Protected Percutaneous Coronary Intervention of Unprotected Left Main Using Impella Ventricular Assist Device Before Transcatheter Aortic Valve Implantation: A Single-Center Experience
Abstract
Background. Transcatheter aortic valve implantation (TAVI) is nowadays the optimal therapeutic strategy in patients with severe aortic valve stenosis (AS). Consequently, percutaneous coronary intervention (PCI) of concomitant complex coronary artery disease (CAD) has increased in the last decade to optimize patients with severe AS before TAVI. Although the Impella ventricular assist device (Abiomed) was considered as a relative contraindication in patients with AS, its usage has demonstrated promising results in selected patients. Methods. All consecutive patients with severe AS who underwent staged approach with high-risk PCI of unprotected left main (ULM) using the Impella ventricular assist device before TAVI were retrospectively included. The primary endpoint was 30-day all-cause mortality, and secondary endpoints were peri-interventional mortality, vascular complication, and 30-day stroke rates. Due to the exploratory, observational intent of the study, no statistical analysis was performed. Results. Twenty-one consecutive patients (14 men; age, 80 ± 6 years; log EuroScore, 17 ± 7; SYNTAX score, 27 ± 10) were included. All patients (21/21) survived to 30-day follow-up exam. Three patients (14%) had PCI of ULM and TAVI at the same session. Eighteen patients (86%) underwent TAVI in a staged approach after previous PCI (10 ± 10 days). No patient suffered from stroke up to 30-day follow-up. One patient (5%) developed Valve Academic Research Consortium-2 major vascular complication after PCI. TAVI was successfully performed in all patients. Conclusion. Temporary hemodynamic support with the Impella device during staged approach with high-risk protected PCI appears to be safe and technically feasible in patients with severe AS before undergoing TAVI.
J INVASIVE CARDIOL 2022;34(3):E196-E201. Epub 2022 January 20.
Key words: aortic stenosis, protected PCI, transcatheter aortic valve implantation, unprotected left main, ventricular assist device
Introduction
Transcatheter aortic valve implantation (TAVI) has become the optimal therapeutic strategy for patients with severe aortic valve stenosis (AS).1-4 Coronary artery disease (CAD) coexists in 50% of patients with severe AS.5-7 The management of CAD in patients with severe AS who are candidates for TAVI is challenging due to many reasons regarding the safety and feasibility of percutaneous coronary intervention (PCI) in this population, timing of revascularization before, during, or after TAVI, and the need for complete revascularization.8-11 The current European Society of Cardiology and American College of Cardiology/American Heart Association guidelines recommend PCI in patients undergoing TAVI if there is >70% stenosis in the proximal coronary segments.12,13 Although a staged approach with PCI and TAVI in two separate sessions is the preferred approach in many cardiac centers, data about a staged approach with protected PCI using the Impella ventricular assist device (Abiomed) in this population are lacking.
The Impella device is a percutaneous transvalvular pump that directly aspirates blood from the left ventricle (LV) and expels it into the ascending aorta. Owning to this design, the Impella device effectively unloads the LV, thereby simultaneously stabilizing patient hemodynamics and augmenting cardiac output with up to 2.5 L/min (Impella 2.5) or 4.3 L/min of blood flow (Impella CP Smart Assist).
We evaluated the impact of temporary hemodynamic support using Impella 2.5 or Impella CP on clinical outcomes in patients with severe AS who underwent high-risk protected PCI of an unprotected left main (ULM) coronary artery before TAVI.
Methods
This is a single-center, retrospective, observational study. We included all consecutive patients with severe AS and concomitant complex ULM who required protected high-risk PCI using the Impella device before TAVI at our institution.
Study devices and procedure. All patients with symptomatic severe AS were routinely presented and discussed in the regular heart team meeting at our institution. The heart team consists of an interventional cardiologist, a clinical cardiologist, a cardiovascular surgeon, an imaging cardiologist, and an anesthesiologist. Medical records of all patients, including coronary angiography, transthoracic and transesophageal echocardiography, pulmonary function, duplex Doppler sonography of carotid arteries, logistic EuroScore, Society of Thoracic Surgeons (STS) score, and Katz index, were reviewed by the heart team. After the review meeting, the heart team visited the patients at bedside to discuss all therapeutic options.
Protected PCI. Protected PCI was performed by an interventional cardiologist. All patients received intravenous unfractionated heparin (100 IU/kg) to achieve an activated clotting time (ACT) between 250 and 350 seconds; ACT test was repeated at 30-minute intervals and heparin was added as needed to keep ACT within the target range. All patients were on dual-antiplatelet therapy. Access, technique, and strategy for PCI were left to the operator’s preference. Temporary hemodynamic support using the Impella device (2.5 or CP) was performed in all patients. After elective iliofemoral angiography, fluoroscopic guiding puncture of the left femoral artery was performed. A stiff wire was advanced over a pigtail diagnostic catheter into the abdominal aorta, and then a 13 Fr sheath (Impella 2.5) or 14 Fr sheath (Impella CP) was advanced over the stiff wire. Using Amplatz left 2 diagnostic catheters, the aortic valve orifice was crossed with an Amplatz straight wire, and the straight wire was then exchanged using a pigtail catheter, after which the Impella straight wire was advanced through the pigtail catheter. Finally, the Impella device was inserted into the left ventricle.
Weaning of the Impella device and management of Impella vascular access. The Impella device was routinely removed at the conclusion of protected PCI and closure of the large-caliber femoral arterial access was performed using multiple techniques. Femoral access closure technique was left to the operator’s preference.
TAVI. During the second session, the TAVI procedure was performed as described in previously published studies.1-4 Multiple types of aortic valve prostheses were used through multiple access sites.
Study endpoints and definitions. Baseline parameters, including risk factors, logistic EuroScore, STS score, Syntax score, and Katz index of independence in activities of daily living, as well as echocardiographic and hemodynamic parameters, were recorded. The primary endpoint was 30-day all-cause mortality, while secondary endpoints were periprocedural mortality, 30-day stroke rate, and access-site related vascular complications with respect to Valve Academic Research Consortium (VARC)-2 criteria.14 Periprocedural myocardial infarction was defined according to the third definition of universal myocardial infarction.15 Major bleeding was defined according to the Bleeding Academic Research Consortium (BARC) criteria.16 Due to the exploratory, observational intent of the study, no statistical analysis was performed.
Results
In this study, we retrospectively included 21 consecutive patients (mean age, 80 ± 6 years; 14 men and 7 women) who underwent protected PCI of ULM using temporary mechanical circulatory support and TAVI at our institute.
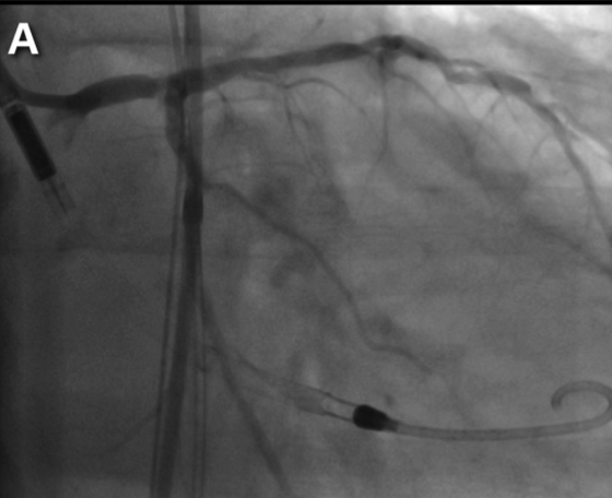
Protected PCI. The Impella 2.5 device was used in 18 of the 21 patients (85%), while an Impella CP was used in 3 patients (15%). Insertion of the Impella device was successful in all patients (100%) without the need for aortic valvuloplasty. All patients had severe left main stenosis; 2 patients (10%) had proximal left main stenosis and 19 patients (90%) had distal left main stenosis. Bifurcation stenting was performed with different techniques (5 with mini-crush technique, 1 with double-kissing crush technique, 11 with provisional technique, and 1 with V-stent technique). Two patients required rotational atherectomy due to severely calcified lesions (Figure 1).
In all patients, the Impella device was inserted electively before PCI and the Impella device was removed directly after protected PCI. To achieve hemostasis after removal of the Impella device, femoral access closure was performed using the Manta vascular closure device (Essential Medical) in 11 patients, the Prostar vascular closure device (Abbott Vascular) in 2 patients, the PerQseal vascular closure device (Vivasure Medical) in 3 patients, and manual compression in 4 patients. One patient developed a VARC-2 vascular complication after closure in the form of a critical limb ischemia by occlusion of the femoral artery after using a vascular occlusion device (PerQseal) and required emergent vascular surgical repair. Table 1 further depicts baseline demographics, echocardiographic findings, and clinical outcomes after high-risk protected PCI.
TAVI. TAVI was performed in 3 patients (14%) in the same session after high-risk PCI of the ULM, and in 18 patients (86%) in a second session. TAVI was performed through transapical access in 2 patients and through femoral access in 19 patients. Femoral access closure was performed using a Manta device in 7 patients and a Prostar XL vascular closing device in 12 patients. Of these, 1 patient developed a VARC-2 minor vascular complication (a retroperitoneal bleeding due to failure of a vascular occlusion device). Immediate hemostasis was achieved after implantation of a covered stent.
In 2 patients, due to severe peripheral artery disease, the left femoral artery was the only remaining vascular access to deliver the Impella device in the first session, and thus the same femoral vascular access was used in the second session (proximal to the initial puncture site) for TAVI. The Manta device was successfully used to close the left femoral access after Impella, and after 1 week the same femoral access was used for delivery of the aortic prosthesis and closure of left femoral access was successfully performed with a second Manta device in an off-label use. The radiopaque marker of the first Manta device was used to guide the following puncture of the femoral artery for TAVI (Figure 2). Thirty-day mortality, stroke, and myocardial infarction were not observed after TAVI. One access-related VARC-2 minor vascular complication occurred after TAVI.
Table 2 depicts baseline demographic, clinical, and procedure characteristics, as well as clinical outcomes after TAVI.
Discussion
This study evaluates the impact of temporary mechanical circulatory support using the Impella ventricular assist device during staged approach for high-risk PCI of ULM before TAVI on 30-day clinical outcome. In this setting, the insertion of Impella device during staged, high-risk PCI in patients with severe AS was technically feasible, safe, and effective.
The American Heart Association guidelines on myocardial revascularization suggest that hemodynamic support via the Impella device may be considered in patients undergoing high-risk PCI.17 Patients with severe AS were excluded from all studies involving Impella catheter systems due to the hypothesis that the body of the Impella device may either dramatically reduce the effective aortic valve orifice area or induce/aggravate aortic valve regurgitation. However, patients with severe AS often present in borderline hemodynamic status, where a light strain during PCI may lead to acute heart failure with poor clinical outcome.18,19 Several case reports and case series described the usefulness of Impella 2.5 and CP devices in patients with severe aortic valve stenosis and concomitant severe coronary artery lesion.20-23
In a case series of 7 patients, Quintero et al demonstrated the successful use of an Impella device to facilitate high-risk PCI after balloon aortic valvuloplasty (BAV) in patients with severe AS and concomitant severe left main stenosis as bridging to TAVI. All cases were successful and no periprocedural complications were observed.24 In our study, 21 patients with severe AS and severe left main stenosis were treated with staged high-risk PCI using Impella devices, with VARC-2 major vascular complications in only 5%. The insertion of the Impella device was successful in all cases without BAV.
In another case series of 5 patients, Spiro et al demonstrated the efficacy and safety of the Impella device in patients with severe AS who underwent high-risk PCI. All procedures were successful, with no arrhythmia, hypotension, stroke, or myocardial infarction. One patient died within 48 hours of the procedure. Four patients required the balloon-assist technique to insert the Impella device through the stenotic aortic valve.25 In the present study, another technique to facilitate the insertion of the Impella device through the stenotic aortic valve was not needed.
In a retrospective analysis, Martinez et al reported the efficacy and feasibility of the Impella 2.5 device in 21 patients with severe AS (3 patients treated with high-risk PCI, 8 patients treated with BAV and subsequent PCI, 7 patients with BAV alone, during cardiac arrest after BAV). The placement of the Impella device was technically feasible in all patients and did not lead to hemodynamic instability. Periprocedural complications occurred in 19% of patients and 30-day mortality rate was 14%.26 Specifically, 30-day mortality in patients undergoing high-risk PCI was 0%, which is consistent with the results of the present study. More recently, Briguori et al showed that using the Impella 2.5 for high-risk PCI in 10 patients suffering from acute coronary syndrome and severe AS was successful in all cases, without any periprocedural complications.27 Our analysis showed similar good results in terms of absence of acute coronary syndromes in all patients.
To the best of our knowledge, the present study of 21 patients with severe AS who underwent staged approach with protected high-risk PCI of the ULM using the Impella device before TAVI is the largest series to date and extends the knowledge beyond the above-mentioned case reports and series.
Study limitations. This study suffers from the usual shortcomings of a single-center observational trial. Furthermore, the indication for protected PCI using the Impella device and the stent implantation technique were at the discretion of the treating cardiovascular interventionalist. Although our study reported only a small number of patients, it is to our knowledge the largest consecutive cohort of patients who underwent staged approach with high-risk protected PCI of ULM using the Impella device before TAVI and may spark a hypothesis-generating process. Larger clinical studies are needed to assess the clinical benefit of this staged approach with protected high-risk PCI of ULM in patients with severe AS as a bridge to TAVI.
Conclusion
Staged approach protected high-risk PCI of ULM using Impella device appears to be a feasible strategy for patients with severe AS before undergoing TAVI.
Affiliations and Disclosures
From the Department of Cardiology, Angiology and Intensive Care, University Hospital RWTH Aachen, Germany.
Disclosure: The authors have completed and returned the ICMJE Form for Disclosure of Potential Conflicts of Interest. The authors report no conflicts of interest regarding the content herein.
Manuscript accepted April 28, 2021.
The authors report patient consent for the images used herein.
Address for correspondence: Mohammad Almalla, MD, FESC, Medical Clinic I, University Hospital RWTH Aachen, Pauwelsstrasse 30, 52074 Aachen, Germany. Email: malmalla@ukaachen.de
Related Articles
- A Comparison of In-Hospital Outcomes Between the Use of Impella and IABP in Acute Myocardial Infarction Cardiogenic Shock Undergoing Percutaneous Coronary Intervention
- The Single-Access Technique for Impella-Protected Percutaneous Coronary Intervention: A Single-Center Experience
- Impella CP Dislodgment, Swap, or Removal: Current Practices
- Outcomes of Hemodynamic Support With Impella for Acute Myocardial Infarction Complicated by Cardiogenic Shock at a Rural Community Hospital Without On-Site Surgical Back-up
- Percutaneous Biventricular Mechanical Circulatory Support With Impella CP and Protek Duo Plus TandemHeart
References
1. Mack MJ, Leon MB, Thourani VH, et al. Transcatheter aortic-valve replacement with a balloon-expandable valve in low-risk patients. N Engl J Med. 2019;380(18):1695-1705.
2. Leon MB, Smith CR, Mack M, et al. Transcatheter aortic-valve implantation for aortic stenosis in patients who cannot undergo surgery. N Engl J Med. 2010;363(17):1597-1607.
3. Leon MB, Smith CR, Mack MJ, et al. Transcatheter or surgical aortic-valve replacement in intermediate-risk patients. N Engl J Med. 2016;374(17):1609-1620.
4. Popma JJ, Deeb GM, Yakubov SJ, et al. Transcatheter aortic-valve replacement with a self-expanding valve in low-risk patients. N Engl J Med. 2019;380(18):1706-1715.
5. Thomas M, Schymik G, Walther T et al. One-year outcomes of cohort 1 in the Edwards SAPIEN aortic bioprosthesis European outcome (SOURCE) registry: the European registry of transcatheter aortic-valve implantation using the Edwards SAPIEN valve. Circulation. 2011;124(4):425-433.
6. Gilard M, Eltchaninoff H, Iung B, et al. Registry of transcatheter aortic-valve implantation in high-risk patients. N Engl J Med. 2012;366(18):1705-1715.
7. Abdel-Wahab M, Zahn R, Horack M et al. Transcatheter aortic valve implantation in patients with and without concomitant coronary artery disease: comparison of characteristics and early outcome in the German multicenter TAVI registry. Clin Res Cardiol. 2012;101(12):973-981.
8. Goel SS, Agarwal S, Tuzcu EM, et al. Percutaneous coronary intervention in patients with severe aortic stenosis: implications for transcatheter aortic valve replacement. Circulation. 2012;125(8):1005-1013.
9. Paradis JM, Fried J, Nazif T, et al. Aortic stenosis and coronary artery disease: what do we know? What don't we know? A comprehensive review of the literature with proposed treatment algorithms. Eur Heart J. 2014;35(31):2069-2082.
10. Cao D, Chiarito M, Pagnotta P, Reimers B, Stefanini GG. Coronary revascularisation in transcatheter aortic-valve implantation candidates: why, who, when? Interv Cardiol. 2018;13(2):69-76.
11. Schymik G, Lefèvre T, Bartorelli AL, et al. European experience with the second-generation Edwards SAPIEN XT transcatheter heart valve in patients with severe aortic stenosis. JACC Cardiovasc Interv. 2015;8(5):657-669.
12. Sousa-Uva M, Neumann FJ, Ahlsson A, et al. 2018 ESC/EACTS guidelines on myocardial revascularization. Eur J Cardiothorac Surg. 2019;55(1):4-90.
13. Fihn SD, Blankenship JC, Alexander KP, et al. 2014 ACC/AHA/AATS/PCNA/SCAI/STS focused update of the guideline for the diagnosis and management of patients with stable ischemic heart disease. J Am Coll Cardiol. 2014;64(18):1929-1949.
14. Kappetein AP, Head SJ, Généreux P, et al. Updated standardized endpoint definitions for transcatheter aortic valve implantation: the Valve Academic Research Consortium-2 consensus document. J Thorac Cardiovasc Surg. 2013;145(1):6-23.
15. Thygesen K, Alpert JS, Jaffe AS, et al. Third universal definition of myocardial infarction. Circulation. 2012;126(16):2020-2035.
16. Mehran R, Rao SV, Bhatt DL, et al. Standardized bleeding definitions for cardiovascular clinical trials: a consensus report from the Bleeding Academic Research Consortium. Circulation. 2011;123(23):2736-2747.
17. Rihal CS, Naidu SS, Givertz MM, et al. 2015 SCAI/ACC/HFSA/STS clinical expert consensus statement on the use of percutaneous mechanical circulatory support devices in cardiovascular care: endorsed by the American Heart Association, the Cardiological Society of India, and Sociedad Latino Americana de Cardiologia Intervencion; Affirmation of Value by the Canadian Association of Interventional Cardiology-Association Canadienne de Cardiologie d'intervention. J Am Coll Cardiol. 2015;65(19):e7-e26.
18. Singh Rao R, Shapiro RL, Lasala JM. No reflow leading to catastrophic hemodynamic collapse in a patient with severe aortic stenosis and its management. Catheter Cardiovasc Interv. 2016;87(5):983-988.
19. Singh V, Mendirichaga R, Inglessis-Azuaje I, Palacios IF, O'Neill WW. The role of Impella for hemodynamic support in patients with aortic stenosis. Curr Treat Options Cardiovasc Med. 2018;20(6):44.
20. Singh V, Yadav PK, Eng MH, et al. Outcomes of hemodynamic support with Impella in very high-risk patients undergoing balloon aortic valvuloplasty: results from the Global cVAD registry. Int J Cardiol. 2017;240:120-125. Epub 2017 Mar 22.
21. Singh V, Yarkoni A, Gallegos C, O'Neill WW. Impella-assisted balloon aortic valvuloplasty as a bridge to transcatheter aortic valve replacement: non-contrast approach. J Heart Valve Dis. 2015;24(2):177-180.
22. Almalla M, Kersten A, Altiok E, Marx N, Schröder JW. Hemodynamic support with Impella ventricular assist device in patients undergoing TAVI: a single center experience. Catheter Cardiovasc Interv. 2020;95(3):357-362.
23. Harjai KJ, O'Neill WW. Hemodynamic support using the Impella 2.5 catheter system during high-risk percutaneous coronary intervention in a patient with severe aortic stenosis. J Interv Cardiol. 2010;23(1):66-69.
24. Diaz Quintero L, Gajo E, Guerrero M, Feldman T, Levisay J. Balloon aortic valvuloplasty followed by Impella®-assisted left main coronary artery percutaneous coronary intervention in patients with severe aortic stenosis as a bridge to transcatheter aortic valve replacement. Cardiovasc Revasc Med. 2021;22:16-21. Epub 2020 Jun 3.
25. Spiro J, Venugopal V, Raja Y, Ludman PF, Townend JN, Doshi SN. Feasibility and efficacy of the 2.5 L and 3.8 L Impella percutaneous left ventricular support device during high-risk, percutaneous coronary intervention in patients with severe aortic stenosis. Catheter Cardiovasc Interv. 2015;85(6):981-989. Epub 2014 Jan 31.
26. Martinez CA, Singh V, Londoño JC, et al. Percutaneous retrograde left ventricular assist support for interventions in patients with aortic stenosis and left ventricular dysfunction. Catheter Cardiovasc Interv. 2012;80(7):1201-1209. Epub 2012 Apr 17.
27. Briguori C, Focaccio A, D'Amore C, Selvetella L, Lonobile T. Elective mechanical circulatory support in the percutaneous treatment of patients with combined complex coronary artery disease and severe aortic valve stenosis. J Invasive Cardiol. 2019;31(3):52-56.


