Percutaneous Treatment of Symptomatic Left Ventricular Assist Device Outflow Graft Obstruction
Keywords: complications, graft obstruction
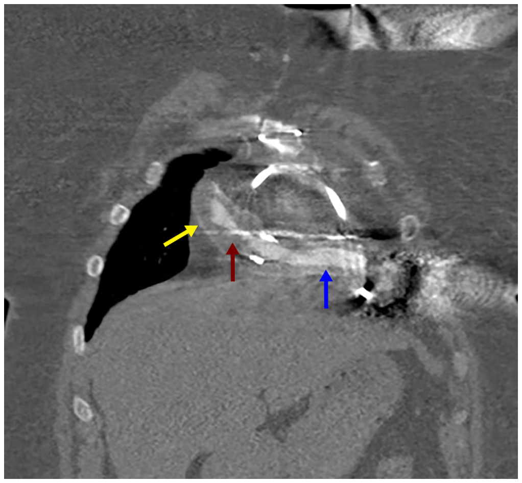
A 60-year-old female underwent a left ventricular assist device (LVAD) implant during which a 1-mm Gore-Tex sheet (Gore Medical) was used to cover the device and outflow graft to prevent future sternal re-entry injury (Figure 1). Seven years later, she developed low-flow alarms with a pattern of gradual decline in flow and power suggestive of outflow graft obstruction (Figure 2).
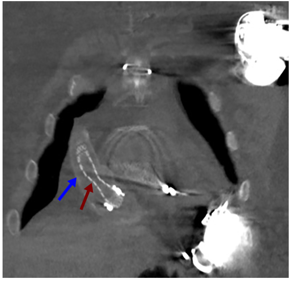
Computed tomography confirmed stenosis of the outflow graft; however, it was not able to differentiate internal vs external obstruction secondary to thrombus formation between the Gore-Tex sheet and the true outflow graft (Figure 3). A hemodynamic ramp study failed to show an increase in cardiac output or increase in left ventricular (LV) unloading, thus further supporting a hemodynamically significant obstruction. After a discussion with the multidisciplinary team, percutaneous stenting of the outflow graft was pursued.
Given her body mass index of 42 kg/m2 and anterior take-off of the graft, left brachial access provided easier engagement of the outflow graft with the use of a 6-Fr multipurpose-B1 guide catheter. Intravascular ultrasound (IVUS) confirmed extrinsic compression in the mid portion of the graft, narrowing it to 4 mm. The stenosis was treated with a 10- x 60-mm balloon followed by an 11- x 79-mm VBX balloon-expandable covered stent (Medtronic). Repeat IVUS confirmed good apposition of the stent and resolution of the stenosis (Figure 4 and Figure 5; Video Series).
LVAD outflow graft obstruction is an infrequent cause of LVAD dysfunction and should be considered in the presence of low-flow alarms, inadequate LV unloading, or recurrent heart failure symptoms after LVAD implant. Causes of graft obstruction include kinking, twisting, narrowing at the aortic anastomosis, and thrombus within or external to the graft. Due to the risk of extrinsic outflow graft compression, use of a Gore-Tex sheet has since fallen out of favor.
Affiliations and Disclosures
From the 1Division of Cardiology, Department of Internal Medicine, University of Texas Southwestern Medical Center; Dallas, Texas; 2Department of Cardiovascular and Thoracic Surgery, University of Texas Southwestern Medical Center; Dallas, Texas.
Disclosure: The authors have completed and returned the ICMJE Form for Disclosure of Potential Conflicts of Interest. The authors report no conflicts of interest regarding the content herein.
The authors report that patient consent was provided for publication of the images used herein.
Manuscript accepted January 15, 2022.
Address for correspondence: Faris G. Araj, MD, Professional Office Bldg 2, Suite 600, 5939 Harry Hines Blvd, Dallas, Texas, 75390-9252. Email: faris.araj@utsouthwestern.edu
Related Articles:


