Mitral Transcatheter-Edge-to-Edge-Repair After Failed Alfieri Stitch: An Effective Alternative to Redo Surgery
© 2025 HMP Global. All Rights Reserved.
Any views and opinions expressed are those of the author(s) and/or participants and do not necessarily reflect the views, policy, or position of the Journal of Invasive Cardiology or HMP Global, their employees, and affiliates.
A 73-year-old man with a cardiac history of Barlow’s mitral valve and severe mitral regurgitation (MR) had been treated with a complicated mitral valve repair 1 year prior. During the procedure, a mitral annuloplasty repair was attempted but, because of calcification, neither mitral annuloplasty nor valve replacement were possible. A palliative repair with an Alfieri stitch was done, leaving residual mild MR. Six months later, he re-presented with intermittent dizziness and leg edema.
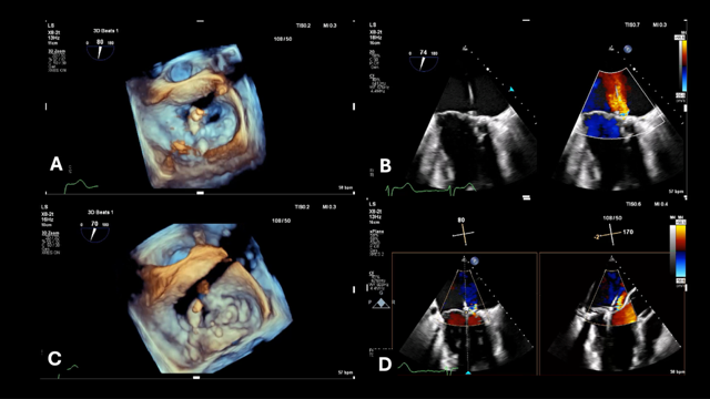
Transthoracic echocardiogram showed severe MR and transesophageal echocardiogram (TEE) showed the Alfieri stitch located at A2/P2 with the tip of the anterior mitral valve leaflet sutured to the ventricular side of the posterior annulus. The origin of the MR was just lateral to the stitch with the Coandă effect into the left atrium; the Coandă effect refers to the wrapping of the eccentric mitral regurgitant jet around the atrial wall by color Doppler (Figure 1). Due to the complicated repair and residual leaflet billowing, determination of the regurgitant jet origin by 2-dimensional TEE was challenging. Multiplanar reconstruction (MPR) of the 3-dimensional (3D) TEE images was used to sweep through the valve, measure leaflet lengths at specific valve segments, and confirm the origin of the MR jet in the challenging post-repair valve anatomy (Figure 2). The mitral valve area (4.0 cm2) was also directly measured using MPR (Figure 3). The patient was determined to be high surgical risk for redo mitral valve surgery (STS score 16.8%) and was referred for mitral edge-to-edge repair.
Intraprocedural TEE confirmed the pathology and, after appropriate transeptal puncture, a MitraClip NT device (Abbott) was delivered to the left atrium and oriented perpendicular to the leaflet coaptation plane, just lateral to the Alfieri stitch at the location of the jet (Figure 4). The clip was closed and advanced into the left ventricle and the leaflets were grasped. Because of the baseline distortion of the leaflet anatomy from the stitch, clipping of the leaflets caused further distortion and an increase in MR. The clip was readjusted to a more lateral position, slightly farther away from the stitch, which resulted in significant MR reduction and minimal change in gradient, and the clip was released (Figures 4 and 5).
Transcatheter-edge-to-edge repair is a successful and safe alternative in patients with failed surgical repair with an Alfieri stitch and allows for significant MR reduction. Mapping the valve using 3D MPR is important to identify the exact location of the regurgitant jet and measure leaflet lengths and the mitral valve area in these repaired valves. Due to coaptation distortion caused from the stitch, clipping adjacent to the stitch may further worsen the distortion and increase MR; therefore, careful color Doppler assessment prior to deployment is imperative.
Affiliations and Disclosures
Giulia Passaniti, MD1,2; Parasuram M. Krishnamoorthy, MD1; Rajeev R. Samtani, MD1; Supawat Ratanapo, MD1; Annapoorna S. Kini, MD1; Gilbert H. L. Tang, MD, MSc, MBA3; Lucy M. Safi, DO1
From the 1Division of Cardiology, Mount Sinai Heart Fuster Heart Hospital, Icahn School of Medicine at Mount Sinai, New York, New York; 2Centro Alte Specialità e Trapianti, Policlinico “G. Rodolico-San Marco” University of Catania, Catania, Italy; 3Department of Cardiovascular Surgery, Mount Sinai Health System, Mount Sinai Heart Fuster Heart Hospital, Icahn School of Medicine at Mount Sinai, New York, New York.
Disclosures: Dr Tang has received speaker's honoraria from, and served as a physician proctor, consultant, advisory board member, TAVR publications committee member, RESTORE study steering committee member, APOLLO trial screening committee member, and IMPACT MR steering committee member for Medtronic; has received speaker's honoraria from, and served as a physician proctor, consultant, advisory board member, and TRILUMINATE trial anatomic eligibility and publications committee member for Abbott Structural Heart; has served as an advisory board member for Boston Scientific and JenaValve; has served as a consultant and physician screening committee member for Shockwave Medical; has served as a consultant for NeoChord, Peija Medical, and Shenqi Medical Technology; and has received speaker's honoraria from Siemens Healthineers. Dr Safi has received speaker honoraria from Abbott Structural Heart and Medtronic, and served on advisory board for TriClip. The remaining authors report no financial relationships or conflicts of interest regarding the content herein.
Consent statement: The authors confirm that informed consent was obtained from the patient described in the manuscript and to the publication thereof. The authors report that patient consent was provided for publication of the images used herein.
Address for correspondence: Lucy M. Safi, DO, 1468 Madison Ave, New York, NY 10029, USA. Email: Lucy.Safi@mountsinai.org; X: @LucySafi, @GilbertTangMD, @DoctorKini, @PassanitiGiulia


