Recanalized Vein of Marshall Following Bidirectional Glenn Surgery
A 6-year-old boy with a case of double outlet right ventricle with large non-routable ventricle septal defect and severe pulmonary stenosis was deemed unsuitable for biventricular repair on a prior evaluation. Hence, a bidirectional Glenn (BDG) shunt was performed at 3 years of age following cardiac catheterization. He presented this time with worsening cyanosis and exertional breathlessness. The saturation was 88% at room air and the cardiac catheterization was performed before the total cavopulmonary connection (TCPC, Fontan) operation. The mean pulmonary artery (PA) pressure was 14 mmHg while the left ventricular end-diastolic pressure was 10 mmHg. The ventricular angiogram revealed normal contractility and moderate atrioventricular valve regurgitation besides showing a generous antegrade flow in the pulmonary arteries.
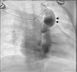
The Glenn angiogram showed dilated right superior vena cava (SVC), and a large venovenous collateral connecting the innominate vein with the coronary sinus (Figure 1, Video 1).
The preoperative angiogram did not show a left SVC although a rudimentary vein of Marshall was evident (Figure 2, Video 2). The mean PA pressure increased to 20 mmHg following balloon occlusion of the venovenous collateral, thus indicating it be a means to decompress the pulmonary circuit.
In the absence of other risk factors, normal ventricular function, low transpulmonary gradient, and closure of antegrade flow is expected to normalize the PA pressures. Hence, the patient is now planned for TCPC with ligation of venovenous collateral. Nonetheless, considering the elevation of PA pressure following balloon occlusion of the venovenous collateral, a fenestration in the TCPC conduit is also planned during the surgery.
Venovenous collaterals are known in patients following BDG. Considering the location and connection to the coronary sinus, the venovenous channel in the index case is most likely a recanalized vein of Marshall, the embryonic remnant of the left superior vena cava (LSVC). Such recanalization and reappearance of LSVC sometimes indicates suboptimal pulmonary hemodynamics. A stepwise assessment of the angiogram and cardiac hemodynamics, as was performed in the index case, permits optimal management of venovenous collaterals in patients with BDG.
Affiliations and Disclosures
From the Department of Cardiology, All India Institute of Medical Sciences, New Delhi, India
Disclosures: The authors report no conflict of interest.
Address for correspondence: Dr Saurabh Kumar Gupta, MBBS, MD, DM, Professor, Department of Cardiology, AIIMS, New Delhi, Email: drsaurabhmd@gmail.com


