Skip to main content

CLD-Volume 32-Number 3-2024

Featured Article

Coronary IVL
03/06/2024

Dr. Kalaivani Mahadevan, MD
 

Portsmouth Hospitals’ University NHS Trust, Portsmouth, United Kingdom

Dr. Kalaivani Mahadevan, MD   P...
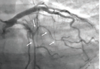
A knowledge of small profile and chronic total occlusion balloons, use of guide extension catheters, and not assuming upfront that we had to rotablate were all important to the successful use of IVL in this case.
A knowledge of small profile and chronic total occlusion balloons, use of guide extension catheters, and not assuming upfront that we had to rotablate were all important to the successful use of IVL in this case.
A knowledge of small profile and...
03/06/2024
Cath Lab Digest
Coronary IVL: Case Commentary
03/05/2024

St George’s University Hospitals NHS Foundation Trust; The University of Manchester; London, United Kingdom

St George’s University Hospitals NHS ...
When patients come into the cath lab very unwell, you don’t want to make things more complicated. You want to keep it as easy as possible.
When patients come into the cath lab very unwell, you don’t want to make things more complicated. You want to keep it as easy as possible.
When patients come into the cath...
03/05/2024
Cath Lab Digest
Clinical Editor's Corner
03/05/2024

Dr. Morton Kern with contributions from Drs. Steve Ramee, New Orleans, Louisiana; Jacqueline Saw, Vancouver, British Columbia; Jon Tobis, Los Angeles, California; Barry Uretsky, Little Rock, Arkansas.

Dr. Morton Kern with contributions fr...
Although some of the causes of myocardial infarction with no coronary artery obstruction (MINOCA) are often unknown, spontaneous coronary artery dissection (SCAD) in MINOCA should always be considered early on as one of the major etiologies...
Although some of the causes of myocardial infarction with no coronary artery obstruction (MINOCA) are often unknown, spontaneous coronary artery dissection (SCAD) in MINOCA should always be considered early on as one of the major etiologies...
Although some of the causes of...
03/05/2024
Cath Lab Digest
Transcatheter Aortic Valve Replacement
03/04/2024

Richard Casazza, MAS1; Joshua Fogel, PhD2; Jacob Shani, MD1

1Department of Cardiology, Maimonides Medical Center, Brooklyn, New York; 2Department of Management, Marketing, and Entrepreneurship, Brooklyn College, Brooklyn, New York

 

Richard Casazza, MAS1; Joshua Fogel, ...
In this study of 136 patients at a single center, the authors determined smaller aortic valve areas (AVAs) in patients with aortic stenosis are significantly associated with increased time to cross the aortic valve.
In this study of 136 patients at a single center, the authors determined smaller aortic valve areas (AVAs) in patients with aortic stenosis are significantly associated with increased time to cross the aortic valve.
In this study of 136 patients at...
03/04/2024
Cath Lab Digest
LAA Closure
03/03/2024

Akhil Mogalapalli, MD; Sundeep Kumar, MD; Tabitha Lobo, MD; Joseph Reed, MD; Luis Augusto Palma Dallan, MD, PhD; Sung-Han Yoon, MD; Steven J. Filby, MD

 

Reprinted with permission from J INVASIVE CARDIOL 2023;35(1):E1-E6.

Akhil Mogalapalli, MD; Sundeep Kumar,...
In this study, the authors review their experience with the Watchman Legacy and Watchman FLX devices (Boston Scientific) and their complications at a large academic hospital in a cohort of 369 patients.
In this study, the authors review their experience with the Watchman Legacy and Watchman FLX devices (Boston Scientific) and their complications at a large academic hospital in a cohort of 369 patients.
In this study, the authors...
03/03/2024
Cath Lab Digest
Imaging Corner
03/03/2024

Images/courtesy Semmelweis University, Budapest, Hungary

Images/courtesy Semmelweis University...
In this case, a 5’6”, 180 lb male patient with coronary artery disease was scanned on a photon-counting CT scanner (the NAEOTOM Alpha, Siemens Healthineers) for follow-up care after stenting and evaluation for in-stent restenosis.
In this case, a 5’6”, 180 lb male patient with coronary artery disease was scanned on a photon-counting CT scanner (the NAEOTOM Alpha, Siemens Healthineers) for follow-up care after stenting and evaluation for in-stent restenosis.
In this case, a 5’6”, 180 lb...
03/03/2024
Cath Lab Digest
Case Report
03/01/2024

Steven Kernis, MD;  Kishore Harjai, MD;  Arthur Martella, MD

 

Reprinted with permission from J INVASIVE CARDIOL 2014;26(8):E117-E119.

Steven Kernis, MD;  Kishore Harj...
This case report illustrates the remarkable benefits that 1 patient received over a 40-year span from milestone achievements in cardiac surgery and interventional cardiology.
This case report illustrates the remarkable benefits that 1 patient received over a 40-year span from milestone achievements in cardiac surgery and interventional cardiology.
This case report illustrates the...
03/01/2024
Cath Lab Digest