High-Output Heart Failure Caused by Femoral Arteriovenous Fistula 27 Years After Trauma
Abstract
Although traumatic arteriovenous fistula (AVF) is not an uncommon disease, it is very rare when found as high-output heart failure. An AVF between the medial femoral circumflex artery and the common femoral vein as a result of trauma has not previously been reported. Herein, we report a case of a 67-year-old woman who developed high-output heart failure due to an artery-venous fistula 27 years after trauma. The diagnosis was based on the data of the echocardiography and the CT angiography of the lower limbs. The patient was initially treated medically. But, as the situation did not change, a surgical disconnection of the fistula was undertaken with a spectacular clinical improvement postoperatively.
VASCULAR DISEASE MANAGEMENT 2021;18(4):E52-E55
Case Report
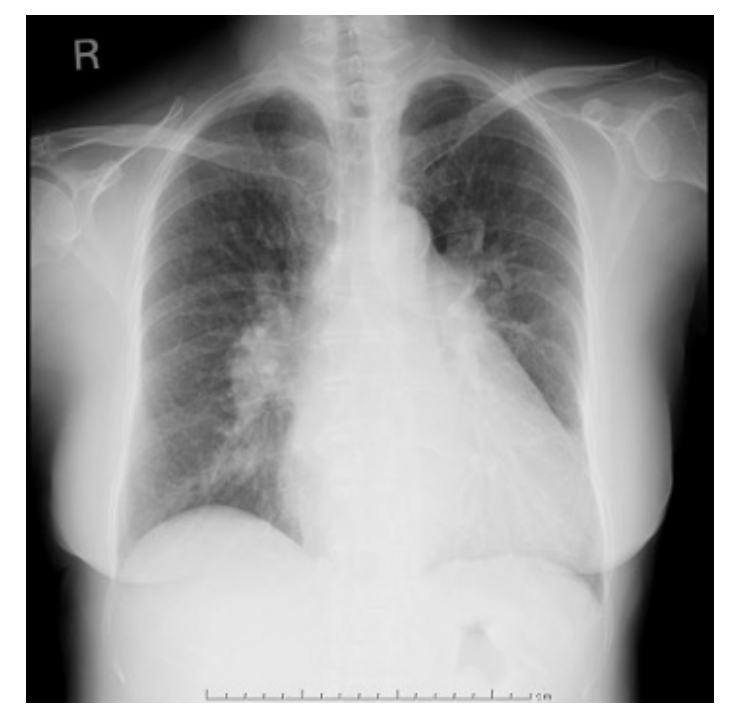
This patient was a 67-year-old woman who had been caught in a cultivator and had her right leg amputated in the 1980s. She had no medical history of congestive heart failure or shortness of breath. She was administered direct oral coagulant, a β-blocker, and a proton pump inhibitor because of chronic atrial fibrillation. Twenty-seven years after the accident, she presented to our hospital because of a swollen left leg and shortness of breath. Her blood pressure was 125/82 mmHg, heart rate was 100/min with atrial fibrillation, and saturation was 95% in room air. The results of a complete blood test as well as renal, liver, and thyroid function tests were all normal but the serum BNP level rose to 607.1 pg/mL. Chest radiography confirmed cardiac dilation, pulmonary congestion, and pleural effusion (Figure 1). She was given 20 mg/day furosemide to treat congestive heart failure. We confirmed a bruit at her left groin and pulsations in a lower leg vein. Transthoracic echo cardiography (TTE) showed an ejection fraction of 55%, her right ventricular pressure increased to 44 mmHg, and severe tricuspid valve regurgitation was detected. Vascular echo showed an arteriovenous fistula (AVF), shunt flow, and an expanded femoral vein (Figure 2). A computed tomography (CT) angiography was performed and revealed a left medial femoral circumflex artery (MFCA)–left common femoral vein (CFV) fistula (Figure 3).
Despite medication, her shortness of breath and swelling were not improved and, as such, closing the AVF was recommended.
Under general anesthesia, through an approximately 8 cm incision in the left inguinal region, the femoral artery and vein were exposed, the MFCA that connected the CFV was identified (Figure 4 and 5), and the fistula was closed with 5-0 Prolene sutures. After suturing, the thrill in the CFV disappeared. The surgery required no blood transfusion and took 1 h and 51 min.
On the eighth postoperative day, CT angiography confirmed no shunt flow in the left CFV and patency in the left superficial artery (SFA) and the deep femoral artery (DFA) (Figure 6). On the ninth postoperative day, TTE showed that the right ventricular pressure fell slightly to 35 mmHg and moderate tricuspid valve regurgitation and serum BNP dropped to 317.2 pg/mL. The patient was discharged on the 10th postoperative day without leg swelling or shortness of breath.
Discussion
Vascular traumas occur in 2 to 4% of traumatic AVFs.1,2 Almost all cases are penetrating traumas caused by gunshots, stab wounds, or blunt trauma. AVFs can be found on the head, neck, trunk, arms, and legs. More than half of AVFs are located on the arms and legs because the arteries and veins are close to each other and are easily connected by trauma.2 AVFs have a variety of clinical presentations, for example, vascular murmur, thrill, neurological symptom, swelling, and so on. Rich et al reported that 181 of 262 patients had AVF in the common femoral artery, and AVFs were identified in approximately half of these patients more than 1 month post injury.2 As spontaneous closure of AVFs is rare,3,4 almost all require surgical or endovascular therapy.
Holman (1962) reported four cases AVF with heart failure identified 15, 24, 25, and 26 years after trauma.5 If artery venous shunt flow by AVFs continues, the proximal flow volume in the artery and veins increases and the vessel diameter expands. This acts as a trigger that causes chronic volume load and results in high-output heart failure.6,7
The present patient experienced right leg amputation as a result of a cultivator accident, and the impact resulted in an AVF between the CFV and the MFCA. We believe that, although the AFV was initially tiny, the long-term shunt flow enlarged it and increased the flow volume, leading to high-output heart failure. We considered treating this AVF by catheter intervention or surgical treatment. The iliac artery was tortuous, however, and delivering the stent graft from the right common femoral artery to the left femoral artery would have been difficult and stenting should be avoided if possible, in the vascular portions subjected to very significant bending such as the common femoral artery because of the risk of crushing, although recently special stents particularly resistant to this type of bending have been developed. Another reason to avoid stenting into the common femoral artery is to preserve vascular access for future percutaneous or surgical (vascular or cardiac) procedures. If we concealed the common femoral artery with a covered stent, the deep femoral artery and other small arteries might be entrapped. As stent grafts rarely become infected, leaving nothing behind was considered the best choice,8 and we thus chose surgical treatment.
Although the MFCA usually arises from the deep femoral artery,9 in the present patient it arose directly from the common femoral artery (CFA) directly. Tomaszewski et al reported that 64.6% of MFCAs originated from the DFA whereas 32.2% of them originated from the CFA.10 Although an iatrogenic MFCA–CFV fistula caused by FV canulation was recently reported,11 an MFCA–CFV fistula formed by trauma has not been reported to date. CT angiography and vascular sonography can be very useful in the diagnosis of AVF and in the development of a treatment strategy.
Conclusion
We reported a case of high-output heart failure caused by a traumatic medial femoral artery–common femoral vein fistula approximately 27 years after the initial injury. Surgical treatment resolved the fistula and the patient made a complete recovery.
Disclosure: The authors have completed and returned the ICMJE Form for Disclosure of Potential Conflicts of Interest. The authors report no financial relationships or conflicts of interest regarding the content herein.
Address for Correspondence: Yuki Matsumoto, Division of Cardiology, Iwate Prefectural Kuji Hospital, 10-1 Asahichou, Kuji, Iwate 020-8040, Japan. Phone: 81-194-53-6131. Fax: 81-194-52-2601. E-mail: ma2pac625@gmail.com
REFERENCES
1. Robbs JV, Carrim AA, Kadwa AM, Mars M. Traumatic arteriovenous fistula: experience with 202 Patients. Surgery. 1994;81(9):1296-1299.
2. Rich NM, Hobson RW, Collins GJ. Traumatic arteriovenous fistulas and false aneurysms: a review of 558 lesions. Surgery. 1975;78(6):817-828.
3. Takaro T, Scott SM. Spontaneous closure of a traumatic arteriovenous fistula of seven years’ duration. Arch Surg. 1960;81:965-968.
4. Moriya M, Itokawa H, Fujimoto M, et al. Spontaneous closure of dural arteriovenous fistula after performing diagnostic angiography. No Shinkei Geka. 2007;35(1):65-70.
5. Holman E. Contributions to cardiovascular physiology gleaned from clinical and experimental observations of abnormal arteriovenous communications. J Cardiovasc Surg (Torino). 1962;3:48-63.
6. Yokota A, Nakamura E, Kojima K, Niina K, Hayase T. High-output heart failure resulting a traumatic superficial femoral arteriovenous fistula. Japanese Journal of Vascular Surgery. 2015;24(1):50-53.
7. Sata N, Hiramine K, Horinouchi T, et al. Progressive congestive heart failure due to common iliac arteriovenous fistula : a case report. J Cardiol. 2007;49(3):143-147.
8. Yamamoto Y, Uchiyama H, Onuki M. An unusual variational anatomy of the medial circumflex femoral artery: a case report of a post-catheterization femoral arteriovenous fistula. Cureus. 2020;12(1):e6734.
9. Gautier E, Ganz K, Krugel N, Gill T, Ganz R. Anatomy of the medial femoral circumflex artery and its surgical Implications. J Bone Joint Surg Br. 2000;82(5):679-683.
10. Tomaszewski KA, Henry BM, Vikse J, et al. The origin of the medial circumflex femoral artery: a meta-analysis and proposal of a new classification system. PeerJ. 2016;4:e1726.
11. Yamamoto Y, Igari K, Toyofuku T, Kudo T, Inoue Y. Late stent graft infection after the emergency endovascular repair of a secondary iliac artery-enteric fistula treated with graft removal and in situ aortic reconstruction using femoral veins. Ann Thorac Cardiovasc Surg. 2017;23(2):113-117.


