Interview With Dr. Samdeep Mouli: Advanced Intra-procedural Imaging in Prostate Artery Embolization: Roadmap for Success
Samdeep Mouli, MD, MS, is a Professor of Radiology and Interventional Radiology at the Northwestern University Feinberg School of Medicine in Chicago, Illinois. He also is the Director of Translational Interventional Research at the Center for Translational Imaging. He received his MD from Northwestern University Feinberg School of Medicine in 2006. He is board certified in interventional and diagnostic radiology from the American Board of Radiology.
Tell us why prostate artery embolization cases can be so challenging.
The challenge stems from both the patient population and the anatomic variability. In distinction to patients with uterine fibroids, patients that have benign prostatic hyperplasia and lower urinary tract symptoms requiring prostate artery embolization for management of their symptoms are older, have more comorbidities, more atherosclerosis, hypertension, etc. At baseline, they essentially have more difficult vessels to manage. With regards to prostate artery embolization, there’s a lot of anatomic variance in terms of the origin of the vessels and the number of vessels that need to be treated.
There isn’t a common origin of the prostatic artery that’s the same in every patient, despite what the anatomy textbooks might say. Due to this variability, you need to identify these feeding vessels, which can be different from the left to right side. Only in about a third of patients do you have symmetry between the two sides. Additionally, a lot of these vessels are less than a millimeter in diameter. Identifying them and picking the right tools to catheterize them can be challenging.
Additionally, you have a significant risk of non target embolization. There are a lot of anastomoses that can occur, not just extra prostatic, but also within the prostate, to either the internal pudendal artery or the rectal arteries or the superior vesicular arteries. As such, there’s a lot of risks involved in terms of non target embolization that need to be managed.
How do those challenges impact the procedure and patient outcome?
Initially, identifying these vessels was challenging, due to the atherosclerosis, tortuosity, and pelvic variation that I mentioned previously.
This required multiple DSA runs and very steep obliques to identify the vessel, which can be very challenging and require a lot of radiation and contrast dose to identify these vessels. Additionally, with DSA alone, not everything is visible. You’d have to search other vessels outside the prostate to make sure that there weren’t any collaterals for risk of non target embolization. These limitations made it very difficult in the beginning. Early reports had good technical success rates, but the clinical success rates were in the 60 to 70 percent range, likely due to incomplete embolization.
Using just standard DSA imaging alone, identification of all the vessels leading to the prostate can be difficult. When vessels are left untreated, that can lead to incomplete embolization and thus recurrence of symptoms after the patient has been treated.
Can you expand on the limitations of DSA alone for vessel identification, and how you can overcome this with the use of cone beam CT and CTA on PAE?
The initial reports of how to technically undertake this procedure described typical anatomic considerations. There’s a lot of variability in the pelvis, given the baseline patient population, and also generally just where the prostate gets its arterial sources from.
Due to that, multiple runs and multiple obliques are performed to properly identify things. If there’s any added tortuosity or atherosclerosis, it can make that more complicated. With cone beam CT and CTA, you can identify more vessels in about 60 percent of cases.
There was a study that was published in radiology in 2018 that demonstrated this. CBCT or CTA gives you a lot more information. You can immediately pick out what oblique will map out the vessel the best, what are the non target embolization considerations, how many vessels are feeding the prostate, if there is more than one on either side, and if there are any collaterals. It also helps you choose the right tools to undertake the procedure. It’s not always the same wire, microcatheter, and particles that you want to use for every single case. This allows you to plan the procedure appropriately and have the right tools going in.
Additionally, using cone beam and CTA can decrease your radiation dose, because several studies have shown that the majority of dose from a prostate embolization case comes from digital subtraction angiography, and not from fluoroscopy or cone beam or CTA. If you can limit your DSA runs as much as possible, you can really decrease the radiation dose and make the procedure not only safer for the patients, but more efficient.
Can you tell us about best practices at Northwestern University for cone beam and CTA?
In our early experience we were using the techniques that have been described in the early literature, using steep obliques in the 30 to 40 degree ipsilateral oblique to identify the prostatic artery, catheterizing it, and then doing a cone beam within the prostate.
This can be challenging because you need to account for the vessel size and you don’t want to over inject or rupture the vessel. If you under inject, you might not see all of the anastomoses and collaterals that might be in play, which are risks for non target embolization.
It was overly complicated, and we’d have to do multiple runs and cone beams in different vessels to map everything out. Four years ago, we moved onto a method of obtaining a pigtail cone beam CT of the pelvis. We do this by obtaining initial arterial access, place a pigtail catheter at the level of the aortic bifurcation, and then do a cone beam CT of the entire pelvis. Typically, we use 30-50 percent contrast and flood the system.
With the Siemens unit we use an injection of 6cc/sec for 60 seconds to flood the pelvis. This allows us to identify the origins of the prostatic arteries on both sides, see how much prostate gland they perfuse, if there are any collaterals that we have to avoid embolizing or coil off, an any additional vessels that might be feeding the prostate to eliminate any chance of recurrence of symptoms after the initial procedure. We used this procedure for several years with great results, and published our data in 2018 in the journal Urology.
More recently, in 2020, we took delivery of the Nexaris angio CT hybrid unit from Siemens. Using Nexaris, we adjusted our protocols. We would perform an in room CTA at the time of the procedure therefore, arterial access was obtained with a pigtail catheter at the level of the aortic bifurcation. With the CTA unit we are able to perform a CTA of the lower abdomen and pelvis to map out the anatomy with much greater resolution than what we could achieve previously, and also using much less contrast. We can get higher resolution CTA to identify everything that we need to see with about 30 ccs of contrast. This has greatly refined our workflow and the procedure can now be done more safely and efficiently.
We were able to use Siemens navigational software, Embolization Guidance for both the cone beam and the CTA cases, to identify the vessels feeding the prostate. It really simplifies the procedure because you can quickly see everything and avoid what needs to be avoided, pick and choose exactly which obliques and use those tools to overlay on live fluoroscopy to create a roadmap of where you need to go.
Can you tell us how your workflow has evolved over time for PAE and how this improves patient care?
Initially, we would do a pelvic aortogram and then get into the iliac artery, do an iliac angiogram, then identify the prostatic artery—which might take multiple iliac angiograms—catheterize it, then do a cone beam, and then repeat everything on the contralateral side.
We moved on to doing a pigtail cone beam CT in the distal aorta at the level of bifurcation that identifies both prostatic arteries on either side, especially if there is more than one on each side. It also opacifies the entire iliac artery distribution on either side, making another iliac run unnecessary, which saves time. You can choose your obliques to catheterize the vessel from that reconstruction on the Syngo unit. By doing that, you can overlay that image onto your live fluoroscopy and therefore have a roadmap indicating exactly where you need to go.
You’re really saving yourself a bunch of different digital subtraction angiography runs and contrast dose by having a good cone beam CT at the onset of the procedure. Additionally, with CTA, we’ve gotten even more efficient and can use even less contrast. We’ve been able to treat a lot of patients that have baseline renal insufficiency, other comorbidities, or contraindications that normally might have made the procedure more difficult. We were able to do this because we can visualize everything we need to visualize and use the Endo Guide navigational software to simplify the procedure.
How does Embolization Guidance improve the efficiency and outcome of the cases?
Due to anatomic variation, the artery may not be in the same place on both sides, and also it is not certain that there is only one artery on either side. There’s usually some collateral or additional vascular supply that needs to be accounted for.
Before Embolization Guidance tools we would have to do runs in multiple vessels and ask “Are we covering the entire gland? Is this the top half of it? Is the bottom half? Is it the right? Is it the left,” etc. We would do a lot of mental gymnastics during the case.
With embolization guidance tools, you can identify all of the supply going to the gland as well as non target risks and put those puzzle pieces together upfront. That allows you to account for the different steps in the procedure, and how much work you need to do in each vessel from a particle embolization standpoint or a coil embolization standpoint for protective purposes.
You can move through the case much more quickly, because you don’t have to go back and forth looking through multiple angiograms and trying to determine whether or not you covered the entire gland, treated everything you want to treat, and avoided all the things that you want to avoid.
By doing so, we found that not only have we made the procedure more efficient, but we’ve gotten better short term and mid term results. Patients have a significant improvement in their urinary symptoms at a much faster rate than what we’ve seen in our earlier experience, because we’re giving them a more thorough embolization at the onset.
Dr. Mouli, you mentioned that Embolization Guidance decreases procedure time, but have you seen any changes in radiation dose to the patient when utilizing these advanced software applications?
Yes, what we’ve found is that utilizing these tools can limit radiation dose because you don’t need to do different runs and obliques. The images can be overlayed onto live fluoroscopy, then you get into the vessel that you need to get into and treat it efficiently.
Additionally, you don’t need to use a lot of contrast to do the same thing because everything has been opacified and mapped from the CT or cone beam CT images. You just need to overlay them on your live fluoroscopy and you can see exactly what you need to see and get to where you need to go.
That simplifies things quite a bit. I think some of our early experience, and I liked to show this at various meetings before we were doing this cone beam and CTA protocol, we were doing so many runs and so many vessels.
If you show seven experts a complex arterial case like this and a run in a vessel that may or may not have prostatic supply without a corresponding cone beam or cross sectional imaging, it is really difficult to say if this vessel is worth embolizing or not, based on DSA alone.
This new technique simplified the mental calculus that we have to perform during the case by answering all those questions upfront, rather than with multiple steps during the procedure.
You mentioned how these technologies reduce retreatment rates. Why is this important?
If you look through the urology literature, the retreatment rates for prostate artery embolization are highly variable. In very experienced groups, the retreatment rate ranges from 5 to 10 percent. However, in less experienced groups, this can reach almost 20 to 30 percent. Some of these cases are due to unilateral embolization, meaning they’re not able to catheterize both sides of the gland, which is, in my mind, a clinical and technical failure.
This is important, because in the most recent randomized control trial of prostate embolization versus TURP coming out of Sweden, they were only able to do unilateral embolization in 25 percent of cases.
If you’re comparing it to a surgical therapy, as they did in that report, it is like those patients are getting half a TURP. It’s not a fair comparison to do. These technical and clinical failures are usually due to incomplete embolization and not treating all the vessels that need to be treated.
If we can determine all the vascular suppliers to the prostate upfront and therefore perform a more complete embolization, we have found that retreatment rates can be reduced significantly. In general, for all urologic therapies for BPH, there is about a 5 to 10 percent retreatment rate. That is due to the natural history of the disease, because as a man ages, his prostate grows because of hormones that he is exposed to in his bloodstream. You might embolize, you might resect, but those hormones will always be there. As such, there will always be a certain degree of regrowth of prostatic tissue. Even with TURP— which is considered the gold standard—there is an over 20 percent rate of requiring medication or another procedure down the road because of regrowth of prostatic tissue.
As long as we are in that range, we demonstrate equipoise with other therapies, and it’s the best option for the patients because it’s minimally invasive. By utilizing these tools and providing a more complete embolization at the onset, it is less likely for the patient to require a retreatment due to reperfusion of the gland through either untreated vessels or reperfusion of the previously treated vessels.
A study done in 2020 out of Portugal determined that in about 70 percent of cases retreatment was due to incomplete embolization of the main vessel. They weren’t treating everything they needed to treat in the main prostatic artery at the onset. However, in 25 percent of cases, there was still some collateral that was not seen that became the main arterial supply of the prostate.
With our practice now, we try to completely treat that main vessel at the onset and then try to ensure that there is no additional vascular supply that we need to account for, to make sure that they don’t have a short- to intermediate term recurrence of their symptoms.
Case Report
Advanced Intra-procedural Imaging in Prostate Artery Embolization: Roadmap for Success
Samdeep Mouli, MD, MS
Northwestern University Feinberg School of Medicine, Chicago, Illinois
Introduction
Over the last decade, prostate artery embolization (PAE) has been established as a safe and efficacious treatment for lower urinary tract symptoms (LUTS) due to benign prostatic hyperplasia (BPH).1,2 PAE provides significant clinical improvements in both objective and subjective measures of urinary function, with a more favorable side effect profile compared to surgical therapies.3 Anatomy can be complex with a variety of vessel origins. Bilhim et al reported that 56% of prostatic arteries originated from the internal pudendal artery, 28% from a common gluteal pudendal trunk,4,5 and the remainder arising from a variety of anastomotic networks with adjacent pelvic organs. In the majority of cases there exists asymmetry between the two sides of the gland, with different origins for the left and right prostatic arteries. Furthermore, in a large number of cases a variety of intra-prostatic anastomoses exist, either to the pudendal arteries or contralateral prostatic artery.4,5
As the technique has matured, many technical refinements have occurred including improved device selection, use of cone beam CT (CBCT), and coil embolization. In fact, CBCT provides essential information not seen during digital subtraction angiography (DSA) alone in 60.8% of cases.6 CBCT is especially critical in identifying anastomoses (non-target sites) to corpus cavernosal, rectal, vesicular, and seminal vesicular arteries. In PAE, these anastomoses can be safely coil embolized without compromise of therapeutic efficacy or adverse events.7
As PAE becomes more widely adopted, increasingly complex cases will become more frequent, including repeat treatments. The retreatment rate for PAE ranges approximately ~10%, in line with other minimally invasive surgical therapies.3 A distinction must be made between clinical failures, ie, nonresponders, and those patients who demonstrate an initial response but have recurrence of symptoms during follow-up, ie, relapsers.8 This latter group may be best served by consideration for repeat treatment. Several studies have examined the patterns of reperfusion in this latter group, with the majority attributed to revascularization of previously treated vessels.8 However, in up to 25% of patients, a drastically different pattern of reperfusion can be seen, increasing the technical complexity of the case.
Case Presentation
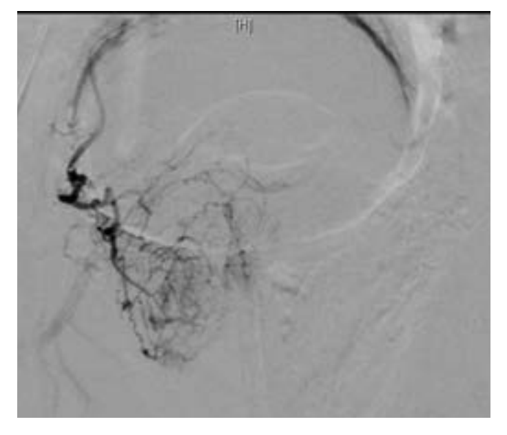
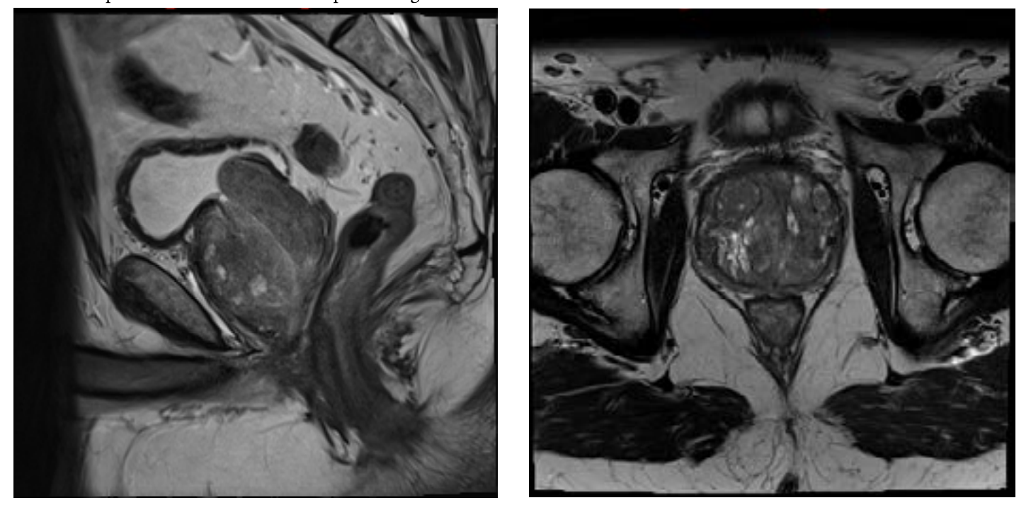
A 74-year-old male with past medical history of hypertension, coronary artery disease, and BPH with LUTS refractory to medical management presented for evaluation. The patient underwent an MRI of the prostate demonstrating a 182 cc gland with an enlarged transitional zone measuring 144 cc (Figure 1). The patient’s baseline IPSS and QoL were 18 and 5, respectively. Given the patient’s prostate gland size, and medical comorbidities, he elected to undergo PAE for management of his LUTS. On the day of his PAE, right common femoral arterial access was obtained and a pigtail DSA was obtained delineating pelvic arterial anatomy. On the right, the prostatic artery arose from a vesiculoprostatic trunk, with a shared origin with the superior vesicular artery (Figure 2). This was selectively catheterized with a progreat alpha microcatheter (Terumo, Tokyo, Japan), and 016” fathom microwire (Boston Scientific, Marlborough, MA). Angiography demonstrated perfusion of the entire right portion of the gland, without evidence of extra-prostatic supply (Figure 3). Embolization was performed with 300-500 micron Embospheres (Merit Medical, South Jordan, UT) to stasis. On the left, the prostatic artery arose from the left obturator artery (Figure 4). This was subsequently catheterized with the same catheter/wire combination, with angiography demonstrating left glandular perfusion without extra-prostatic supply (Figure 5). Embolization was again performed to stasis with 300-500 micron Embospheres. The patient did well post-procedurally with self-limited urinary frequency and dysuria for 3 days. By 3 months post PAE, the patient reported a significant improvement in his LUTS, with an IPSS/QoL of 3 and 0, respectively.
The patient had a long-term response to PAE for approximately 5 years, at which point he experienced gradual recurrence of his LUTS. He re-presented with an IPSS/QoL of 27/5, respectively. At this point, repeat MRI of the prostate was obtained demonstrating a total gland volume of 119 cc, with a transitional zone volume of 94 cc (Figure 6). Given his recurrence of symptoms, and enlarged gland not amenable to standard surgical therapies, he elected to undergo repeat PAE.
Initial arterial access was obtained and a pigtail catheter was advanced into the abdominal aorta to the level of the aortic bifurcation. Using a hybrid angio-CT unit (Nexaris, Siemens Healthcare AG, Forchheim, Germany), a CTA was obtained to delineate arterial anatomy and determine the pattern of glandular reperfusion. Multiplanar reconstruction was performed using syngo DynaCT and Embolization Guidance software (Siemens Healthcare AG, Forchheim, Germany). These images demonstrated no perfusion from either the previously treated right or left prostatic arteries, which now appeared markedly attenuated. Instead, the majority of the gland had been revascularized through a distal internal pudendal artery collateral on the right, with more proximal branches perfusing the cavernosal tissues (Figure 7). These cavernosal branches also appeared to be the sole supply to the cavernosal tissues on the right, and therefore critical to avoid nontarget embolization to penile tissues. The CTA/Embolization Guidance data sets were then fused to create an overlay of the vessel trajectory to be displayed during 2D fluoroscopy. Given the vessel tortuosity and small caliber size (Figure 8), an Excelsior SL-10 microcatheter (Stryker, Fremont, CA) and 014’ Synchrosoft microwire (Stryker) were used to select the terminal branch of the internal pudendal artery distal to the cavernosal branches. Angiography from this location demonstrated brisk antegrade flow with perfusion of the central gland without extra-prostatic perfusion (Figure 9). Embolization was performed to stasis using 300-500 micron particles. Completion angiography demonstrated no further prostatic perfusion and preservation of more proximal cavernosal branches. The patient had an uneventful postoperative course, and by 1 month post PAE his IPSS/QoL was 3/0, respectively.
Discussion
Technical and clinical success during PAE is contingent upon a detailed understanding of prostatic vascular anatomy as well as organs at risk for nontarget embolization. Pelvic vascular anatomy is highly variable; in PAE specifically one can encounter complex branching patterns of the internal iliac artery, prostatic artery, as well as intraprostatic collaterals.9-11 Incomplete recognition and assessment of these variables can lead not only to clinical failures, but also adverse events. Ancillary tools and navigational software can therefore play a critical role in simplifying an otherwise complex procedure (Mouli Seminars). These tools facilitate identification of prostatic vessels as well as potential anastomoses, exceeding what is possible with DSA alone.6 Intraprocedural CTA and CBCT demonstrate significant value in these cases as they have the ability to detect vessels that would otherwise be beyond the resolution of conventional CT and MR angiography.6,12 This case illustrates the value of these tools to not only identify the vessel, but also aid in tool selection and vessel catheterization to ensure technical success.
Conclusion
Vascular anatomy encountered during PAE can be highly variable, especially in the case of repeat interventions. In this setting, the use of advanced navigational software can aid in vessel identification and catheterization, ensuring technical and clinical success.
REFERENCES
1. Pisco JM, Bilhim T, Costa NV, et al. Randomised clinical trial of prostatic artery embolisation versus a sham procedure for benign prostatic hyperplasia. Eur Urol. 2020;77(3):354-362.
2. Ray AF, Powell J, Speakman MJ, et al. Efficacy and safety of prostate artery embolization for benign prostatic hyperplasia: an observational study and propensity-matched comparison with transurethral resection of the prostate (the UK-ROPE study). BJU Int. 2018;122(2):270-282.
3. Knight GM, Talwar A, Salem R, Mouli S. Systematic review and meta-analysis comparing prostatic artery embolization to gold-standard transurethral resection of the prostate for benign prostatic hyperplasia. Cardiovasc Intervent Radiol. 2021;44(2):183-193.
4. Bilhim T, Pisco JM, Furtado A, et al. Prostatic arterial supply: demonstration by multirow detector angio CT and catheter angiography. Eur Radiol. 2011;21(5):1119-1126.
5. Bilhim T, Pisco JM, Rio Tinto H, et al. Prostatic arterial supply: anatomic and imaging findings relevant for selective arterial embolization. J Vasc Interv Radiol. 2012;23(11):1403-1415.
6. Wang MQ, Duan F, Yuan K, Zhang GD, Yan J, Wang Y. Benign prostatic hyperplasia: cone-beam CT in conjunction with DSA for identifying prostatic arterial anatomy. Radiology. 2017;282(1):271-280.
7. Bhatia S, Sinha V, Bordegaray M, Kably I, Harward S, Narayanan G. Role of coil embolization during prostatic artery embolization: incidence, indications, and safety profile. J Vasc Interv Radiol. 2017;28(5):656-664.e3.
8. Costa NV, Torres D, Pisco J, et al. Repeat prostatic artery embolization for patients with benign prostatic hyperplasia. J Vasc Interv Radiol. 2020;31(8):1272-1280.
9. de Assis AM, Moreira AM, de Paula Rodrigues VC, et al. Pelvic arterial anatomy relevant to prostatic artery embolisation and proposal for angiographic classification. Cardiovasc Intervent Radiol. 2015;38(4):855-861.
10. Garcia-Monaco R, Garategui L, Kizilevsky N, Peralta O, Rodriguez P, Palacios-Jaraquemada J. Human cadaveric specimen study of the prostatic arterial anatomy: implications for arterial embolization. J Vasc Interv Radiology. 2014;25(2):315-322.
11. Anract J, Amouyal G, Peyromaure M, Zerbib M, Sapoval M, Delongchamps NB. Study of the intra-prostatic arterial anatomy and implications for arterial embolization of benign prostatic hyperplasia. Prog Urol. 2019;29(5):263-269.
12. Schott P, Katoh M, Fischer N, Freyhardt P. Radiation dose in prostatic artery embolization using cone-beam CT and 3D roadmap software. J Vasc Interv Radiol. 2019;30(9):1452-1458.


