Snare Technique Failure in Extracting an Embolized Coronary Sinus Reducer to the Pulmonary Artery
We report the case of a 79-year-old male patient who benefited from the implantation of a coronary sinus reducer (CSR) (Reducer; Neovasc, Inc.) in the management of typical angina with mild exertion with optimal medical treatment.
The patient presented with severe coronary disease with a history of percutaneous coronary intervention (PCI) on the left anterior descending coronary artery and on the right coronary artery (RCA) in 2000. In 2010, he underwent myocardial revascularization by coronary artery bypass grafting. A few months later, he was stented on the saphenous bypass to the RCA.. Subsequent coronary angiography showed degeneration of the saphenous bypass, justifying additional implantation of 5 stents.
Despite optimal myocardial revascularization and medical treatment, the patient reported persistent typical angina with mild exertion. Considering his symptoms, a CSR implantation was proposed.
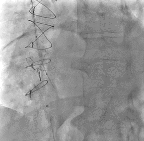
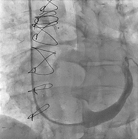
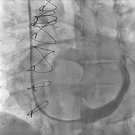
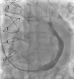
After the right transjugular puncture and introducer implantation, the coronary sinus (CS) was catheterized (Figure, A; Video 1). A CSR was advanced to the targeted implantation site in the mid-segment of the CS. The guiding catheter was then retracted, and the balloon was inflated to expand the CSR at the implantation site. After deflation, the balloon was retrieved. During the extraction of the deflated balloon, under fluoroscopy, we observed device migration into the right atrium while being attached at the tip of the catheter (Figure, B; Video 2). To snare the reducer, a 14-French sheath was advanced in the right femoral vein. We attempted to keep the wire inside the stent, but the prothesis migrated to the left pulmonary artery without the possibility of recovering it using the lasso technique (Figure, C; Video 3). We decided to implant a second CSR more distally in the CS (Figure, D; Video 4).
The patient received dual antiplatelet therapy for 3 months. At his 8-month follow-up, he reported a reduction of angina severity without any complications and agreed to leave the device in place.
Though uncommon, migration during implantation is one of the most-reported complications of CSR implantation.1 If the snare technique fails to capture the embolized prothesis, or if the prothesis migrates to a distal branch of a pulmonary artery, the CSR may be left in place distally.
Reference
- Giannini F, Tzanis G, Colombo A, et al. Technical aspects in coronary sinus Reducer implantation. EuroIntervention. 2020;15(14):1269-1277. doi:10.4244/EIJ-D-18-01180
Affiliations and Disclosures
From the Department of Cardiology, Rangueil University Hospital, Toulouse, France.
Disclosures: The authors report no financial relationships or conflicts of interest regarding the content herein.
Address for correspondence: Ronan Canitrot, MD,Department of Cardiology, Rangueil University Hospital, Toulouse, France. Email: ronancanitrot@gmail.com.


