Percutaneous Tricuspid Valve Regurgitation Repair With the MitraClip Device Using an Edge-to-Edge Bicuspidization Technique
Abstract: Patients who present with both severe mitral and tricuspid regurgitation who are symptomatic despite optimal medical therapy and at prohibitive risk for surgery pose a significant therapeutic challenge. The MitraClip device (Abbott Vascular) is approved for percutaneous mitral valve repair in high-risk and non-operative patients, and has also been used for tricuspid valve repair. Imaging support for percutaneous edge-to-edge tricuspid valve repair has not been reported and is a vital part of the procedure. Here, we present a periprocedural imaging strategy for percutaneous tricuspid valve repair with the MitraClip device using a bicuspidization technique.
J INVASIVE CARDIOL 2017;29(3):E30-E36.
Key words: mitral valve repair, tricuspid valve repair, edge-to-edge leaflet repair
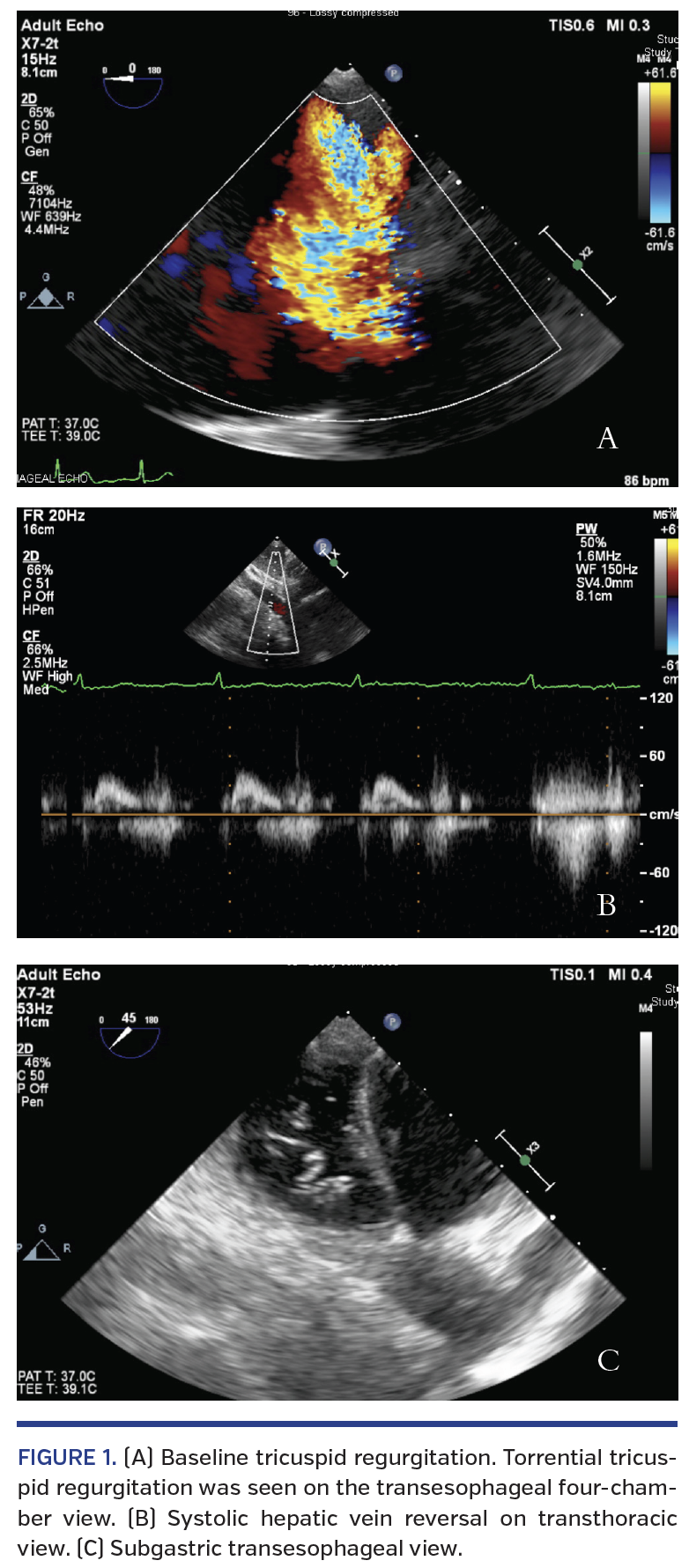
A 77-year-old female with severe symptomatic mitral and tricuspid regurgitation was referred for valve surgery. She had significant shortness of breath with New York Heart Association class IV symptoms, orthopnea, and persistent edema refractory to diuretic therapy. She was unwilling to perform a 6-minute walk test due to dyspnea and had additional history of breast cancer treated with a radical left mastectomy with radiation, cachexia (body mass index, 16.8 kg/m2), emphysema, atrial fibrillation, and frailty (5-meter walk test >5 seconds). Transthoracic echocardiography showed moderate aortic insufficiency, severe myxomatous mitral regurgitation with flail anterior leaflet and posterior jet, in addition to torrential tricuspid regurgitation (Figure 1). After extensive discussion among our institutional heart team, the patient was felt to be at prohibitive risk for surgery and a candidate for percutaneous transcatheter mitral valve repair. The patient was offered concomitant percutaneous tricuspid valve repair. After discussion of the risks and benefits with the patient and her family, she elected to undergo transcatheter repair for both mitral and tricuspid valve regurgitations.

The patient was intubated and sedated. A transesophageal echocardiographic (TEE) probe was inserted. After successful transseptal puncture, percutaneous mitral valve repair was performed with the MitraClip device (Abbott Vascular) using two clips, decreasing mitral regurgitation to mild with a resting mean mitral valve gradient of 5 mm Hg. The MitraClip delivery guide was withdrawn to the level of the right atrium.
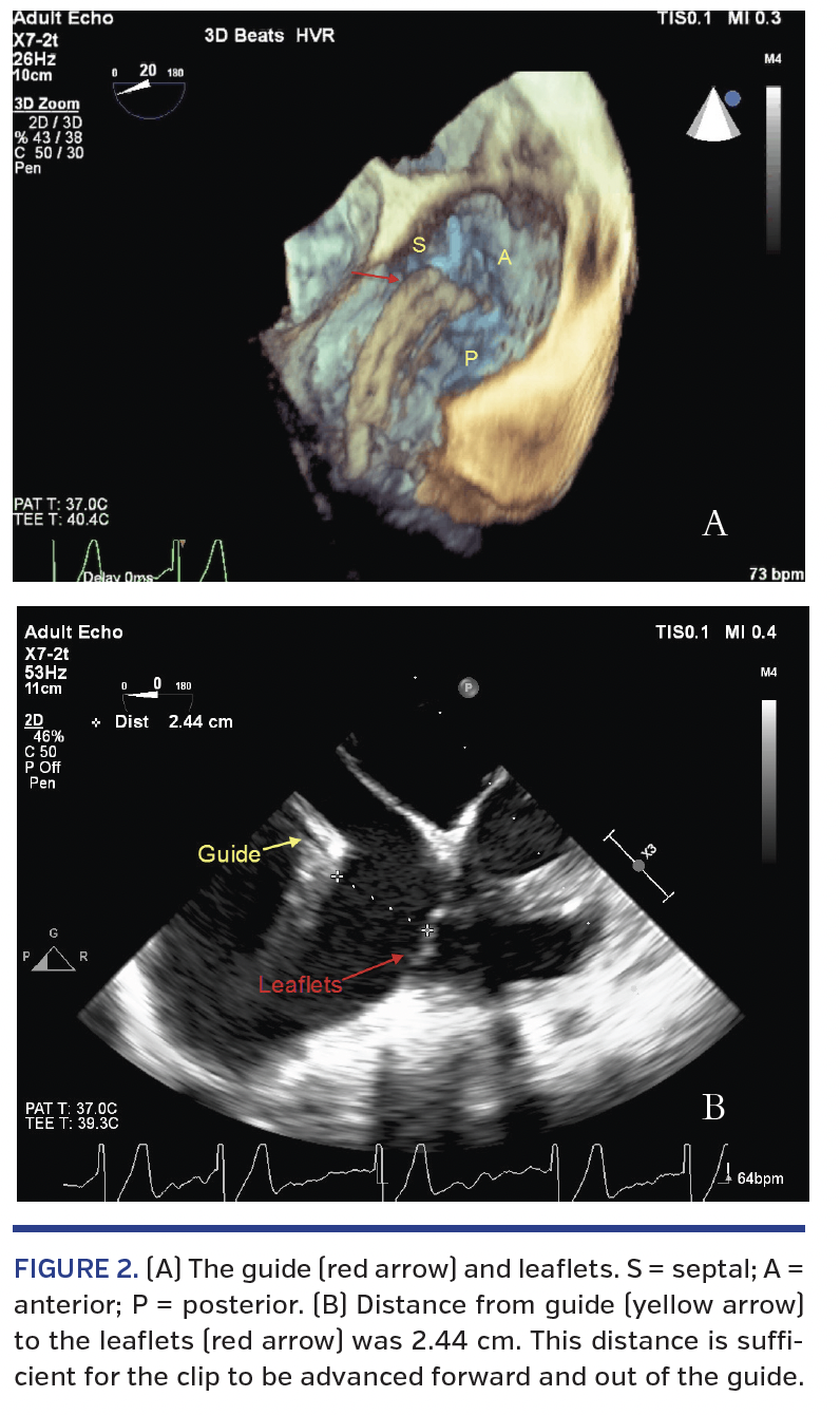
The guide was then positioned using a three-dimensional view from the right atrial perspective, followed by a four-chamber view to show distance from the leaflets (Figure 2). These views indicated there was enough space to advance a clip safely above the leaflets. A clip was then brought outside the guide and opened, followed by rotation to be perpendicular to the chosen coaptation plane (Figure 3). As our goal was to clip the tricuspid valve anterior-septal leaflet coaptation, the mid-esophageal four-chamber TEE view was used. We noted that the guide catheter elbow was abutting against the interatrial septum, termed “septal hugger,” which we corrected in order to make the clip approach perpendicular to the tricuspid valve leaflets (Figure 4). We used a combination of lateral movement of the guide, clockwise or counterclockwise guide catheter
rotation to translate anterior or posterior torque, and use of the device’s anterior-posterior (A/P) and +/- rotating knobs in order to achieve optimal clip position and coaxial approach to the intended valve coaptation plane. We then crossed the tricuspid valve leaflets, assessed again for clip perpendicularity in the TEE subgastric view, and grasped in the mid-esophageal four-chamber TEE view. Leaflet grasp was then evaluated and found to be adequate (Figure 4). As per the accepted standard operating procedures for MitraClip use, we also utilized adjunctive simultaneous fluoroscopy throughout the procedure to ensure appropriate gross directionality of the equipment and to visualize clip opening and closing during grasp preparation.



After placement of an initial “marker clip” to the anterior-septal leaflets (where the leaflets were approximated enough to grasp successfully), a second MitraClip was placed immediately adjacent to this, followed by a third clip immediately central to the previous two clips. Each clip view was obtained using the three aforementioned steps. Crossing of the leaflets for the second and third clips was done with the clips in a closed conformation in order to minimize interference with the antecedent clip. By using the marker clip as a set point, fluoroscopy assisted in guide positioning to the correct level. For the two subsequent clips, a combination of left anterior oblique (LAO) and anterior-posterior/right anterior oblique (AP-RAO) fluoroscopy was used as adjunctive imaging (Figure 5). In the LAO view, the clips can be seen end-on, whereas in the AP-RAO view, the clips can be seen from the side.

At the end of the procedure, there was almost full closure of the anterior-septal commissure; thus, bicuspidization of the tricuspid valve was achieved (Figure 6). There was still significant severe tricuspid regurgitation with systolic flow reversal in the hepatic veins. However, there was a reduction in the vena contracta from 1.68 cm to 0.94 cm in the four-chamber TEE view and from 2.1 cm to 0.7 cm in the right ventricular inflow TEE view. There was also a decrease in tricuspid valve area from 8.9 cm2 to 3.77 cm2. In addition, a reduction in tricuspid valve dimensions was seen.


The patient tolerated the procedure well. The evening of the procedure, the patient reported subjective improvement in dyspnea. She was placed on aspirin and clopidogrel; oral anticoagulation was not started due to advanced age. She was discharged on post-operative day 4. At 2-day follow-up, she had no peripheral edema and was able to walk 882 feet (269 m) in 6 minutes.
Discussion
Patients who present with both severe mitral and tricuspid regurgitation who are symptomatic despite optimal medical therapy and at prohibitive risk for surgery pose a significant therapeutic challenge.1 Severe tricuspid valve regurgitation is associated with significant mortality.2,3 Guidelines recommend tricuspid valve repair in patients with severe tricuspid regurgitation undergoing left-sided cardiac surgery, with primary tricuspid regurgitation with asymptomatic progressive right ventricular dysfunction or symptomatic tricuspid regurgitation with preserved right ventricular function and non-severe pulmonary hypertension.4 Isolated tricuspid surgery, however, accounts for only 20% of all tricuspid surgeries;5 most tricuspid surgeries occur in patients with left-sided cardiac disease. For patients with severe mitral valve disease undergoing surgery, treatment of severe tricuspid valve disease may often be warranted to decrease morbidity and mortality. The same principles may apply to patients with prohibitive surgical risk, whereby patients undergoing percutaneous mitral valve repair with the MitraClip device have an increased mortality if they have concomitant severe symptomatic tricuspid regurgitation.6 MitraClip does not improve tricuspid regurgitation in two-thirds of patients with concomitant severe functional tricuspid regurgitation.7
Percutaneous valve repair devices and techniques are being developed for the tricuspid valve, including coaptation devices, heterotopic caval valve implantation, and annuloplasty devices.8 Some of these techniques are based on surgical approaches, eg, the Mitralign technique (Mitralign), which mimics a Kay surgical procedure that “bicuspidizes” a tricuspid valve by plicating both the anterior and posterior tricuspid annuluses.8 The MitraClip device can also be used as an interventional edge-to-edge treatment in patients with severe tricuspid regurgitation,1 which has been performed via the transfemoral approach with atrial septal defect occlusion.9
In this paper, we describe a periprocedural imaging algorithm to facilitate grasping the leaflets of the tricuspid valve using a MitraClip device (Table 1). From an echocardiographic standpoint, the evaluation begins with three-dimensional TEE imaging to understand initial maneuvering to the correct leaflet pair and gross rotation for perpendicularity. The TEE transgastric view is then obtained to evaluate clip position along the commissural-central axis, with use of the “x-plane” to add to the ability to understand perpendicularity. After this, an appropriate two-dimensional view allows fine-tuning of rotation, including correction of a septal hugger guide catheter, as described above in Figure 4. Adjunctive fluoroscopic imaging can be used to show how subsequent clips can relate to the first marker clip location and position. The LAO and AP-RAO views show the clips in two different directions, which can facilitate guide positioning before clip advancement and provide assistance when TEE image acquisition is challenging.

Other imaging modalities, such as intracardiac echocardiography or transthoracic echocardiography, could be considered for these procedures. One of the challenges with three-dimensional TEE is the lower frame rate. Transthoracic echocardiography views are dependent on body habitus. Intracardiac echocardiography can be considered, but is user dependent and currently only limited three-dimensional imaging is available. Overall, the imaging protocol needs to be assessed for each patient; the best imaging modality is the one that provides the views that allow optimal visualization during the procedure and evaluation of the result.

Our patient experienced significant improvement in clinical symptoms and echocardiographic reduction in mitral and tricuspid regurgitations. The amount of reduction in regurgitation needed for symptomatic improvement of tricuspid insufficiency is controversial, with some data showing benefit for relative rather than absolute decrease. Significant technique and device refinements are necessary to achieve further improvement in tricuspid regurgitation in order to match the results of surgical repair. Our report endeavors to describe how periprocedural TEE and fluoroscopic imaging are performed for a transcatheter tricuspid valve repair when using the MitraClip device.
Case limitations. Our case illustrates a femoral approach to the anterior-septal leaflets; grasping other leaflets is dependent on maneuverability, which is difficult with the MitraClip system as the guide catheter has a large curve because it was designed for the transseptal approach to mitral valve repair. The Kay technique is described for anterior-posterior leaflets, as this is the region of the annulus that dilates. An internal jugular approach is feasible and could theoretically reach the other leaflets. This paper describes a version of “zipping-by-clipping”10 for bicuspidization; one could consider other models for leaflet-based tricuspid repair, eg, the “clover” technique.11 From an imaging perspective, not all patients have a body habitus that allows imaging from a TEE approach for all leaflet pairs. Overall, additional data and outcomes results of the use of the MitraClip device for tricuspid valve repair are needed before such a technique can be designated as an alternative technique for high-risk and non-operative patients.
Conclusion
Percutaneous tricuspid valve edge-to-edge repair is possible with the MitraClip device using an imaging protocol combining three-dimensional TEE, subgastric, four-chamber, reverse four-chamber views, and fluoroscopy. Further patient selection and result optimization may build on this initial imaging protocol foundation for long-term outcomes.
Acknowledgments. This project would not have been possible without the help of Zachary Newhart, Amanda Ray, Thearry Deap, Michelle Batjargal, Julia Antonyuk, Cale Peterson, Tina Azares, and members of our institutional echocardiography, cardiac catheterization laboratory, cardiac surgery, and structural heart teams.
References
1. Hammerstingl C, Schueler R, Malasa M, Werner N, Nickenig G. Transcatheter treatment of severe tricuspid regurgitation with the MitraClip system. Eur Heart J. 2016;37:849-853.
2. Topilsky Y, Nkomo VT, Vatury O, et al. Clinical outcome of isolated tricuspid regurgitation. JACC Cardiovasc Imaging. 2014;7:1185-1194.
3. Nath J, Foster E, Heidenreich PA. Impact of tricuspid regurgitation on long-term survival. J Am Coll Cardiol. 2004;43:405-409.
4. Nishimura RA, Otto CM, Bonow RO, et al. 2014 AHA/ACC guideline for the management of patients with valvular heart disease: executive summary: a report of the American College of Cardiology/American Heart Association Task Force on Practice Guidelines. J Am Coll Cardiol. 2014;63:2438-2488.
5. Vassileva CM, Shabosky J, Boley T, Markwell S, Hazelrigg S. Tricuspid valve surgery: the past 10 years from the Nationwide Inpatient Sample (NIS) database. J Thorac Cardiovasc Surg. 2012;143:1043-1049.
6. Puls M, Lubos E, Boekstegers P, et al. One-year outcomes and predictors of mortality after MitraClip therapy in contemporary clinical practice: results from the German transcatheter mitral valve interventions registry. Eur Heart J. 2016;37:703-712.
7. Frangieh AH, Gruner C, Mikulicic F, et al. Impact of percutaneous mitral valve repair using the MitraClip system on tricuspid regurgitation. EuroIntervention. 2016;11:E1680-E1686.
8. Rodes-Cabau J, Hahn RT, Latib A, et al. Transcatheter therapies for treating tricuspid regurgitation. J Am Coll Cardiol. 2016;67:1829-1845.
9. Kowalski M, Franz N, Ritter F, et al. Simultaneous transfemoral transcatheter mitral and tricuspid valve edge-to-edge repair (using MitraClip system) completed by atrial septal defect occlusion in a surgically inoperable patient. First-in-human report. Kardiochir Torakochirurgia Pol. 2015;12:295-297.
10. Kische S, Nienaber C, Ince H. Use of four MitraClip devices in a patient with ischemic cardiomyopathy and mitral regurgitation: “zipping by clipping.” Catheter Cardiovasc Interv. 2012;80:1007-1013.
11. Alfieri O, De Bonis M, Lapenna E, Agricola E, Quarti A, Maisano F. The “clover technique” as a novel approach for correction of post-traumatic tricuspid regurgitation. J Thorac Cardiovasc Surg. 2003;126:75-79.
From the 1Department of Cardiology, Swedish Heart and Vascular Institute, Swedish Medical Center, Seattle, WA; 2CardioVascular Center Frankfurt, Frankfurt, Germany; 3Department of Cardiac Surgery, Swedish Heart and Vascular Institute, Swedish Medical Center, Seattle, WA; and 4Physician Anesthesia Services, Seattle, WA.
Disclosure: The authors have completed and returned the ICMJE Form for Disclosure of Potential Conflicts of Interest. Dr Petersen reports grants from Abbott Vascular and St. Jude Medical. Dr Gafoor reports consultant fees from Abbott, Medtronic, Boston Scientific, and St. Jude Medical. The remaining authors report no conflicts of interest regarding the content herein.
Manuscript submitted August 17, 2016, provisional acceptance given October 3, 2016, final version accepted October 24, 2016.
Address for correspondence: Sameer Gafoor, MD, 550 E. 17th Ave, Suite #680, Seattle, WA, 98122. Email: sameergafoor@gmail.com


