 patients, the conduction abnormality improved within a few hours. For the remaining 3 (27.3%) cases, the complete AV block persisted beyond 24 hours, and these patients were also identified to have a high risk of sudden cardiac death according to the guidelines (> 6%). As a result, a dual-chamber ICD was implanted the day following the septal ablation. Additionally, 2 patients experienced improvement in conduction abnormalities during their index hospitalization within 48 to 72 hours post-ICD implantation, while only 1 patient continued to have persistent AV block that required permanent pacing. Therefore, the rate of permanent AV block was 9% (1 out of 11 patients), which is consistent with or lower than rates reported in previous alcohol septal ablation studies.15,16 No periprocedural mortality was recorded.
Significant and persistent reductions in midventricular gradients were observed during a median follow-up period of 14 months (IQR: 10-40 months). Midventricular gradients decreased from 38 mm Hg to 20 mm Hg (P = .004) at rest and 75 mm Hg to 35 mm Hg (P = .005) during the Valsalva maneuver. The thickness of the interventricular septum also showed a significant decrease from 22.73 ± 3.9 mm to 20.09 ± 3.7 mm (P = .022). The NYHA functional class improved from II–III to I–II (P = .003), reflecting enhanced patient outcomes. No ventricular arrhythmia or mortality was recorded throughout the follow-up period.
Discussion
This preliminary cohort study presents polidocanol as a novel agent for septal ablation in the treatment of MVOHCM, demonstrating significant reductions in midventricular gradients and improvement in clinical symptoms while maintaining a favorable safety profile, including the absence of polidocanol leakage.
Building on advancements in septal ablation, the findings of this study align with emerging literature that highlights the need for safe and more effective alternatives to ASA.17 ASA induces myocardial injury through a chemical necrotizing effect. Necrotic tissue lacks leukocytic infiltration and phagocytosis, preventing it from transforming into granulation tissue. ASA results in patchy necrosis and scar tissue formation in the interventricular septum, with unpredictable size and inhomogeneous borders.18 As a result, this increases the risk of damage to the neighboring conduction system and adjacent tissues. Furthermore, alcohol leakage was historically a concern with ASA. However, contemporary techniques utilizing meticulous balloon sizing, guidewire support, and myocardial contrast echocardiography have significantly minimized this risk. Although ASA has been widely used, its association with inhomogeneous scar tissue formation, arrhythmias, and conduction abnormalities has led to the exploration of novel agents such as polidocanol. Previous reports have demonstrated similar outcomes with polidocanol regarding pressure gradient reduction, symptomatological improvement, and additional safety benefits (including the absence of polidocanol leakage), particularly for patients with complex vascular anatomy.11 Polidocanol’s MVO treatment outcomes resemble those obtained with both ASA and transaortic extended myectomy, which have been demonstrated to significantly reduce midventricular gradients and improve symptoms.7 However, unlike ASA, polidocanol offers a safer complication profile by eliminating the risk of a higher amount of alcohol diffusion. Compared to myectomy, its minimally invasive nature makes it a less burdensome option for high-risk patients. Multicenter trials are essential to further explore the standardization of outcomes and validate its use in broader clinical settings.
In 1 case report, ASA effectively relieved MVO, resulting in a significant reduction in gradient and improvement in symptoms.19 Similarly, another case study demonstrated the effectiveness of echo-guided percutaneous transluminal septal myocardial ablation using alcohol in a 52-year-old patient with HCM and MVO. The procedure resulted in significant reductions in systolic and diastolic gradients and symptomatic improvement, with no complications reported at the 3-month follow-up.20 While alcohol has been effectively used in this case, concerns about its diffusion and associated complications, such as arrhythmias and conduction abnormalities, have limited its broader application. These challenges underscore the need for safer alternatives like polidocanol, which allows for controlled delivery and reduces the risk of off-target effects. Polidocanol ablation, with its minimally invasive nature and straightforward procedure, presents a practical and safer option, especially for patients who are not ideal candidates for surgical myectomy.
Another critical aspect of polidocanol is its procedural versatility. Unlike ASA, which requires precise localization to avoid myocardial damage, the foam properties of polidocanol allow for uniform distribution, making it especially useful in anatomically challenging cases. This advantage not only simplifies the procedure but also expands its applicability to centers with varying levels of capability expertise.
In addition to the procedural benefits of polidocanol, this study offers new insights into its potential role in tackling the unmet challenges of MVO. Although the absolute reduction in midventricular wall thickness (MWT) was modest (2 mm), this is an expected finding in midventricular obstruction ablation,11,17 where the primary goal is not extensive myocardial infarction but rather targeted relief of obstruction. Unlike ASA, which often results in a more diffuse inhomogeneous infarct, polidocanol ablation enables a controlled infarction, preserving myocardial function while effectively reducing gradients and improving symptoms.
Specifically, the lack of apical aneurysm formation and the resolution of conduction abnormalities in our cohort emphasizes the procedural safety of polidocanol compared with traditional ASA techniques. While periprocedural immediate conduction disturbances were observed in 54.5% of patients, only 1 (9%) patient required permanent pacing at follow-up. This rate is comparable to or even lower than the permanent pacemaker implantation rates reported in previous ASA studies, which range from 10% to 15%.15,16 Importantly, ICD implantation was performed in 3 patients because of high sudden cardiac death (SCD) risk (> 6%) rather than as a direct consequence of the periprocedural conduction abnormality. The durability of outcomes with polidocanol is another noteworthy aspect. Follow-up data demonstrated sustained reductions in gradient and symptomatic improvement, consistent with prior studies exploring alternative agents for septal reduction.6 These findings are particularly relevant for high-risk patients, whose risk-benefit ratio must be carefully weighed. Another important consideration is the procedural safety and efficacy of polidocanol compared with traditional alcohol-based septal ablation. In our study, no cases of polidocanol leakage were observed, and the absence of ventricular arrhythmias and significant conduction abnormalities further emphasizes its safety profile. This finding is consistent with prior research indicating that the foam-like consistency of polidocanol allows for precise delivery and reduces the risk of unintended myocardial necrosis regions.6,13
Furthermore, our findings highlight the essential role of gradient reduction in achieving long-term symptom relief and preventing complications like apical aneurysm formation. Recent studies have also pointed out comparable long-term benefits of using alternative ablation agents in HCM, especially for patients with complex anatomical configurations.7 The findings of this study also highlight the necessity for further research to fully establish polidocanol's role in managing MVO. While this study demonstrates promising procedural safety and efficacy results, unanswered questions remain about its long-term outcomes and comparative performance against other emerging agents, such as n-butyl cyanoacrylate and ethylene-vinyl alcohol copolymer.7,21 These agents, such as polidocanol, have demonstrated potential in reducing procedural complications and enhancing patient outcomes in similar contexts; however, randomized controlled trials are necessary to draw definitive conclusions.
While the follow-up period of 14 months provides valuable medium-term data, extended follow-up studies are critical to assess the durability of symptomatic improvement and gradient reduction. Polidocanol’s long-term effects on arrhythmia prevalence, apical aneurysm development, and overall survival continue to be unexplored areas that merit attention and investigation.22 Multicenter studies involving diverse patient populations are crucial for validating these findings and addressing potential variability in outcomes based on anatomy and procedural differences.
Impact on daily practice
Given its significant clinical and hemodynamic implications, MVO represents a challenging subtype of hypertrophic cardiomyopathy. Polidocanol ablation may present a novel and potentially safer alternative to conventional methods, utilizing its foam-like consistency and anesthetic properties for precise septal ablation. As the first reported use of polidocanol in MVOHCM, further investigation in larger cohorts is necessary to confirm its long-term safety and efficacy. Early observations indicate that targeted myocardial reduction may help reduce complications—such as arrhythmias and conduction blocks—while maintaining overall cardiac function. If confirmed, polidocanol ablation could broaden the therapeutic options for MVOHCM, enabling more personalized treatment strategies and potentially enhancing patient outcomes in regular clinical practice.
Limitations
This study has several limitations that should be considered. First, the relatively small sample size may limit the generalizability of the findings to the broader population of MVO patients. Second, the study's observational nature prevents direct comparisons with other ablation techniques or surgical myectomy, which would be valuable for assessing relative efficacy and safety. Third, the follow-up period was limited to 14 months, which, while adequate for medium-term outcomes, does not provide insights into long-term durability or late complications, including arrhythmia risk, apical aneurysm development, or overall survival. Additionally, an important consideration is that prior polidocanol ablation may limit the feasibility of future alcohol-based septal reduction therapies. This factor should be carefully evaluated when selecting patients for this procedure. Finally, as a single-center study, potential selection and procedural biases could have influenced the results. Future multicenter, randomized controlled trials with larger cohorts and longer follow-up durations are necessary to address these limitations and further explore polidocanol ablation’s long-term safety and efficacy.
Conclusions
This study marks the first documented use of polidocanol for septal ablation in patients with MVOHCM. This represents a significant contribution as it investigates a novel therapeutic option to address the specific anatomical and clinical challenges MVO poses. Polidocanol represents a safe and effective alternative for septal ablation in MVO, providing significant reductions in gradients and symptomatic improvement while minimizing procedural risks. The procedural simplicity of polidocanol ablation may promote its adoption in centers with varying levels of expertise, thereby broadening access to effective MVO management. However, further research is essential to confirm these findings and to establish its role in routine clinical practice. Addressing these gaps in evidence will be crucial for developing standardized protocols and expanding their use in broader clinical settings. Multicenter collaborations will be critical in addressing these limitations and establishing polidocanol as a valuable option in managing MVO.
Affiliations and Disclosures
Ahmet Hakan Ates, MD; Ahmet Kivrak, MD; Ugur Canpolat, MD; Can Menemencioglu, MD; Mert Dogan, MD; Cem Coteli, MD; Mehmet Levent Sahiner, MD; Ergun Barıs Kaya, MD; Necla Ozer, MD; Kudret Aytemir, MD
From the Department of Cardiology, Hacettepe University Faculty of Medicine, Ankara, Turkey.
Disclosures: The authors report no financial relationships or conflicts of interest regarding the content herein.
Address for correspondence: Ahmet Kivrak, MD, Hacettepe University Faculty of Medicine, Department of Cardiology, 06230, Sıhhiye, Ankara, Turkey. Email: a.kivrak89@gmail.com
References
1. Minami Y, Kajimoto K, Terajima Y, et al. Clinical implications of midventricular obstruction in patients with hypertrophic cardiomyopathy. J Am Coll Cardiol. 2011;57(23):2346-2355. doi:10.1016/j.jacc.2011.02.033
2. Singam NSV, Stoddard MF. The evolution of apical hypertrophic cardiomyopathy: development of mid-ventricular obstruction and apical aneurysm 11 years after initial diagnosis. Echocardiography. 2019;36(5):987-991. doi:10.1111/echo.14310
3. Surawicz B, Macfarlane PW. Inappropriate and confusing electrocardiographic terms: J-wave syndromes and early repolarization. J Am Coll Cardiol. 2011;57(15):1584-1586. doi:10.1016/j.jacc.2010.11.040
4. Zhang X, Liu X. Ventricular tachycardia and heart failure in a patient of mid-ventricular obstructive hypertrophic cardiomyopathy with apical aneurysm: a case report. Exp Ther Med. 2019;18(3):2238-2242. doi:10.3892/etm.2019.7796
5. Cai C, Duan F-J, Yang Y-J, et al. Comparison of the prevalence, clinical features, and long-term outcomes of midventricular hypertrophy vs apical phenotype in patients with hypertrophic cardiomyopathy. Can J Cardiol. 2014;30(4):441-447. doi:10.1016/j.cjca.2013.10.005
6. Tengiz I, Ercan E, Alioglu E, Turk UO. Percutaneous septal ablation for left mid-ventricular obstructive hypertrophic cardiomyopathy: a case report. BMC Cardiovasc Disord. 2006;6:15. doi:10.1186/1471-2261-6-15
7. Yang YJ, Fan CM, Yuan JQ, et al. Effectiveness of alcohol septal ablation versus transaortic extended myectomy in hypertrophic cardiomyopathy with midventricular obstruction. J Interv Cardiol. 2016;29(6):619-627. doi:10.1111/joic.12331
8. Ommen SR, Mital S, Burke MA, et al. 2020 AHA/ACC guideline for the diagnosis and treatment of patients with hypertrophic cardiomyopathy: a report of the American College of Cardiology/American Heart Association joint committee on clinical practice guidelines. J Am Coll Cardiol. 2020;76(25):e159-e240. doi:10.1016/j.jacc.2020.08.045
9. Elliott PM, Anastasakis A, Borger MA, et al; Grupa Robocza Europejskiego Towarzystwa Kardiologicznego (ESC) do spraw rozpoznawania i postepowania w kardiomiopatii przerostowej. 2014 ESC Guidelines on diagnosis and management of hypertrophic cardiomyopathy. Article in Polish. Kardiol Pol. 2014;72(11):1054-1126. doi:10.5603/KP.2014.0212
10. Kimmelstiel C, Zisa DC, Kuttab JS, et al. Guideline-based referral for septal reduction therapy in obstructive hypertrophic cardiomyopathy is associated with excellent clinical outcomes. Circ Cardiovasc Interv. 2019;12(7):e007673. doi:10.1161/CIRCINTERVENTIONS.118.007673
11. Ateş AH, Şener YZ, Şahiner ML, Kaya EB, Aytemir K. Single center experience of percutaneous septal ablation in patients with hypertrophic cardiomyopathy with a novel agent: polidocanol. Am J Cardiol. 2023;190:1-7. doi:10.1016/j.amjcard.2022.11.022
12. Brandão M, Marchi A, Olivotto I. Mid-ventricular obstruction in hypertrophic cardiomyopathy: a signal void. Rev Esp Cardiol (Engl Ed). 2023;76(9):749. doi:10.1016/j.rec.2022.12.009
13. Mabalukwa J, Nguyen D, Briki R, Audiat C, Unger P. Brockenbrough-Braunwald-Morrow sign and Valsalva manoeuvre: how to unmask dynamic left ventricular outflow tract obstruction. Eur Heart J Cardiovasc Imaging. 2022;23(4):e169. doi:10.1093/ehjci/jeac008
14. O'Mahony C, Jichi F, Pavlou M, et al; Hypertrophic Cardiomyopathy Outcomes Investigators. A novel clinical risk prediction model for sudden cardiac death in hypertrophic cardiomyopathy (HCM risk-SCD). Eur Heart J. 2014;35(30):2010-2020. doi:10.1093/eurheartj/eht439
15. Fitzgerald P, Kusumoto F. The effects of septal myectomy and alcohol septal ablation for hypertrophic cardiomyopathy on the cardiac conduction system. J Interv Card Electrophysiol. 2018;52(3):403-408. doi:10.1007/s10840-018-0433-0
16. Gill R, Siddiqui A, Yee B, DiCaro MV, Houshmand N, Tak T. Advancements in the diagnosis and treatment of hypertrophic cardiomyopathy: a comprehensive review. J Cardiovasc Dev Dis. 2024;11(9):290. doi:10.3390/jcdd11090290
17. Cecchi F, Olivotto I, Nistri S, Antoniucci D, Yacoub MH. Midventricular obstruction and clinical decision-making in obstructive hypertrophic cardiomyopathy. Herz. 2006;31(9):871-876. doi:10.1007/s00059-006-2928-1
18. Raute-Kreinsen U. Morphology of necrosis and repair after transcoronary ethanol ablation of septal hypertrophy. Pathol Res Pract. 2003;199(3):121-127. doi:10.1078/0344-0338-00364
19. Tengiz I, Ercan E, Türk UO. Percutaneous myocardial ablation for left mid-ventricular obstructive hypertrophic cardiomyopathy. Int J Cardiovasc Imaging. 2006;22(1):13-18. doi:10.1007/s10554-005-5295-8
20. Seggewiss H, Faber L. Percutaneous septal ablation for hypertrophic cardiomyopathy and mid-ventricular obstruction. Eur J Echocardiogr. 2000;1(4):277-280. doi:10.1053/euje.2000.0032
21. Sigwart U. Alcohol ablation for mid-ventricular obstruction: straying from the path of righteousness? Eur J Echocardiogr. 2000;1(4):227-228. doi:10.1053/euje.2000.0047
22. Liebregts M, Vriesendorp PA, Ten Berg JM. Alcohol septal ablation for obstructive hypertrophic cardiomyopathy: a word of endorsement. J Am Coll Cardiol. 2017;70(4):481-488. doi:10.1016/j.jacc.2017.02.080


