Cardiac Rhabdomyoma in Tuberous Sclerosis Complex: An Echocardiographic Study
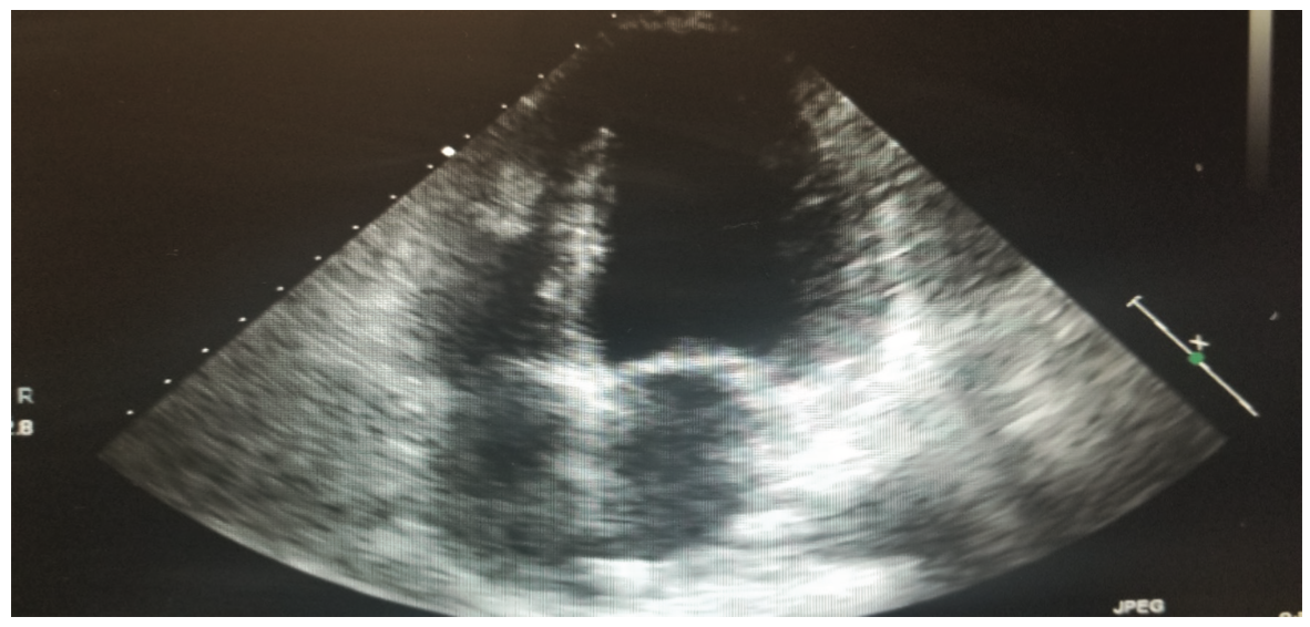
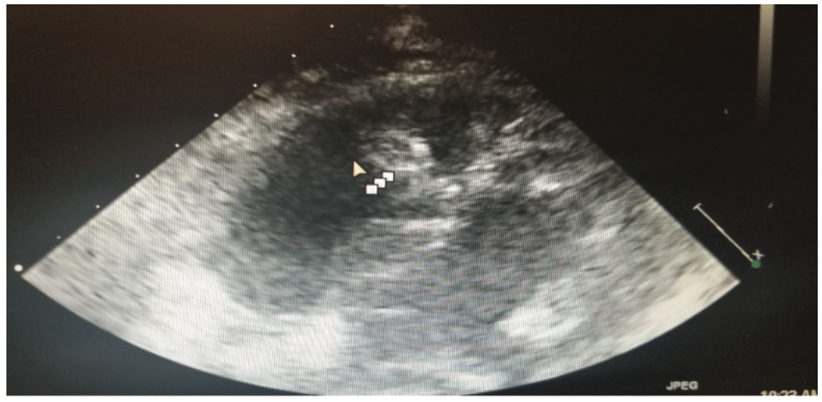
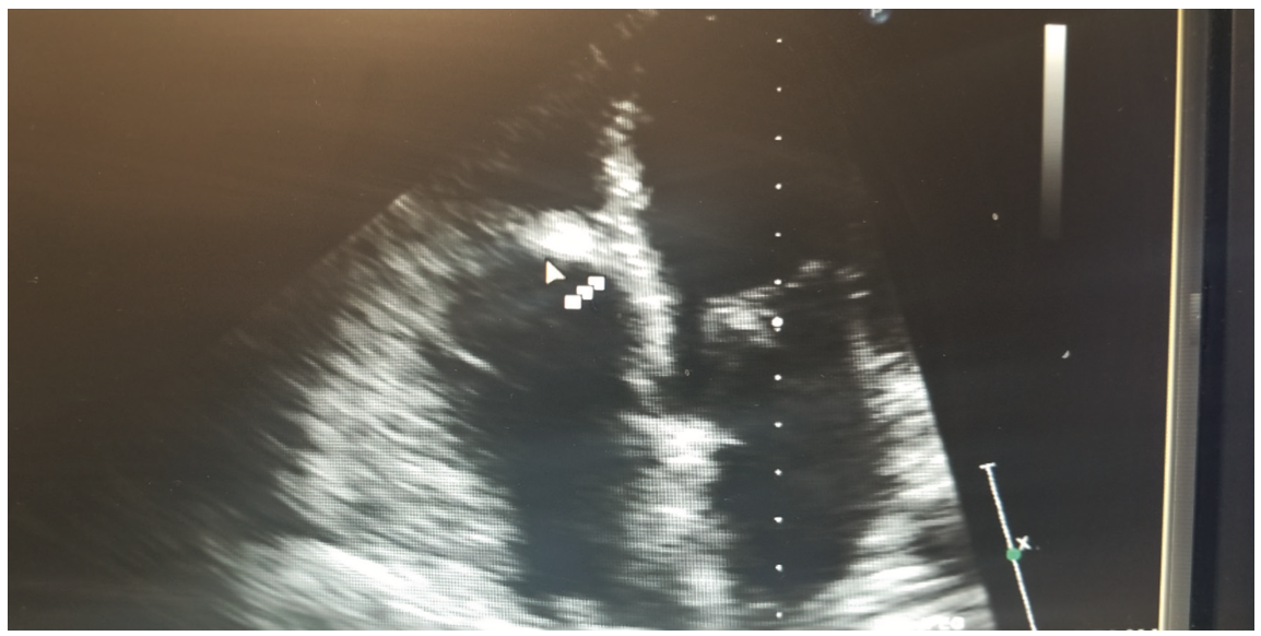
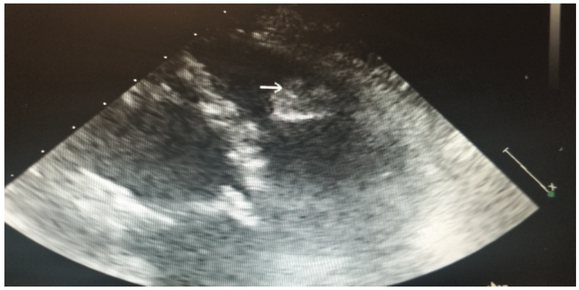
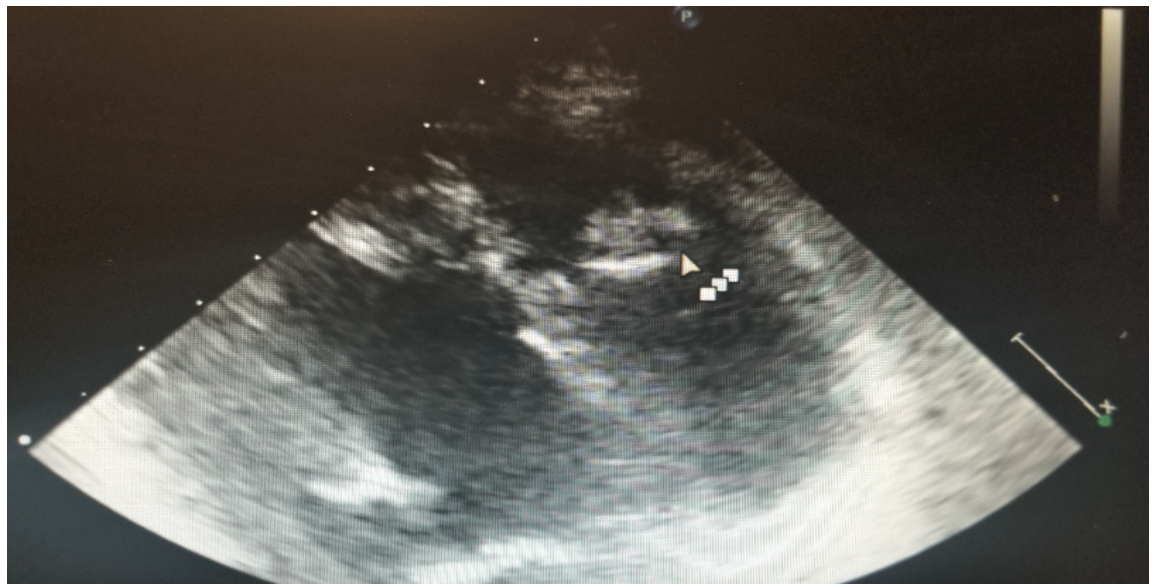
This is a 58-year-old female with a history of tuberous sclerosis. Transthoracic echocardiogram images demonstrated a heterogeneous mass in the mid right ventricle attached to the septum and the moderator band (Figures 1-6). The mass looked similar to what was seen on a transthoracic echocardiogram from a year prior.
The patient had a history of tuberous sclerosis with a solitary left kidney and known renal angiomyolipoma. She had innumerable angiomyolipomas in her left kidney without any normal renal parenchyma. She had undergone right nephrectomy for renal hemorrhage several years ago. She had no known previous history of cardiac disease and no symptoms attributed to the cardiac tumor noted on the echocardiogram. There were no features suggesting the cardiac mass was causing any obstructive pathology.
One of the major differentials for this mass was thought to be cardiac rhabdomyoma, given the patient’s history of tuberous sclerosis with known renal angiomyolipomas. Cardiac rhabdomyomas are usually associated with tuberous sclerosis complex, which is a genetic disorder characterized by hamartomas in multiple organs. Rhabdomyomas may develop at any location in the heart, but the most common locations are ventricular and septal walls.
A conservative management approach was pursued for our patient. She had a solitary kidney that was completely replaced by innumerable angiomyolipomas, exposing her to further multimodal investigations to further characterize the cardiac mass would compromise her renal function, and she was completely asymptomatic from the tumor without any obstructive physiologic features.
Disclosures: The authors report no conflicts of interest regarding the content herein.
The authors can be contacted via Pradnya Brijmohan Bhattad, MD, at pradnyabhattad20@gmail.com


