Using Photon-Counting CT to Determine In-Stent Restenosis
© 2024 HMP Global. All Rights Reserved.
Any views and opinions expressed are those of the author(s) and/or participants and do not necessarily reflect the views, policy, or position of Cath Lab Digest or HMP Global, their employees, and affiliates.
reformat (CPR).
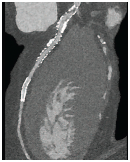
The high level of spatial resolution in a diagnostic cardiac computed tomography angiography (CCTA) scan conducted using photon-counting CT can help clinicians determine whether a patient with cardiac disease also requires an invasive coronary angiography procedure. In this case, a 5’6”, 180 lb male patient with coronary artery disease was scanned on a photon-counting CT scanner (the NAEOTOM Alpha, Siemens Healthineers) for follow-up care after stenting and evaluation for in-stent restenosis. The CT scan, which used a sequential Quantum HD Cardiac CCTA acquisition and was reconstructed in the Best Diastolic phase utilizing a 1024x1024 matrix, was performed at 140 kVp with an estimated patient radiation dose of 4 mSv. The scan revealed not only multiple areas of in-stent restenosis (Figures 1-2), but also soft and hard plaque in non-stented areas (Figures 1-3).
LAD.
multiple stents.
Find More:
Grand Rounds With Morton Kern, MD
The Latest Clinical & Industry News
Podcasts: Cath Lab Conversations
Cardiovascular Ambulatory Surgery Centers (ASCs) Topic Center
Go to Cath Lab Digest's current issue page


