Quiz
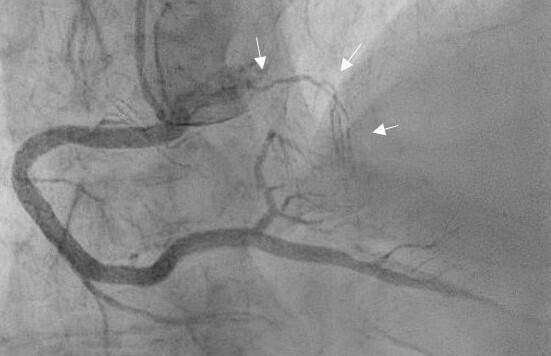
Test Your Knowledge: Identifying Unusual Coronary Anatomy
08/27/2025
© 2025 HMP Global. All Rights Reserved.
Any views and opinions expressed are those of the author(s) and/or participants and do not necessarily reflect the views, policy, or position of the Journal of Invasive Cardiology or HMP Global, their employees, and affiliates.


