Transcatheter Intervention Treatment of a Secondary Septal Pouch and Patent Foramen Ovale With an Atrial Septal Defect Occluder
© 2024 HMP Global. All Rights Reserved.
Any views and opinions expressed are those of the author(s) and/or participants and do not necessarily reflect the views, policy, or position of the Journal of Invasive Cardiology or HMP Global, their employees, and affiliates.
Patent foramen ovale (PFO) is an embryonic defect in the interatrial septum that has been associated with an increased risk of transient ischemic attacks (TIA) in patients aged 18 to 65 years. A secondary septal pouch, a rare dysplasia structure, provides an environment favorable for blood stasis and thrombus formation. Here, we report a patient experiencing TIA who was found to have PFO and secondary septal pouch and was treated successfully with an atrial septal defect (ASD) occluder.
A 48-year-old man was admitted to our hospital with typical symptoms of TIA. Preoperative transesophageal echocardiography demonstrated PFO (Figure 1) and secondary septal pouch on the right (Figure 2, Video 1). Contrast transthoracic echocardiography (TEE) showed a moderate right-to-left shunt (Video 2). To close the secondary septal pouch and the PFO at the same time, successful atrial septal puncture was confirmed under the guidance of TEE (Figure 3A). Subsequently, a 25/25-mm Cera ASD occluder (LifeTech Scientific) was implanted (Figure 4). Post-implantation, the occluder was stable at the implant location (Figure 3B-D). Furthermore, the right-to-left shunt disappeared immediately (Video 3). Thus, ASD occluder implantation may be an effective simultaneous treatment of PFO and secondary septal pouch.
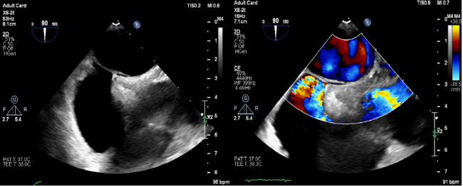
Figure 1. Preoperative TEE demonstrated the PFO. PFO right atrial opening and left atrial openings were 2.0 mm and 0.9 mm, respectively, and the length of the tunnel was 10.7 mm. TEE = transthoracic echocardiography; PFO = patent foramen ovale.
Figure 2. (A) The secondary septal pouch was visualized on the right atrial septal with an area of about 11.7 x 4 mm2. (B) Visualization of the blood inflow into the secondary septal pouch.
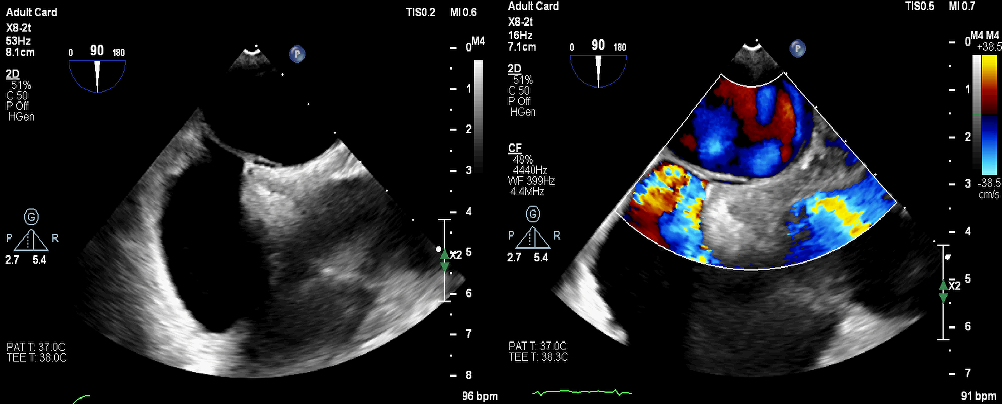
Figure 3. Intraprocedural TEE: (A) atrial septal puncture under the guidance of TEE; stable position of the occluder at (B) 45 and (C) 90 degrees; (D) about 0.6 cm length of the secondary atrial septal was captured within the occluder. ** = length of the distance; TEE = transthoracic echocardiography.
Figure 4. X-ray images showing the occluder’s morphology.
Affiliations and Disclosures
Kun Wang, MB; Hao-nan Liu, MB; Xiao-mei Gao, MB; Xiao-fei Jiang, MD
From the Zhuhai People's Hospital, Zhuhai Clinical Medical College of Jinan University, Zhuhai, Guangdong, China.
Dr Wang and Dr Liu contributed equally to the manuscript.
Disclosures: The authors have reported that they have no relationships relevant to the contents of this paper to disclose.
Consent statement: The authors confirm that informed consent was obtained from the patient for the study described in the manuscript and to the publication of their data
Address for correspondence: Xiao-fei Jiang, MD, Zhuhai People's Hospital, Guangdong. Email: zhcardiology@126.com


