Two Giant Right Coronary Artery Aneurysms Presenting as Late ST-Segment Elevation Inferior Wall Myocardial Infarction
J INVASIVE CARDIOL 2023;35(5):E279-E280.
Key words: coronary artery aneurysm, myocardial infarction
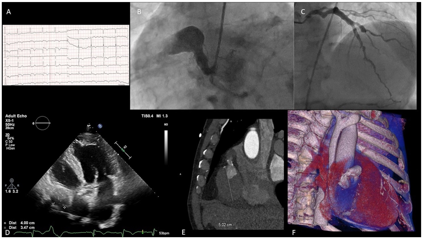
A 74-year-old man with diabetes mellitus reporting chest pain for the duration of one week and with declining troponin levels was admitted after an episode of syncope. Q wave and ST elevations with T inversions were seen on the echocardiogram (ECG) in inferior wall leads (Figure 1A). Bedside aortic dissection was excluded, ejection fraction was 15%. In the cath lab, a giant right coronary aneurysm was visualized with artery occlusion medially and possibly two cavities. RCA and circumflex artery (CX) had common origin (Figure 1B) (Video 1). The left anterior descending artery (LAD) gave collateral flow to the RCA (Figure 1C) (Video 2). The heart team was consulted and decided on subsequent imaging. The next ECG in modified projections showed echo negative cavity with dimensions measuring 4 cm x 3.47 cm (Figure 1D) (Video 3). In computed tomography, prospective ECG-gated acquisition after intravenous administration of 70 ml of the contrast agent Ultravist 370 (Bayer) showed partially thrombosed first aneurysm in second segment of RCA (4 cm x 3 cm), and an almost completely thrombosed second aneurysm in the third segment of the RCA (5.02 cm x 5 cm). Sagittal view of both aneurysms is shown in (Figure 1E) with dimensions of the thrombosed aneurysm exceeding 5 cm. Next, 3D volume rendering reconstruction was done (Figure 1F). After recovery of ejection fraction, the patient was treated conservatively with an option for surgical repair on the aneurysms.
Coronary artery ectasia is reported in 1.2%-7.4% of patients.1 Giant coronary artery aneurysms are seen in 0.02% of patients.2 The best therapeutic approach is not yet defined. To our knowledge, our case report is the first to show two giant, partially thrombosed aneurysms of such enormous dimensions presenting as late ST-elevation infarction.
Affiliations and Disclosures
From the 1First Department of Cardiology, Medical University of Silesia and Upper Silesian Medical Center, Katowice Poland, European Reference Network for rare, low prevalence, or complex diseases of the Heart (ERN GUARD Heart); 2The Unit of Diagnostic Imaging, Upper Silesian Medical Centre, Katowice, Poland; 3Department of Cardiac Surgery, Medical University of Silesia, Upper Silesian Medical Center Katowice, Poland.
Disclosure: The authors have completed and returned the ICMJE Form for Disclosure of Potential Conflicts of Interest. The authors report no conflicts of interest regarding the content herein.
The authors report that patient consent was obtained to publish the images in this presentation.
Manuscript accepted October 13, 2022.
Address for correspondence: Tomasz Bochenek, MD, PhD, Department of Cardiology, Medical University od Silesia, Ziołowa 47, 40-635 Katowice Poland. Email: tbochun1@gmail.com
References
1. Jubran A, Flugelman MY, Zafrir B, et al. Intraprocedural valve-in valve deployment for treatment of aortic regurgitation following transcatheter aortic valve replacement: An individualized approach. Int J Cardiol. 2019;283:73-77. Epub 2019 Jan 2. doi: 10.1016/j.ijcard.2018.12.079
2. Kim WK, Schäfer U, Tchetche D, et al. Incidence and outcome of peri-procedural transcatheter heart valve embolization and migration: the TRAVEL registry (TranscatheteR HeArt Valve EmboLization and Migration). Eur Heart J. 2019;40:3156-3165.


