Mechanical Circulatory Support for High-Risk Cardiac Patients: A Case of Tumor Embolism and Stress Cardiomyopathy
© 2025 HMP Global. All Rights Reserved.
Any views and opinions expressed are those of the author(s) and/or participants and do not necessarily reflect the views, policy, or position of the Journal of Invasive Cardiology or HMP Global, their employees, and affiliates.
This case highlights the critical role of mechanical circulatory support (MCS) in managing complex cardiopulmonary complications of metastatic malignancy. We describe a 16-year-old girl with osteosarcoma presenting with massive pulmonary embolism and right ventricular (RV) failure who required veno-arterial extracorporeal membrane oxygenation (VA-ECMO) for stabilization during percutaneous thrombectomy. MCS also facilitated recovery from Takotsubo cardiomyopathy (TCM) that developed post-procedure. This report underscores the importance of MCS as both a procedural and therapeutic tool in high-risk interventions and emphasizes the need for equipping interventional cardiologists with proficiency in its utilization.
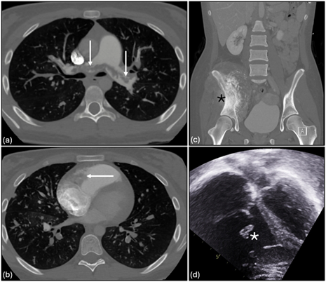
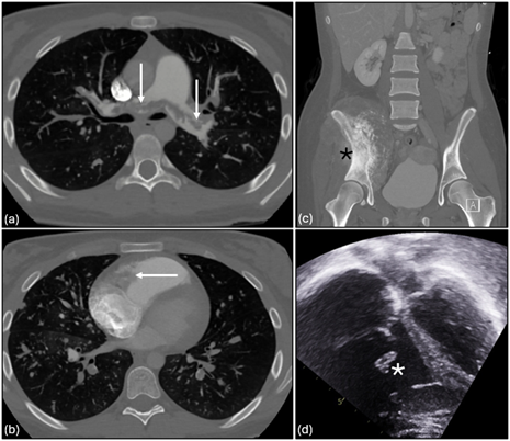
A 16-year-old girl presented with computed tomography findings of sub-massive bilateral pulmonary emboli and a tricuspid valve mass (Figure 1A and B); she was subsequently diagnosed with a 16-cm pelvic osteosarcoma (Figure 1C). Echocardiography confirmed a large thrombus on the tricuspid valve chordae (Figure 1D) and reduced right ventricular (RV) function with a preserved left ventricular ejection fraction (LVEF). Despite initiation of heparin, impending hemodynamic collapse prompted a multidisciplinary decision for percutaneous thrombectomy with VA-ECMO support.
During anesthesia induction, acute RV failure necessitated emergent MCS onto VA-ECMO (21-French [Fr] inferior vena cava multistage drainage, a 15-Fr left common iliac return, and a 6-Fr superficial femoral artery distal perfusion cannula). Flows of 4 to 5 L per minute were achieved, and ionotropic medications were initiated. Large, pale material was removed using AngioVac (Angiodynamics), FlowTriever (Inari), and Lightning (Penumbra) thrombectomy systems (Figure 2B and D). Post-intervention angiogram demonstrated remarkably improved antegrade pulmonary artery (PA) flow compared with pre-intervention angiogram (Figure 2A and C). Mid-procedure, severe LV dysfunction with ballooning morphology suggested TCM, therefore inotropic support was reduced.
By postoperative day 2, the LVEF recovered to 62% after inotropic withdrawal. The patient was decannulated from ECMO on POD 5, started chemotherapy, and was discharged with preserved cardiac function.
This case highlights the critical role of MCS in high-risk interventions. Despite its lifesaving potential, MCS remains underutilized because of limited exposure, scope-of-practice concerns, and lack of confidence with technology. Strategies to improve utilization include simulation-based training, fellowship integration, multidisciplinary collaboration, and enhanced device familiarity. Addressing these barriers will expand interventionalists' capabilities and optimize outcomes for high-risk patients.
Affiliations and Disclosures
Kaitlyn Krebushevski, DO1; Allison K. Cabalka, MD1,2; Suraj Yalamuri, MD3; Arashk Motiei, MD2; William J. Mauermann, MD3; Jeffrey R. Weatherhead, MD4; Jason H. Anderson, MD1,2
From the 1Department of Pediatric and Adolescent Medicine/Division of Pediatric Cardiology, Mayo Clinic, Rochester, Minnesota; 2Department of Cardiovascular Medicine/Division of Structural Heart Diseases, Mayo Clinic, Rochester, Minnesota; 3Department of Anesthesiology and Perioperative Medicine/Division of Cardiovascular and Thoracic Anesthesiology, Mayo Clinic, Rochester, Minnesota; 4Department of Pediatric and Adolescent Medicine/Division of Pediatric Critical Care, Mayo Clinic, Rochester, Minnesota.
Disclosures: Dr Cabalka is a consultant for Edwards Lifesciences and B. Braun Medical, Inc. Dr Anderson serves on a cardiac advisory board for W.L. Gore & Associates and is a consultant for Medtronic and Edwards Lifesciences. The remaining authors report no financial relationships or conflicts of interest regarding the content herein.
Artificial intelligence statement: AI was utilized to assist with sentence structure, word count, and paragraph formation.
Consent statement: The authors have adhered to all ethical guidelines in the preparation of this work. The patient consented to publishing her case for the purpose of education and research.
Address for correspondence: Kaitlyn Krebushevski, DO, 1216 2nd St SW, Rochester, MN 55902, USA. Email: Krebushevski.kaitlyn@mayo.edu; X: @kaitlynkreb @allisoncabalka @Dr_JHAnderson


