Huge Cavity Spilling Coronary Perforation Management: When the Basic Works Well
Marcos Danillo P. Oliveira, MD1,2; Ednelson Cunha Navarro, MD2; Adriano Caixeta, MD, PhD1
Key words: angiography, cardiac imaging, coronary artery perforation, distal transradial intervention
Coronary artery perforation (CAP) is a rare but threatening complication of percutaneous coronary intervention (PCI), with high rates of morbidity and mortality. According to Ellis’s original classification, the few class III (brisk extravasation, orifice ≥1 mm) CAPs with contrast drainage directly into an anatomic cavity chamber did not have catastrophic consequences, and the term “cavity spilling CAP” (also called type IV) was coined.
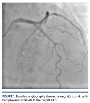
A short, 81-year-old woman presented with non-ST elevation acute myocardial infarction complicated with acute pulmonary edema. She was referred to urgent coronary angiography, performed via right distal transradial access, which is our default approach. The culprit left anterior descending (LAD) coronary artery was shown to have a long, tight, and calcified proximal-mid stenosis (Figure 1; Video 1), which was fixed by PCI with two drug-eluting stents (3 x 33 mm and 3.5 x 33 mm), requiring adequate pre- and postdilations with non-compliant balloons (2.5 x 20 mm and 3.5 x 20 mm, respectively). Surprisingly, the final angiogram showed an unexpected huge cavity spilling in-stent mid LAD perforation, with drainage to the left ventricle (Figure 2; Video 2). Promptly, the same postdilation NC 3.5 x 20 mm balloon was reinflated to 8 atm at the level of the CAP. After 10 minutes, there was some resolution. After a total 20 minutes of persistent balloon inflation without anticoagulation reversal, a final angiogram confirmed the CAP had been completely sealed without any residual contrast extravasation (Figure 3; Video 3). Transthoracic echocardiogram discharged pericardial effusion.
Type III cavity-spilling CAP (also called type IV CAP) is an unusual but dreaded complication, which can be conservatively managed with simple prolonged balloon inflation without compromising the final PCI result by anticoagulation reversal.
View the Supplemental Video Series Here
From the ¹Department of Interventional Cardiology, Hospital São Paulo, Escola Paulista de Medicina, Universidade Federal de São Paulo, São Paulo, Brazil; and the ²Department of Interventional Cardiology, Hospital Regional do Vale do Paraíba, Taubaté, Brazil.
Disclosure: The authors have completed and returned the ICMJE Form for Disclosure of Potential Conflicts of Interest. The authors report no conflicts of interest regarding the content herein.
The authors report that patient consent was provided for publication of the images used herein.
Manuscript accepted February 5, 2020.
Address for correspondence: Marcos Danillo Peixoto Oliveira, MD, Napoleão de Barros street, nº 715 - Vila Clementino, Sao Paulo-SP, Brazil, 04024-002. Email: mdmarcosdanillo@gmail.com


