Skip to main content

Volume 30 - Issue 8 - August 2022

Calcium Corner
08/01/2022
Suzanne J. Baron, MD, MSc, FSCAI
Since we know that inadequate lesion preparation may lead to higher rates of in-stent restenosis and stent thrombosis, it follows that intravascular lithotripsy (IVL) could help lower suboptimal PCI rates in both men and women.
Since we know that inadequate lesion preparation may lead to higher rates of in-stent restenosis and stent thrombosis, it follows that intravascular lithotripsy (IVL) could help lower suboptimal PCI rates in both men and women.
Since we know that inadequate...
08/01/2022
Cath Lab Digest
Case Report
08/01/2022
Prospero B. Gogo, Jr., MD, FACC, FSCAI
In this case, the author demonstrates the use of a low entry profile 1.5 mm PTCA balloon catheter (Takeru PTCA Balloon Dilation Catheter, Terumo Interventional Systems), used when two other low-profile microcatheters were unable to cross,...
In this case, the author demonstrates the use of a low entry profile 1.5 mm PTCA balloon catheter (Takeru PTCA Balloon Dilation Catheter, Terumo Interventional Systems), used when two other low-profile microcatheters were unable to cross,...
In this case, the author...
08/01/2022
Cath Lab Digest
Imaging in PVD
08/01/2022
Eric A. Secemsky, MD, MSc, RPVI, FACC, FAHA, FSCAI
Intravascular ultrasound (IVUS) is an imaging device that provides a 3-dimensional view of what we normally see as a 2-dimensional vascular structure. The device goes over a wire into the vessel, and allows us to see the characteristics...
Intravascular ultrasound (IVUS) is an imaging device that provides a 3-dimensional view of what we normally see as a 2-dimensional vascular structure. The device goes over a wire into the vessel, and allows us to see the characteristics...
Intravascular ultrasound (IVUS)...
08/01/2022
Cath Lab Digest
Clinical Editor's Corner
08/01/2022
Morton J. Kern, MD, MSCAI, FACC, FAHA
Every July, we welcome our new cardiovascular trainees (aka, fellows). The fellows on the cath rotation become the newest additions to our cath lab team, most with no prior experience in this area. For many years, I have had the honor (and...
Every July, we welcome our new cardiovascular trainees (aka, fellows). The fellows on the cath rotation become the newest additions to our cath lab team, most with no prior experience in this area. For many years, I have had the honor (and...
Every July, we welcome our new...
08/01/2022
Cath Lab Digest
Original Research
08/01/2022
Eric A. Secemsky, MD, MSc, RPVI, FACC, FAHA, FSCAI; Ehrin J. Armstrong, MD, MSc, FACC; Stefanos Giannopoulos, MD
Peripheral artery disease (PAD) of the lower extremities is frequently due to atherosclerotic lesions of the femoropopliteal artery, which may result in disabling claudication and rest pain with or without tissue loss. More than 50% of the...
Peripheral artery disease (PAD) of the lower extremities is frequently due to atherosclerotic lesions of the femoropopliteal artery, which may result in disabling claudication and rest pain with or without tissue loss. More than 50% of the...
Peripheral artery disease (PAD)...
08/01/2022
Cath Lab Digest
Clinical Imaging
08/01/2022
Pradnya Brijmohan Bhattad, MD; Luigi Pacifico, DO; Neeta M. Shah, MD
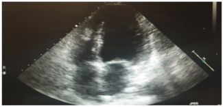
This is a 58-year-old female with a history of tuberous sclerosis. Transthoracic echocardiogram images demonstrated a heterogeneous mass in the mid right ventricle attached to the septum and the moderator band. The mass looked similar to what...
This is a 58-year-old female with a history of tuberous sclerosis. Transthoracic echocardiogram images demonstrated a heterogeneous mass in the mid right ventricle attached to the septum and the moderator band. The mass looked similar to what...
This is a 58-year-old female...
08/01/2022
Cath Lab Digest
New Technique
08/01/2022
Bilaval Javed, MD; Muhammad Ajmal, MD; Tom A. Lassar, MD
We report our experience with the simultaneous measurement of aortic and LV pressures with the use of a Twin-Pass microcatheter (Teleflex), a standard .014-inch angioplasty workhorse wire, and standard 5 or 6 Fr interventional guiding...
We report our experience with the simultaneous measurement of aortic and LV pressures with the use of a Twin-Pass microcatheter (Teleflex), a standard .014-inch angioplasty workhorse wire, and standard 5 or 6 Fr interventional guiding...
We report our experience with...
08/01/2022
Cath Lab Digest