Unstable Angina Induced by Fracture of a Recently Implanted Drug-Eluting Stent
Abstract
J INVASIVE CARDIOL 2022;34(1):E67-E68.
Key words: coronary calcification, drug-eluting stent, in-stent restenosis, intravascular ultrasound, stent fracture
Case Presentation
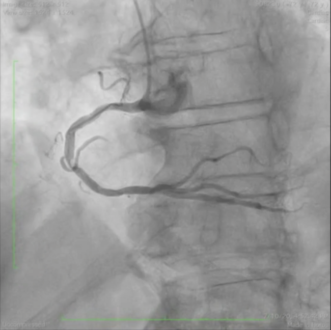
A 72-year-old man was referred for coronary angiography due to worsening exertional angina. Coronary angiography showed consecutive and heavily calcified subtotal stenoses in the mid right coronary artery (RCA) (Figure 1A). As the stenoses were uncrossable by a 1.2 mm balloon, ad hoc rotational atherectomy with a 1.25 mm burr was performed (Figure 1B), followed by implantation of a 3.0 x 38 mm everolimus-eluting stent, which was postdilated with a non-compliant 3.5 mm balloon (Figure 1C). The patient’s angina resolved completely post procedure.
One month later, the patient was admitted due to unstable angina. Coronary angiogram demonstrated a significant stenosis with a non-occlusive thrombus within the stent, along with loss of the stent’s integrity at the mid RCA just after the origin of the right ventricular branch (Figure 1D and Figure 1E; Video 1). Intravascular ultrasound (IVUS) revealed a fractured stent with significant stent recoil (Figure 1F; Video 2). After dilation with a 3.5 mm balloon, we deployed a 3.5 x 13 mm thin-strut sirolimus-eluting stent with bioabsorbable polymer, with excellent angiographic result. Final IVUS showed excellent apposition and expansion of the overlapping stents (Figure 1G and Figure 1H; Video 3). The patient was entirely asymptomatic at the 3-month follow-up exam.
Stent fracture is a rather infrequent complication associated with in-stent restenosis, thrombosis, aneurysm formation, and ischemic events. Several stent-related parameters, such as the use of longer or multiple stents, stent overlapping, and balloon/stent overexpansion are potential predictors of stent fracture. Stents deployed in RCA lesions with exaggerated motion, tortuosity, or severe calcification are also generally considered to be at higher risk for fracture. Intravascular imaging with IVUS is extremely useful to confirm the diagnosis and identify the possible mechanism of the stent fracture, as well as to assess the final result after subsequent angioplasty.

Affiliations and Disclosures
From the First Department of Cardiology, Hippokration Hospital, National and Kapodistrian University, Medical School, Athens, Greece.
Disclosure: The authors have completed and returned the ICMJE Form for Disclosure of Potential Conflicts of Interest. The authors report no conflicts of interest regarding the content herein.
Manuscript accepted August 18, 2021.
The authors report patient consent for the images used herein.
Address for correspondence: Konstantinos Aznaouridis, MD, PhD, First Department of Cardiology, 'Hippokration' General Hospital, National and Kapodistrian University of Athens, School of Medicine, Vasilissis Sofias Av. 114, 115 27, Athens, Greece. Email: conazna@yahoo.com
Related Articles
- Insights Into Coronary Sinus Reducer Non-Responders
- Recurrent Stent Fracture: First Reported Image of Everolimus-Eluting Stent Fracture Leading to Recurrent Restenosis in Cardiac Allograft Vasculopathy
- Multiple and Recurrent Coronary Stent Fractures
- One Ostium to Rule Them All: Rare Case of a Single Coronary Artery
- Failed Manta Closure Device After High-Risk PCI


