Skip to main content

Volume 18, Issue 4 - April 2021

Case Report
04/19/2021
Erik E. Sanchez, MD; Carlos A. Areán Martnez, MD; Alfonso M. Ortiz, MD
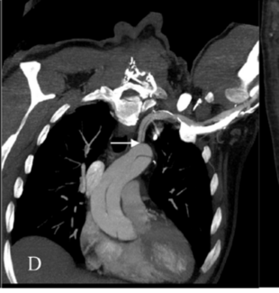
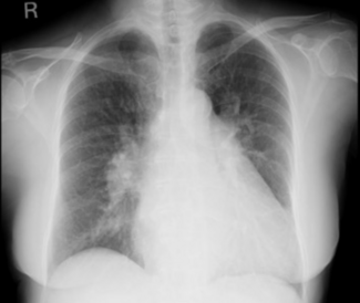
A 50-year-old man with a medical history of active smoking and diagnosed with type 2 diabetes mellitus was admitted to the ED complaining of sudden acute chest and left groin pain lasting 1 hour.
A 50-year-old man with a medical history of active smoking and diagnosed with type 2 diabetes mellitus was admitted to the ED complaining of sudden acute chest and left groin pain lasting 1 hour.
A 50-year-old man with a medical...
04/19/2021
Vascular Disease Management
Clinical Review
04/19/2021
Omosalewa Adenikinju, MD; Adam Zybulewski, MD; Brandon P. Olivieri, MD, RPVI; Kiran C. Patel; Robert E. Beasley, MD, FSCAI, FSIR; Daniel Rubin, DO; Brad Money, BS
Fibroids are the most common benign tumor in women of reproductive age, and the most common pelvic tumor overall in women. They arise from smooth muscle cells and fibroblasts in the myometrium.
Fibroids are the most common benign tumor in women of reproductive age, and the most common pelvic tumor overall in women. They arise from smooth muscle cells and fibroblasts in the myometrium.
Fibroids are the most common...
04/19/2021
Vascular Disease Management
Case Report
04/19/2021
Yoshihiro Morino, MD; Yuki Matsumoto, MD; Keiko Tsuji, MD; Takuya Osaki, MD; Shigeto Tsuji, MD; Junichi Tsuboi, MD; Hajime Kin, MD
A 67-year-old woman who had been caught in a cultivator and had her right leg amputated in the 1980s. She had no medical history of congestive heart failure or shortness of breath.
A 67-year-old woman who had been caught in a cultivator and had her right leg amputated in the 1980s. She had no medical history of congestive heart failure or shortness of breath.
A 67-year-old woman who had been...
04/19/2021
Vascular Disease Management
Editor's Corner
04/19/2021
Craig M. Walker, MD, FACC, FACP, FSCAI, FCCP
Dr. Walker comments on Dr. Daniel Rubin and colleagues’ article “Uterine Fibroid Embolization: A Review for Endovascular Trainees."
Dr. Walker comments on Dr. Daniel Rubin and colleagues’ article “Uterine Fibroid Embolization: A Review for Endovascular Trainees."
Dr. Walker comments on Dr....
04/19/2021
Vascular Disease Management