The Use of a Homemade "BAG" Repositioning System to Salvage Complete Coronary Stent Dislodgement
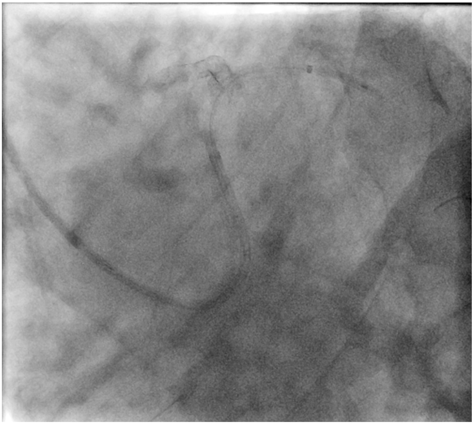
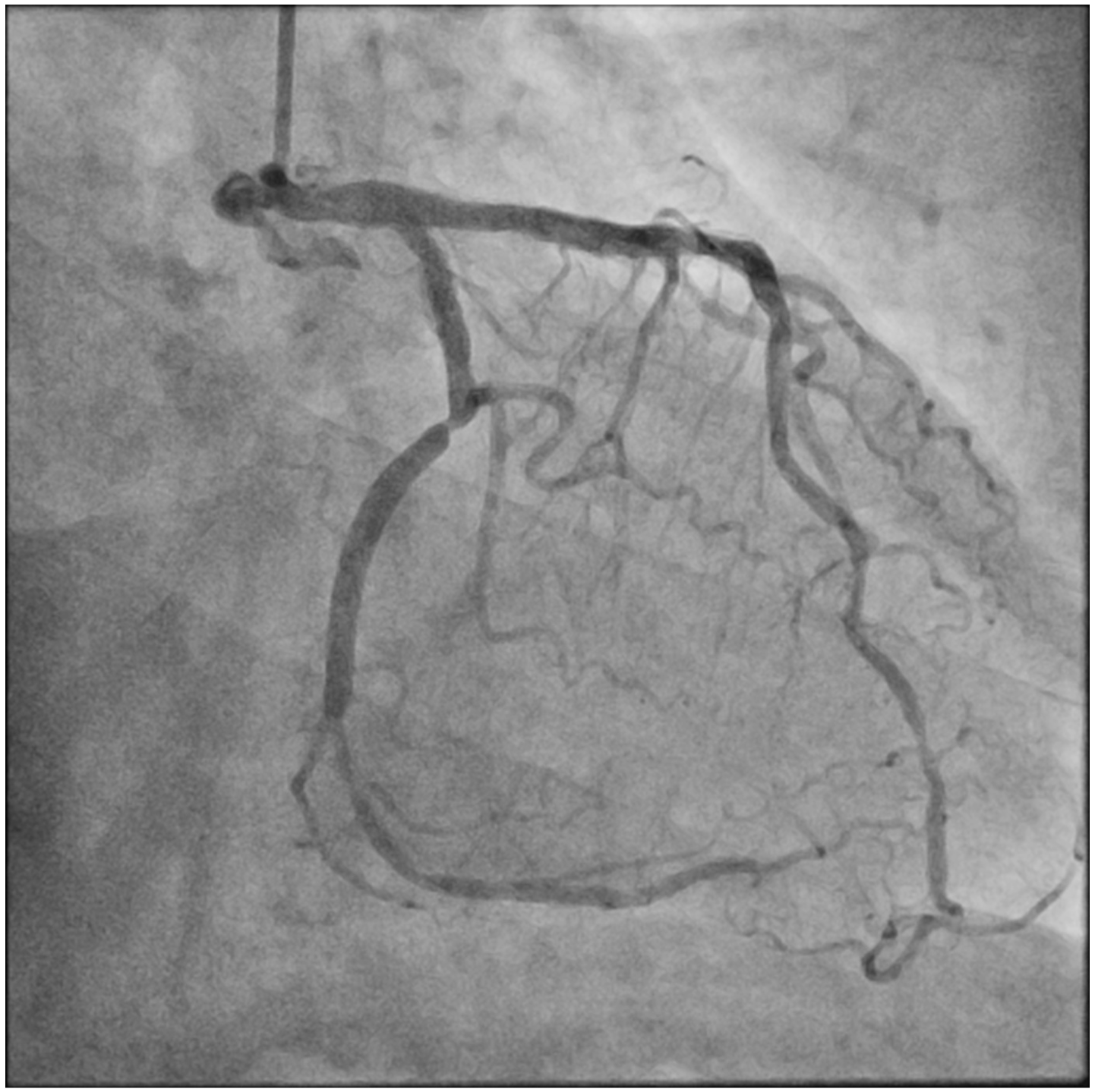
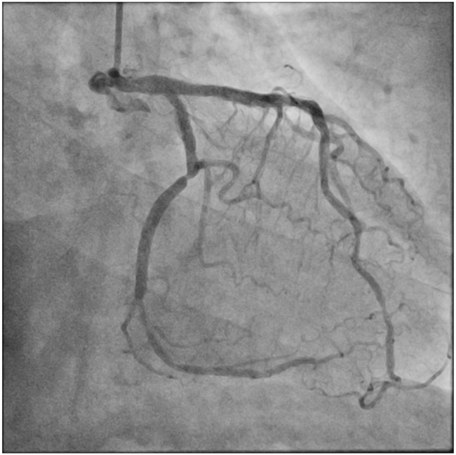
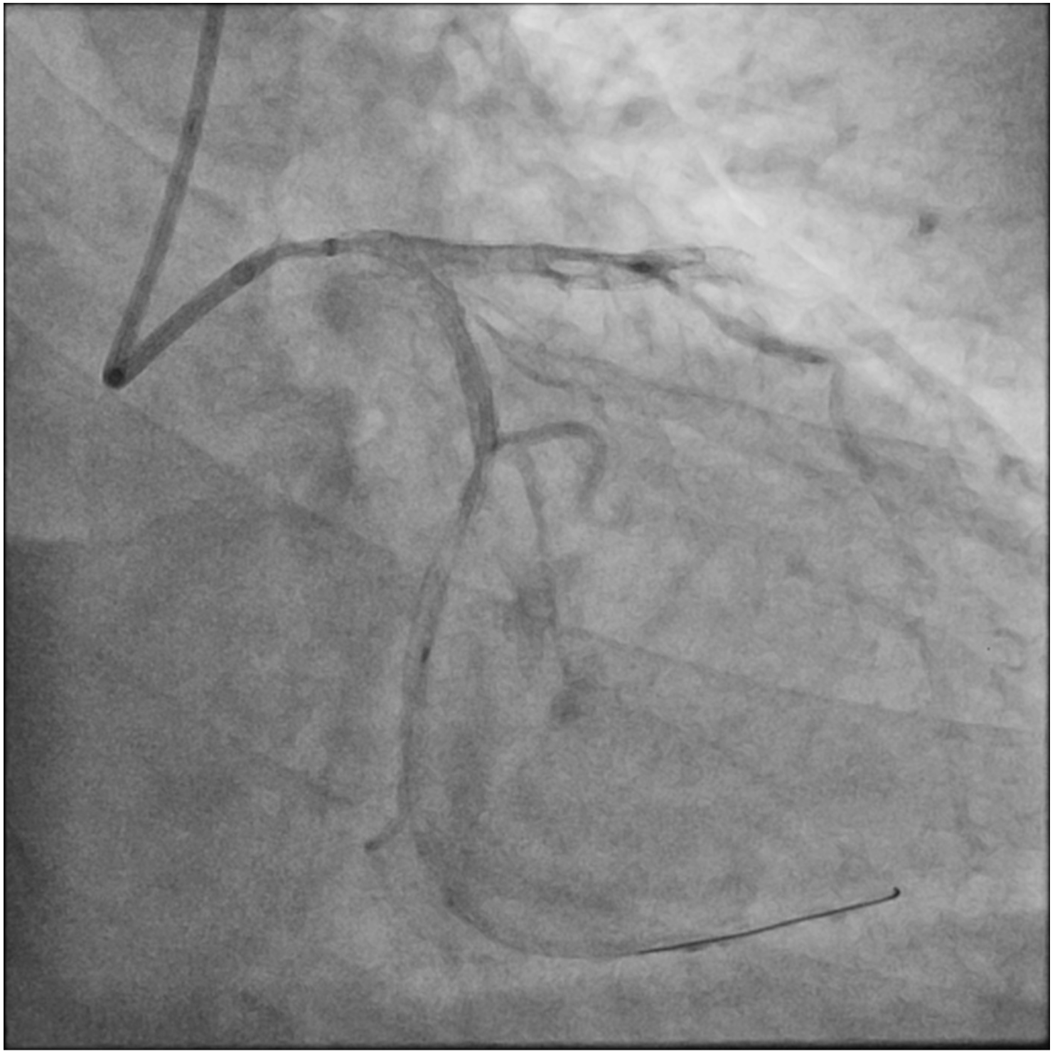
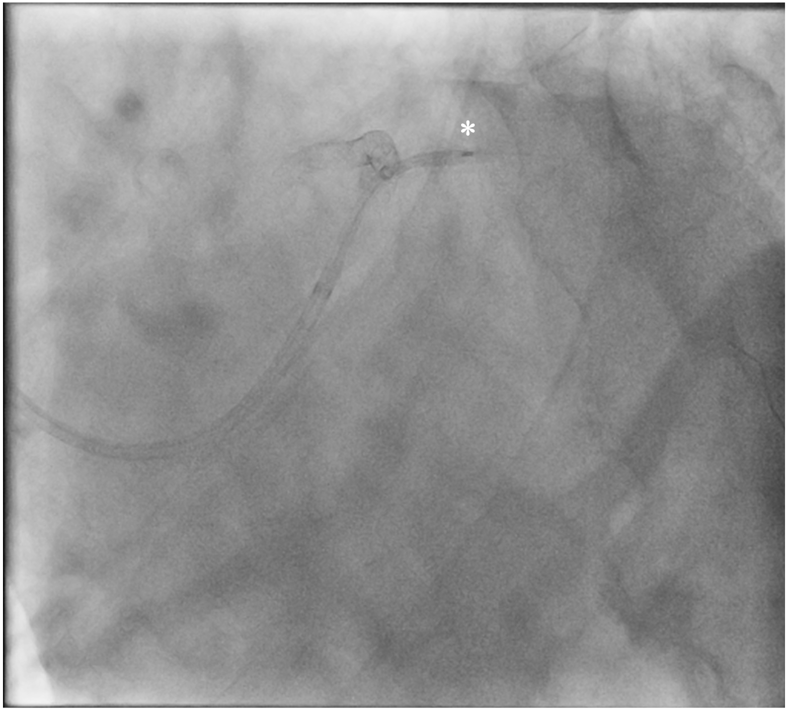
A 71-year-old man who had undergone percutaneous transluminal coronary angioplasty (PTCA) in 2013 was admitted for unstable angina. Coronary angiogram showed 2 de novo lesions at the proximal and distal left circumflex artery (LCX) (Figure 1A). PTCA was performed transradially via a 6-French (Fr) sheath. With a 6-Fr extra-backup 3.5 guide catheter engaging to the left main coronary artery (LM), a 2.5 x 18-mm drug-eluting stent (DES) was delivered to the distal LCX lesion but was inadequate for complete lesion coverage (Figure 1B). During retrieval, the stent was found dislodged at the distal LM bifurcation (Figure 1C).
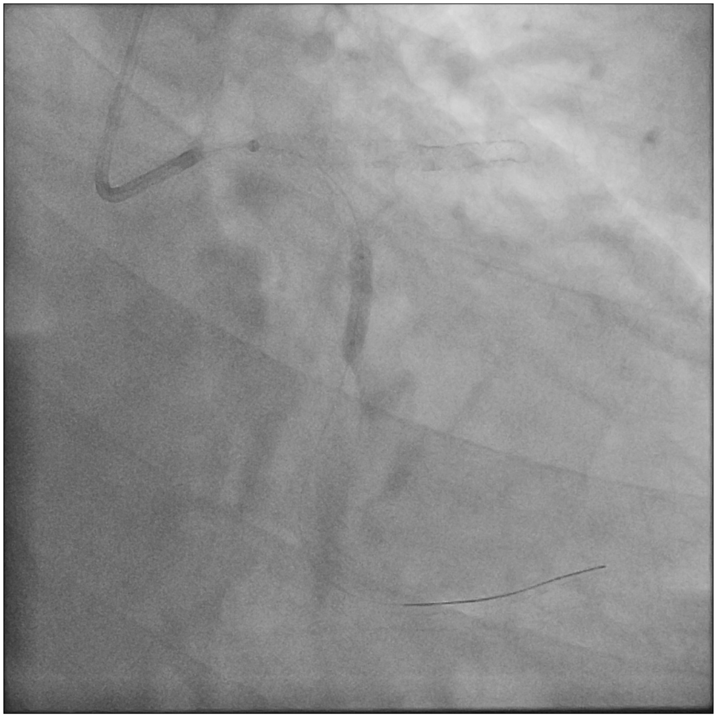
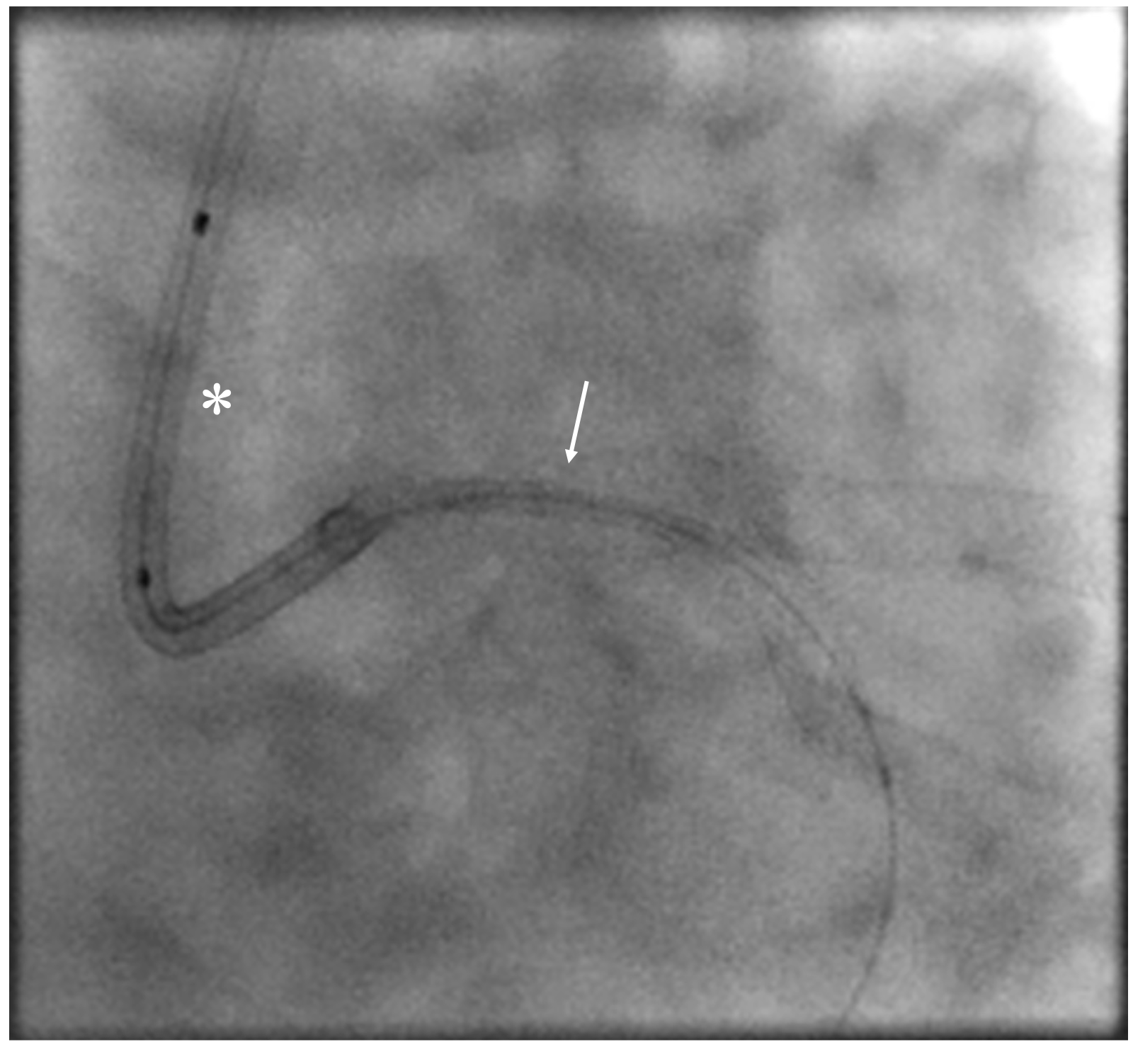
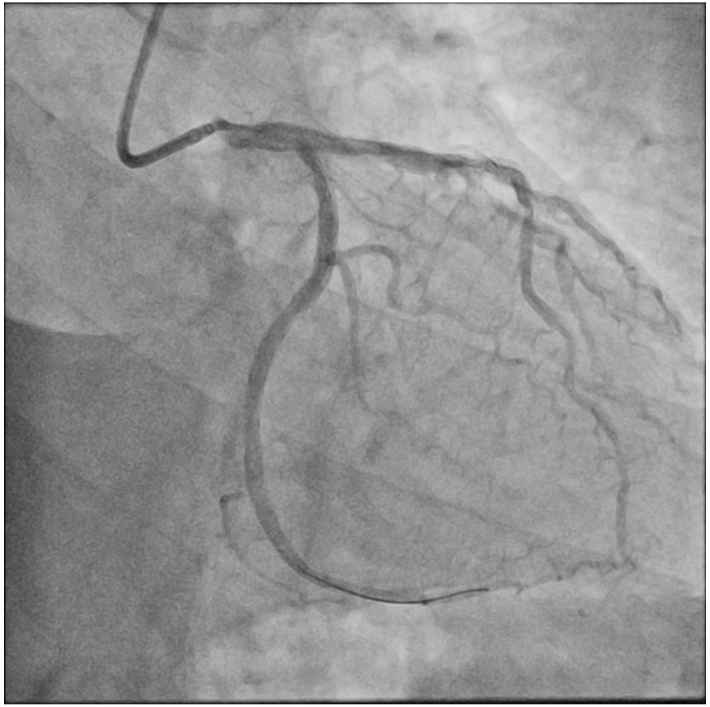
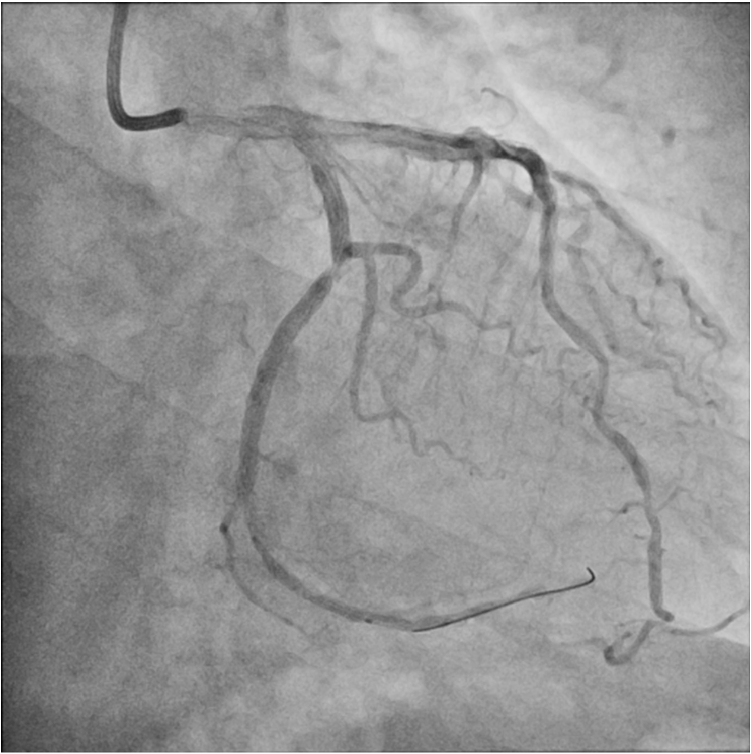
Distal small balloon retrieval was unsuccessful (Figure 1D). With the help of the Balloon-Assisted Guide-extension (BAG) system, the stent could be optimally positioned at the proximal LCX lesion by forward pushing with a 6-Fr Guideliner V3 catheter (Teleflex) and backward pulling by the small balloon (Figure 1E and F; Video). It was then deployed by sequential balloon dilatation with good expansion (Figure 1G and H). Another 2.5 x 24-mm DES was deployed at the distal LCX, which gave an excellent final angiographic result (Figure 1I and J).
Our case illustrates a novel repositioning system that can relocate and deploy a lost stent at an optimal site even in the absence of its original stent platform (Figure 2A-C). This can avoid wasting stents and serve as a viable bailout when conventional retrieval methods are unsuccessful.
Affiliations and Disclosures
From the Division of Cardiology, Department of Medicine & Geriatrics, United Christian Hospital, Hong Kong SAR, China
Disclosures: The authors report no financial relationships or conflicts of interest regarding
the content herein.
Address for correspondence: Siu-Fung Wong, MBChB, Department of Medicine &
Geriatrics, United Christian Hospital, Hong Kong SAR, China. Email: anthonywaaf1992@hotmail.com


