Coil Embolization for Complications Following PCI
André Alexandre, MD; Bruno Brochado, MD; Tiago Adrega, MD; João Silveira, MD; Severo Torres, MD
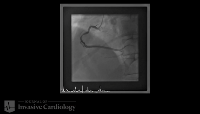
Video Supplement for Coil Embolization for Management of Brachiocephalic Artery Perforation and Mediastinal Hematoma Following Percutaneous Coronary Intervention by Alexandre, et al. (March 2023 Clinical Images)
A 65-year-old man who presented with lateral ST-segment-elevation myocardial infarction was referred for primary percutaneous coronary intervention. J-wire and 5.2-Fr JR4 diagnostic catheter progression through right radial artery access was hampered by radial artery spasm and subclavian artery tortuosity. Then, a hydrophilic-coated guidewire was used to assist catheter advancement into the aortic root. Coronary angiography revealed an acute occlusion of the first obtuse marginal artery, which was successfully revascularized with 2 consecutive drug-eluting stents.


