Advantages of Using the ARTIS icono System for Cardiovascular and Peripheral Interventions at Deborah Heart and Lung Center*

Vascular Disease Management talks with Richard C. Kovach, MD, Director, Cardiac Catheterization Laboratory; Division Director, Interventional Cardiology; Deborah Heart and Lung Center, Browns Mills, New Jersey.
Can you tell us about your facility and practice?
Deborah Heart and Lung Center is essentially a single-specialty cardiovascular hospital. There is also a small pulmonary department. We are a very small hospital with just around 90 beds, mostly cardiac beds. We do about 3500 to 3800 procedures in the cath lab annually. We perform just about every type of cardiovascular procedure you would find at a major university center; just about the only thing we don’t do is heart transplant. Deborah Heart and Lung Center is currently the third-largest destination left ventricular assist device (LVAD) program in the country. I spend five days a week in the cath lab, and do coronary, peripheral, and structural heart disease procedures, including transcatheter aortic valve replacement (TAVR), MitraClip (Abbott Vascular), patent foramen ovale closure, and left atrial appendage closure (Watchman, Boston Scientific) procedures. We also do very complex coronary interventions with hemodynamic support using the Impella (Abiomed), as well as chronic total occlusions, and other very high-risk patients. Deborah Heart and Lung Center has the highest case complexity index in the state of New Jersey. For peripheral vascular disease, I do everything from carotids to endovascular repair of abdominal aortic aneurysms (AAAs). I treat patients with critical limb ischemia (CLI), and offer “exotic” access and cutting-edge therapies to help with limb salvage. The bottom line is that we have the potential to experience a lot of radiation exposure as a result of our work.
As you worked through your decision-making process to purchase a new imaging system, what was appealing about the ARTIS icono system (Siemens Healthineers)?
Several things. First, I was very impressed with the image quality. The other thing that was appealing, in addition to the quality of the imaging, was Siemens’ reputation, as well as the multiple features of the system (Table 1). At Deborah Hearth and Lung Center, we have four cath labs and a hybrid OR. We have all Siemens equipment, including the ARTIS Zeego, a robotic arm system, in our hybrid OR. We also have three electrophysiology labs with Siemens systems. Right now, we are located in an older section of the building with relatively low ceilings and small rooms. The room where we placed it is small, but we found there is plenty of space to move around with the ARTIS icono, which is actually a fairly compact system, because of the design of its arm. It replaced an old flat-panel Siemens system that was probably 14 years old. We had thought we would only be doing cath and peripheral cases in this lab, but since we are able to angulate the table and create even more space in the room, we will have no problem getting anesthesia, an echo physician, and the echo machine in the room in order to do structural heart procedures if need be. This is all possible because of the ARTIS icono system C-arm design, which is much more compact, yet the functionality of its C-arm is better than previous systems. You can set up the room in almost limitless configurations and it is very easy to do. Our initial dedicated peripheral room has a large Siemens ceiling-mount system and is a big room, which is one of the reasons we chose that room. Although it was originally dedicated as a peripheral lab, we still perform coronary and structural heart procedures in that room as well. Now we are also able to easily do peripheral cases in the much smaller ARTIS icono room, since we have the ability to tilt and angulate the table, and move the C-arm up and down almost the entire length of the table. It is also nice that everything is on a touchscreen at tableside. It is a very logical setup, and easy to follow the steps to set up the imaging or the table.
How long have you had the ARTIS icono system?
It has been several months. I went to the 2021 Leipzig Interventional Course (LINC) meeting in Germany just before things got shut down for COVID, and I was able to take a side trip to see the system at the Siemens manufacturing facility, and then also see it in operation at a German hospital that had it up and running. They had been using the system for some time and were quite familiar with all the operating parameters, and all the bells and whistles and features on the machine. Full disclosure: I am still learning, because there is so much flexibility with the system.
What is the importance of radiation protection in the cath lab?
Radiation protection is extremely important. Interventional cardiologists have a higher incidence of malignancies, especially on the left side of the body, such as left-sided brain cancers, because of the way the rooms are set up and the amount of scatter received by the left side of the body. Yet, interestingly, in our training, very little time is dedicated to understanding radiation protection. We are more often focused on the case and don’t get a lot of training in radiation protection. The paradox is that despite the small amount of radiation protection training we undergo, cases are growing more and more complex, and becoming longer. As a result, the radiation we are exposed to, at least from a time standpoint, is increasing. So, it is extremely important to be conscious of ways to reduce your radiation exposure, such as shielding and the use of low-dose fluoro/cine, ideally without compromising the image quality. As physicians, we need to have a greater understanding of radiation protection in order to be able to work with industry to improve ways to further reduce exposure. There are many novel things on the market right now or in development, in addition to better imaging with less radiation and better shielding, meaning less scatter. For example, the Corindus CorPath System (Siemens Healthineers), is a robotic system that allows you to sit at a console away from the patient to perform an intervention and get essentially zero radiation. We had a demo of this technology at our center and it is something I am pushing for. I do see robotic angioplasty as important, not just a “nice to have”, but a must-have technology for the future. We would like to be a leader in that rather than a follower, and understandably, a lot of it comes down to finances. In a perfect world, we would love to have everything possible on hand to limit radiation exposure.
You mentioned the challenge of image quality with low-dose radiation. What has been your experience?
Most modern systems allow you to adjust the frame rates, both for fluoro and with the cine. Particularly for long, complex cases like chronic total occlusions, we pay attention to decreasing the frame rates. We decrease the frame rates both for fluoro and for cine as much as we can without compromising wire and device visualization. In a perfect world, we would like to see an 8K picture with the most minute detail, but we need to train our eyes to be comfortable with the amount of radiation necessary for adequate imaging without exposing the patient (or staff) to unnecessarily high amounts of radiation. So we continuously adjust the parameters. We have chronic total occlusion settings on the system that can be programmed for the individual user. The system can make those adjustments automatically, rather than the operator having to actively remember the settings for each type of case. The ARTIS icono system especially has a tremendous programmability in terms of individual operator preferences, as well as the type of case, and you can set up those programs ahead of time. If it is a chronic total occlusion where we are really going to want low-dose fluoro and low-dose cine, I don’t have to scroll through and see how many frames per second I want. I can just hit my pre-programmed setups for whatever the case is, and the system is automatic. You hit “Dr. Kovach, CTO case” and all the parameters are set for you. Or, “Dr. Kovach, peripheral case.” One touch and the parameters for that case are automatically set up for you by the ARTIS icono system. Whether it’s full body or lower extremity, you can drill down to each of those body areas with programmed settings. I don’t have to worry about it, which is especially valuable if I am in a rush or it is an emergency. I hit the type of case that it is and I am set up without me having to take the time to think about it.
Are you using radial access for peripheral interventions?
We are starting to use some radial access for proximal lower extremity disease. Also, renal and mesenteric arteries often have an inferior angulation off the aorta and as such are often easier to cannulate from above. Radial access is helpful in that regard. For iliac obstructive disease, sometimes we approach from above and below, especially if it is a chronic total occlusion. In order to wire from above and below, radial access can be very helpful. Common femoral disease or very proximal superficial femoral artery disease can also be approached from radial access. However, going all the way to the foot from radial access is typically limited by available catheter lengths. Some of the reasoning behind the slower migration to radial access for peripheral intervention is also just comfort and how we are used to working. Some of it is a bit of a practical issue. There aren’t enough balloons and catheters that are long enough to reach from the radial artery all the way to the foot. Also, the farther away you are from your source or your access point, the harder it is to control catheters in terms of torque control and pushability. For every bend and angle that you take through the subclavian, through the aorta, and then down to the iliac vessels, you lose your ability to push and steer the wires. Probably more often in those cases, when it is really distal disease, we will do a combination of antegrade femoral or retrograde pedal, and access. All three pedal vessels can be accessed retrograde. With the icono system, we also don’t need the technologist to actively switch the image depending on table or C arm position and location. We don’t have to try to think and visualize in reverse — the fact that the ARTIS icono system does it automatically makes the procedure that much easier.
With Deborah Heart and Lung Center being a 100% Siemens facility for so many years, it sounds like you must have a long experience working with the company. How has that relationship been for you?
The relationship has been very good. We actually bought two ARTIS icono systems. The first has already been in use for several months and replaced a flat-panel Siemens system that was 13 or 14 years old. We are replacing the lab next door with the second system. There is reasonably good response and support for the systems. There has never been an issue with service or a prompt response. There is always somebody available on a 24-hour basis. I know our biomedical guys are on a first-name basis with the Siemens people and can contact them right away to handle issues.
If you have questions, do you have a super user at your lab or do you speak with Siemens directly?
We are in the process of training two technologist super users in the lab so that we don’t necessarily have to call Siemens directly to handle simple stuff. Siemens was here for a couple of weeks after the initial install to work with the physicians, as well as with the super users, and get everyone trained.
Can you talk more about your interest in staying abreast of all the massive, ongoing technology changes in interventional procedures?
Absolutely. This is one of the advantages of being an independent hospital, rather than part of a large system. Sometimes what happens with these large systems is that a decision is made by Purchasing that, “This is the way it’s going to be throughout every hospital in the system.” Being independent allows us to not necessarily be tied heavily to one vendor or another. We have greater access to the latest technologies. Our physicians are also employed full time by the institution, which has made it easier for me to recruit the other interventional cardiologists I work with to come here. All are aggressive about treating their patients and anxious to stay at the cutting edge of technology. Deborah Heart and Lung Center also has a very large fellowship program. In spite of our small size, we have 24 clinical fellows, four interventional fellows, two vascular fellows, an EP fellow, and a heart failure fellow. We are also applying to the ACGME for a structural heart fellowship. Not only is it in our own and our patients’ interests to stay at the cutting edge, but we have an obligation to the fellows that we are training to expose them to the latest cutting-edge technology as well.
Case Report
This is a gentleman who had prior cardiac bypass surgery and presented with unstable angina symptoms. The patient was morbidly obese, so as is typical with such patients, we had to consider image penetration and image quality.
The patient had two high-grade lesions. One was in the ostium of the vein graft to the marginal branch (Figure 1), visible at the tip of the catheter, where the vein comes off the aorta.

We were able to intervene on that vein graft using relatively shallow angles and of course would expect the views to be clear, because the imaging does not require penetrating a lot of tissue. Figure 1 is the diagnostic injection. Figure 2 is the same right anterior oblique (RAO) view, but steeper and more angulated at a 38-degree angle. Note the image is still quite clear in this fairly obese person, with image quality almost identical between the two views shown in Figures 1-2.

We continued to work in this steep, angulated view in order to get a better image of the ostium. Figure 3 shows the stent after crossing the lesion, with proximal and distal markers very clearly visible. Again, keep in mind the ARTIS icono’s ability to get such a clear image in a patient with a suboptimal body habitus.

Figure 4 shows a nice final result.

Figure 5 is again the same patient and same angulation, but a steep left anterior oblique (LAO) caudal view. We were imaging up through the belly and the diaphragm, and in spite of that, were still able to get a very clear, acceptable image in order to target a bifurcation lesion between the left anterior descending (LAD) and circumflex arteries. In order to land the stent precisely, we needed to be able to visualize the bifurcation very clearly, and this was the only view where we could separate out the bifurcation of the LAD and circumflex. These are steep, angulated views in an obese patient, but ARTIS icono provides a nice, clear image.

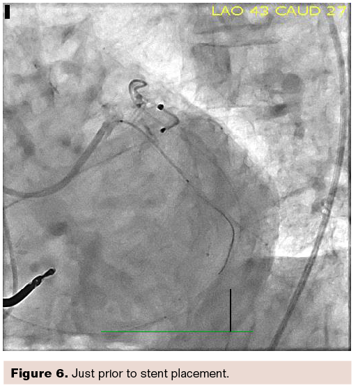
Note also the very clear image in Figure 6, which was just prior to stent placement.

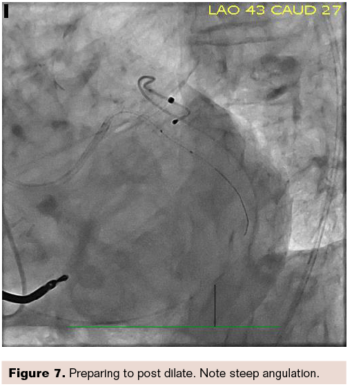
Figure 7, again, shows steep angulation, but the stent is clearly visible. We are preparing to post dilate. Figure 8 shows the final result.


This article is supported by Siemens Healthineers.
*The statements by Siemens Healthineers’ customers described herein are based on results that were achieved in the customer’s unique setting. Since there is no “typical” hospital and many variables exist (e.g., hospital size, case mix, level of IT adoption), there can be no guarantee that other customers will achieve the same results.
The opinions expressed in this article are that of the physician/customer and not of Siemens Healthineers.
The customers cited are employed by an institution that might provide Siemens product reference services, R&D collaboration or other relationship for compensation pursuant to a written agreement.


