Enhancing Interventional Imaging: The Role of Computed Tomography and Intraprocedural Echocardiography in the Diagnosis and Management of Acquired Pulmonary Vein Stenosis
© 2024 HMP Global. All Rights Reserved.
Any views and opinions expressed are those of the author(s) and/or participants and do not necessarily reflect the views, policy, or position of the Journal of Invasive Cardiology or HMP Global, their employees, and affiliates.
Diagnosis of acquired pulmonary vein stenosis (PVS) remains challenging due to the lack of well-established diagnostic criteria. It is caused by a vascular response to radiofrequency application. Recent systematic reviews report an incidence of 0.5%. PVS usually appears 3 to 6 months after PV isolation. Clinical presentation ranges from absence of symptoms to dyspnea, chest pain, or hemoptysis. Multimodal imaging, including computed tomography (CT), cardiac magnetic resonance, or transesophageal echocardiography (TEE), plays a crucial role in diagnosis.
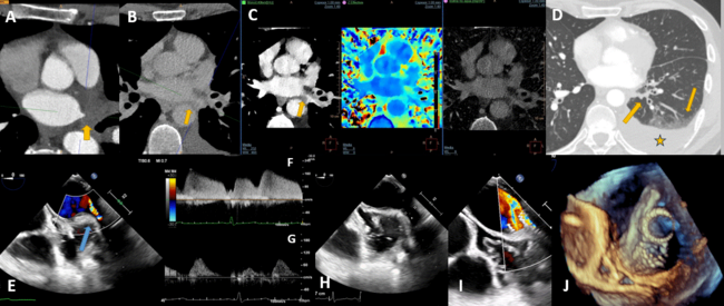
A 53-year-old man with a history of atrial fibrillation underwent a successful antral pulmonary vein isolation. After 6 months of follow-up, he was referred for exertional dyspnea. CT revealed a severe PVS of both left PVs (Figure A-C). Spectral CT reconstructions improved the visualization of the lumen of the severely stenotic veins. A balloon angioplasty was performed under TEE guidance. Both left stenotic PVs were identified with a flow of up to 2.1 m/s (Figure E, F, and H). Stent deployment and post-dilation were precisely monitored, and immediate complications were ruled out (Figure I-J; Videos 1-3). Stent position was evaluated in real-time. Flow velocities significantly decreased (0.8 m/s), and a predominant diastolic PV flow pattern was identified (Figure G). The patient was discharged without complications.
To the best of our knowledge, no reports on the role of TEE imaging during PVS dilation have been published to date. This case underscores its utility both for monitoring and screening complications, potentially improving long-term results.
Affiliations and Disclosures
Irene Carrión-Sánchez, MD1,2; Ana García-Martín, MD, PhD1,2; Álvaro Arribas-Marcos, MD3; Ángel Sánchez-Recalde, MD, PhD1,2,4; José Luis Zamorano, MD, PhD1,2,4; Covadonga Fernández-Golfín, MD, PhD1,2,4
From the 1Cardiology Department, University Hospital Ramon y Cajal, Madrid, Spain; 2Instituto Ramón y Cajal de Investigación Sanitaria (IRYCIS), Madrid, Spain; 3Radiology Department, University Hospital Ramon y Cajal, Madrid, Spain; 4CIBERCV Instituto de Salud Carlos III (ISCIII), Madrid, Spain.
Disclosures: The authors report no financial relationships or conflicts of interest regarding the content herein.
Consent statement: The authors confirm that informed consent was obtained from the patient described in the manuscript and to the publication thereof.
Data availability: The data that support the findings of this study are available from the corresponding author, upon request.
Address for correspondence: Irene Carrión-Sánchez, MD, Cardiovascular Imaging Unit, University Hospital Ramón y Cajal, M-607 KM 9,100, Madrid 28034, Spain. Email: irenec93@hotmail.com; X: @icarrionsanchez


