Going Beyond the Pedal-Plantar Loop in Lower Extremity Angiographic Interventions: A Case Report
Abstract
Diabetic patients with critical limb ischemia typically present with arterial disease involving infrapopliteal or inframalleolar blood vessels, which is difficult to diagnose using non-invasive testing methods such as duplex ultrasound, ankle-brachial indices, and toe-brachial indices. Angiographic evaluation can identify regions of critical stenoses and chronic total occlusions of these vessels. While angiography-guided interventions are uncommon below the ankle and disease at the hallux level is the most difficult to treat, successful revascularization can catalyze successful healing of ulcers or wounds that are stagnant in their healing process. Here, we present the case of a diabetic patient with a right plantar hallux ulceration, chronic total occlusion of arteries supplying the right hallux on angiogram despite benign non-invasive testing, and the effects of revascularization in the region.
VASCULAR DISEASE MANAGEMENT 2021;18(8):E144-E150
Key words: angiographic intervention, critical limb ischemia, revascularization
Critical limb ischemia (CLI) resulting from peripheral artery disease (PAD) affects more than 2 million individuals in the United States, with diabetic patients more at risk for inframalleolar arterial disease.1 Unfortunately, interventions below the ankle are rare, with digital interventions being even less common. Here, we present the case of a patient with chronic total occlusions of the arteries supplying the right hallux and the effects of revascularization in the region.
A 48-year-old Hispanic man with a 20-year history of insulin-dependent type 2 diabetes mellitus presented in the clinic with a longer than 2-month history of a right hallux plantar ulceration (Figure 1). Hemoglobin A1c was 16.3%, with an estimated average glucose of 421 mg/dL. The patient did not have a history of hypertension (HTN) or hyperlipidemia (HLD) but was a former smoker with a 60 pack-year history, having quit 10 years ago. The patient had also previously undergone a right second-toe amputation in 2019 for presumed gangrene that had no healing complications (Figure 1). The patient denied any prior revascularization procedures.
Physical examination demonstrated severe peripheral neuropathy with loss of sensation up to the mid leg. Arterial duplex ultrasound showed triphasic waveforms bilaterally with no significant stenosis from the common femoral to the dorsalis pedis artery (DPA) (Table 1). Peripheral pulses were easily palpable in the DPA and weakly palpable in the posterior tibial artery (PTA). Given the chronicity of the wound and ischemic ulcer base, an angiogram with possible intervention was recommended.
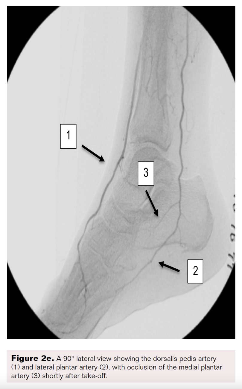
A right lower-extremity angiogram was performed using ultrasound guidance for antegrade access of the proximal superficial femoral artery (Figure 2A). Fluoroscopic acquisition demonstrated no significant disease in the superficial femoral artery (Figure 2B) and popliteal artery (Figure 2C), with no significant stenosis seen in the anterior tibial artery, PTA, and peroneal artery (Figure 2D). Pedal angiography demonstrated a complete pedal-plantar loop formed by the DPA and the lateral plantar artery (LPA) (Figure 2F).
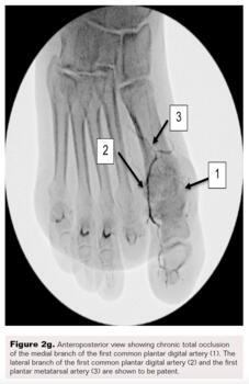
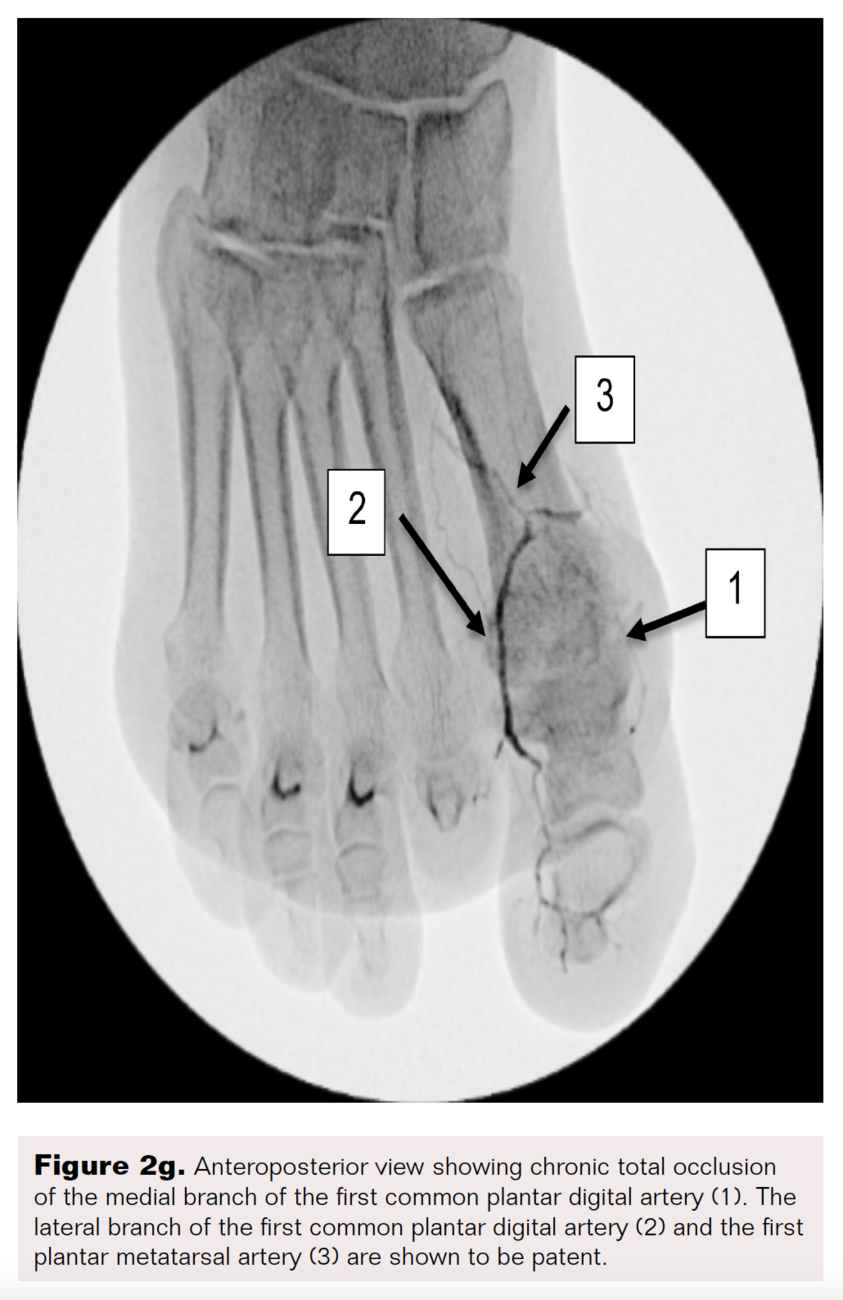
However, the entirety of the medial plantar artery (MPA) distribution was chronically occluded shortly after take-off (Figure 2E and Figure 2F). Super-selective angiography revealed chronic total occlusion of the medial branch of the first common plantar digital artery arising from the first plantar metatarsal artery (Figure 2G). Angiography also revealed an occluded accessory branch arising medially from the superficial branch of the MPA.
The MPA, along with its superficial branch and accessory branch, was recanalized through a guidewire in retrograde fashion through the DPA and treated with prolonged percutaneous transluminal angioplasty using a 1.5 x 120 mm Crosperio balloon catheter (Terumo) (Figure 3A and Figure 3B), with follow-up angiogram demonstrating good angiographic results (Figure 4C). The medial branch of the first common plantar digital artery was recanalized in a similar fashion and treated with both a 1.5 x 120 mm Crosperio balloon catheter and a 2.0 x 220 mm Coyote balloon catheter (Boston Scientific); final angiogram also demonstrated good angiographic results (Figure 4A, Figure 4B, Figure 4C). Image acquisition was performed through an initial inner 3 Fr micropuncture access and the intervention balloons were bareback, with no sheath placed in the superficial femoral artery. The patient was given a total of 6000 units of heparin during the procedure. Manual compression was used for hemostasis.
In summary, this was a Rutherford category 5 patient with a non-healing right plantar hallux ulceration and occlusion of the arteries supplying the right hallux as confirmed by pedal angiography. All of the occluded arteries supplying the hallux were successfully revascularized via prolonged balloon angioplasty. Furthermore, the patient’s hallux ulcer was fully healed at 3 weeks post angiogram (Figure 5).
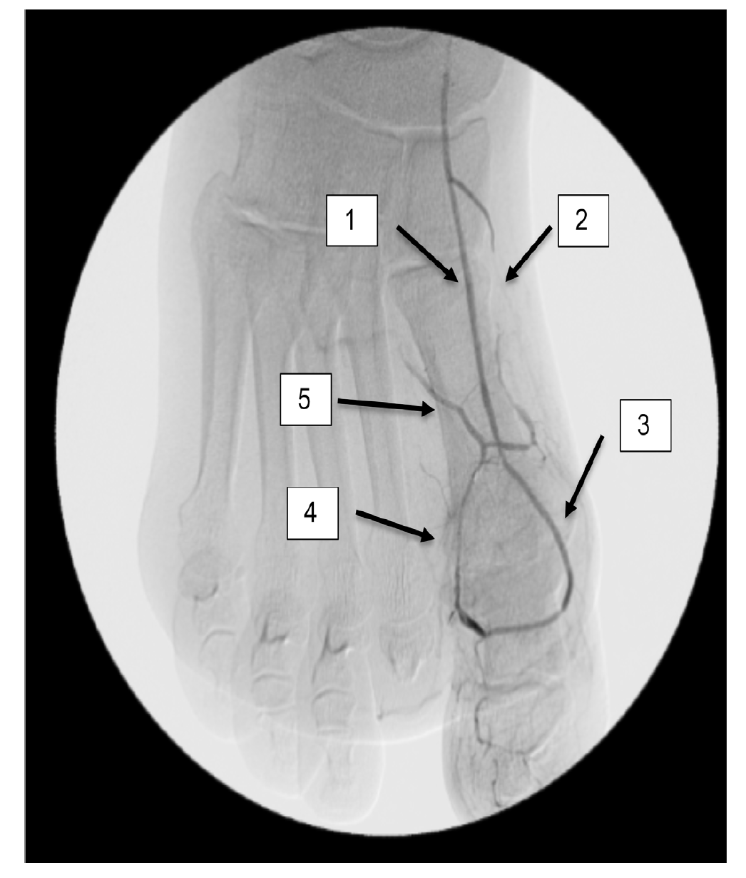
The anatomy of the arteries supplying the hallux is complex, with variants being common. In this patient, an atypical accessory branch arising from the superficial branch of the MPA was present. While the arterial anatomy of hallux-supplying arteries and its corresponding variants are not readily discussed in recent literature, certain textbooks do depict an accessory branch arising from the superficial branch of the MPA.2 The accessory branch of this patient, in particular, communicated with the first dorsal metatarsal artery arising from the DPA (Figure 2F) and the superficial branch of the MPA communicated with the medial branch of the first common plantar digital artery arising from the LPA (Figure 4C). In general, using the angiosome concept, the blood supply to the hallux consists of 3 main avenues: (1) the first dorsal metatarsal branch arising from the DPA; (2) the plantar digital arteries arising from the first plantar metatarsal artery, which is a branch of the LPA; and (3) the superficial branch of the MPA.3,4 The latter 2 sources of blood supply were absent in this case.
Interventions at the hallux level, while being deemed the most complex foot lesions to treat via hemodynamic means, have the potential to improve a patient’s quality of life and prevent digital amputations as suggested by recent studies.5,6 For this patient, successful revascularization of chronically occluded vessels prevented worsening of the patient’s wound and potential amputation, preserving the hallux, which plays a crucial role in balance.
Recent studies have also suggested that CLI patients with diabetes have an approximately 33% greater likelihood of amputation in the long term compared with those without diabetes.7 Furthermore, these patients may present with neuropathy that masks typical PAD symptoms such as ischemic rest pain. Given the diabetic epidemic in the United States, PAD presents differently now compared with 30 years ago. In the past, PAD was more directly related to factors such as smoking, HTN, and HLD, and resulted in disease distribution in the aortoiliac and femoro-popliteal vascular beds. In the diabetic population, however, the disease is primarily infrapopliteal and inframalleolar.8 Since diabetic vascular disease involves the smaller blood vessels, it is often difficult to diagnose with current non-invasive testing methods such as duplex ultrasound, ankle-brachial indices, and toe-brachial indices.
This case illustrates the importance of angiographic evaluation and selective catherization of tibial arteries by “full foot” pedal angiogram, in at least 2 orthogonal views, to characterize the presence or absence of the various pedal loops that are critical to the healing process for diabetic patients. Recognizing the fundamental difference between inflow and outflow disease is one of the biggest challenges in bringing vascular care of diabetic patients into the modern era. Successful revascularization of the “hallux loop” and resultant rapid healing of a previously stagnant ulcer is a powerful example of going beyond the pedal-plantar loop for the case of chronic limb-threatening ischemia patients.
Disclosure: The authors have completed and returned the ICMJE Form for Disclosure of Potential Conflicts of Interest. The authors report no conflicts of interest regarding the content herein.
Manuscript accepted April 25, 2021.
Address for correspondence: Bibhav Poudel, BS, Modern Vascular of Glendale, 11851 N 51st Ave, Glendale, AZ 85304. Email: bibhavp@gmail.com
REFERENCES
1. Duff S, Mafilios MS, Bhounsule P, Hasegawa JT. The burden of critical limb ischemia: a review of recent literature. Vasc Health Risk Manag. 2019;15:187-208.
2. Gray H, Standring S, Ellis H, Berkovitz BKB. Gray’s Anatomy: the Anatomical Basis of Clinical Practice. 20th ed. Edinburgh: Elsevier Churchill Livingstone; 2005:639.
3. Netter FH. Atlas of Human Anatomy. 2nd ed. Philadelphia, PA: Saunders/Elsevier; 2014:494-500.
4. Attinger CE, Evans KK, Bulan E, Blume P, Cooper P. Angiosomes of the foot and ankle and clinical implications for limb salvage: reconstruction, incisions, and revascularization. Plast Reconstr Surg. 2006;117(7 Suppl):261S-293S.
5. Manzi M, Palena LM, Brocco E. Is digital arteries recanalization useful to preserve the foot functionality and avoid toes amputation, after pedal recanalization? Clinical results. J Cardiovasc Surg (Torino). 2012;53:61-68.
6. Alexandrescu VA, Kerzmann A, Melvin R, Limgba A. Understanding the tibial-pedal arterial anatomy: practical points for current clinical presentations. Vasc Dis Manag. 2019;16:E179-E182.
7. Spreen MI, Gremmels H, Teraa M, et al. Diabetes is associated with decreased limb survival in patients with critical limb ischemia: pooled data from two randomized controlled trials. Diabetes Care. 2016;39:2058-2064.
8. American Diabetes Association. Peripheral arterial disease in people with diabetes. Diabetes Care. 2003;26:3333-3341.


