Anteroseptal Myocardial Infarction and Claudication as Manifestations of an Acute Extensive Aortic Dissection: A Case Report
VASCULAR DISEASE MANAGEMENT 2021;18(4):E61-E65
Abstract
A 50-year-old male presented sudden chest and left groin pain. At admission a 12-lead electrocardiogram (EKG) was performed showing ST-segment elevation in leads V1 to V4. Thrombolytic therapy was administered, and the patient had pain relief with EKG improvement. Coronary angiography was performed 24 hours after and revealed a 40- 50% stenosis of the left anterior descending coronary artery (LAD), ventriculography showed anteroseptal hypokinesia as well as dilated aortic root with a double contour image at the Valsalva sinus suggestive of aortic dissection. An angioCT revealed a Type A aortic dissection that extended through thoracic and abdominal aorta and right iliac artery with left iliac artery stenosis. The patient remained asymptomatic and did not develop hemodynamical deterioration; he was then referred to a tertiary hospital.
VASCULAR DISEASE MANAGEMENT 2021;18(4):E61-E65
Case Report
A 50-year-old man with a medical history of active smoking and diagnosed with type 2 diabetes mellitus was admitted to the emergency medicine department complaining of sudden acute chest and left groin pain lasting 1 hour. His vital signs at admission were BP 140/80mmHg, HB 96pm, RR 24pm. Cardiovascular examination revealed normal S1 and S2 with a regular heart rate and rhythm. The EKG at admission showed ST-segment elevation in V1-V4 leads suggesting an anteroseptal myocardial infarction (Figure 1A). The patient received thrombolytic therapy with tenecteplase. Laboratory test revealed a rise in troponin I levels. After thrombolysis serial electrocardiograms were performed showing ST-segment descent as well as pain improvement (Figure 1B). Treatment was continued with dual antiplatelet therapy, beta-blocker, statin, and enoxaparin.
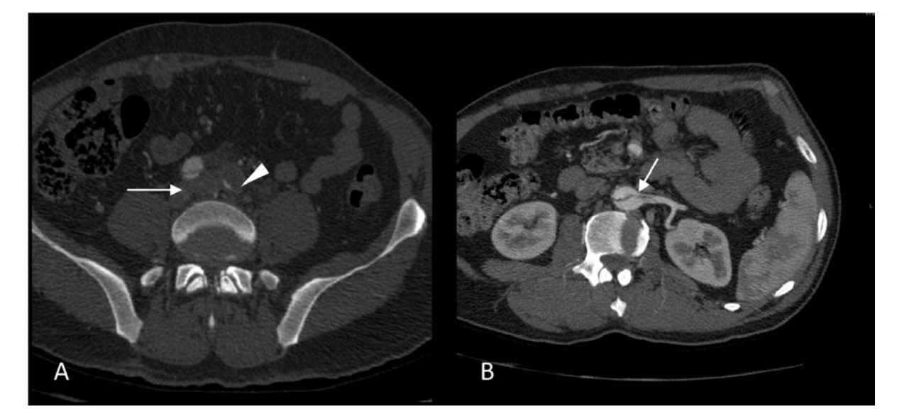
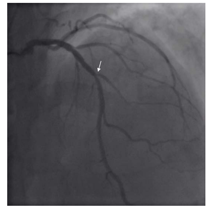
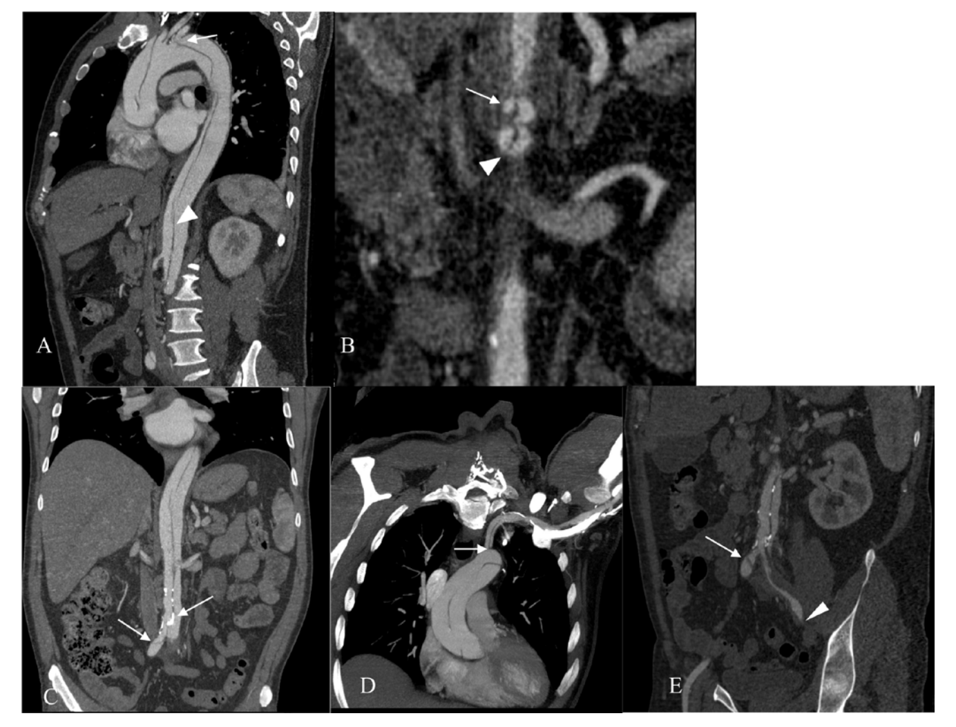
Coronary angiography (CA) was performed 24 hours after admission, an intermediate stenosis was found in the left anterior descending artery (LAD) with TIMI 3 flow (Figure 2). Ventriculography showed mild anteroseptal hypokinesia with a 60% left ventricular ejection fraction (LVEF). Aortic root dilation was observed along with a double contour image suggestive of aortic dissection (Figure 3). Aortic CT was then performed, the study revealed an aortic dissection extending through the thoracic, abdominal and common iliac arteries, classified as a Type A aortic dissection (Figures 4-6). CT angiography 3D reconstruction showed a dissection originating at the aortic root that involved the innominate, left subclavian and left vertebral arteries as well as the descending aorta and extended through the entire course of the common iliac artery causing left iliac artery occlusion (Figure 7).
The patient remained asymptomatic without apparent complications during the hospital stay. After reassessment by the cardiology and angiology departments the patient was referred to a tertiary hospital for definite therapy.
Discussion
Acute aortic dissection (AAD) is a life-threatening condition associated with high morbidity and mortality rates and represents a diagnostic and therapeutic challenge.1 Aortic dissection is a relatively rare disease, that can have a debut as an acute catastrophic disease. Death in the setting of AAD is related to complications such as cardiac tamponade secondary to rupture through the pericardium or as acute severe aortic regurgitation due to aortic valve annulus involvement (rate of 1% to 2% per hour immediately after symptom onset). It can also develop extension into the abdominal aorta leading to vital organ failure.1
In the International Registry of Acute Aortic Dissection (IRAD), 67% of patients presented with a type A AAD, the remaining patients had type B aortic dissection (33%). Two-thirds of the patients were male, with a mean age of 63 years. Risk factors for AAD were identified, with hypertension being the most common (76.6%). History of atherosclerosis was present in 27% of patients, previously diagnosed aortic aneurysm in 16%, history of cardiac surgery in 16%, Marfan syndrome in 5%, iatrogenic causes in 4%, and cocaine abuse in 1.8% of patients.1
Thus, it is known that due to the relatively low frequency of AAD, along with the variety of clinical presentations that may mimic other common diagnosis, a high degree of suspicion must be established in patients that present with multiple risk factors for AAD.1,2
It is well established that within the primary differential diagnosis of acute chest pain, aortic dissection may simulate or can even lead to myocardial infarction; thereby, a precise and extensive clinical assessment on admission remains the best tool for an appropriate diagnosis and treatment. In a recently published registry, it was documented that more than 60% of cases of aortic dissection were not clinically diagnosed and were an autopsy finding.2 In another study conducted from 2000 to 2004, acute aortic syndrome misdiagnosis was documented in up to 39% of cases.3 Ischemic heart disease was the main pathology for which AAD was mistaken for, which led the patients to receive treatment with dual antiplatelet therapy (100%), clopidogrel (4%), heparin (85%), and even fibrinolytics (12%).3 The study by Chua and coworkers reported that risk factors for AAD misdiagnosis in the emergency medicine department were not age, male gender, and hypertension, but rather the absence of either pulse deficit and widening of the mediastinum by chest radiography, did not exclude the diagnosis of AAD.4 It is noteworthy that multiple cases in which thrombolysis is administered in patients with a clinical setting suggestive of acute myocardial infarction are reported in medical literature.5,6 Some of those who received thrombolytic therapy died due to complications related to it or the dissection itself,5 nevertheless, in many other cases either receiving thrombolysis or not, hemodynamic stability was maintained and medical therapy was preferred.7-12 In other clinical scenarios endovascular treatment was successfully performed and patients were discharged without major complications.13,14
Overall mortality in patients with type A AAD has decreased. Improvements in outcomes may be attributed to several factors such as earlier diagnosis, improved diagnostic imaging, and also advances in surgical and endovascular techniques along with more efficient perioperative and long-term management.1
Conclusions
Aortic dissection has been widely described in the literature as a rare entity with clinical manifestations that may overlap with diseases such as acute coronary syndromes. For patients presenting with acute chest pain, for which aortic syndrome is suspected as the underlying entity, it is mandatory to perform a profound clinical evaluation as well as complementary tests in the emergency department such as chest X-ray and echocardiogram, both essential tools that may enable clinicians to make the best therapeutic decisions.
Disclosure: The authors have completed and returned the ICMJE Form for Disclosure of Potential Conflicts of Interest. The authors report no financial relationships or conflicts of interest regarding the content herein.
Address for Correspondence: Carlos A. Areán Martinez, Department of Cardiology, Hospital General “Dr. Miguel Silva,” Bosques de Eucalipto no. 415, Michoacán, México, 58300. Email: c_arean@yahoo.com
REFERENCES
1. Evangelista A, Isselbacher EM, Bossone E, et al. Insights from the international registry of acute aortic dissection: A 20-year experience of collaborative clinical research. Circulation. 2018;137(17):1846-1860.
2. Huynh N, Thordsen S, Thomas T, et al. Clinical and pathologic findings of aortic dissection at autopsy: Review of 336 cases over nearly 6 decades. Am Heart J. 2019;209:108-115.
3. Hansen MS, Nogareda GJ, Hutchison SJ. Frequency of and inappropriate treatment of misdiagnosis of acute aortic dissection. Am J Cardiol. 2007;99(6):852-856.
4. Chua M, Ibrahim I, Neo X, Sorokin V, Shen L, Ooi SBS. Acute aortic dissection in the ED: Risk factors and predictors for missed diagnosis. Am J Emerg Med. 2012;30(8):1622-1626.
5. Kamp TJ, Goldschmidt-Clermont PJ, Brinker JA, Resar JR. Myocardial infarction, aortic dissection, and thrombolytic therapy. Am Heart J. 1994;128(6 Pt 1):1234-1237.
6. Hassan A. Spontaneous Artery Report. Published online 2002:205-211.
7. Herry Y, Tonang A, Herlambang V, Anggriyani N. Spontaneous coronary artery dissection causing myocardial infarction in an 18-year-old man: A case report. Australas Med J. 2013;6(12):694-696.
8. Leone F, Macchiusi A, Ricci R, Cerquetani E, Reynaud M. Acute myocardial infarction from spontaneous coronary artery dissection: a case report and review of the literature. Cardiol Rev. 2004;12(1):3-9.
9. Badmanaban B, McCarty D, Mole DJ, McKeown PP, Sarsam MAI. Spontaneous coronary artery dissection presenting as cardiac tamponade. Ann Thorac Surg. 2002;73(4):1324-1326.
10. Papadopoulos DP, Moyssakis I, Perakis A, et al. Acute myocardial infarction due to spontaneous dissection of the right coronary artery in a young male. Cardiovasc Intervent Radiol. 2004;27(5):536-537.
11. Holbrook C, Ahmed A, Saleem N. Spontaneous right coronary artery dissection. BMJ Case Rep. 2017;2017:bcr2017222130.
12. Sardar MR, Pieczynski LM, Saeed W, Domsky SM, Shapiro TA, Coady P. All at once: multivessel spontaneous coronary artery dissection with right coronary artery ST-segment elevation myocardial infarction. JACC Cardiovasc Interv. 2014;7(10):e161-e162.
13. Camaro C, Wouters NTAE, Gin MTJ, Bosker HA. Acute myocardial infarction with cardiogenic shock in a patient with acute aortic dissection. Am J Emerg Med. 2009;27(7):899.e3-e6.
14. Buys EM, Suttorp MJ, Morshuis WJ, Plokker HWT. Extension of a spontaneous coronary artery dissection due to thrombolytic therapy. Cathet Cardiovasc Diagn. 1994;33(2):157-160.


