Very Late Incidental Diagnosis of Anomalous Right Coronary Artery From the Pulmonary Artery
Anomalous right coronary artery from the pulmonary artery (ARCAPA) is a rare coronary anomaly with a reported incidence of 0.002% and a variable clinical presentation. Left-to-right collaterals are usually present and provide oxygenated blood flow from the left coronary system to the right coronary artery (RCA) territory. However, even with adequate collateralization, patients can become symptomatic due to “coronary steal” into the low-pressure pulmonary circulation.1
A 59-year-old Asian woman with paroxysmal supraventricular tachycardia (PSVT), diabetes, and dyslipidemia was hospitalized with palpitations and chest discomfort. Her electrocardiogram showed short RP tachycardia with a heart rate of 167 bpm. She received intravenous adenosine with successful restoration of sinus rhythm and resolution of her symptoms.
She was initially diagnosed with PSVT 15 years ago when she presented to a local emergency room with palpitations. She reported recurrent episodes once every 3 months which abated with vagal maneuvers. Her symptoms did not resolve this time; therefore, she presented to the hospital. Due to multiple atherosclerotic risk factors, cardiac biomarkers were ordered. She had a dramatic increase in high-sensitivity troponin I levels with a typical rise and fall pattern (peak level 2231 ng/L). She was therefore referred to the cardiac catheterization laboratory for coronary angiography.
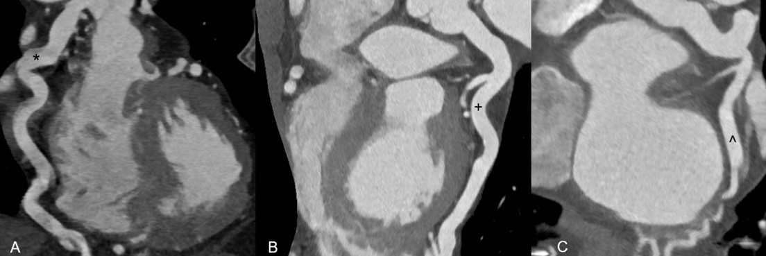
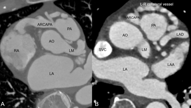
Selective left coronary angiography showed an ectatic left main artery and tortuous collaterals from the proximal left anterior descending (LAD) artery to a severely ectatic right RCA. The LAD was also severely ectatic and filled late. Retrograde filling of the pulmonary artery from the RCA was visualized (Figure 1, Video 1). We were unable to engage the RCA selectively with multiple diagnostic catheters. Ascending aortography confirmed absence of RCA ostium from the aorta and suggested the diagnosis of anomalous right coronary artery from pulmonary artery (ARCAPA) (Figure 2, Video 2). CT angiography confirmed ARCAPA with large left-to-right collaterals from LAD to RCA (Figures 3-5). There were no other congenital heart anomalies. Echocardiography showed normal biventricular function and normal chamber sizes. A myocardial perfusion Single Photon Emission Computed Tomography (SPECT) study showed a moderate intensity, medium-sized, partially reversible defect in the RCA distribution. The patient was referred to cardiothoracic surgery for consideration of reimplantation of the RCA to the aorta. However, due to her asymptomatic status at baseline, the decision was made to pursue initial conservative management.
Affiliations and Disclosures
From the 1Division of Cardiology, PeaceHealth Sacred Heart Medical Center, Springfield, OR, USA; and the 2Division of Cardiology, University of Vermont Medical Center, Burlington, VT, USA
Disclosures: The authors report no financial relationships or conflicts of interest regarding the content herein.
Address for Correspondence: Dr Tanush Gupta, Interventional Cardiology, University of Vermont Medical Center, Assistant Professor of Medicine, Larner College of Medicine, McClure 1 Cardiology, 111 Colchester Avenue, Burlington, Vermont 05401, Email: tanush.gupta@uvmhealth.org
Reference
1. Guenther TM, Sherazee EA, Wisneski AD, et al. Anomalous origin of the right coronary artery from the pulmonary artery: a systematic review. Ann Thorac Surg 2020;110:1063-1071 doi: 10.1016/j.athoracsur.2020.01.082


