Skip to main content

Volume 18 - Issue 8 - August 2021

Editor's Corner
08/19/2021
Craig M. Walker, MD, FACC, FACP, FSCAI, FCCP
Dr. Walker reviews an article by Adiraju and colleagues, who discuss preventing access site complications.
Dr. Walker reviews an article by Adiraju and colleagues, who discuss preventing access site complications.
Dr. Walker reviews an article by...
08/19/2021
Vascular Disease Management
Endovascular Technique
08/19/2021
Ramesh Adiraju, MD; Pejmahn Eftekharzadeh, DO; Khuzema Mohsin, MD
Guidewire-assisted controlled step-down technique allows for optimal hemostasis and dry field while maintaining continuous access to vascular lumen.
Guidewire-assisted controlled step-down technique allows for optimal hemostasis and dry field while maintaining continuous access to vascular lumen.
Guidewire-assisted controlled...
08/19/2021
Vascular Disease Management
Original Contribution
08/19/2021
Juan Pedro Sanchez Rios, PhD, DPM; Jesus Alfayate Garcia, MD; Sandra Vicente Jimenez, MD; Fernando Criado Galan, MD; Miguel Gutierrez Baz, MD; Luis De Benito Fernandez, MD
Dr. Sánchez Ríos et al present results of a 3-year study in a diabetic foot unit at their hospital in Madrid, after inclusion of a podiatrist to create a toe-flow model.
Dr. Sánchez Ríos et al present results of a 3-year study in a diabetic foot unit at their hospital in Madrid, after inclusion of a podiatrist to create a toe-flow model.
Dr. Sánchez Ríos et al present...
08/19/2021
Vascular Disease Management
Case Report
08/19/2021
Vinu Moses, MD, DNB, MBBS; Shyamkumar Nidugala Keshava, MBBS, DMRD, DNB, FRCR, FRANZCR; Kumar Muthukumar, MBBS, DMRD, FRCR, DNB, FNVIR; Aswin Padmanabhan, MBBS, MD
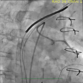
The balloon-sandwich technique as described is a well-suited method for retrieval of fractured delivery wire while using the triaxial system.
The balloon-sandwich technique as described is a well-suited method for retrieval of fractured delivery wire while using the triaxial system.
The balloon-sandwich technique...
08/19/2021
Vascular Disease Management
Case Report
08/19/2021
Bibhav Poudel, BS; Atharva Dhole, MD; Grace Pyon, BS; Maria Litzendorf, MD; Scott Brannan, MD; Nikhil Patel, MD
The authors present the case of a diabetic patient with a right plantar hallux ulceration, CTO of arteries supplying the right hallux on angiogram despite benign non-invasive testing, and the effects of revascularization in the region.
The authors present the case of a diabetic patient with a right plantar hallux ulceration, CTO of arteries supplying the right hallux on angiogram despite benign non-invasive testing, and the effects of revascularization in the region.
The authors present the case of...
08/19/2021
Vascular Disease Management
Interview
08/12/2021
Richard C. Kovach, MD
VDM talks with Richard C. Kovach, MD, Director, Cardiac Catheterization Laboratory; Division Director, Interventional Cardiology; Deborah Heart and Lung Center, Browns Mills, New Jersey.
VDM talks with Richard C. Kovach, MD, Director, Cardiac Catheterization Laboratory; Division Director, Interventional Cardiology; Deborah Heart and Lung Center, Browns Mills, New Jersey.
VDM talks with Richard C....
08/12/2021
Vascular Disease Management
OBL Corner
08/01/2021
Jeffrey G. Carr, MD, FACC, FSCAI
If CMS continues this trend of slashing our reimbursement rates, it will have a devastating impact on the well-documented improvement in clinical outcomes in revascularization performed in the outpatient setting.
If CMS continues this trend of slashing our reimbursement rates, it will have a devastating impact on the well-documented improvement in clinical outcomes in revascularization performed in the outpatient setting.
If CMS continues this trend of...
08/01/2021
Vascular Disease Management