Challenging Case of Hybrid Transcatheter Pulmonary Baffle Stent Implantation
Keywords: pulmonary baffle stenosis, transcatheter stent implantation
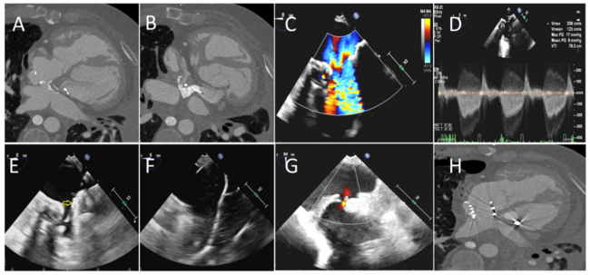
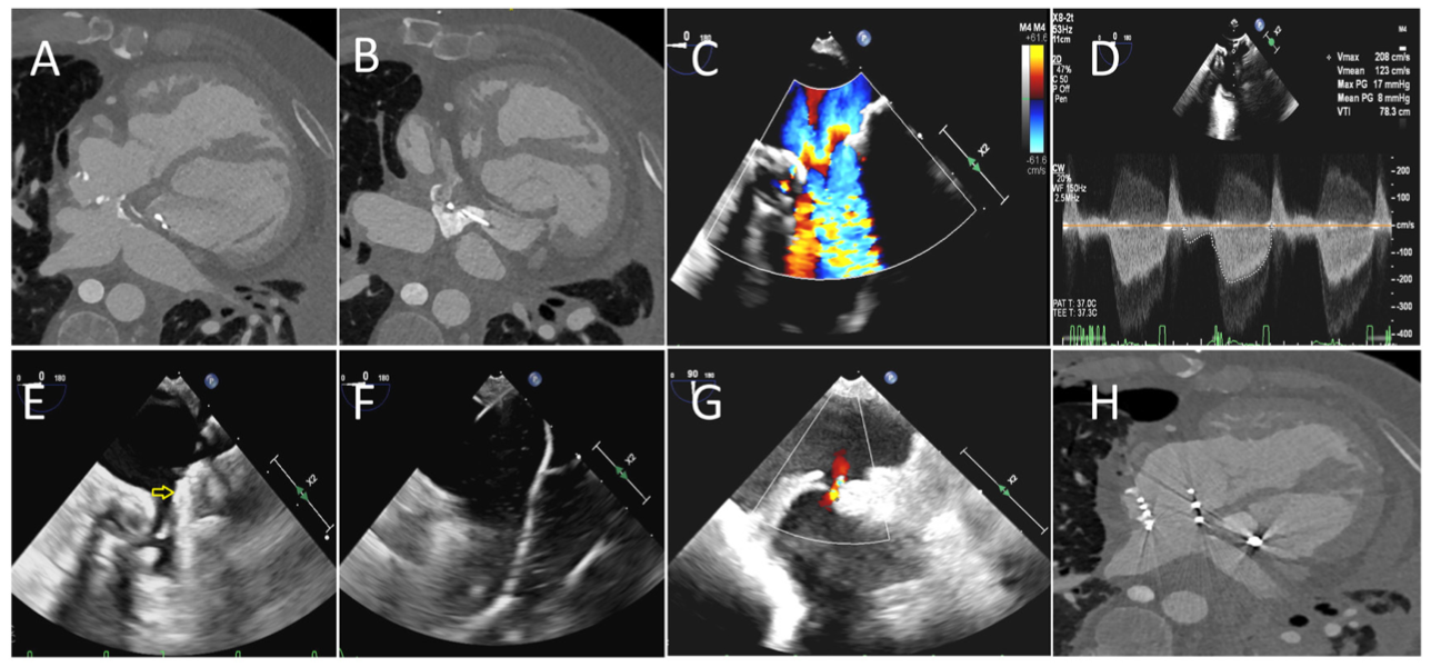
A 44-year-old man with history of D-transposition of the great arteries status post Mustard repair with pulmonary baffle obstruction was referred for further management. Cardiac computed tomography (CT) demonstrated calcific stenosis of the pulmonary venous baffle (PVB) outflow measuring 7.5 mm and systemic baffle stenosis measuring 7.4 mm (Figures 1A and 1B). Right heart catheterization demonstrated elevated superior vena cava (SVC) (15 mm Hg), mean pulmonary artery (54 mm Hg), and pulmonary capillary wedge (38 mm Hg) pressures. Angiogram of the SVC redemonstrated the SVC baffle stenosis and balloon angioplasty was performed with significant relief of stenosis.
A staged hybrid intervention of the PVB stenosis was performed (Video Series). Transesophageal echocardiogram (TEE) demonstrated PVB stenosis with a mean gradient of 8 mm Hg (Figures 1C and 1D). A right anterior mini-thoracotomy was performed to expose the right atrium. Under TEE guidance, right atrial puncture was performed and a 9-Fr sheath was inserted. Then a 0.35-mm Amplatz extra-stiff guidewire was advanced into the left pulmonary vein and the sheath was exchanged for a 16-Fr DrySeal sheath. Due to difficulty in obtaining an “en face” view on fluoroscopy, TEE was utilized to confirm appropriate stent position (Figure 1E). A 28-mm-long covered CP stent was mounted on a 16-mm Z-Med balloon (B. Braun Medical) and deployed under TEE guidance. The stent was sequentially postdilated with 18-mm and 22-mm noncompliant balloons under high pressure (Figure 1F). TEE demonstrated good expansion of the stent with residual mean gradient of 2 mm Hg. A 2-mm posterior left atrial wall perforation was noted on TEE, which led to small loculated hemopericardium limited to oblique sinus, which was confirmed on cardiac CT (Figures 1G and 1H). Repeat TEE showed thrombosed postprocedural effusion with no residual communication. The patient was discharged home with significant improvement in his exertional capacity. This case demonstrates the challenges and potential complications of hybrid PVB stenting in a patient with challenging anatomy.
Affiliations and Disclosures
From the 1Department of Cardiovascular Diseases, Mayo Clinic, Rochester, Minnesota; 2Department of Cardiovascular Surgery, Mayo Clinic, Rochester, Minnesota; 3Department of Pediatric Cardiology, Mayo Clinic, Rochester, Minnesota.
Disclosure: The authors have completed and returned the ICMJE Form for Disclosure of Potential Conflicts of Interest. The authors report no conflicts of interest regarding the content herein.
The authors report that patient consent was provided for publication of the images used herein.
Manuscript accepted March 17, 2022.
Address for correspondence: Pradyumna Agasthi, MD, 200 1st St SW, Rochester, Minnesota, 55905. Email: pradyumna_agasthi@hotmail.com


