Transcatheter Aortic Valve Replacement in a Patient With Quadricuspid Aortic Valve Stenosis and Regurgitation
© 2024 HMP Global. All Rights Reserved.
Any views and opinions expressed are those of the author(s) and/or participants and do not necessarily reflect the views, policy, or position of the Journal of Invasive Cardiology or HMP Global, their employees, and affiliates.
We report the case of an 80-year-old woman with known quadricuspid aortic valve (QAV), severe aortic stenosis, and moderate-to-severe regurgitation who recently underwent a transcatheter aortic valve replacement (TAVR).
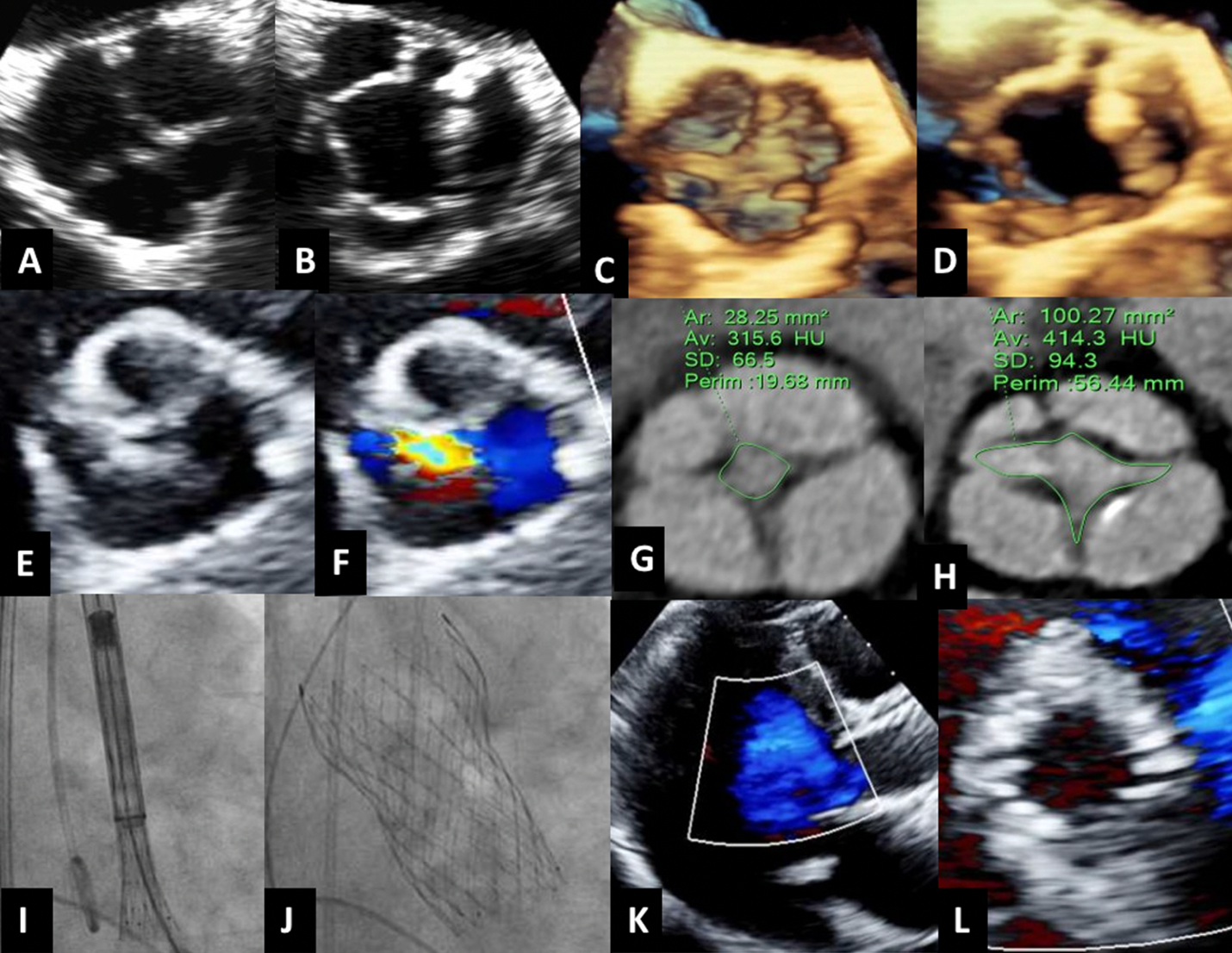
The patient was initially referred for aortic regurgitation where a transesophageal echocardiogram revealed a QAV (Figure A-D) and moderate-to-severe regurgitation. There was no evidence of aortic stenosis at that time. Eight years later, a transthoracic echocardiogram (TTE) was performed due to progressive dyspnea, which showed moderate-to-severe aortic regurgitation and severe aortic stenosis (valve area=1.0 cm² by continuity; Figure E, F). The patient was referred for TAVR given her high surgical risk and frailty. Multidetector computed tomography confirmed severe aortic stenosis and moderate-to-severe aortic regurgitation with a valve area of 1.0 cm² and an effective regurgitant orifice area of 0.28 cm² by planimetry (Figure G, H). The aortic root and access anatomy was favorable for transfemoral TAVR.
The patient underwent a successful TAVR with a 26-mm self-expanding Evolut FX valve (Medtronic) (Figure I, J) and was discharged home the next day. TTE at discharge demonstrated a well-positioned valve with no paravalvular regurgitation (Figure K, L).
A QAV is a rare congenital anomaly in which valvular regurgitation is the predominant hemodynamic abnormality, with stenosis being less common.1 While surgery has been the mainstay of treatment, we demonstrate the feasibility of TAVR in a select high-risk patient. To the best of our knowledge, this is the first reported case of a degenerated QAV that was treated with an Evolut FX valve. The durability of TAVR in this population remains unknown and requires longer follow-up.
Affiliations and Disclosures
From the Zena and Michael A. Wiener Cardiovascular Institute, Icahn School of Medicine at Mount Sinai, New York, NY, USA.
Disclosures: Dr. Tang is a physician proctor, consultant, and advisory board member for Medtronic; a consultant and advisory board member for Abbott Structural Heart; an advisory board member for Boston Scientific and JenaValve; and has received speaker’s honoraria from Siemens Healthineers. Dr. Safi receives speaker honoraria for Medtronic and Abbott Structural Heart. The remaining authors report no financial relationships or conflicts of interest regarding the content herein.
Address for correspondence: Lucy M. Safi, DO, Icahn School of Medicine at Mount Sinai, New York, NY, USA. Email: Lucy.Safi@mountsinai.org; X: @LucySafi
Reference
- Tsang MYC, Abudiab MM, Ammash NM, et al. Quadricuspid aortic valve: characteristics, associated structural cardiovascular abnormalities, and clinical outcomes. Circulation. 2016;133(3):312-319. doi: 10.1161/CIRCULATIONAHA.115.017743.


