Percutaneous Closure of Giant Aortic Pseudoaneurysm in a Child
Abstract
J INVASIVE CARDIOL 2022;34(1):E65-E66.
Key words: aortic pseudoaneurysm, pediatric cardiology
Case Presentation
A 7-year-old boy was referred with diagnosis of a large aortic pseudoaneurysm 2 weeks after surgical closure of perimembranous ventricular septal defect with blood culture growing coagulase-negative staphylococcus (Video 1). Contrast-enhanced cardiac computed tomography showed an 8 x 7 cm aortic aneurysm arising from the anterior part of the ascending aorta at the site of aortic cannulation, which was extending into the subcutaneous plane of the chest through the median sternotomy (Figure 1). Due to the subcutaneous extension and risk of spontaneous rupture, we decided that a percutaneous strategy was a safer alternative to surgery.
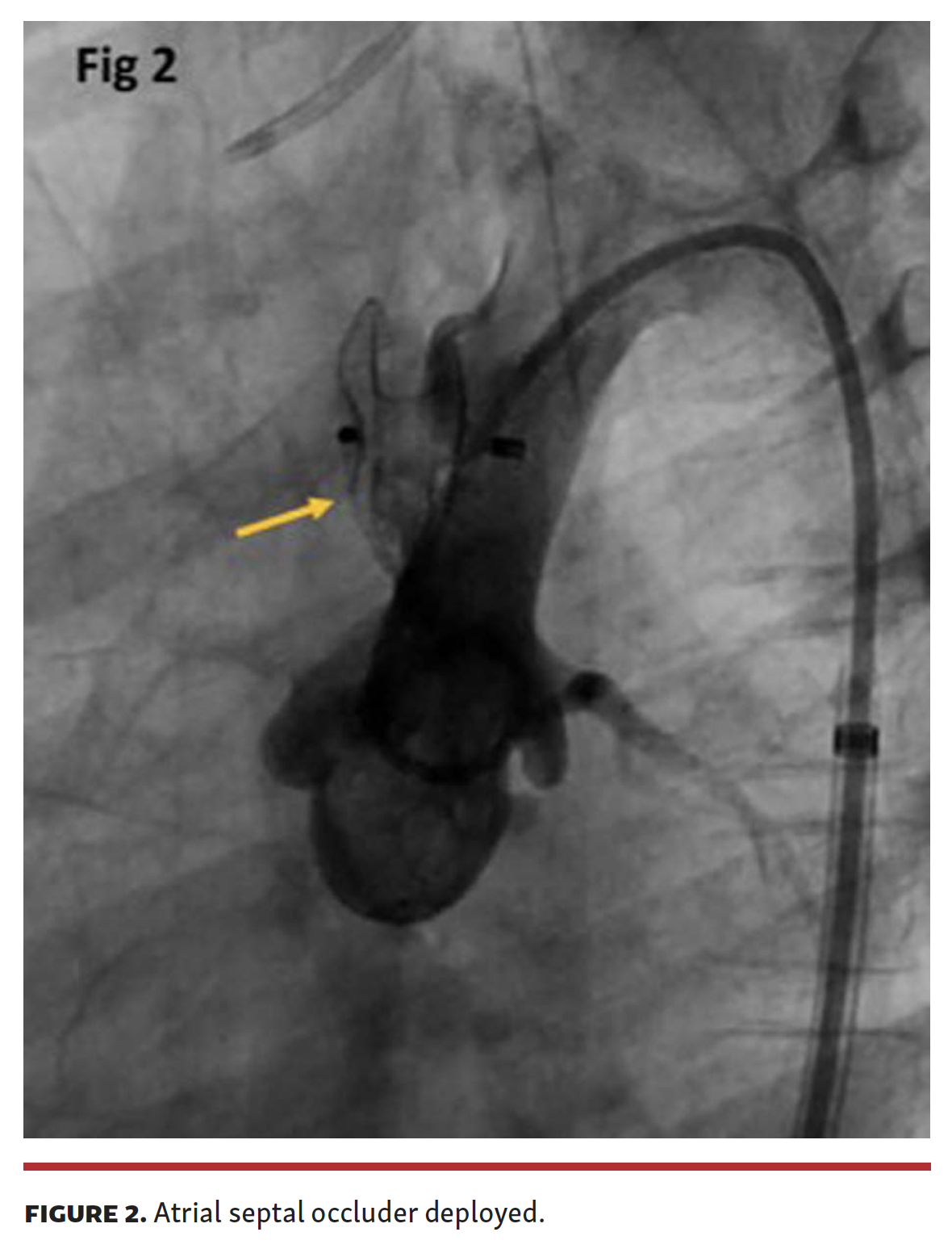
Aortic root angiogram was performed (Video 2) and a 7 Fr Mullins sheath (Medtronic) was placed in the aneurysm sac over a 0.035˝ Glidewire (Terumo), without injuring the walls of the aneurysm. The aneurysm was closed with an 8 mm Amplatzer atrial septal occluder (Abbott) (Figure 2; Video 3). After stabilization, the patient underwent patch aortoplasty a few days later, as we did not want to leave behind a device in the presence of active endocarditis. At 1-year follow-up, the patient was doing well.
Although percutaneous closure of aortic pseudoaneurysms has been described in adults with good results, there are no reports in children. Our case demonstrates that in selected high-risk cases where the anatomy is suitable, percutaneous closure may be feasible and safe in children.


Affiliations and Disclosures
From the 1Department of Cardiology and 2CVTS, Sree Chitra Tirunal Institute for Medical Sciences and Technology, Trivandrum, India.
Disclosure: The authors have completed and returned the ICMJE Form for Disclosure of Potential Conflicts of Interest. The authors report no conflicts of interest regarding the content herein.
Manuscript accepted July 29, 2021.
The authors report patient consent for the images used herein.
Address for correspondence: Deepa Sasikumar, DM, Sree Chitra Tirunal Institute for Medical Sciences and Technology, Trivandrum, Kerala, India. Email: deepaskumar@yahoo.com


