Intravascular Lithotripsy-Assisted Intervention in Patients With Congenital Heart Disease
© 2024 HMP Global. All Rights Reserved.
Any views and opinions expressed are those of the author(s) and/or participants and do not necessarily reflect the views, policy, or position of the Journal of Invasive Cardiology or HMP Global, their employees, and affiliates.
Abstract
Objectives. The use of intravascular lithotripsy (IVL) in patients with calcified coronary and peripheral arterial disease is now commonplace; however, its use in procedures specific to congenital heart disease is rare, with a very limited published case-based experience to date. The authors report the outcomes of 4 patients with congenital heart disease who underwent IVL-assisted transcatheter procedures in the effort to inform future operators as to the potential benefits and risks of this technology in this patient population.
Methods and Results. Four patients underwent IVL-assisted transcatheter procedures including branch pulmonary artery stenting, aortic coarctation stenting, and transcatheter pulmonary valve replacement. All 4 patients underwent successful IVL-assisted implantation of large stents in highly calcified native or surgically implanted biological conduits without significant complications.
Conclusions. The use of IVL-assisted interventions in patients with severe native or surgical calcified vascular conduits is feasible and may be a useful adjunct in conduit stent implantation and dilation. Vascular injury during angioplasty of calcified vessels and conduits remains a concern despite the use of lithotripsy, and covered stent implantation should be considered prior to aggressive dilation in order to reduce the risk of catastrophic rupture.
Introduction
Intravascular lithotripsy (IVL) has emerged as a pivotal technology in the management of calcified obstructive vascular disease. Intravascular lithotripsy is composed of miniaturized lithotripsy emitters positioned along the shaft of an angioplasty balloon. Circumferentially aligned emitters produce electric sparks, resulting in the formation of acoustic pressure waves, which are transmitted through the fluid medium of the angioplasty balloon into the surrounding vascular tissue.
The Shockwave IVL catheter (Shockwave Medical), which ranges in diameter from 2.5 to 12 mm, received Federal Drug Administration approval in 2021 following large, prospective, multicenter studies demonstrating safety and efficacy in revascularizing calcified coronary and peripheral arterial obstructions in patients with age-related vascular degeneration.
Methods and Results
The authors confirm that patient consent was waved by our local institutional review board policy due to the retrospective and de-identified nature of this study.
Patient 1
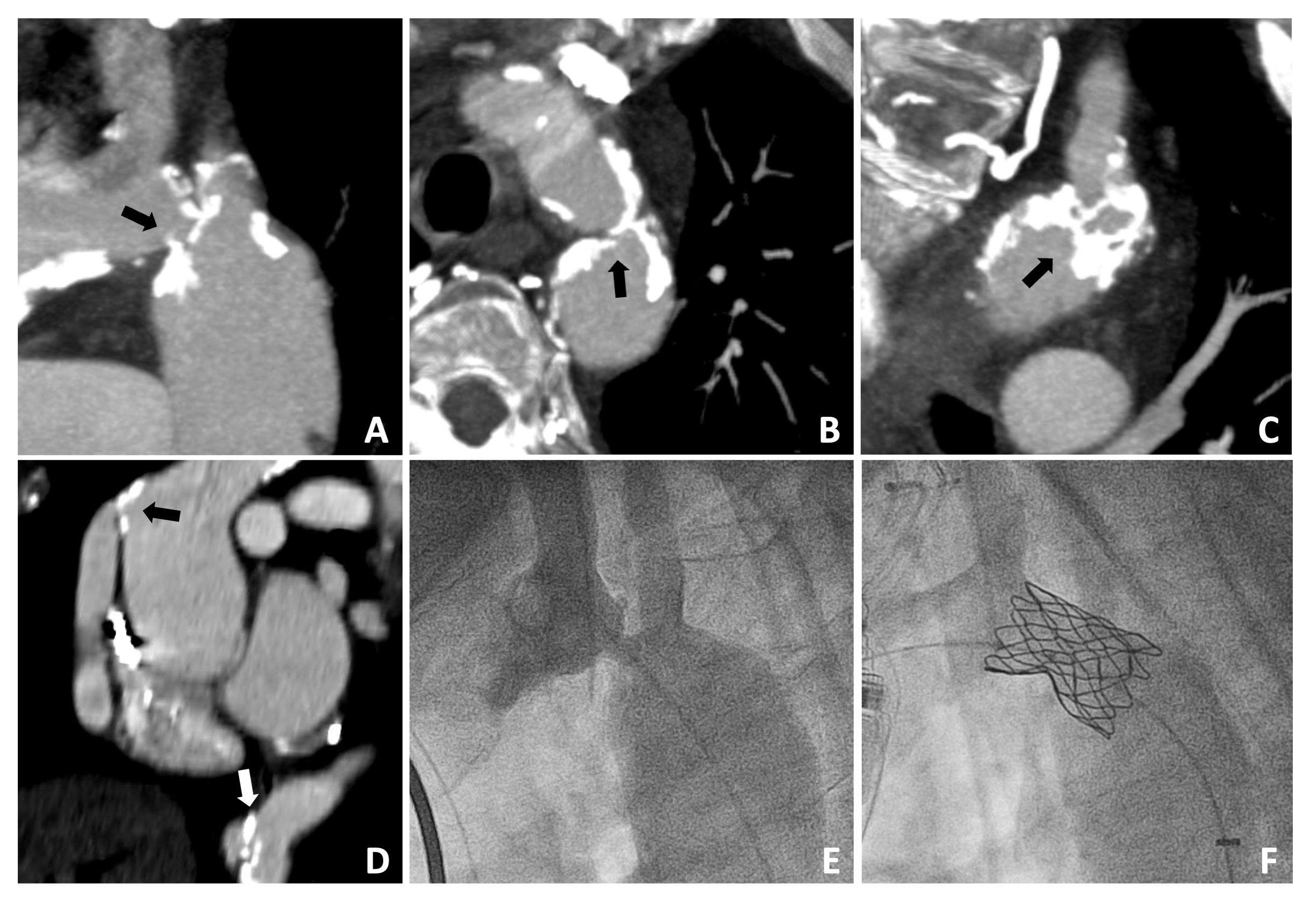
A 25-year-old man with a history of D-transposition of the great arteries who underwent staged palliation culminating in an arterial switch procedure with a LeCompte maneuver by 1 month of age, followed by 2 subsequent surgical aortic valve replacements (AVR). During the second AVR, he required branch pulmonary artery (PA) reconstruction with homograft material as a result of longstanding bilateral branch PA stenoses. In the setting of progressive bilateral branch PA stenoses, he was brought forward for branch PA stenting. A pre-procedural cardiac computed tomographic angiogram (CTA) revealed severe bilateral ostial PA stenoses measuring 4 x 5 mm and 8 x 15 mm within the right and left PAs with distal reference diameters of 11 x 13 mm and 21 x 25 mm, respectively. Heavy circumferential right PA calcification was present, presumed to be homograft tissue from the prior repair (Figure 1A-C).
The procedure was carried out with bilateral venous access and simultaneous wiring of the branch PAs. Initial angioplasty of the right PA origin with an 8-mm Charger balloon (Boston Scientific) inflated to 10 atm without alleviation of a mid-balloon waist. Attempts to place a covered stent prior to a more aggressive angioplasty were unsuccessful because of an inability to deliver a long 12-French sheath across the heavily calcified lesion. As such, the decision was made to perform IVL to the ostial right PA. A 0.014-inch exchange length guide wire was advanced into the distal right PA and a 7-mm Shockwave IVL balloon was advanced over the wire and into the right PA. The balloon was inflated to 4 atm and a total of 60 lithotripsy pulses were delivered, resulting in near complete relief of the mid-balloon waist, suggesting adequate lithotripsy (Figure 1D and E). Following IVL, 2 covered Cheatham-Platinum stents (CCPS) (Numed Inc.) and a Palmaz 4010 XL stent (Cordis) were implanted and post-dilated with a 12-mm balloon to 30 atm, resulting in a substantial improvement in the right PA caliber to a minimum diameter of 10 mm. Left PA stenting was performed without difficulty, resulting in substantial reduction in the right ventricular systolic pressures and a decrease in the right PA gradient from 55 to 15 mm Hg. There were no periprocedural complications and the patient was discharged within 24 hours. A CTA performed several months later demonstrated widely patent branch PA stents (Figure 1F).
Patient 2
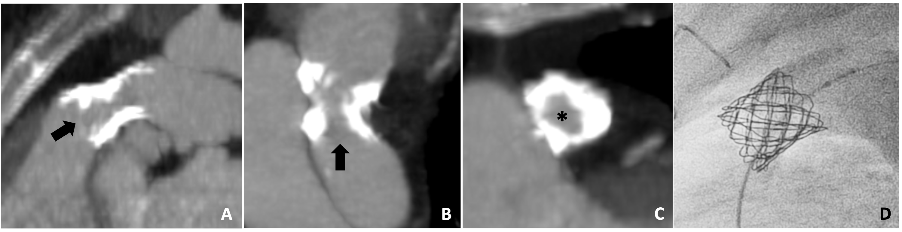
A 71-year-old man with a history of aortic coarctation and a bicuspid aortic valve status post-patch angioplasty of his aortic coarctation at age 2, patch revision at age 10, and implantation of a 16-mm ascending-to-descending aortic bypass graft at age 30. Following decades of limited cardiovascular follow-up, he presented with systolic blood pressures of 160 mm Hg, an echo derived aortic arch mean gradient of 48 mm Hg, and a CTA demonstrating a severely calcified transverse arch stenosis (< 5 mm) with severely stenotic proximal and distal bypass conduit stenoses (Figure 2A- D). The decision was made to proceed with lithotripsy-assisted native coarctation stenting.
A 12 x 30-mm Shockwave lithotripsy balloon was advanced over an 0.018-inch wire, inflated to 3 atm within the coarcted segment under rapid pacing conditions, and 30 consecutive lithotripsy pulses were delivered prior to balloon deflation. This process was repeated 9 times for a total delivery of 300 pulses. A 3.4-cm covered CCPS was advanced over a 0.035-inch wire and deployed within the coarctation over a 14-mm balloon at 6 atm. Stent post-dilation carried out with a 12-mm non-compliant balloon to 8 atm, intentionally leaving a mild mid-stent waist to avoid aortic wall injury. A 20-mm Z-MED balloon (B. Braun) was advanced into the stent and inflated to 5 atm, solely intending to flare the proximal stent to improve aortic wall apposition; however, at low pressure, the minimum diameter of the CCPS expanded to from 12 to 15 mm. Stent strut jailbreaking of the covered left subclavian artery was performed and the procedure was concluded. Final angiography showed no evidence of aortic wall injury, and the arch gradient was reduced from 42 mm Hg to 4 mm Hg (Figure 2E and F). There were no procedural complications, and the patient was discharged the following day.
Patient 3
A 38-year-old man with a history of tetralogy of Fallot who underwent staged intracardiac repair of unknown type, which was completed by age 3. He underwent 2 subsequent right ventricle-pulmonary artery (RV-PA) conduit interventions, the last of which was at age 20 with a 23-mm homograft. In the setting of progressive conduit stenosis, with an echocardiography-derived mean gradient of 47 mm Hg, the patient was brought forward for transcatheter conduit rehabilitation. A preprocedural chest CTA revealed heavy circumferential conduit calcifications with a minimum luminal diameter of 8 mm (Figure 3A- C).
Due to concern over conduit fracture with angioplasty alone, and concern related to the efficacy of conduit angioplasty following covered stent placement, the decision was made to proceed with IVL prior to implantation of a covered stent. Coronary angiography demonstrated the coronary arteries to be remote from the conduit. A 12 x 30-mm Shockwave lithotripsy balloon was advanced into the conduit over an 0.018-inch wire and inflated to 4 atm. No balloon waist was appreciated, however, the balloon remained in a stable position with a drop in systemic blood pressure, indicating appropriate apposition to the vessel wall. Thirty lithotripsy pulses were delivered to the calcified homograft, followed by balloon deflation, allowing for systemic blood pressure recovery. This process was repeated 4 times for a total delivery of 150 pulses. A 4.5-cm CCPS was deployed within the conduit over a 22-mm balloon at 6 atm, followed by implantation of a Palmaz XL 4010 within the CCPS. Post-dilation was carried out with a 24-mm Atlas Gold balloon (BD) to 8 atm with full expansion of the stent complex. Follow-up angiography revealed a small, contained distal conduit tear, prompting placement of a second CCPS, which successfully sealed the injury. A Melody valve (Medtronic) was implanted within the stented conduit over a 22-mm Ensemble delivery system (Medtronic) with a reduction in the final conduit gradient from 44 to 4 mm Hg (Figure 3F). The patient experienced a left hemothorax, which was discovered several hours post procedurally, with a CTA showing a fully intact conduit with widely expanded stents (Figure 3D, E) and a bleeding source within the periphery of the left pulmonary vasculature, likely due to a distal wire perforation. The patient was monitored with spontaneous resolution of the bleed within 12 hours and was brought forward for a video-assisted thorascopic surgery 3 days post-procedure for hematoma evacuation.
Patient 4
A 38-year-old man with a history of congenital aortic valve stenosis status post-Ross procedure with a 24-mm RV-PA homograft at the age of 15. He was lost to follow-up for many years, returning to care in the setting of new onset atrial flutter. At that time, he was discovered to have mixed conduit disease by echocardiography with a mean gradient of 36 mm Hg and moderate regurgitation with mild right ventricular dysfunction, prompting referral for transcatheter conduit rehabilitation. A pre-procedure CTA revealed heavy circumferential calcifications with a minimum luminal diameter of 14 mm (Figure 4A-C).
Like Patient 3, there was concern over both conduit fracture with angioplasty prior to covered stent implantation and inability to adequately relieve the outflow tract gradient with stenting and angioplasty alone. Therefore, IVL-assisted conduit stenting was performed up front. Coronary angiography demonstrated a remote position from the RV-PA conduit, and coronary compression testing was not performed. A 12 x 30-mm Shockwave lithotripsy balloon was advanced over an 0.018-inch wire and into the RV-PA conduit. Given a minimum luminal area of greater than 12 mm, an 8 x 40-mm Armada balloon (Abbott) was advanced into the conduit over a 0.035-inch wire alongside the IVL balloon to ensure its adequate apposition to the vessel wall. A total of 150 pulses were delivered in 30 pulse increments, allowing intermittent systemic pressure recovery. A 3.9-cm CCPS stent followed by a Palmaz XL 4010 stent was deployed within the conduit over 18-mm balloons inflated to 6 atm. Post-dilation was carried out with a 24-mm Atlas Gold balloon to 8 atm, fully expanding the stent complex. A Melody valve was implanted within the stented conduit on a 22-mm Ensemble Delivery system with a reduction in the conduit gradient from 70 to 6 mm Hg. Final angiography showed no evidence of conduit disruption (Figure 4D). There were no procedural complications, and the patient was discharged within 24 hours.
Discussion
The presence of circumferential intravascular calcium is known to be a risk factor for vascular injury during coronary artery interventions because of reduced vascular compliance and the need for high-pressure angioplasty to relieve the obstruction.
There are few intraprocedural markers of successful IVL, as heavy shadowing limits the utility of IVUS imaging and, while optical coherence tomography may show evidence of some calcium fracture, the true effect of calcium modification with IVL is best observed with micro-computed tomographic imaging.
Our 4 cases of IVL-assisted conduit- and large-vessel and interventions raise many questions about the efficacy and safety of this technology in this patient population. Included among them, how many lithotripsy impulses are required to achieve the appropriate calcium modification in calcified homografts and large vessels? In only 1 procedure (patient 1) did we achieve angiographic feedback, via balloon waist relief, that calcium modification had likely been achieved. The remaining 3 cases all received a set number of impulses with no interpretable angiographic feedback. Patient 2 received 300 impulses—the full amount achievable for a 12-mm Shockwave balloon. Patients 3 and 4 only received 150 impulses, yet complete relief of high-grade stenoses was achieved in both cases at only 8 atm. Future ex vivo research will aid in determining the depth of lithotripsy penetration and the number of impulses needed to achieve adequate calcium fracture in these larger vascular structures.
Equally as important, assuming adequate calcium fracture has been achieved, is to determine whether IVL-assisted angioplasty reduces the risk of conduit- and/or large-vessel injury. This has particularly important implications in patients undergoing RV-PA conduit interventions in whom coronary compression testing is required prior to stenting. Coronary compression was not a concern in our 2 cases of RV-PA conduit stenting, permitting covered-stent implantation prior to dilation. Yet 1 patient still experienced a non-full-thickness conduit tear distal to the covered stent, requiring placement of a second covered stent. In their early experience, Sabbak et al reported on 2 patients who underwent IVL-assisted RV-PA conduit interventions, one of whom experienced a full-thickness conduit disruption during sequential conduit angioplasty, requiring emergent covered-stent implantation
One potential drawback to the use of IVL in conduit and aortic interventions is the necessity to fully occlude the vascular structure for the duration of lithotripsy impulses. The larger diameter IVL balloons are capable of delivering up to 30 lithotripsy impulses over a period of 1 second per impulse. Balloon deflation is then necessary to permit reperfusion before the process can be repeated. In our experience, patients 2, 3, and 4 all tolerated the 30-second balloon inflation with only a minimal drop in systemic blood pressure. This may be due to incomplete balloon apposition to the surrounding vessel as a result of the presence of irregular calcifications and/or the use of 2 balloons in patient 4, allowing for flow around the balloon. IVL has the potential to result in significant systemic hypotension, and fewer consecutive impulses with longer periods of recovery may be necessary in select cases.
Balloon sizing remains an important limitation to the use of IVL in larger conduits and vessels. The recent introduction of a 12-mm balloon has expanded applications for its use; however, the simultaneous use of additional balloons to achieve adequate vessel apposition is a technique that may prove effective at achieving IVL in stenoses larger than 12 mm. In patient 4, we used a second, non-IVL “buddy” balloon to achieve adequate vessel contact with the IVL balloon. Alternatively, Shama et al reported a successful balloon mitral valvuloplasty procedure on a heavily calcified valve with the use of 3 adjacent 7-mm IVL balloons; also, Sabbak et al used 2 adjacent 7-mm IVL balloons for their 2 RV-PA conduit interventions, noting that 7-mm balloons were the largest size available at the time of these interventions.
Conclusions
IVL offers promise for increasing the efficacy of transcatheter therapies across a wide spectrum of cardiovascular diseases, including patients with congenital heart disease. The early experience with this technology suggests that IVL may be a useful adjunct in stenting severely calcified vessels and conduits. However, additional study is needed to investigate the efficacy of calcium modification, the safety of IVL-assisted stenting, and the optimal procedural technique in patients with congenital heart disease undergoing transcatheter intervention on large vascular structures.
Affiliations and Disclosures
Zachary L. Steinberg, MD1; Lauren N. Carlozzi, MD2; Brian H. Morray, MD3
From the 1Division of Cardiology, Department of Medicine, University of Washington Medical Center, Seattle, Washington; 2Division of Pediatric Cardiology, University of Pittsburgh Medical Center, Pittsburgh, Pennsylvania; 3Division of Pediatric Cardiology, Seattle Children's Hospital, Seattle, Washington.
Disclosures: Dr Steinberg serves as a consultant for Abbott and B. Braun, and as a consultant and proctor for Medtronic. Dr Morray serves as a consultant for Renata, and as a consultant and proctor for Medtronic. The remaining author reports no financial relationships or conflicts of interest regarding the content herein.
Address for correspondence: Zachary L. Steinberg, MD, University of Washington Medical Center, 1959 NE Pacific Ave, Box 356422, Seattle, WA 98195, USA. Email: zlsteinb@uw.edu
References
1. Powers CJ, Tinterow MM, Burpee JF. Extracorporeal shock wave lithotripsy: a study of renal stone differences. Kans Med. 1989;90(1):19-22.
2. Cleveland R, McAteer J. Physics of shockwave lithotripsy. In: Smith AD, Badlani GH, Preminger GM, Kavoussi LR, eds. Smith's Textbook of Endourology. 3rd ed. Wiley-Blackwell; 2012. doi:10.1002/9781444345148.CH49
3. Wess O. Physics and technique of shock wave lithotripsy (SWL). In: Talai JJ, Tiselius HG, Albala DM, and Ye Z, eds. Urolithiasis: Basic Science and Clinical Practice. Springer Verlag; 2012:301-311. doi:10.1007/978-1-4471-4387-1_38
4. Ali ZA, Nef H., Escaned J, et al. Safety and effectiveness of coronary intravascular lithotripsy for treatment of severely calcified coronary stenoses: the Disrupt CAD II study. Circ Cardiovasc Interv. 2019;12(10):e008434. doi:10.1161/CIRCINTERVENTIONS.119.008434
5. Tepe G, Brodmann M, Werner M, et al; Disrupt PAD III Investigators. Intravascular lithotripsy for peripheral artery calcification: 30-day outcomes from the randomized Disrupt PAD III trial. JACC Cardiovasc Interv. 2021;14(12):1352-1361. doi:10.1016/j.jcin.2021.04.010
6. Bourantas CV, Zhang YJ, Garg S, et al. Prognostic implications of coronary calcification in patients with obstructive coronary artery disease treated by percutaneous coronary intervention: a patient-level pooled analysis of 7 contemporary stent trials. Heart. 2014;100(15):1158-1164. doi:10.1136/heartjnl-2013-305180
7. Copeland-Halperin RS, Baber U, Aquino M, et al. Prevalence, correlates, and impact of coronary calcification on adverse events following PCI with newer-generation DES: findings from a large multiethnic registry. Catheter Cardiovasc Interv. 2018;91(5):859-866. doi:10.1002/ccd.27204
8. Kereiakes DJ, Virmani R, Hokama JY, et al. Principles of intravascular lithotripsy for calcific plaque modification. JACC Cardiovasc Interv. 2021;14(12):1275-1292. doi:10.1016/j.jcin.2021.03.036
9. Sabbak N, Denby K, Kumar A, Goldar G, Ghobrial J. Intravascular lithotripsy for severe RVOT calcification to optimize transcatheter pulmonary valve replacement. JACC Case Rep. 2023;19:101926. doi:10.1016/j.jaccas.2023.101926
10. Sharma A, Kelly R, Mbai M, Chandrashekhar Y, Bertog S. Transcatheter mitral valve lithotripsy as a pretreatment to percutaneous balloon mitral valvuloplasty for heavily calcified rheumatic mitral stenosis. Circ Cardiovasc Interv. 2020;13(7):e009357. doi:10.1161/CIRCINTERVENTIONS.120.009357


