Outcomes of a Transapical Edge-to-Edge Repair System in Secondary Mitral Regurgitation
© 2025 HMP Global. All Rights Reserved.
Any views and opinions expressed are those of the author(s) and/or participants and do not necessarily reflect the views, policy, or position of the Journal of Invasive Cardiology or HMP Global, their employees, and affiliates.
Abstract
Objectives: The ValveClamp system (Hanyu Medical Technology) is a novel transcatheter edge-to-edge repair (TEER) system designed for ease of operation; however, there is a lack of data on its application in secondary mitral regurgitation (SMR). The authors report the mid-term outcomes of TEER using the ValveClamp system in SMR.
Methods: The study prospectively analyzed consecutive severe SMR patients who underwent transapical ValveClamp implantation at 10 Chinese centers. The enrolled patients were categorized into atrial SMR (aSMR) and ventricular SMR (vSMR) groups. Clinical and echocardiographic outcomes were evaluated at baseline and at follow-up.
Results: A total of 19 aSMR and 24 vSMR patients were enrolled. Technical success was achieved in 100% of the patients and the overall 30-day device success rate was 88.37%. At 1 year, sustained MR reduction to less than or equal to 1+ was achieved in 76.47% of aSMR cases and 77.27% of vSMR cases, and positive reverse left cardiac remodeling was observed. The estimated overall 1-year survival and HF rehospitalization rates for aSMR and vSMR were 83.33% and 83.59%, respectively (log rank P = .98), and improvement of New York Heart Association functional class and Kansas City Cardiomyopathy Questionnaire score were observed in both groups. In multivariable logistic analysis, a lower leaflet-to-annulus index (LAI) (odds ratio [OR], 0.021; 95% CI, 0.001-0.042; P = .02) and a narrow MR jet type (OR, 12.029; 95% CI, 1.530-94.592-0.990; P = .02) were independently associated with a higher incidence of a residual MR of at least 2+ at 3 months after TEER.
Conclusions: TEER using the ValveClamp system is a safe and feasible therapeutic option for patients with SMR regardless of MR etiology. A lower LAI and a narrow MR jet type were independent predictors of residual MR at follow-up.
Introduction
Mitral regurgitation (MR) is widely acknowledged as the most common type of moderate-to-severe valvular heart disease. Secondary mitral regurgitation (SMR), a subgroup that refers to the failure of mitral leaflet coaptation with a structurally normal valve, accounts for 65% of all MR cases and has a worse prognosis, with a 5-year survival rate of 46% to 50%.1 Given the difference in the underlying cardiac remodeling, recent studies have further distinguished a predominantly atrial origin of SMR (aSMR) from the primary ventricular cause.2
Currently, international guidelines indicate that surgical mitral intervention is reasonable for SMR patients undergoing coronary artery bypass grafting (CABG), and a Class IIb recommendation has also been indicated for symptomatic patients despite standard heart failure therapy.3 Observational studies demonstrate comparable clinical and hemodynamic outcomes following surgical treatment between aSMR and ventricular SMR (vSMR);4,5 however, there is still no evidence that surgical repair may be attributed to prolonged survival in either etiology,6 and high perioperative mortality risks ranging from 3% to 18% have been documented.6-8
Transcatheter edge-to-edge repair (TEER) has evolved rapidly in the past decade and has emerged as a promising alternative option for treating patients with symptomatic SMR.9,10 Recent observational studies comparing the efficacy and safety of TEER between different SMR phenotypes showed that there were similar outcomes of sustained MR reduction and clinical benefits in both aSMR and vSMR cases.11-13 Moreover, both cohorts reported significantly reduced perioperative mortality rates, ranging from 2% to 5%.14
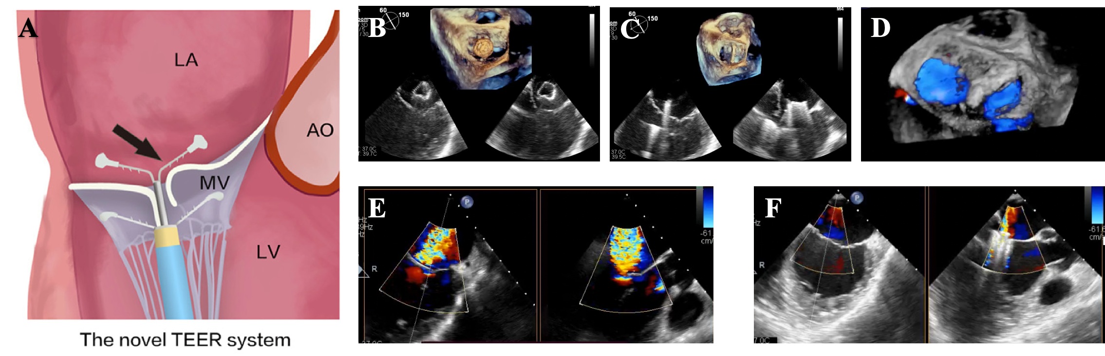
The ValveClamp system (Hanyu Medical Technology) is a newly developed transapical system that facilitates TEER through a simplified procedure and the use of wider clip arms (Supplemental Figure 1). Our team previously reported our preliminary single-center experience with the ValveClamp system in a series of SMR patients with short-term follow-up data.15 Here, we report the mid-term outcomes following TEER using the ValveClamp system from a multi-center database of patients with both aSMR and vSMR, and further evaluated the predictors of a residual MR of at least 2+.
Methods
Study design
We prospectively analyzed the clinical and echocardiographic data of a cohort of consecutive patients who were screened for severe SMR and indicated for TEER using the transapical ValveClamp system at 10 centers in China between March 2021 and May 2023. The main exclusion criteria were primary MR, severe mitral calcification, endocarditis, rheumatic mitral valve disease, a combination of other severe valvular heart diseases, or coronary stenosis requiring intervention. TEER using the ValveClamp system was performed under general anesthesia and transesophageal echocardiographic guidance, as previously described16,17(Videos 1-5).
The study was approved by the medical ethics committee of each institution and was conducted according to the principles of the Declaration of Helsinki. Written informed consent for TEER and anonymous clinical, procedural, and follow-up data were obtained from each enrolled patient.
Data collection and endpoint definition
The primary study endpoint was a composite endpoint of all-cause mortality or hospitalization for heart failure (HF) at 1 year. Technical success, device success, and specific periprocedural complication rates were reported according to the Mitral Valve Academic Research Consortium (MVARC) criteria.18 Residual MR severity following TEER was obtained at the 3-month follow-up.
Echocardiographic assessment
All images of transthoracic echocardiography (TTE) and transesophageal echocardiography (TEE) were evaluated by the independent core laboratory at Zhongshan Hospital. For patient screening, echocardiographic follow-up assessments were performed by experienced physicians at each study site according to the American Society of Echocardiography guidelines.19 Standard 2-dimensional (2D) TTE was used to analyze the cardiac chamber size and function. MR severity was evaluated according to a 5-class grading scheme: none or trace (0), mild (1+), moderate (2+), moderate-to-severe (3+), and severe (4+), in accordance with current guidelines.20
In terms of SMR etiology, patients were further divided into aSMR, vSMR, and mixed MR. aSMR was defined as cases meeting the following criteria: (1) a preserved left ventricular systolic function (LVEF) (≥ 50%) without regional wall motion abnormality; (2) none or mild LV dilation (LV end-diastolic diameter [LVEDD] ≤ 60 mm); and (3) a previous history of atrial fibrillation. vSMR was determined if either a reduced LVEF (< 50%) or a significantly enlarged LVEDD (> 60 mm) was observed. Patients with both structural and functional deformations of the left atrium and ventricle were classified as having mixed MR and were subsequently excluded from the analysis.
The leaflet-to-annulus index (LAI) was defined as the ratio of the sum of the anterior leaflet length (AML) and the posterior leaflet length (PML) to the anteroposterior annular length (AP): LAI = (AML + PML)/AP. Multiple reconstruction planes were obtained from the 3-dimensional (3D) image. After recognizing the appropriate A2 and P2 segments, LAI was assessed individually in the mid-esophageal long-axis view during the mid-systolic phase.
After an in-depth echocardiography review, the mitral regurgitant jets were further divided into central, marginal, or narrow subtypes, as described previously.21 Based on the 3D TEE image of the mitral valve from an overhead perspective (Figure 1), the central type was defined as a symmetric regurgitant jet in the middle of the valve (A2P2), commonly with unparalleled anterior leaflet remodeling in extreme annular dilation. The marginal MR type was reported in cases of regurgitant jets derived from inter-scallop indentations (P1-P2 or P2-P3) towards the anterior central scallop (A2), normally resulting from unparallel chordae tendineae elongation confronted with significant left cardiac remodeling. A narrow SMR subtype was reported when both subtypes were observed.
Statistical analysis
Continuous data are presented as mean ± SD and were compared using the Student’s t-test. Categorical data were presented as numbers (frequencies) and were compared using Pearson’s chi-square test or Fisher’s exact test. Cumulative survival and freedom from rehospitalization due to HF after 1 year were estimated and graphically displayed using Kaplan–Meier curves. To identify contributing factors related to residual MR following ValveClamp implantation, univariable logistic regression analysis was performed and candidate predictors with a P-value of less than 0.1 were further included in a multivariable logistic regression model.
Results
Baseline characteristics
A total of 43 eligible patients with SMR were enrolled in our study (mean age 67.72 ± 9.96 years, Society of Thoracic Surgeons [STS] score 5.08 ± 2.12%, 55.81% female); 19 patients met the criteria for aSMR while 24 patients were considered to have vSMR. The baseline demographic and echocardiographic data of the 2 groups are summarized in Table 1. Patients in the aSMR group were older (71.21 ± 9.05 vs 64.95 ± 9.95 years, P = .04) and had a larger left atrial diameter (LAD) than those in the vSMR group (57.93 ± 11.32 vs 50.93 ± 7.48 mm, P = .03). Patients with vSMR had a significantly larger LVEDD (67.33 ± 10.36 vs 57.27 ± 10.28 mm, P = .02) and left ventricular end-systolic diameter (LVESD) (54.67 ± 7.44 vs 39.71 ± 7.06 mm, P < .001) with a reduced LVEF (41.74 ± 8.04% vs 59.21 ± 10.37%, P < .001) compared to those with aSMR. The PML was longer in the vSMR group (116.09 ± 2.98 vs 4.29 ± 1.99 mm, P = .04); however, the AML, AP diameter, and LAI were similar between the 2 groups (all P > .05). No significant differences were observed in other baseline characteristics between the groups.

Procedural outcomes
The procedural and 30-day outcomes of TEER using the ValveClamp system are shown in Table 2. Technical success was achieved in 100% of the patients; 81.40% (35/43) of patients had 1 clip implanted, while 2 devices were implanted in the other 8 (18.60%) patients. All procedures were performed under TEE guidance without fluoroscopy. The mean procedural and catheter time for ValveClamp implantation was 55.32 ± 21.01 minutes and 14.74 ± 10.38 minutes for aSMR, respectively, and 58.42 ± 25.62 minutes and 17.71 ± 18.25 minutes for vSMR, respectively, with no significant difference between the 2 groups (both P > .05). More than 1 clip implant was recorded in 15.79% (3/19) of the aSMR group and 20.83% (5/24) of the vSMR group (P = .55). Three (6.98%) deaths were reported before discharge, including 1 aSMR group(due to severe pneumonia) and 2 vSMR (1 due to cerebral hemorrhage and 1 due to acute HF). One patient in the aSMR group was transferred for surgery because of hemolysis with moderate-to-severe MR 1 day after implantation. At 30 days, a non-disabling stroke was recorded in 1 patient with vSMR. No other adverse clinical events were reported.
Regarding hemodynamic improvement at 30 days, all 39 patients (17 aSMR and 22 vSMR) who successfully underwent TEER reported at least 1 grade of MR reduction. The MR grade was 1+ or less in 26 (66.67%) patients and 2+ in 13 (33.33%) patients. According to the different MR etiologies, reduction of MR to 1+ or less was achieved in 58.82% (10/17) of the patients with aSMR, which was comparable to 72.73% (16/22) with vSMR ( P = .48) (Figure 2).
Echocardiographic and clinical outcomes during follow-up
Sustained improvement in MR reduction following TEER using the ValveClamp system was observed at the 1-year follow-up. Paired analyses showed that 76.47% (13/17) of the patients in the aSMR group and 77.27% (17/22) of the patients in the vSMR group had an MR of mild severity or less (P ≥ .99). With a trend towards LVEF improvement observed in both groups, all of the patients demonstrated a marked decrease in the LVEDD, LVESD, and pulmonary artery systolic pressure compared with baseline, while a significantly smaller mean LAD was observed in the aSMR group (Supplemental Table).
TEER resulted in a marked improvement of quality-of-life measures. The paired KCCQ overall score improved at 1 year by 32.06 ± 9.73 points in the aSMR group and by 29.77 ± 8.53 points in the vSMR group (both P < .001) (Supplemental Figure 2). In terms of health status, the percentage of patients with New York Heart Association (NYHA) functional class III/IV at the 1-year follow-up decreased from 94.11% (1/17) to 17.65% (3/17) in the aSMR group, and from 95.45% (21/22) to 13.64% (3/22) in the vSMR group (Figure 3). The estimated overall 1-year survival and HF rehospitalization rates were 83.33% for patients with aSMR and 83.59% for patients with vSMR, with no statistical difference between the 2 cohorts (log-rank P = .98) (Figure 4).

Predictors of optimal MR reduction at the 3-month follow-up
According to the current database, we evaluated the association of baseline parameters with the reduction in MR to mild or less after TEER at the 3-month follow-up (Table 3). In the univariate logistic regression analysis, AP diameter, a lower LAI, and the narrow MR jet type were associated with a residual MR of 2+ or greater (all P < .1). In the multivariable model, narrow MR jet type (odds ratio [OR], 12.029; 95% CI, 1.530-94.592; P = .02) and lower LAI (OR, 0.021; 95% CI, 0.001-0.042; P = .02) remained significant (Table 4).



Discussion
The current multi-center study investigated the mid-term outcomes of TEER using the ValveClamp system and compared results between patients with aSMR and vSMR, as well as assessed the echocardiographic predictors for a residual MR of 2+ or greater. The main findings of the present study were as follows: (1) TEER with the novel transapical ValveClamp system was safe and effective in sustained MR reduction; (2) aSMR and vSMR demonstrated comparable cardiac functional benefits and clinical outcomes in term of cardiovascular mortality and/or HF during the mid-term follow-up; and (3) a lower LAI and narrow MR jet type were independent echocardiographic predictors for a residual MR of 2+ or greater following TEER.
SMR is a prevalent consequence of left atrial and left ventricular remodeling and is strongly correlated with adverse outcomes. Accompanied by major device and interventional revolutions, the use of TEER to reduce SMR has progressively matured into a safe and efficacious therapeutic option. The ValveClamp system is a recently developed TEER device composed of 2 matched, wide V-shaped clamping arms that are delivered straight up via transapical access using a sophisticated steerable delivery system under echocardiographic guidance.22
Previous studies have shown that TEER using the ValveClamp system for degenerative MR is effective, has a fast learning curve, and is associated with symptomatic improvement.16,23 Our previous case series15 was the first to report the feasibility of TEER for SMR with a small sample size. In the present study, the mean procedural and catheter time for ValveClamp implantation in 43 SMR patients was 57.05 minutes and 16.40 minutes, respectively, with more than 1 clip implanted in 18.60%(8/43) of the patients. This study demonstrated a much shorter operation time with a relatively lower rate of second clip implantation, regardless of MR etiology, compared with studies involving the MitraClip (Abbott) and Pascal (Edwards Lifesciences),24,25 indicating that the novel system could be easy to operate in both aSMR and vSMR cases. It is notable that all patients with SMR who successfully underwent TEER using the ValveClamp system reported an MR reduction of at least 1 grade before discharge, and 66.67%(26/39) had a residual MR of +1 or less, which is comparable to other TEER devices. The preliminary results indicate that the novel TEER device could also be efficacious in treating SMR because of its easy maneuverability and an acceptable safety profile.
Insights into the etiology of MR are growing. Patients with MR characterized by severe atrial enlargement with subsequent dilation of the mitral annulus but not left ventricular dysfunction have been identified as having aSMR.26 However, robust evidence regarding the role of TEER in this unique pathophysiology is lacking. Two recent registry studies have shown that both aSMR and vSMR could be effectively treated with MitraClip devices to improve symptoms at follow-up.12,27 Our results demonstrated similar procedural outcomes, and the optimal post-procedural MR reduction using the ValveClamp system was comparable between the 2 groups, which was consistent at the 1-year follow-up. Similar survival, freedom from HF rehospitalization outcomes, and improvement in the NYHA functional class were also observed during the mid-term follow-up. Despite these encouraging outcomes, considerable concerns remain regarding potential left ventricle function abnormalities following transapical intervention in the treatment of valvular heart disease,28 especially in vSMR patients with severely depressed ventricular function at baseline.
Because the device is delivered to the left atrium through a 16-French straight introducer sheath, the apex can be closed with a regional purse-string suture. In our study, the preliminary results showed that the transapical ValveClamp transapical edge-to-edge mitral valve repair system could be safely performed with improved LVEF during follow-up, consistent with our previous study.29 Hence, the hemodynamic and clinical benefits support the notion that TEER using the ValveClamp system may be a good treatment option for high-risk SMR patients, irrespective of the etiology. However, further clinical studies are needed to investigate the long-term prognosis.
Residual MR is a predominant predictor of poor prognosis following TEER, regardless of SMR etiology.30 We further explored the echocardiographic features associated with optimal MR reduction in SMR following TEER using the ValveClamp system and found that a lower LAI and a narrow MR jet were independently associated with a higher incidence of a residual MR of 2+ or greater. The predictive value of LAI is in line with previous studies involving patients undergoing the MitraClip procedure.31 A lower LAI is a simple indicator of an extremely enlarged mitral annular dilation.32 Shorter leaflets in relation to the mitral annulus could greatly limit the approximation of leaflet coaptation by an edge-to-edge procedure and commonly require concomitant reductive annuloplasty to restore the normal annulus-to-leaflet relationship. In addition, our study raises another concern regarding the native MR jet phenotypes. The narrow MR jet is referred to as the combination of a central lesion together with regurgitant jets derived from leaflet indentations. In this context, despite both leaflets being grasped and inserted into the clip arms, broad-wide leaflet maladaptation could be sustained considerably. Our findings indicate that the outcomes of TEER in the narrow subtype may not be optimal, and TEER should be cautiously performed only in selected cases.
Limitations
First, this was a single-arm prospective study with a limited sample size, and the present analyses might have been subject to patient selection bias. Second, the follow-up duration was limited, as only 1-year clinical and echocardiographic parameters were reported. There was no data available to confirm the durable hemodynamic benefits over a mid- to long-term period. Further clinical investigations are warranted to validate these preliminary findings.
Conclusions
TEER with the ValveClamp system is a safe and feasible therapeutic option for patients with both aSMR and vSMR. The system is associated with sustained MR reduction, and clinical benefits were observed at the mid-term follow-up. A low LAI and a narrow MR jet type were independently associated with insufficient MR reduction following TEER.
Affiliations and Disclosures
Qinchun Jin, MD1-5; Wei Li, MD6,7; Jianing Fan, MD1-5; Dawei Lin, MD1-5; Zilong Wen, MD1-5; Yuan Zhang, MD1-5; Wei Lai, MD8,9; Wenzhi Pan, MD1-5; Daxin Zhou, MD1-5; Junbo Ge, MD1-5
From the 1Department of Cardiology, Zhongshan Hospital, Fudan University, Shanghai Institute of Cardiovascular Diseases, China; 2State Key Laboratory of Cardiovascular Diseases, Zhongshan Hospital, Fudan University;3NHC Key Laboratory of Ischemic Heart Diseases;4Key Laboratory of Viral Heart Diseases, Chinese Academy of Medical Sciences;5National Clinical Research Center for Interventional Medicine, Shanghai, China; 6Department of Echocardiography, Zhongshan Hospital, Fudan University, Shanghai, China; 7Shanghai Institute of Medical Imaging, Shanghai, China; 8Department of Cardiac Surgery, Zhongshan Hospital, Fudan University, Shanghai, China; 9Shanghai Engineering Research Center of Heart Valve, Shanghai, China.
Dr Jin and Dr Li contributed equally to this work.
Disclosures: Dr Zhou and Dr Pan are consultants of Hanyu Medical Technology. The remaining authors report no financial relationships or conflicts of interest regarding the content herein.
Funding: This work was funded by Outstanding Resident Clinical Postdoctoral Program of Zhongshan Hospital Affiliated to Fudan University (2024ZYYS-012).
Address for correspondence: Wei Lai, MD, Department of Cardiovascular Surgery, Zhongshan Hospital, Fudan University, 180 Fenglin Road, Shanghai 200032, China. Email: wei.lai@zs-hospital.sh.cn
Supplemental Material
References
1. Eleid MF, Nkomo VT, Pislaru SV, Gersh BJ. Valvular heart disease: new concepts in pathophysiology and therapeutic approaches. Annu Rev Med. 2023;74:155-170. doi:10.1146/annurev-med-042921-122533
2. Lancellotti P, Go YY. Atrial secondary mitral regurgitation: often overlooked, but never forgotten. JACC Cardiovasc Imaging. 2021;14(4):809-811. doi:10.1016/j.jcmg.2021.03.003
3. Otto CM, Nishimura RA, Bonow RO, et al. 2020 ACC/AHA guideline for the management of patients with valvular heart disease: executive summary: a report of the American College of Cardiology/American Heart Association joint committee on clinical practice guidelines. Circulation. 2021;143(5):e35-e71. doi:10.1161/CIR.0000000000000932
4. Deferm S, Bertrand PB, Verhaert D, et al. Outcome and durability of mitral valve annuloplasty in atrial secondary mitral regurgitation. Heart. 2021;107(18):1503-1509. doi:10.1136/heartjnl-2021-319045
5. Hirji SA, Cote CL, Javadikasgari H, Malarczyk A, McGurk S, Kaneko T. Atrial functional versus ventricular functional mitral regurgitation: prognostic implications. J Thorac Cardiovasc Surg. 2022;164(6):1808-1815.e4. doi:10.1016/j.jtcvs.2020.12.098
6. Kumar M, Thompson PD, Chen K. New perspective on pathophysiology and management of functional mitral regurgitation. Trends Cardiovasc Med. 2023;33(6):386-392. doi:10.1016/j.tcm.2022.03.001
7. Andalib A, Mamane S, Schiller I, et al. A systematic review and meta-analysis of surgical outcomes following mitral valve surgery in octogenarians: implications for transcatheter mitral valve interventions. EuroIntervention. 2014;9(10):1225-1234. doi:10.4244/EIJV9I10A205
8. Midha PA, Raghav V, Sharma R, et al. The fluid mechanics of transcatheter heart valve leaflet thrombosis in the neosinus. Circulation. 2017;136(17):1598-1609. doi:10.1161/CIRCULATIONAHA.117.029479
9. Alkhouli M, Hahn RT, Petronio AS. Transcatheter edge-to-edge repair for atrial functional mitral regurgitation: effective therapy or elusive target? JACC Cardiovasc Interv. 2022;15(17):1741-1747. doi:10.1016/j.jcin.2022.06.035
10. Essayagh B, Enriquez-Sarano M. Atrial functional mitral regurgitation: many questions, few answers. JACC Cardiovasc Imaging. 2022;15(11):1852-1855. doi:10.1016/j.jcmg.2022.06.002
11. Tanaka T, Sugiura A, Vogelhuber J, et al. Outcomes of transcatheter edge-to-edge repair for atrial functional mitral regurgitation. EuroIntervention. 2024;20(4):e250-e260. doi:10.4244/EIJ-D-23-00819
12. Doldi P, Stolz L, Orban M, et al. Transcatheter mitral valve repair in patients with atrial functional mitral regurgitation. JACC Cardiovasc Imaging. 2022;15(11):1843-1851. doi:10.1016/j.jcmg.2022.05.009
13. Sodhi N, Asch FM, Ruf T, et al. Clinical outcomes with transcatheter edge-to-edge repair in atrial functional MR from the EXPAND study. JACC Cardiovasc Interv. 2022;15(17):1723-1730. doi:10.1016/j.jcin.2022.07.023
14. Iliakis P, Dimitriadis K, Pyrpyris N, et al. Atrial functional mitral regurgitation: from diagnosis to current interventional therapies. J Clin Med. 2024;13(17):5035. doi:10.3390/jcm13175035
15. Li W, Long Y, Pan W, et al. Transcatheter edge to edge repair using the ease-of-use valve clamp system for functional mitral regurgitation: a primary report. Surg Today. 2023;53(1):90-97. doi:10.1007/s00595-022-02559-8
16. Pan W, Zhou D, Wu Y, et al. First-in-human results of a novel user-friendly transcatheter edge-to-edge mitral valve repair device. JACC Cardiovasc Interv. 2019;12(23):2441-2443. doi:10.1016/j.jcin.2019.05.043
17. Ge Z, Pan C, Li W, et al. Real-time monitoring and step-by-step guidance for transapical mitral valve edge-to-edge repair using transesophageal echocardiography. J Interv Cardiol. 2021;2021:6659261. doi:10.1155/2021/6659261
18. Stone GW, Adams DH, Abraham WT, et al; Mitral Valve Academic Research Consortium (MVARC). Clinical trial design principles and endpoint definitions for transcatheter mitral valve repair and replacement: part 2: endpoint definitions: a consensus document from the Mitral Valve Academic Research Consortium. Eur Heart J. 2015;36(29):1878-1891. doi:10.1093/eurheartj/ehv333
19. Zoghbi WA, Adams D, Bonow RO, et al. Recommendations for noninvasive evaluation of native valvular regurgitation: a report from the American Society of Echocardiography developed in collaboration with the Society for Cardiovascular Magnetic Resonance. J Am Soc Echocardiogr. 2017;30(4):303-371. doi:10.1016/j.echo.2017.01.007
20. Lancellotti P, Moura L, Pierard LA, et al; European Association of Echocardiography. European Association of Echocardiography recommendations for the assessment of valvular regurgitation. Part 2: mitral and tricuspid regurgitation (native valve disease). Eur J Echocardiogr. 2010;11(4):307-332. doi:10.1093/ejechocard/jeq031
21. Pan W, Li W, Zhou D, Pan C, Lai W, Ge J. Novel classification of mitral regurgitation and corresponding transcatheter edge-to-edge repair strategies. Chinese Journal of Heart and Heart Rhythm (Electronic Edition). 2024;12(01):10-13. doi:10.3877/cma.j.issn.2095-6568.2024.01.003
22. Long Y, Pan W, Pan C, Li W, Zhou D, Ge J. Real-time echocardiographic guidance for transcatheter repair noncentral mitral regurgitation using the novel ValveClamp system. J Card Surg. 2021;36(11):4378-4380. doi:10.1111/jocs.15905
23. Pan W, Long Y, Guo Y, et al. Transapical edge-to-edge repair system in high-risk patients with degenerative mitral regurgitation: a multicenter trial (CLAMP-2). JACC Cardiovasc Interv. 2023;16(18):2340-2342. doi:10.1016/j.jcin.2023.06.035
24. Webb JG, Hensey M, Szerlip M, et al. 1-year outcomes for transcatheter repair in patients with mitral regurgitation from the CLASP study. JACC Cardiovasc Interv. 2020;13(20):2344-2357. doi:10.1016/j.jcin.2020.06.019
25. Stone GW, Lindenfeld J, Abraham WT, et al; COAPT Investigators. Transcatheter mitral-valve repair in patients with heart failure. N Engl J Med. 2018;379(24):2307-2318. doi:10.1056/NEJMoa1806640
26. Zoghbi WA, Levine RA, Flachskampf F, et al. Atrial functional mitral regurgitation: a JACC: cardiovascular imaging expert panel viewpoint. JACC Cardiovasc Imaging. 2022;15(11):1870-1882. doi:10.1016/j.jcmg.2022.08.016
27. Tanaka T, Sugiura A, Öztürk C, et al. Transcatheter edge-to-edge repair for atrial secondary mitral regurgitation. JACC Cardiovasc Interv. 2022;15(17):1731-1740. doi:10.1016/j.jcin.2022.06.005
28. Meyer CG, Frick M, Lotfi S, et al. Regional left ventricular function after transapical vs. transfemoral transcatheter aortic valve implantation analysed by cardiac magnetic resonance feature tracking. Eur Heart J Cardiovasc Imaging. 2014;15(10):1168-1176. doi:10.1093/ehjci/jeu103
29. Hu C, Ge Z, Li W, et al. 2-year results and myocardial impact of transapical mitral valve repair in patients with primary mitral regurgitation: an echocardiographic study. J Cardiothorac Surg. 2024;19(1):403. doi:10.1186/s13019-024-02827-3
30. Boekstegers P, Hausleiter J, Schmitz T, et al; MITRA-PRO Investigators. Intraprocedural residual mitral regurgitation and survival after transcatheter edge-to-edge repair: prospective German multicenter registry (MITRA-PRO). JACC Cardiovasc Interv. 2023;16(5):574-585. doi:10.1016/j.jcin.2022.12.015
31. Tabata N, Weber M, Sugiura A, et al. Impact of the leaflet-to-annulus index on residual mitral regurgitation in patients undergoing edge-to-edge mitral repair. JACC Cardiovasc Interv. 2019;12(24):2462-2472. doi:10.1016/j.jcin.2019.09.014
32. Colli A, Besola L, Montagner M, et al. Prognostic impact of leaflet-to-annulus index in patients treated with transapical off-pump echo-guided mitral valve repair with NeoChord implantation. Int J Cardiol. 2018;257:235-237. doi:10.1016/j.ijcard.2018.01.049


