Transcoronary Guidewire Ablation With Radiofrequency in a Porcine Animal Model
© 2024 HMP Global. All Rights Reserved.
Any views and opinions expressed are those of the author(s) and/or participants and do not necessarily reflect the views, policy, or position of the Journal of Invasive Cardiology or HMP Global, their employees, and affiliates.
Abstract
Objectives. Transcoronary ablation of septal hypertrophy (TASH) and surgical myectomy are the recommended treatment options for patients with hypertrophic obstructive cardiomyopathy refractory (HOCM) when conventional drug treatment is not sufficient. We describe the application of radiofrequency (RF) energy via coronary guidewires in an animal model for selective occlusion of coronary side branches that mimics the principle of TASH.
Methods. Transcoronary guidewire ablation of coronary vessels was performed in 5 adult pigs under general anesthesia in an animal cathlab after successful bench testing of the ablation settings. After assessing transcoronary pacing parameters, RF energy was delivered via coronary guidewires insulated by coating or by a monorail balloon and positioned in different coronary side branches. Occlusion or patency of the specific coronary side branch was documented by coronary angiography after RF delivery.
Results. After the transcoronary RF ablation, the intended occlusion of the coronary vessel (thrombolysis in myocardial infarction [TIMI]-0 or TIMI-1 flow) could be verified by angiography in 82% of the septal branches attempted and 79% of the epicardial branches. The mean ablation duration was 10.3 seconds at 20-W power with an initial impedance of 176 ± 31 Ώ. No unintended occlusion of the main vessels occurred in any case.
Conclusions. RF ablation via coronary guidewires is a feasible method for inducing an acute occlusion of coronary vessels and may change the interventional therapy of HOCM if the current limitations of this technique are overcome.
Introduction
Hypertrophic obstructive cardiomyopathy (HOCM) is one of the most prevalent congenital heart diseases, with a high incidence in the general population and an autosomal dominant inheritance pattern.1 This condition is characterized by an abnormal thickening of the myocardium of the left ventricle (LV), leading to detrimental symptoms due to obstruction of the left ventricular outflow tract (LVOT) or sudden cardiac death caused by ventricular arrhythmias.1 Current HOCM treatment typically involves conventional medical therapy with beta-blockers or non-dihydropyridine calcium channel blockers, alongside medication with a new cardiac myosin inhibitor to reduce the grade of obstruction.2-6 In cases with persisting symptoms despite medication, surgical myectomy or interventional transcoronary septal alcohol ablation (TASH) may be employed to eliminate or at least reduce the LVOT- obstruction.1,3
As the highest reduction of a given LVOT gradient is still being observed for invasive strategies,1 endovascular RF ablation of the septal branches of the hypertrophic septum is an entirely new treatment perspective for HOCM and has been reported recently in small studies. The results of these trials are promising, but also show that ablation is associated with certain risks.4,7 In addition, as the encouraging reports are based on small and inconsistent data, there is a lack of data on the efficacy and safety of endovascular ablation of the hypertrophic septal muscle.
In the present study, we describe the application of RF energy via coronary guidewires in a porcine animal model for selective occlusion of coronary side branches that mimics the established principle of TASH by occluding septal branches via alcohol injection.
Methods
In vitro model
Bench testing with Turkey meat bars (at about 100 x 20 x10 mm) was performed for evaluation of a suitable guidewire RF-ablation setup in vitro. The meat bar was put into a steel kidney basin filled with saline solution (Figure 1). A self-adhesive patch electrode (10 x 10 cm) was attached outside the kidney basin and connected to a Stockert RF generator (Biosense Webster), which served as the indifferent electrode for the RF-ablation circuit. The distal floppy end of a Galeo Pro guidewire (Biotronik) was placed without pressure on the meat bar totally covered by saline solution (Figure 1) so that the contact force of the guidewire to the tissue was mainly caused by gravity. The 4-mm tip of an AlCath RF catheter (Biotronic) was positioned in a separate water bath maintained at 37 °C, as was the proximal end of the guidewire. Both were connected via insertion into a 6-French (Fr) sheath in the opposite direction, providing sufficient contact of the guidewire to the distal tip of the RF catheter.
After connecting the RF catheter with the RF generator, the system impedance of the RF-ablation circuit was adjusted in a range of 50 to 250 Ώ (cut-off values of the RF generator) by adding either sodium chloride or water to the kidney basin with the tissue bar and the guidewire tip.
Three ablation settings were evaluated with respect to the lesion size: 20 W for 10 seconds, 20 W for 20 seconds, and 50 W for 5 seconds. Each setup was repeated 10 times with documentation of the impedance values and the lesion width.
In vivo model
Transcoronary guidewire ablation of coronary vessels was performed in 5 adult pigs in an animal catheterization laboratory, as described previously for transcoronary pacing.8-13 The study was approved by the local animal-based research authorities.
The animal was placed on the table of a monoplane catheter laboratory in the supine position. General anesthesia and mechanical ventilation were established. The skin of the back was prepared for the application of a self-adhesive skin patch electrode with a surface area of about 100 cm2, serving as an indifferent electrode for the RF ablation.
A 6-Fr sheath was introduced into the right carotid artery for coronary access, transcoronary pacing, and ablation, as well as continuous blood pressure monitoring. Another 6-Fr sheath was inserted into the internal jugular vein for transvenous pacing. A bipolar pacing lead was advanced into the right ventricular apex (as in the clinical setting of a TASH procedure, which is often associated with high degree atrioventricular [AV]-block) and subsequently connected to an external pacemaker (Figure 2).
Anticoagulation was established by unfractionated heparin (70 units/kg body weight) to avoid thrombus formation during the procedure. Angiography of both coronary arteries was accomplished using standard 6-Fr Judkins guiding catheters.
Transcoronary pacing. To validate good contact of the guidewire tip with the myocardium, transcoronary pacing was performed in a unipolar setting. A standard floppy-tip Galeo Pro guidewire insulated by a monorail balloon or a VisionWire guidewire (Biotronik) with electrical insulation by polytetrafluoroethylene (PTFE) coating—except for the distal end of the wire—was advanced in septal or epicardial coronary side branches. The proximal end of the guidewire was connected to the cathode of an external pacemaker. The ring electrode of the bipolar transvenous lead that was inserted into the right ventricular apex was connected to the anode of the device.
Transcoronary pacing parameters (threshold, impedance data, and the amplitude of the epicardial electrogram) were documented before and after the ablation procedure for each guidewire position.
Transcoronary RF ablation. The guidewire in the coronary vessel served as the different electrode with a low surface (just the tip of the guidewire) and consecutively high current density, leading to resistive heating of the tissue around the guidewire tip. The self-adhesive skin patch electrode at the back of the animal provided the indifferent reference electrode (large area, no heating).
The 4-mm tip of the AlCath RF catheter was positioned in a water bath (maintained at 37 °C) along with the proximal end of the guidewire (Figure 3), as described above in the in vitro section. The devices were connected to each other via insertion into a 6-Fr sheath in opposite directions, thus providing sufficient and stable contact of the guidewire to the distal tip of the RF catheter. Both the RF catheter and the patch electrode were connected to a Stockert RF generator.
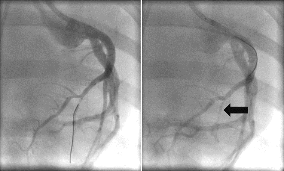
RF energy was delivered via the guidewire-tip at 20 W for a total of 20 seconds or until the generator stopped RF delivery automatically because of an increase in impedance. Occlusion or patency of the specific coronary branch was documented by coronary angiography after guidewire retraction into the main coronary vessel.
All animals were euthanized by inducing cardioplegia with intravenous injection of potassium chloride after the ablation procedure was completed. The hearts were explanted for visual inspection of the ablation lesion (epicardial side branches) and further morphological and histological evaluation. The hearts were rinsed from blood and stored in formaldehyde solution for further macroscopic and histological evaluation.
Statistical analysis
All variables are expressed as mean standard deviation. ANOVA was used for comparison of more than 2 groups, and calculations were made with Predictive Analysis Software (SPSS, Inc.).
Results
In vitro experiments
The lesions produced by the in vitro ablations with the guidewire are illustrated in Figure 4. Whereas the impedance in the in vitro experiments was between 50 to 60 Ώ without a significant difference between the 3 settings, the maximal lesion width at 2.5 mm could be achieved by delivering 20 W for 20 seconds (P < .05). The impedance data and lesions width for the 3 ablation setups tested are presented in Figure 5.

In vivo experiments
Twenty-six coronary side branch vessels were attempted for guidewire RF ablation: 12 septal (intramyocardial) branches and 9 diagonal or marginal (epicardial) branches of the left coronary system, and 5 epicardial side branches of the right coronary artery.
Transcoronary ablation. The mean ablation duration was 10.3 seconds at 20 W with an initial impedance of 176 ± 31 Ώ. After the transcoronary RF ablation, the intended occlusion of the coronary vessel (thrombolysis in myocardial infarction [TIMI]-0 or TIMI-1 flow) could be verified by angiography in 82% of the septal branches attempted and 79% of the epicardial branches (Figures 6 and 7). No unintended occlusions of the main vessel occurred in any case.
Surprisingly, there were no conduction disturbances (AV block) when ablating the septal branches. Ventricular fibrillation occurred in 20% of the RF deliveries in septal branches and 40% of the epicardial side branches, requiring external defibrillation for restoration of circulation. Only in 1 case did ventricular fibrillation occur at the first ablation in the specific animal; all other VF episodes occurred after 2 to 3 ablations in the same animal.
Transcoronary pacing before and after ablation. Transcoronary pacing thresholds obtained against the RV electrode were 2.1 ± 1.4 V with a mean pacing impedance of 417 ± 65 Ώ. The amplitude of the local electrogram derived from the guidewire-tip before the ablation was 5.9 ± 4.0 mV.
The same measurements could be completed after the ablation procedure in 15 vessels. As expected, the pacing thresholds after the ablation procedure were higher (4.1 ± 2.3 V, P < .05) with a mean pacing impedance of 389 ± 41 Ώ and a lower amplitude of the local electrogram at 4.9 ± 2.2 mV (P < .05).
Macroscopic evaluation. The fresh explanted hearts were inspected carefully, and no pericardial effusion could be observed at surgical explantation. In the case of ablation of epicardial side branches, the lesion around the vessels treated by RF ablation could be clearly identified (Figure 8), as it looked like the ablation lesions produced by the in vitro experiments. Of note, there were no macroscopic lesions in the main vessels.

Later macroscopic evaluation of the formaldehyde-rinsed swine hearts demonstrated circular ablation lesions of 2- to 3-mm diameter around the vessel exposed to RF energy in the dissected slices (Figure 8).
Histological evaluation. The histological examination after hematoxylin and eosin staining (Figure 9) showed subtle fibrinoid swellings in the extravasal tissue, which indicated incipient cell death. There were no neutrophil granulocytes in the staining for CD15, nor evidence of siderophages in the Prussian blue staining (which would indicate older bleeding residues).
Discussion
To our knowledge, this is the first animal study that delivered RF energy via coronary guidewires positioned into the septal and epicardial coronary arterial side branches with the purpose of occluding the specific coronary vessel. After the proof of principle by delivering RF energy via a coronary guidewire to muscle tissue within impedances compatible to a standard RF-ablation generator in vitro, this experimental setup was applied in an in vivo model.
There are 2 therapeutic effects of RF delivery in the septal coronary branches regarding its application for treatment of HOCM: first, a myocardial ablation lesion surrounds the attempted branch with an assumable, albeit little, reduction of contractility; second, a delayed further reduction of septal contractility occurs due to a local myocardial infarction induced by the occlusion of the septal branch, which is comparable to the established treatment concept of alcohol septal ablation.
Ablation parameters for guidewire ablation
In the in vitro section of our study, 3 different setups were evaluated with a sustainable lesion formation at 20 W for 20 seconds. This setup was used in the in vivo study with an 80% acute occlusion rate of the septal branches exposed to RF energy.
Xuan et al systematically evaluated the impact of several different guidewire ablation parameters for the lesion formation in vitro and applied them in vivo in the coronary venous system: power setting, length of guidewire tip exposed to the tissue, duration of RF delivery, and saline cooling.14 For maximum safety, especially to avoid steam pop, charring, and thrombus formation, they recommended using 20-mm tip guidewires and a power setting of 15 W in small vessels and 20 W in larger vessels with a duration of 50 to 70 seconds, and additional saline cooling at 2 mL per minute via microcatheters. The latter has been demonstrated in a study by Zuo et al; by cooling the saline via a microcatheter, more energy could be delivered without overheating. Furthermore, an initial impedance drop seems to be predictive for successful lesion formation.4 Unlike our study, they aimed to avoid the ablation of an acute vessel occlusion in the coronary artery4 or the coronary venous system.15
Transcoronary mapping and ablation via guidewire
While this novel guidewire-based mapping and ablation technique has been proven successful, it is not widely used and has been mostly reported in case reports. Segal et al first demonstrated the utility of guidewire mapping to guide ablation of ventricular tachycardias in humans in 2007.16 By insulating the guidewire with an uninflated angioplasty balloon in the coronary artery, they derived a unipolar local signal with the indifferent electrode in the inferior vena cava. In a 2014 study,17 our group used a specially coated VisionWire guidewire to map LV delay in a pacing-induced left bundle branch in an animal model that did not require further insulation of the guidewire by an angioplasty balloon.
The same insulated VisionWire guidewire was used by Briceño et al to investigate septal ventricular tachycardia via the coronary venous system.18 They describe a detailed activation mapping of selected septal branches by connecting the proximal tip of the coated guidewire to an alligator clip in a unipolar configuration and using a skin patch electrode as the reference electrode. By revealing low voltage, fractionated, and multicomponent electrograms in sinus rhythm transvenous guidewire mapping, the guidewire served to identify ablation targets and to guide endocardial ablation.
Further applications of the guidewire ablation approach in the coronary venous system for ablation of ventricular arrhythmias were reported by Efremedis et al.19 In all applications of the guidewire ablation technique, the authors reported the patency of the vessel used for RF delivery, mostly delivered in the coronary venous system, as well as the patency of the coronary arteries.
Vessel occlusion by RF delivery
Unlike the studies mentioned above, our group intended to occlude the coronary side branch by RF delivery. A total occlusion or a no-reflow could only be achieved in about 80% of the vessels attempted within 1 or 2 RF deliveries at a mean cumulative duration of 10.3 seconds. It is possible that a higher success rate could be achieved by cooling the guidewire by saline infusion via a microcatheter, as described by Xuan et al,14 allowing longer ablation durations. However, even in the standard TASH procedure, the occlusion rate of the septal branches treated with ethanol injection is not 100%. Furthermore, even if there is still a TIMI-1 flow, the acute myocardial necrosis induced by the RF delivery surrounding the vessel should impair a normal transfer of oxygen and substrates to the surrounding myocardium. The acute ablation lesions could be demonstrated in our series in the fresh explanted hearts during the macroscopic and histological evaluation after fixation.
Long-term results of guidewire RF-ablations were demonstrated by Zuo et al in a comparable swine model.4 The animals were treated with aspirin and clopidogrel and euthanized either 48 hours or 8 weeks after the ablation. The explanted hearts were investigated with respect to lesion size and histological findings after the ablation. After 48 hours, they described a coagulative necrosis with nuclear loss in the ablation lesion and myocardial edema at the edge of the lesion. After 8 weeks, the vascular bed was severely narrowed and obliterative—exactly that we intended by performing our guidewire ablation technique in the side branches that mimicked the TASH. These findings support the principle of guidewire ablation in septal coronary side branches as a treatment option for HOCM.
Limitations
Even if the reported periprocedural mortality and complications are rare in alcohol septal ablation procedures, the incidence of lethal ventricular arrhythmias is about 4%, especially in younger patients.20 In our in vivo study, unexpected ventricular fibrillation occurred in 20% of the ablations attempting septal branches and 40% of the epicardial side branches, whereas AV-conduction disturbances did not occur. Zuo et al reported only 1 case of ventricular fibrillation out of 8 animals and 10 target vessels attempted by RF ablation,4 which was far less frequently than in our study population. However, they performed only 1 or 2 ablations per animal and exclusively attempted septal branches. In our experimental series, only 1 case of ventricular fibrillation occurred at the first ablation; all other VF episodes occurred after 2 or 3 ablations.
Additionally, the porcine animal model is known to be vulnerable to induction of malignant ventricular arrhythmias;21 however, it should be reasonable to attempt 1 or 2 vessels in a single session if this method will be applied to humans. Ventricular fibrillation was not reported in any of the cases or small series in the current literature when delivering RF energy into the coronary venous system with documented patency of the epicardial coronary vessel near the ablation site. In our study, the occlusion of 2 or more different coronary branches would lead to more ischemic areas susceptible for ventricular fibrillation.
Another explanation for the high rate of VF could be a local overheating. As demonstrated by Xuan et al, cooling by saline infusion via a microcatheter could avoid local overheating with steam pop formation and thereby reduce the incidence of ventricular fibrillation.14
At its present stage, the technique of guidewire RF ablation is experimental. The safety of this approach must be increased before our in vitro and in vivo animal data can be validated in humans, even though there are some case reports with successful application of RF-energy via coronary guidewires. The principle of guidewire cooling via microcatheters seems to be a particularly promising technical consideration as it avoids local overheating, thrombus formation, or charring at the guidewire tip, and steam-pop formation. Ideally, a temperature sensor at the guidewire tip could increase the safety and efficacy of the procedure. Even though an acute total occlusion of the septal branch treated by RF will not occur, the macroscopic and histological data support the therapeutic principle of inducing myocardial necrosis in the hypertrophied septum in patients with HOCM. Unlike the novel treatment option with direct myosin inhibitors where there is global impairment of myocardial function, there is a specific local reduction of septal contractility.
Finally, the guidewire can be used for transcoronary pacing at acceptable pacing thresholds in the event of conduction abnormalities during an RF-TASH procedure, thereby avoiding the insertion of a transvenous lead in all patients. To increase the safety and efficacy of this new method, the following modifications of the ablation setup should be implemented in the next study protocol: (1) the guidewire should be cooled by saline infusion via microcatheters, which should allow longer RF application times and produce larger lesions surrounding the vessel; (2) the animals should be kept alive for at least 1 or 2 weeks after the ablation procedure, which will allow for follow-up angiography to document persistent vessel occlusion, as well as a histological evaluation of the ablation lesions surrounding the vessel and the extension of the myocardial infarction, depending on the vessel treated. To reduce the risk of VF, only 1 septal branch per animal should be attempted, which should be accompanied by the administration of an antiarrhythmic drug prior to the procedure.
Conclusions
Transcoronary RF ablation via coronary guidewires is a feasible method for inducing an acute occlusion of coronary side branches without affecting the main coronary vessel. Once the safety of this approach is proven and as long as insulated coronary guidewires (ideally tip coated by platinum/gold with an integrated tip temperature sensor) are available, this technique could become a treatment option in patients with HOCM that avoids the risks associated with ethanol injection.
Affiliations and Disclosures
Konstantin M. Heinroth, MD1; Daniel Hoyer, MD2; Dirk Mahnkopf, MD3; Florian Höpfner, MD1; Lisette Rothenbächer, PhD4; Daniel Sedding, MD2
From the 1Department of Medicine I, Martha-Maria Halle-Dölau, Halle, Germany; 2Department of Medicine III, Martin-Luther-University Halle-Wittenberg, Halle, Germany; 3IMTR GmbH Rottmersleben, Rottmersleben, Germany; 4Department of Pathology, Martha-Maria Halle-Dölau, Halle, Germany.
Acknowledgments: The authors wish to thank the colleagues of the IMTR GmbH Rottmersleben for their grateful support in performing this study.
Address for correspondence: Konstantin M. Heinroth, MD, Department of Medicine I, Martha-Maria Dölau, Halle, Germany. Email: kmheinroth@gmail.com
References
1. Bayonas-Ruiz A, Muñoz-Franco FM, Sabater-Molina M, Oliva-Sandoval MJ, Gimeno JR, Bonacasa B. Current therapies for hypertrophic cardiomyopathy: a systematic review and meta-analysis of the literature. ESC Heart Fail. 2023;10(1):8-23. doi:10.1002/ehf2.14142
2. Olivotto I, Oreziak A, Barriales-Villa R, et al; EXPLORER-HCM study investigators. Mavacamten for treatment of symptomatic obstructive hypertrophic cardiomyopathy (EXPLORER-HCM): a randomised, double-blind, placebo-controlled, phase 3 trial. Lancet. 2020;396(10253):759-769. doi:10.1016/S0140-6736(20)31792-X
3. Ommen SR, Mital S, Burke MA, et al. 2020 AHA/ACC guideline for the diagnosis and treatment of patients with hypertrophic cardiomyopathy: executive summary: a report of the American College of Cardiology/American Heart Association joint committee on clinical practice guidelines. J Am Coll Cardiol. 2020;76(25):3022-3055. doi:10.1016/j.jacc.2020.08.044
4. Zuo Z, Li S, Xuan F, et al. Effects of parameters on radiofrequency guidewire ablation: In vitro and in vivo experiments. J Cardiovasc Electrophysiol. 2023;34(12):2535-2544. doi:10.1111/jce.16066
5. Braunwald E, Saberi S, Abraham TP, Elliott PM, Olivotto I. Mavacamten: a first-in-class myosin inhibitor for obstructive hypertrophic cardiomyopathy. Eur Heart J. 2023;44(44):4622-4633. doi:10.1093/eurheartj/ehad637
6. Morelli C, Ingrasciotta G, Jacoby D, Masri A, Olivotto I. Sarcomere protein modulation: The new frontier in cardiovascular medicine and beyond. Eur J Intern Med. 2022;102:1-7. doi:10.1016/j.ejim.2022.04.020
7. Zhou M, Ta S, Hahn RT, et al Percutaneous intramyocardial septal radiofrequency ablation in patients with drug-refractory hypertrophic obstructive cardiomyopathy. JAMA Cardiol. 2022;7(5):529-538. doi:10.1001/jamacardio.2022.0259
8. Heinroth KM, Unverzagt S, Mahnkopf D, et al. Transcoronary pacing in an animal model: second coated guidewire versus cutaneous patch as indifferent electrodes. Med Klin Intensivmed Notfmed. 2022;117(3):227-234. doi:10.1007/s00063-021-00806-3
9. Heinroth KM, Unverzagt S, Mahnkopf D, Prondzinsky R. Transcoronary pacing : Reliability during myocardial ischemia and after implantation of a coronary stent. Med Klin Intensivmed Notfmed. 2020;115(2):120-124. doi:10.1007/s00063-018-0492-0
10. Heinroth KM, Unverzagt S, Mahnkopf D, Frantz S, Prondzinsky R. The double guidewire approach for transcoronary pacing in a porcine model. Med Klin Intensivmed Notfmed. 2017;112(7):622-628. doi:10.1007/s00063-016-0235-z
11. Heinroth KM, Unverzagt S, Buerke M, et al. Transcoronary pacing in a porcine model--impact of guidewire insulation. J Invasive Cardiol. 2011;23(3):108-114.
12. Heinroth KM, Carter JM, Buerke M, Mahnkopf D, Werdan K, Prondzinsky R. Optimizing of transcoronary pacing in a porcine model. J Invasive Cardiol. 2009;21(12):634-638.
13. Prondzinsky R, Unverzagt S, Carter JM, et al. A novel approach for transcoronary pacing in a porcine model. J Invasive Cardiol. 2012;24(9):451-455.
14. Xuan F, Zuo Z, Zhang J, et al. Guidewire ablation within the coronary venous system for epicardial or intramural ventricular arrhythmia: a preclinical study of biophysical characterization. Cardiol Res Pract. 2024;2024:4412758. doi:10.1155/2024/4412758
15. Xuan F, Liang M, Li S, Zuo Z, Han Y, Wang Z. Guidewire ablation of epicardial ventricular arrhythmia within the coronary venous system: a case report. HeartRhythm Case Rep. 2022;8(3):195-199. doi:10.1016/j.hrcr.2021.12.011
16. Segal OR, Wong T, Chow AWC, et al. Intra-coronary guidewire mapping-a novel technique to guide ablation of human ventricular tachycardia. J Interv Card Electrophysiol. 2007;18(2):143-154. doi:10.1007/s10840-007-9084-2
17. Heinroth KM, Unverzagt S, Mahnkopf D, et al. Transcoronary mapping of ventricular asynchrony due to left bundle branch block in a porcine model. J Invasive Cardiol. 2014;26(10):520-526.
18. Briceño DF, Enriquez A, Liang JJ, et al. Septal coronary venous mapping to guide substrate characterization and ablation of intramural septal ventricular arrhythmia. JACC Clin Electrophysiol. 2019;5(7):789-800. doi:10.1016/j.jacep.2019.04.011
19. Efremidis M, Vlachos K, Bazoukis G, et al. Novel technique targeting left ventricular summit premature ventricular contractions using radiofrequency ablation through a guidewire. HeartRhythm Case Rep. 2020;7(3):134-138. doi:10.1016/j.hrcr.2020.10.013
20. An S-y, Yang Y-j, Hang F, Wang Z-m, Fan C-m. Procedural complication and long term outcomes after alcohol septal ablation in patients with obstructive hypertrophic cardiomyopathy: data from China. Sci Rep. 2017;7(1):9506. doi:10.1038/s41598-017-10144-0
21. Walcott GP, Kroll MW, Ideker RE. Ventricular fibrillation: are swine a sensitive species? J Interv Card Electrophysiol. 2015;42(2):83-89. doi:10.1007/s10840-014-9964-1


